Skip to main navigation Skip to main content
  • KSPTM
  • E-Submission

PHD : Parasites, Hosts and Diseases

OPEN ACCESS
ABOUT
BROWSE ARTICLES
FOR CONTRIBUTORS

Page Path

  • HOME
  • BROWSE ARTICLES
  • Previous issues
9
results for

Previous issues

Article category

Keywords

Authors

Funded articles

Previous issues

Prev issue Next issue

Volume 63(2); May 2025

Mini Reviews

Emerging Plasmodium falciparum K13 gene mutation to artemisinin-based combination therapies and partner drugs among malaria-infected population in sub-Saharan Africa
Samuel Adeniyi Oyegbade, Emmanuel Ojochegbe Mameh, Daniel Oluwatobiloba Balogun, Victoria-Grace Onyekachi Aririguzoh, Paul Akinniyi Akinduti
Parasites Hosts Dis 2025;63(2):109-122.
Published online May 26, 2025
DOI: https://doi.org/10.3347/PHD.24053
The continuous Plasmodium falciparum kelch13 (PfK13) genetic alterations conferring resistance to artemisinin-based combination therapies and partner drugs pose a significant threat to effective treatment and control of P. falciparum infection in developing countries. This review evaluates the emergence and epidemiology of the PfK13 mutation associated with artemisinin resistance in the sub-Saharan Africa (SSA) population. Despite empirical control and artemisinin combination therapy, the PfK13 gene mutation, previously described in Southeast Asia, has been reported in the SSA. Eight of these validated markers, including P553L, M476I, C580Y, A675V, P574L, R561H, R622I, and F446I, were reported among the SSA population. Novel and unvalidated markers, such as P615S, M472I, F434S, A578S, P570L, Y558C, K563R, A569T, I684N, M472I, and C473F spread among the population with low frequency. We provide insight into the emergence and spread of validated and unvalidated PfK13 mutations among the SSA population, which could lead to high artemisinin resistance. Investigating the verified PfK13 mutations will improve prophylactic strategies, prognostic diagnosis and guide effective population-based surveillance for effective P. falciparum malaria control in SSA.

