Abstract
Sarcocystis sp. infection was investigated in 20 necropsied captive wild mammals and 20 birds in 2 petting zoos in Malaysia. The gross post-mortem lesions in mammals showed marbling of the liver with uniform congestion of the intestine, and for birds, there was atrophy of the sternal muscles with hemorrhage and edema of the lungs in 2 birds. Naked eye examination was used for detection of macroscopic sarcocysts, and muscle squash for microscopic type. Only microscopically visible cysts were detected in 8 animals and species identification was not possible. Histological examination of the sections of infected skeletal muscles showed more than 5 sarcocysts in each specimen. No leukocytic infiltration was seen in affected organs. The shape of the cysts was elongated or circular, and the mean size reached 254 × 24.5 µm and the thickness of the wall up to 2.5 µm. Two stages were recognized in the cysts, the peripheral metrocytes and large numbers of crescent shaped merozoites. Out of 40 animals examined, 3 mammals and 5 birds were positive (20%). The infection rate was 15% and 25% in mammals and birds, respectively. Regarding the organs, the infection rate was 50% in the skeletal muscles followed by tongue and heart (37.5%), diaphragm (25%), and esophagus (12.5%). Further ultrastructural studies are required to identify the species of Sarcocystis that infect captive wild animals and their possible role in zoonosis.
-
Key words: Sarcocystosis, captive wild animal, zoo animal, Malaysia
INTRODUCTION
Sarcocystosis is a parasitic disease caused by
Sarcocystis spp. which can lead to death of animals that have been highly infected. These parasites are usually found in the tissues of mammals, birds, and reptiles and have a 2-host cycle [
1]. Muscular sarcocystosis has been reported in captive-born rhesus macaque [
2,
3], in the otter [
4], in striped dolphin [
5], in spotted deer, and wild red dogs [
6]. The disease has also been reported in different species of birds, e.g., eagle [
7], goshawk [
8], wild turkey [
9,
10], straw-necked ibis [
11], and in the lungs of parrots and pigeon [
12]. In addition to muscular sarcocystosis in lizards (
Hemidactylus turcicus) in Saudi Arabia [
13], intestinal sarcocystosis has also been reported in the bullsnake [
14].
The diagnosis of muscular sarcocystosis is usually made by the presence of cysts in organs after the animal's death, predominantly in the tongue, esophagus, diaphragm, heart, and skeletal muscles. The macroscopic cysts are easily seen with the naked eyes, but microscopic cysts can only be identified by muscle squash method, peptic digestion, and histological examination [
15]. Serological tests have also been used in the diagnosis of sarcocysts infection where ELISA and indirect fluorescent antibody test (IFAT) are often used [
16].
In Malaysia, sarcocystosis was reported in humans [
17-
24], and domestic and wild animals [
25-
28]. The incidence of
Sarcocystis infection in wild captive zoo animals in Malaysia is relatively unknown. The aim of this study is to investigate the presence of sarcocystosis among necropsied wild captive animals in 2 zoos in Malaysia.
MATERIALS AND METHODS
Study site
Two zoos were selected for this study; Sunway Wildlife Interactive Zoo Subang Jaya, Selangor, and Danga Bay Petting Zoo, Johore Baru, Johore, located 25 km and 225 km, respectively, from Kuala Lumpur (
Fig. 1). All animals and birds that died between the periods of August to December 2008 were included. A necropsy was performed and gross abnormalities and the presence of macroscopically visible sarcocysts was documented. Samples from the tongue, esophagus, diaphragm, heart, and skeletal muscles were taken, immediately put on ice and transferred to the laboratory of the Faculty of Medicine, Universiti Teknologi MARA (UiTM), where they were stored at 4℃ for further analysis.
Microscopic examinations
Fresh muscle tissue was processed by muscle squash method as described by Latif et al. [
15] and observed microscopically for intramuscular cysts. Positive samples were then fixed in 10% buffered neutral formalin and then embedded in paraffin blocks. The tissues were sectioned at 3-5 µm thickness and stained with hematoxylin and eosin. Microscopy was performed and presence or absence of the cysts was documented.
RESULTS
Of the 40 necropsied captive wild animals that were included, there were 20 mammals (12 species) and 20 birds (12 species), where 33 of the animals were from Sunway Wildlife Interactive Zoo and 7 were from Danga Bay Petting Zoo. The infection rates among each species of mammal and bird are shown in
Tables 1 and
2.
