Skip to main navigation Skip to main content
  • KSPTM
  • E-Submission

PHD : Parasites, Hosts and Diseases

OPEN ACCESS
ABOUT
BROWSE ARTICLES
FOR CONTRIBUTORS

Articles

Original Article

High Expression of Water-Soluble Recombinant Antigenic Domains of Toxoplasma gondii Secretory Organelles

The Korean Journal of Parasitology 2014;52(4):367-376.
Published online: August 29, 2014

Department of Parasitology, College of Medicine, The Catholic University of Korea, Seoul 137-701, Korea.JFIFddDuckydqhttp://ns.adobe.com/xap/1.0/ Adobed     ! 1AQa"q 2#w8B36v7XRr$9bCt%u&Ws'(xy4T5fH  !1AQaq"2B Rbr#u67Ѳ3sTt5v8Sc$4ĂCÔ%UӅFV ?_Aנj- H>>,m*>fzp"TrKkr^r.|_&]|*vPuܶvoQ1mwVJUhu-I"=LniAƕ8"۲ k*ҿ[yu:.vUQ+)%F DHyVBk>Hy8jݹ q~9D4KRmzQ)^ʔ.J%k_tVi5NTjg!'ky|5asOȻ)R۸ߩFMԿ3L4j6dڜ#NIwUF]JqB/(FafJRzq3\G՛ ?~\ 6)6W4m[O^L0E&rRMض*C .]Unl-1 1r#Rj/&QɈ׉˩s6Rj=5Tg.y.·Pӡ:JJS:C8-2u]d&vUz;7p9 5VnL֢"y)">iי(IDDd| Yj0; LRfS:ktYK%*N2^m|&dğth":ey)uPQZW)gcC3Pv&MMWd&Ŵ۲mvTRoժM03*F3Yd6\8,\hݻ kߔi<k NTwSԪmljj[>->ptU%'LR>&EBH$MQAUx[$Z6vi&_a.KIQ{hyƒ j"JOC9eFҝfj;˚Ω<[3_m% lQ@4g=5$(J]Yc-OMq<Ǎ wSzڗ)k$7VIP붾ͯnV+卵*t]iЎD31~SA1éC2u)ʼnQn-Uoi3:grI8ؓWm*G zܕ)ZקJ}Y YlGeJ6cB2I NS3Q>k=KTBT]W6+SOXQgGR? telˊ%-Re\hѯ2TF"C/OJΩ6r[N.0{SpljjX1“jOsӥ;ҭhe}xu`Ք&.)yO̒ Fߑ.$Qw;9Iw2o+RVJMSOj[SoҌZ%;`d$blQ{Ro{Imڌ>3egf\O֝Uzx"䢸g+mv%Gʆ:|V[N'&ס-ޝ'kfE|K,G&˳98Juin/\\Qݿ̋v~Ǩ!rtWU d|E߫R4d}.qPw*Ӭv5YEcn~f5c%MTMkb-F>5JT,})QHg%{("ӔȸWMsYyWNRrkkJr0XドnͫT}r-jj,Ŕʍ\Q2Ri>v$5!]"JB2WɅ)]VԜUc8i|.jeRO6^V.¸ Q&#|ܶ-*uOG%JAtRZRr]FFG\۩w+?'zչSѧt jz>KW&ot{7P&2D;&\\>Q2JzܗAKSfeNn[jRrԕf6,q,F1tRfԗ>vֶևj-&R'Zi2=xv~Elbsvm8=ӛ"ū񕜈BȩlWau[]ٷBߨF~J!|Ipr3R̴#Yp)={7:G{+:\W}n|Q#%)7^-h"Ƒq:M*%J&$T軨I333׎g_- ucBwwjp[6i25$̏bU’ٱRv?G\~#Iͪb7<<}Ezt" q_Inw,7-d,G÷%T* Wg1"䥱kq/A.,_KhqŒxwvo u2ۥۧ.bQ}XκA$֣ +K״ZUNmڸII{.v{5z5ѮRme[moyƾd~cRݾK'j.\i&/S6f|b=5: p!6i_ 4j6=.si˧eƾtS^c.Y^RJVS-Vi3,esi08?H$GvZgg?gi䤟2adw릿:"۪lkSN>q-4kI܋ێe̊qۅgDoѨ9; #T.Q;7#~_Ufstb_'w~Xw1Xk,vcOt._}v}8"(4Z\ۘgk?J?bm_c!g{HZV]Fkk%~gEt)b秴vΰB|꽸}mp~E6ݹv;7P٤v+ri*3Ԣ|'O14_~7nP{7ZU\Vű[ +7󖱅o#:ǥŬ\|3r%TJX]V7ez¨Y]lc|O3V! R zbJ'PnGqVJ"19WVeOF埜EaEJωqCN5Z g-9[S<$sUK5b|7sn\7x qmv##FF\ w[=-43$^ooVSiXօv7iB۴yg>]Vf"r$J3""32!Zh[K%7GvNLs+4nB/B{vlsobJaҺJR:0g%&zR\ S3T[&ִor*ⷳc3ʊO[iozW٨%$gn:ܶWwFBԹjHP&z u&F2\f;ipW73 [; '_̽b;vib!oec dC-tS__$Xs]l9&z$2/N>%'[}b{h/{`{Ji׉׏ YJB/X%}.