Citations

Citations to this article as recorded by  Crossref logo
  • Asymptomatic malaria: a hidden reservoir for the transmission and circulation of artemisinin partial-resistant Plasmodium falciparum in Tanzania
    Ernest Mazigo, Wang-Jong Lee, Hojong Jun, Fadhila Fitriana, Jadidan Hada Syahada, Johnsy Mary Louis, Fauzi Muh, Feng Lu, Kyu Joon Lee, Joo-Won Nam, Joon-Hee Han, Tae-Hyung Kwon, Se Jin Lee, Sunghun Na, Wanjoo Chun, Won Sun Park, Eun-Taek Han, Jim Todd, Al
    Emerging Microbes & Infections.2026;[Epub]     CrossRef
  • Fabrication and evaluation of quinine-loaded chitosan-polycaprolactone core-shell polymeric nanoparticles for the treatment of malaria: an in vitro and in silico study
    Yohana Amos, Edwar D. Montenegro, Clarence Rubaka, Hulda Swai
    Journal of Biomaterials Science, Polymer Edition.2026; : 1.     CrossRef
  • Incidence of kelch13 and Pfmdr1 gene mutations associated with antimalarial drug resistance in Plasmodium falciparum isolates from Ethiopia: a systematic review and meta-analysis
    Temesgen Mitiku Yeshanew, Bokretsion Gidey Brhane, Betelhem Abebe Begashew, Gemechis Waktole Bayisa, Nega Birhane
    BMC Infectious Diseases.2026;[Epub]     CrossRef
  • Genomic Surveillance of Plasmodium falciparum in Southeastern Nigeria: Implications for Artemisinin-Based Therapy Policy
    Ugo Uwadiako Enebeli, Eziyi Iche Kalu, Agwu Nkwa Amadi, Faith Adamma Kalu, Perfection Chinyere Igwe, Justin Junior Kalu, Beauty Olamma Kalu
    Research Journal of Parasitology.2026; 21(1): 1.     CrossRef
  • Emergence of chloroquine-sensitive Plasmodium falciparum and rising resistance to first-line artemisinin partner drugs in Malawi
    Ernest Mazigo, Hojong Jun, Wang-Jong Lee, Johnsy Mary Louis, Jadidan Hada Syahada, Fadhila Fitriana, Fauzi Muh, Md Atique Ahmed, Feng Lu, Joon-Hee Han, Tae-Hyung Kwon, Se Jin Lee, Sunghun Na, Wanjoo Chun, Won Sun Park, Eun-Taek Han, Winifrida Kidima, Jin-
    Emerging Microbes & Infections.2025;[Epub]     CrossRef
  • A scoping review of antimalarial drug resistance markers in Kenya (1987–2022): toward a National Surveillance Framework and Data Repository
    Kevin Wamae, John Magudha, Emmanuel Asiimwe, Kariuki Kimani, Regina Kandie, Kibor Keitany, Robert W. Snow, L. Isabella Ochola-Oyier
    Malaria Journal.2025;[Epub]     CrossRef
  • Imidazolopiperazines as next-generation antimalarial agents: a scoping review of efficacy, mechanisms of action and resistance; prospects for future development
    Fatoumata Ousmane Maiga, Laurent Dembele, Mohamed Maiga, Abdoulaye A. Djimde
    Therapeutic Advances in Infectious Disease.2025;[Epub]     CrossRef
  • 7,517 View
  • 121 Download
  • 6 Web of Science
  • Crossref
Therapeutic potentials of Trichinella spiralis in immune disorders: From allergy to autoimmunity
Minkyoung Cho, Hak Sun Yu
Parasites Hosts Dis 2025;63(2):123-134.
Published online May 26, 2025
DOI: https://doi.org/10.3347/PHD.24086
The incidence of immune system diseases is increasing globally, particularly in developed countries. The hygiene and old friend hypotheses suggest that the decreased incidence of helminth infections in these countries may underlie the rising prevalence of autoimmune, allergic, and inflammatory diseases. The preventive and therapeutic potential of Trichinella spiralis, a helminthic parasite, has been well demonstrated in animal models of immune dysregulation-mediated diseases. This review comprehensively analyze how T. spiralis modulates immune responses across a spectrum of immune dysregulation. We systematically review the key research findings on the effects of T. spiralis infection on immune-related disease. T. spiralis has shown the ability to regulate host immune responses in autoimmune, allergic, and inflammatory disorders, exerting anti-inflammatory effects and restoring immune homeostasis through various immunological pathways. Given its significant immunomodulatory potential, T. spiralis represents a promising candidate for therapeutic interventions against immune-mediated diseases, warranting further molecular investigations and clinical applications.

Citations

Citations to this article as recorded by  Crossref logo
  • Identification of maternal antibodies targeting a cystatin-like protein of Trichinella spiralis in offspring
    Minkyoung Cho, Hak Sun Yu
    Parasites, Hosts and Diseases.2026; 64(1): 82.     CrossRef
  • Transcriptomic profiling reveals Trichinella spiralis-mediated attenuation of respiratory syncytial virus-induced inflammation in mice
    Ki Back Chu, Fu-Shi Quan
    Parasites, Hosts and Diseases.2026; 64(1): 7.     CrossRef
  • Macrophage migration inhibitory factor from nematode parasite as a novel approach to combat obesity and its metabolic complications
    Mi-Kyung Park, MinKyoung Cho, Hak Sun Yu
    Frontiers in Immunology.2026;[Epub]     CrossRef
  • 2,953 View
  • 67 Download
  • 3 Web of Science
  • Crossref