Post mortem findings
The mammals showed gross marbling of the liver with uniform congestion of the intestines. The birds showed atrophy of the sternal muscles with hemorrhage and edema of the lungs. No macroscopic sarcocysts were detected in both species.
Microscopy
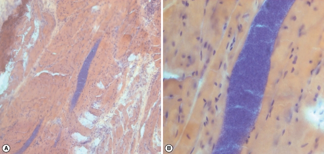
Microscopically visible cysts were detected in 8 animals (8/40; 20%). No macroscopic cysts were observed in any of the animals. The animal species, sex, and the infected organs are shown in
Table 3. Histologically, the cysts were either elongated or circular with a mean measuring size of 254 × 24.5 µm. The wall was 2.5 µm in thickness. There appeared to be 2 recognizable stages; namely, the peripheral metrocytes and central crescent-shaped merozoites. Species identification was not possible. There was no leukocytic infiltration present in the adjacent muscle tissue (
Fig. 2). Regarding the organs, the highest rate of infection was observed in the skeletal muscle (50%) and the lowest in the esophagus (12.5%) (
Fig. 3).
DISCUSSION
In Malaysia, sarcocystosis has been reported in wild animals, such as slow loris [
25], rodents [
26], and long-tailed monkeys [
27,
28]. Worldwide, sarcocysts have been found in many types of wild animals as discussed before. No recent investigation is available for the prevalence of the infection among captive wild zoo animals in Malaysia. We have reported for the first time that sarcocystosis occurs in sun bear, swampy and agile wallabies, and guinea fowls. These animals were found to be infected at necropsy.
Results of this study showed that the infection rate of sarcocystosis was 20%, and it was 15% and 25% in mammals and birds, respectively. These animals may have acquired the infection from contaminated food and water with the feces of other wild animals (reptiles, rodents). However, it is difficult to know whether they were infected in the zoo or in the wild. The wild animals can act as definitive or intermediate hosts [
1]. The definitive hosts, mostly reptiles and rodents, feed on infected preys (intermediate hosts) and develop intestinal sarcosystosis. These predators will excrete sporocysts in their feces leading to the infection of other animals that will develop muscular sarcocystosis.
Sarcocystosis was reported in psittacine birds, especially when housed outdoors or when their food is not stored correctly and contaminated with feces of infected rodents [
29]. Ecco et al. [
12] reported an outbreak of sarcocystosis in parrots and pigeon in Belo Horizonte Zoo in Brazil attributed to feed contaminated by feces of opossum, a common inhabitant of the forest surrounding the zoo. Also, birds pick up the sporocysts or oocysts from undigested plant materials in mammals' feces, for example, migratory Canada geese (
Branta canadesis) follow cattle and feed on undigested plant materials in the cattle's feces [
30]. In addition, sporocysts can also be transmitted by cockroaches or other insects. They feed on the infected animal's feces and deposit their own feces in the bird's food and water [
31]. It was proven that cockatoos will eat cockroaches when added to feed. Feeding was recorded on videotape where cockatoos were seen consuming them. If the birds eat these paratenic host or food contaminated by its feces, they will develop sarcocystosis.
Sarcocystosis is often considered as incidental finding, particularly in wild-caught animals, with or without clinical symptoms [
3]. In this study, a number of infected animals died with or without previous clinical signs. Most of the pathological effects are attributed to the schizont stage which causes obstruction of capillaries of the organs, especially, the lung, liver, and heart [
1,
10]. Pulmonary edema and hemorrhage occur, producing respiratory crisis [
28]. Sudden death of these animals, without observed clinical signs, may be attributed to this condition. Ecco et al. [
12] reported an outbreak of acute pulmonary sarcocystosis in parrots and pigeons with pulmonary congestion and edema, and enlarged, congested liver and spleen but still the majority of these birds were found dead without any clinical symptoms. In our study, the gross findings associated with sudden death of the animals may be attributed to sarcocystosis. Further ultrastructural studies are required to identify the species of
Sarcocystis that infect captive wild animals and their possible role in zoonosis.
ACKNOWLEDGEMENTS
We would like to acknowledge the management of the Danga Bay Petting Zoo, Johore Baru, Johore and the Sunway Wildlife Interactive Zoo, Subang Jaya, Selangor for permitting us to undertake the post-mortems and the encouragement for this study. Thanks for the staff of both the zoos in assisting in the post-mortems and sample collection. We are also grateful to Prof. Dr. Harbinder Jeet Singh for his valuable revision of the manuscript and to Mrs. Norita binti Salim and Mr. Muhamad Razali for the photography. We thank Prof. Dato' Dr. Khalid Yusoff, Dean, Faculty of Medicine, UiTM, for the facilities and encouragement.
References
- 1. Dubey JP, Speer CA, Fayer R. Sarcocystosis of Animals and Man. 1989, Boca Raton, Florida, USA. CRC Press, Inc; pp 1-215.
- 2. Lane JH, Mansfield KG, Jackson LR, Diters RW, Lin KC, Mackey JJ, Sasseville VG. Acute fulminant sarcocystosis in a captive-born rhesus macaque. Vet Pathol 1998;35:499-505.
- 3. Gozalo AS, Montali RJ, Claire MSt, Barr D, Rejmanek D, Ward JM. Chronic polymyositis associated with disseminated sarcocystosis in a captive-born rhesus macaque. Vet Pathol 2007;44:695-699.
- 4. Wahlstrom K, Nikkila T, Uggla A. Sarcocystis species in skeletal muscle of otter (Lutra lutra). Parasitology 1999;1:59-62.
- 5. Resendes AR, Juan-Salle's C, Almeria S, Majo N, Dubey JP. Hepatic sarcocystosis in a striped dolphin (Stenella coeruleoalba) from the Spanish Mediterranean coast. J Parasitol 2002;88:206-209.
- 6. Jog MM, Marathe RR, Goel SS, Ranade SP, Kunte KK, Watve MG. Sarcocystosis of chital (Axis axis) and dhole (Cuon alpinus): ecology of a mammalian prey-predator-parasite system in peninsular India. J Trop Ecol 2005;21:479-482.
- 7. Dubey JP, Porter SL, Hattel AL, Kradel DC, Topper MJ, Johnson L. Sarcocystosis-associated clinical encephalitis in a golden eagle (Aquila chrysaetos). J Zoo Wildlife Med 1991;22:233-236.
- 8. Aguilar RF, Shaw DP, Dubey JP, Redig P. Sarcocystis-associated encephalitis in an immature northern goshawak (Accipiter gentiles atricapillus). J Zoo Wildlife Med 1991;22:466-469.
- 9. Teglas MB, Little SE, Latimer KS, Dubey JP. Sarcocystis-associated encephalitis and myocarditis in a wild turkey (Meleagris gallopavo). J Parasitol 1998;84:661-663.
- 10. Dubey JP, Quist CF, Fritz DL. Systemic sarcocystosis in a wild turkey from Georgia. J Wildl Dis 2000;36:755-760.
- 11. Dubey JP, Johnson GC, Bermudez A, Suedmeyer KW, Fritz DL. Neural sarcocystosis in a straw-necked ibis (Carphibis spinicollis) associated with a Sarcocystis neurona-like organism and description of muscular sarcocysts of an unidentified Sarcocystis species. J Parasitol 2001;87:1317-1322.
- 12. Ecco R, Luppi MM, Malta MCC, Araujio MR, Guedes RMC, Shivaprasad HL. An outbreak of sarcocystosis in psittaacines and a pigeon in a zoological collection in Brazil. Avian Dis 2008;52:706-710.
- 13. Abdel-Ghaffar F, Bashtar A, Al-Quraishy S, Al Nasr I, Mehlhorn H. Sarcocystis infecting reptiles in Saudi Arabia 1.Light and electron microscopic study on Sarcocystis turcicii sp. nov. infecting the gecko Hemidactylus turcicus Linnaeus. Parasitol Res 2009;104:503-508.
- 14. Daszak P, Cunningham A. A report of intestinal sarcocystosis in the bullsnake (Pituophis melanoleucus sayi) and a re-evaluation of Sarcocystis sp. from snakes of the genus Pituophis. J Wildl Dis 1995;31:400-403.
- 15. Latif B, Al-Delemi JK, Mohammed BS, Al Bayati SM, Al-Amiry AM. Prevalence of Sarcocystis spp. in meat-producing animals in Iraq. Vet Parasitol 1999;8:85-90.
- 16. Habeeb YS, Selim MA, Ali MS, Mahmoud LA, Abdel Hadi AM, Shafei A. Serological diagnosis of extraintestinal sarcocystosis. J Egypt Soc Parasitol 1996;26:393-400.
- 17. Kannan K, Dissanaike AS. A case of human Sarcocystis infection in Malaysia. Trans R Soc Trop Med Hyg 1975;69:503-504.