Original Articles

Anticoccidial activities of a multicomplex mineral-based diet in broilers infected with Eimeria acervulina
Binh T. Nguyen, Rochelle A. Flores, Paula Leona T. Cammayo-Fletcher, Suk Kim, Woo H. Kim, Wongi Min
Parasites Hosts Dis 2025;63(2):135-146.
Published online May 26, 2025
DOI: https://doi.org/10.3347/PHD.24045
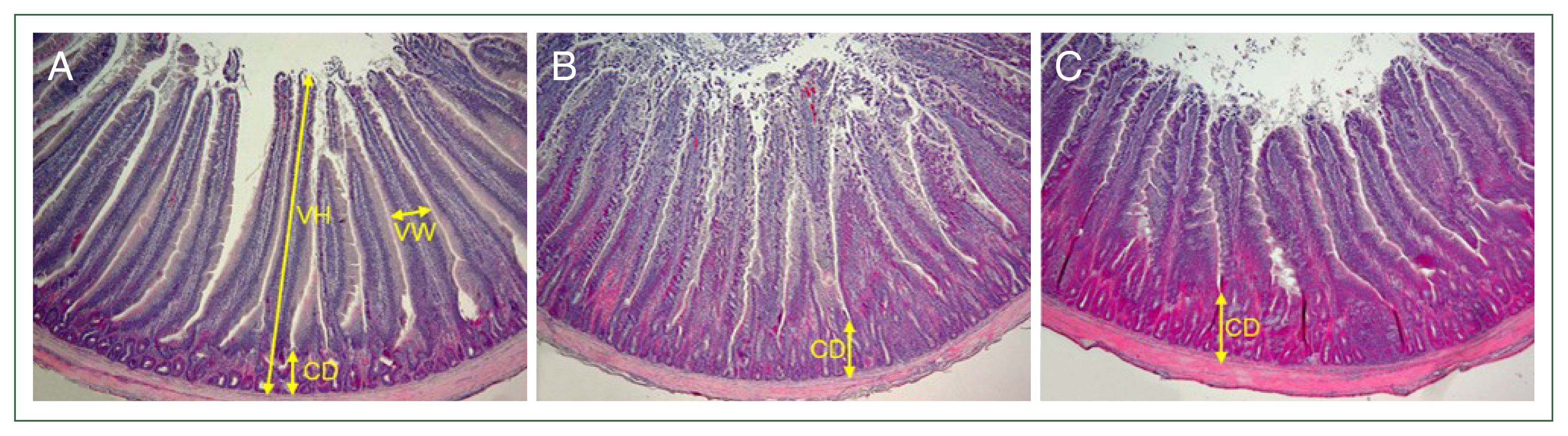
Poultry coccidiosis, caused by 7 Eimeria species, has a significant economic impact on the poultry industry and is managed mainly by chemotherapeutic drugs. However, alternative control measures are needed due to the emergence of drug-resistant strains. This study aimed to evaluate the anticoccidial effects of a multicomplex mineral-based diet in broilers infected with Eimeria acervulina. Broilers were fed a multicomplex mineral-based diet and infected with E. acervulina. Fecal oocyst shedding was 39.0% lower in the E. acervulina-infected broilers treated with the multicomplex mineral compared to that in untreated-infected broilers (365.7×106±45.7 versus 599.8×106±8.7, P<0.05). On day 6 post-infection, body weight gain was significantly higher in treated-infected chickens than untreated chickens (103.2±1.5% versus 94.1±1.7%, P<0.001). The lesion scores were similar between the 2 groups. Histopathological observations revealed that the width of the villi in the treated-infected chickens (286±9.5 μm) was significantly increased by 19.1% (240±10.8 μm, P<0.05) and 34.9% (212±7.3 μm, P<0.001) compared to those in the untreated-uninfected and untreated-infected groups, respectively. However, the villous height and crypt depth were similar between the untreated- and treated-infected groups. The positive effects of the dietary multicomplex mineral, including reduced fecal oocyst shedding, increased weight gain, and increased villi width, suggest its potential application in mitigating the adverse effects of Eimeria infection in both conventional and organic chicken industries.