- 18. Kannan K, Mohan D, Dissanaike AS. Sarcocystis infection in an Orang Asli: the second human case from Malaysia. Southeast Asian J Trop Med Public Health 1975;6:400-401.
- 19. Thomas V, Dissanaike AS. Antibodies to Sarcocystis in Malaysians. Trans R Soc Trop Med Hyg 1978;72:303-306.
- 20. Kan SP. A review of sarcocystosis with special reference to human infection in Malaysia. Trop Biomed 1985;2:167-175.
- 21. Kan SP, Pathmanathan R. Review of sarcocystosis in Malaysia. Southeast Asian J Trop Med Public Health 1991;22(suppl):129-134.
- 22. Wong KT, Pathmanathan R. High prevalence of human skeletal muscle sarcocystosis in Southeast Asia. Trans R Soc Trop Med Hyg 1992;86:1-2.
- 23. Shekhar KC. Food-borne parasitoses in Malaysia: epidemiological assessment and research needs. J R Soc Health 1995;115:178-185.
- 24. Arness MK, Brown JD, Dubey JP, Neafie RC, Granstrom DE. An outbreak of acute eosinophilic myositis attributed to human Sarcocystis parasitism. Am J Trop Med Hyg 1999;61:548-553.
- 25. Zaman V. Sarcocystis sp. in the slow loris, Nycticebus coucang. Trans R Soc Trop Med Hyg 1970;64:195-196.
- 26. Kan SP. Ultrastructure of the cyst wall of Sarcocystis sp. from some rodents in Malaysia. Int J Parasitol 1979;9:475-480.
- 27. Kan SP, Prathap K, Dissanaike AS. Light and electron microstructure of a Sarcocystis sp. from the Malaysian long-tailed monkey, Macaca fascicularis. Am J Trop Med Hyg 1979;28:634-642.
- 28. Prathap K. Sarcocystis in the Malaysian long-tailed monkey Macaca irus. Trans R Soc Trop Med Hyg 1973;67:615.
- 29. Smith JH, Meier JL, Neill PJG, Box ED. Pathogenesis of Sarcocystis falcatula in the budgerigar. Lab Invest 1987;56:60-71.
- 30. Graczyk TK, Fayer R, Trout JM, Lewis EJ, Farley CA, Sulaiman I, Lal AA. Giardia sp. cysts and infectious Cryptosporidium parvum oocysts in the feces of migratory Canada geese (Branta canadiensis). Appl Environ Microbiol 1998;64:2736-2738.
- 31. Clubb SL, Frenkel JK. Sarcocystis falcatula of opposums: transmission by cockroaches with fatal pulmonary disease in Psittacine bird. J Parasitol 1992;78:116-124.
Fig. 1The location (•) of the 2 study sites in Peninsular Malaysia.
Fig. 2
Sarcocystis spp. cysts in the muscle fibers of an infected animal. H-E stain. A, × 100; B, × 400.
Fig. 3Distribution of sarcocysts according to body organs.
Table 1Prevalence of sarcocystosis in mammals
Table 1
|
Common name |
Latin name |
Total no. examined |
No. of positive (%) |
|
Common palm civet |
Paradoxurus hermaphroditus
|
1 |
- |
|
Guinea pig |
Cavia porcellus
|
3 |
- |
|
African lion |
Panthera leo
|
1 |
- |
|
Swampy wallaby |
Wallabia bicolor
|
1 |
1 (5) |
|
Malayan sun bear |
Helarctos malayanus
|
1 |
1 (5) |
|
Rabbit |
Oryctolagus cuniculus
|
4 |
- |
|
Syrian hamster |
Mesocricetus auratus
|
2 |
- |
|
African pygmy hedgehog |
Atalerix albiventris
|
1 |
- |
|
Agile wallaby |
Wallabia agilis
|
1 |
1 (5) |
|
Eastern grey squirrel |
Sciurus carolinensis
|
1 |
- |
|
Ground squirrel |
Xerus inauris
|
1 |
- |
|
Goat |
Capra hircus
|
3 |
- |
|
Total |
|
20 |
3 (15) |
Table 2.Prevalence of sarcocystosis in birds
Table 2.