Citations

Citations to this article as recorded by  Crossref logo
  • Insights into Non-Antibiotic Alternative and Emerging Control Strategies for Chicken Coccidiosis
    Rochelle A. Flores, Paula Leona C. Fletcher, Kyu-Yeol Son, Wongi Min
    Animals.2026; 16(2): 348.     CrossRef
  • Urban environmental drivers of eukaryotic microbiota and parasite prevalence in domestic pigeon faeces: a metabarcoding-based public health risk assessment in Seoul, South Korea
    Singeun Oh, Jun Ho Choi, Xavier Chavarria, Myungjun Kim, Dongjun Kang, Myung-hee Yi, Yoon Hee Cho, In-Yong Lee, Tai-Soon Yong, Seongjun Choe, Ju Yeong Kim
    Journal of The Royal Society Interface.2025;[Epub]     CrossRef
  • 2,834 View
  • 61 Download
  • 2 Web of Science
  • Crossref
Preventive interventions and diagnostic testing compliance in the management of tropical infections among patients with sickle cell disease in Tanzania
Felician Paschal Mgasa, Singeun Oh, Avelina Mgasa, Sunjoo Kang, Erasto Mbugi, Ju Yeong Kim
Parasites Hosts Dis 2025;63(2):147-156.
Published online May 26, 2025
DOI: https://doi.org/10.3347/PHD.25018
Sickle cell disease (SCD), a genetic hemoglobin disorder, is a major public health challenge in sub-Saharan Africa, particularly in Tanzania, due to its association with high morbidity and mortality from infections. The disease is the leading cause of complications, emphasizing the urgent need for effective preventive strategies and diagnostic protocols. We evaluated the implementation and effectiveness of infection prevention measures and laboratory diagnostic compliance at Nyamagana District Hospital, emphasizing their effects on patient outcomes and survival rates. This retrospective observational study analyzed the medical records of 157 patients with SCD admitted to Nyamagana District Hospital for infection treatment between January 2022 and 2024. The infection profiles, utilization of preventive interventions (recommended drugs, vaccinations, and chemoprophylaxis), and diagnostic laboratory compliance were assessed. Of the 157 participants, 90.4% had at least one infection during their hospital stay, suggesting the vulnerability of this population to infections. Furthermore, malaria emerged as the most prevalent type of infection (40.1%), which is consistent with its endemic status in Tanzania. Other significant infections included unspecified diarrhea (12.5%) and upper respiratory tract infections (10.8%). Despite the high coverage rates of penicillin V prophylaxis (72%) and pneumococcal vaccination (100%), the utilization of malaria chemoprophylaxis and hydroxyurea was low (only 10.8% and 16.6%, respectively). The diagnostic laboratory test compliance, essential for accurate infection management, was moderate at 63.1%, with significant deficiencies in the blood, urine, and stool cultures and antibiotic susceptibility testing. The administration of hydroxyurea significantly reduced malaria prevalence (P=0.005), fewer vaso-occlusive crises (P<0.001), and severe anemia incidence (P=0.034). Thus, enhancing access to preventive measures and improving diagnostic laboratory compliance are crucial steps for reducing infection-related complications among patients with SCD in Nyamagana.
  • 2,753 View
  • 65 Download
Evaluation of the diagnostic reliability of the gill-based Ray’s fluid thioglycollate medium assay for Perkinsus olseni infections in Manila clams (Ruditapes philippinarum) across Korean tidal flats
Young-Ghan Cho, Kajino Nobuhisa, Hee Jung Choi, Mun-Gyeong Kwon, Hyun-Sung Yang, Kwang-Sik Choi
Parasites Hosts Dis 2025;63(2):157-167.
Published online May 26, 2025
DOI: https://doi.org/10.3347/PHD.25014
The alveolate protozoan parasite Perkinsus olseni infects a range of marine bivalves inhabiting tidal flats and shallow subtidal zones, causing considerable damage to shellfish industries. Infection by P. olseni is typically assessed using Ray’s fluid thioglycollate medium (RFTM) assay, with gill tissue often employed as a diagnostic proxy for whole-body infection. However, the diagnostic reliability of gill-based assays across diverse ecological settings—particularly under low-infection conditions—remains uncertain. In this study, we investigated tissue-specific distribution and the diagnostic performance of the RFTM assay in detecting P. olseni in Manila clams (Ruditapes philippinarum) collected from 6 tidal flats along Korea’s west and south coast. The assay was applied to 6 different tissues, including gills and visceral mass. Infection prevalence reached 100% at most sites, except at Padori (90%). Whole-body infection intensity ranged from 0.1×104 to 3.7×106 cells per gram of tissue. The visceral mass consistently harbored the largest proportion of parasites (27.8%–49.0%), followed by the mantle (17.4%–30.6%) and gills (19.4%–25.2%). Gill infection levels correlated strongly with whole-body infection intensity (=0.6–0.95), supporting their diagnostic value in high-infection areas. However, at Padori—where infection levels were lowest—the efficacy of the gill assay dropped to 56%, resulting in a 44% false negative rate. These results underscore the limitations of relying solely on gill tissue in low-infection environments and highlight the need for a context-dependent diagnostic approach. A dual-tissue strategy incorporating both gill and whole-body samples is recommended to improve diagnostic accuracy in P. olseni surveillance of Manila clam populations.