|
Common name |
Latin name |
Total no. examined |
No. of positive (%) |
|
Blyth’s hawk eagle |
Spizaetus alboniger
|
1 |
- |
|
Blue cap lory |
Lorius lory
|
1 |
- |
|
American turkey |
Meleagris gallopavo
|
2 |
- |
|
Guinea fowl |
Numida meleagris
|
6 |
2 (10) |
|
Peahen (chick) |
Pavo cristatus
|
1 |
- |
|
Peacock (adult) |
Pavo cristatus
|
1 |
- |
|
White crested hornbill |
Berenicornis comatus
|
1 |
1 (5) |
|
Electus parrot |
Eclectus roratus
|
1 |
1 (5) |
|
Malay fish owl |
Ketupa ketupu
|
1 |
1 (5) |
|
Purple heron |
Ardea purpurea
|
1 |
- |
|
Wrinkled hornbill |
Rhyticeros corrugatus
|
1 |
- |
|
Victoria crown pigeon |
Goura cristata
|
2 |
- |
|
Lesser flamingo |
Phoeniconaias minor
|
1 |
- |
|
Total |
|
20 |
5 (25) |
Table 3.Distribution of sarcocysts in organs of infected mammals and birds
Table 3.
|
Common name |
Latin name |
Sex |
T |
O |
D |
H |
SM |
|
Swampy wallaby (M) |
Wallabia bicolor
|
Female |
- |
- |
- |
- |
+ |
|
Sun bear (M) |
Helarctos malayanus
|
Male |
- |
- |
+ |
- |
- |
|
Agile wallaby (M) |
Wallabia agilis
|
Male |
- |
- |
+ |
+ |
+ |
|
Eclectus parrot (B) |
Eclectus voratus
|
Female |
- |
- |
- |
- |
+ |
|
White crested hornbill (B) |
Berenicornis comatus
|
Female |
+ |
- |
- |
- |
- |
|
Guinea fowl (B) |
Numida meleagris
|
Female |
+ |
+ |
- |
+ |
- |
|
Guinea fowl (B) |
Numida meleagris
|
Male |
- |
- |
- |
+ |
- |
|
Malay fish owl (B) |
Ketupa ketupa
|
Female |
+ |
- |
- |
- |
+ |
Citations
Citations to this article as recorded by

- Gastrointestinal parasites of zoonotic importance observed in the wild, urban, and captive populations of non‐human primates in Malaysia
Madinah Adrus, Ramlah Zainudin, Mariana Ahamad, Mohd‐Azlan Jayasilan, Mohd Tajuddin Abdullah
Journal of Medical Primatology.2019; 48(1): 22. CrossRef - Prevalence of parasites in working pig‐tailed Macaques (Macaca nemestrina) in Kelantan, Malaysia
Siew Shean Choong, Mohamad Mimi Armiladiana, Hayati Hamdan Ruhil, Tan Li Peng
Journal of Medical Primatology.2019; 48(4): 207. CrossRef - Human and animal sarcocystosis in Malaysia: A review
Baha Latif, Azdayanti Muslim
Asian Pacific Journal of Tropical Biomedicine.2016; 6(11): 982. CrossRef - Neglected Tropical Diseases among Two Indigenous Subtribes in Peninsular Malaysia: Highlighting Differences and Co-Infection of Helminthiasis and Sarcocystosis
Soo Ching Lee, Romano Ngui, Tiong Kai Tan, Roslan Muhammad Aidil, Yvonne Ai Lian Lim, David Joseph Diemert
PLoS ONE.2014; 9(9): e107980. CrossRef - Initial Patient Cluster and First Positive Biopsy Findings in an Outbreak of Acute Muscular Sarcocystis-Like Infection in Travelers Returning from Tioman Island, Peninsular Malaysia, in 2011
Dennis Tappe, Karen Ernestus, Stephan Rauthe, Christoph Schoen, Matthias Frosch, Andreas Müller, August Stich
Journal of Clinical Microbiology.2013; 51(2): 725. CrossRef - Zoonoses: a potential obstacle to the growing wildlife industry of Namibia
Kudakwashe Magwedere, Maria Y. Hemberger, Louw C. Hoffman, Francis Dziva
Infection Ecology & Epidemiology.2012;[Epub] CrossRef - Detection of sarcocystic infection in a wild rodent (Apodemus agrarius chejuensis) captured on Jeju island
Tae-Hyoun Kim, Ju-Hee Han, Seo-Na Chang, Dong-Su Kim, Tamer Said Abdelkader, Seung-Hyeok Seok, Jong-Hwan Park, Hong-Shik Oh, Jong-Taek Kim, Byoung-Hee Lee, Jeong-Hwa Shin, Jung-Hyun Kim, Jong-Min Kim, Jae-Hak Park
Laboratory Animal Research.2011; 27(4): 357. CrossRef