Citations

Citations to this article as recorded by  Crossref logo
  • Transcriptomic Analysis Reveals the Response of the Hong Kong Oyster (Crassostrea hongkongensis) Digestive Gland to Natural Infection by Perkinsus beihaiensis
    Shengli Fu, Jie Lu, Tuo Yao, Haoyi Jiang, Yuxiang Wang, Zhifu Liang, Lingtong Ye
    Journal of Fish Diseases.2026;[Epub]     CrossRef
  • Comparing Minimally Lethal Sampling Methods for Genomics in the Eastern Oyster (Crassostrea virginica)
    Elisabeth Leung, Jessica Small, Katie E. Lotterhos
    Ecology and Evolution.2026;[Epub]     CrossRef
  • First report of mass mortality event caused by Eomarteilia granula in Manila clam Ruditapes philippinarum reared in subtidal and bottom cages on the south coast of Korea
    Hye-Mi Lee, Hyun-Sil Kang, Nobuhisa Kajino, Hyun-Ki Hong, Young-Ghan Cho, Kwang-Sik Choi
    Estuarine, Coastal and Shelf Science.2025; 323: 109408.     CrossRef
  • 2,319 View
  • 45 Download
  • 3 Web of Science
  • Crossref

Case Report

Amoebic enteritis: A clinicopathological analysis of 14 cases and literature review
Lining Wang, Linghong Kong, Yang Jiao, Jun Li, Xinpeng Zhang, Huizhong Xue, Xiaogang Liu
Parasites Hosts Dis 2025;63(2):168-173.
Published online May 26, 2025
DOI: https://doi.org/10.3347/PHD.24081
Amoebic enteritis is often misdiagnosed or overlooked due to its nonspecific clinical presentation. This study presents a comprehensive clinicopathological analysis of 14 confirmed cases of amoebic enteritis, examining their clinical manifestations, histopathological features, and responses to treatment. Periodic acid-Schiff and hexamine silver stains were employed to aid in diagnosis. A review of the relevant literature is also included to improve recognition and diagnostic accuracy of this uncommon but clinically significant condition.
  • 2,378 View
  • 43 Download
Brief Communications
Identification of an Opisthorchis viverrini-like liver fluke from Myanmar: Metacercariae recovered from snakehead fish and adults from an experimentally infected hamster
Woon-Mok Sohn, Bong-Kwang Jung, Keon-Hoon Lee, Sung-Jong Hong, Seung-Hwan Seo, Thi Thi Htoon, Htay Htay Tin, Eun-Hee Shin, Jong-Yil Chai
Parasites Hosts Dis 2025;63(2):174-181.
Published online May 26, 2025
DOI: https://doi.org/10.3347/PHD.24063
A novel fluke species, morphologically resembling Opisthorchis viverrini, was discovered in the Yangon Region, Myanmar. Metacercariae were found in the muscle tissue of 2 snakehead fish species, Mi and Channa striata. The metacercariae were elliptical (average 165×122 μm, n=10), having 2 suckers and a large excretory bladder. Experimental infection of a hamster resulted in the recovery of adult flukes from the bile ducts at day 50 post-infection. Adult flukes were lanceolate, with dimensions of 3.8–6.0 (average 5.1) mm by 1.1–1.2 (1.2) mm (n=10). Morphological characteristics included an oral sucker slightly smaller than the ventral sucker, a long uterus not extending anterior to the ventral sucker, vitelline follicles reaching the anterior ovary level, and 2 deeply lobed testes (4 lobes anteriorly, 5 posteriorly). Eggs were ovoid to elliptical, measuring 26.3–27.5 (26.9) μm in length and 13.8–15.0 (14.6) μm in width (n=10). Despite the close morphological resemblance to O. viverrini, our specimens displayed significant differences, including a more spiraled seminal vesicle, a longer uterus occupying 50%–60% of the body length, a less distinct grouping of vitelline follicles (forming 7–8 groups on each side in O. viverrini), vitelline follicles restricted to the ovary level (beyond the posterior end of the ovary or at anterior testis level in O. viverrini), and smaller metacercariae. We tentatively categorize our specimens as an O. viverrini-like liver fluke potentially parasitizing mammals or birds, highlighting the need for further research. Rigorous molecular analyses and identification of natural definitive hosts are essential to clarify the taxonomic status of this novel parasite.

Citations

Citations to this article as recorded by  Crossref logo
  • Toward resolving cryptic diversity in opisthorchiid flukes: Molecular clarification of an Opisthorchis viverrini-like parasite in Myanmar is urgently needed
    Schawanya Kaewpitoon Rattanapitoon, Chutharat Thanchonnang, Nathkapach Kaewpitoon Rattanapitoon
    Parasites, Hosts and Diseases.2025; 63(3): 284.     CrossRef
  • 2,998 View
  • 93 Download
  • 1 Web of Science
  • Crossref
Prevalence of parasitic infections in stray cats from Gimpo-si, Gyeonggi-do, Korea
Sooji Hong, Hyejoo Shin, Seungwan Ryoo, Chung-Won Lee, Jae-Young Park, Jong-Yil Chai, Bong-Kwang Jung
Parasites Hosts Dis 2025;63(2):182-187.
Published online May 26, 2025
DOI: https://doi.org/10.3347/PHD.24061
Stray cats serve as reservoir hosts for various zoonotic parasites, posing a significant risk of transmission to humans. This study aimed to assess the prevalence of parasitic infections in stray cats from Gimpo-si, Gyeonggi-do, Korea. A total of 101 fecal and 237 blood (serum) samples were collected from 237 stray cats captured through the trapneuter-return program in 2021. The samples were analyzed using microscopy, nested-PCR, and ELISA to detect parasitic infections. Fecal examination revealed that Toxocara cati eggs were present in 26.7% (27/101) of samples, while eggs of Spirometra sp. (2%), Clonorchis sinensis (1%), and Trichuris sp. (1%) were also detected. PCR analysis identified Toxoplasma gondii DNA in 17 (16.8%) fecal samples, while genetic markers of Cryptosporidium felis and Enterocytozoon bieneusi were each detected in 4 (4%) samples. Positive rates of IgM and IgG were 21.9% (52/237) and 21.1% (50/237) in serological tests for T. gondii-specific antibodies. This study confirms the widespread presence of zoonotic parasites in stray cats from Gimpo-si, highlighting the potential public health risks associated with these infections. Continuous surveillance and control measures are essential from a One Health perspective to reduce the risk of zoonotic transmission.

Citations

Citations to this article as recorded by  Crossref logo
  • Molecular detection of Toxoplasma gondii in wild oysters and seawater on the southeast coast of South Korea
    Hyejoo Shin, Sooji Hong, Seungwan Ryoo, Jong-Yil Chai, Bong-Kwang Jung
    Food Microbiology.2026; 134: 104925.     CrossRef
  • 2,841 View
  • 68 Download
  • 1 Web of Science
  • Crossref
Distribution and genotypic analysis of Enterocytozoon bieneusi from cats in Korea
Heon-Moo Park, Haeseung Lee, So-Young Sung, Kaifa Nazim, Bo-Yoon Jang, Ki-Chang Sung, Seung-Hun Lee, Min-Goo Seo, Man Hee Rhee, Dongmi Kwak
Parasites Hosts Dis 2025;63(2):188-194.
Published online May 26, 2025
DOI: https://doi.org/10.3347/PHD.25019
Enterocytozoon bieneusi is an opportunistic microsporidian parasite with zoonotic potential that causes gastrointestinal illness in humans and animals. This study aimed to investigate the presence and genetic diversity of E. bieneusi from cats in Korea and to assess the potential public health risks associated with zoonotic genotypes. Among the 137 feline fecal samples, 4 (2.9%) were PCR-positive for E. bieneusi. In addition, 2 E. bieneusi genotypes were identified: Type IV, a known zoonotic genotype belonging to Group 1, and KCAT1, a novel genotype with zoonotic potential belonging to Group 1. This study is the first to report on these genotypes from cats in Korea, most of which were companion cats visiting veterinary clinics. Despite the low detection rate, the presence of zoonotic genotypes in companion cats is a potential public health concern because of the close physical interaction between cats and their human caregivers. These findings indicate the importance of routine monitoring and the molecular characterization of E. bieneusi in companion animals to comprehensively understand their zoonotic transmission patterns and to guide future risk assessments and preventive strategies.

Citations

Citations to this article as recorded by  Crossref logo
  • Molecular Detection and Genotyping of Enterocytozoon bieneusi in Environmental Sources near Cattle Farms in Korea
    Haeseung Lee, Myungji Jo, Hyeyeon Kim, Kaifa Nazim, Seung-Hun Lee, Min-Goo Seo, Sang-Joon Park, Man Hee Rhee, Dongmi Kwak
    International Journal of Molecular Sciences.2025; 26(15): 7270.     CrossRef
  • Distribution and genotypes of Enterocytozoon bieneusi in raccoon dogs in Korea
    Heon-Moo Park, Haeseung Lee, Su-Jin Chae, Kidong Son, Sanghyun Lee, Kaifa Nazim, Seung-Hun Lee, Yoonhoi Koo, Jinsu Kang, Min-Goo Seo, Sang Joon Park, Man Hee Rhee, Dongmi Kwak
    Parasites, Hosts and Diseases.2025; 63(3): 258.     CrossRef
  • 2,534 View
  • 45 Download
  • 2 Web of Science
  • Crossref