|+{(S:qz]4_Kѵo`^tY_4S#* ^zvݾMr+TrkQ g.8Ͽ^i>ӈǙvix>$o( ^qt*&t1oJVu-ql5U6jCЉmĻ*"?JT=K'O/|=Vo}l0b}}f?X[?/\JSBe,kP8ETJ==?.p5ފgbU9}ǶdNKk—_$8̸͓ۍ8Di\BԿ-1v{FF]|.^ۅ{vl12׏z7-R7wE?\nh\jN/Kձr_oBw"N QMBZqe-m:ӨSn6j4%!hQ;sv'm4kcM=!8\m[M4{SMliۇ%eֽR&N:{2A8)THLK3Zj[jPBx#BگMf:G1\`edcʮ?|w(-̮vXt,bW2;.ιNHRR#YwTM"<;mk\.foIDjmlJ;vxy7o7i\,KQŊ9d^Mmgc L*.T6tLeIuOH3SJQ3=F/ʿ<9\JM6mN6=<{xkP!F1QR[I$6ُimXu2An2yԒMU q f[IB-'䤯jYm52&JG\zд\~vdg QtHGXw&1Lw+nDEdC1w|YJmvP)HZ>i0BPβә?R:QO["]I_Jʏۍ>QKyu^bycBq4lXF~l [\*N>-J6,Gq(Zr5h]CwYӤU~ʶߑ u*SIv%ZfJ7)! FS*s_\|IŸZ)J ]ܜi4"z[+Z,MOZ))}|Ʀ(RUNIII.S'ˍO~˨rn}M)xxӕ0 eyҵ7YMAB]ӣU:/ѭ*6bcwP͵ "+qēVjŹO|GtY4V j[mLV M -m>",B$ GD1~j6O4|LxnNmqATNR3ε|DŽa[fmn-ڭ+FiK7Pcm;r5 l8r{#-]'nrFh2ruycb;pW=njRqRJ(d mnpckNnʹ+6]tz~E=ʕ l ZZ5jSi3#47.Lcfe`9؏v囜.F\-UZ:*0_<Νu9Lӵm&)_3\^ҹ3"1n1v_|uRʞͫr'iȧN_kH׺8xXrj=\МH)V\ˬ.Xʸ oVRC}ySU9/OBY먌5 ٿwޞ)rw8Ӫi5*5ZΗcGƱ !ZۄlmpjJ -l <R̵/JAպZuq\IdUS 48wXJJtcg4cI~aqߓwŷrm-v)G7yS^7H^-\mŌAq|"m9IBnF㏉9[N+mmy/!KKۉ%n +BdddfFF6FQRN-U5;Sv'm4kcM=Mn)\qιqUd9F%",6MGdT%-+~ f%+y֛^3SrF>6lc(֪vۊN;g._0Sѧ]ETWرkQKzGe9ʨsKA"yC y2\[5 rԭ7Gk5Mzw_4sM3hxЊ'oÍ5jsub )ͪ~tR2H]R͍>̋m6=%(˿(Wrr-܅y5(ܔJ޺YunW̹븹NsqK ]/QR#"ZMDfD|43Qw|._ԡSqTZBg??O Ϥ)/E_U|i}2 9Z?¹0:x'3,whǣ?C y-A~=daJј&M?D1_PS+Oi&;a @;Dž7[ zZC"bv:jjMQk$M RԸ3uA\=wI.AwC"^.{?-\NSiˏ"b}T/}q/ o.1M}R%:-ZniʒL$SgrBW*,Mw'N\ɇ{s\j]VryG'8f`}'N<*/`U숻z CwHq18J+vԕKss4R53/&XTt1bZƟo\=%nO)h$rBi-nKĪ^ ջڜlwkYm[̑+/QrZo%TQ;TLs($2C:s.%+eoNttq۰kK7O0m_t_pZ1SsSM7"mevFZ[w -FJ*T*jФQRg BSu|]g:ɵzjqwmltL.e3sRMچkSmjkmWœިm++¦'tILk*բQ D,PB\lI[9{%Gb R6öۍmX-MaʉA931cs..G4CujQտ[9 }G-xwl)IQz j Ó"rqe&=]꾧֎c)<kӳ+0JrRR3'TnXi^xMF Bު*tIL.[h"2"nKzZe'ZV/RrNYz]8죝n]Ķܩ>^Ժ]u-7^\mZjܣ9+Rmn ߑv?oꋘ?&ƪy^N4o=3-ؔ̿*`}V݁ ƒPu8%$ ݗ]wt;\y\>='OjPIp/nJU8{϶FNMsf"ίNqƹ(+ ݮF2Km |jܴZs%zf*eȫ?]4)I۵nR&FX + [jDh(#哑9q9Eծj8noǕZf\J-l&Z˫}`ӎhyrΉn\űn]9pʌӣ"׮Wt?N4_I_~54#/my1Xr*척aS#DT >q ssΛW;3oUaJSRMDgQnt:Ql,/ ܷfRqiM Ȼ>Cob;A>ڦWقM9X~/!'MW.}Vrߔꔵ!5|iB(0-zF=}okڢE$^wW~nokY߮\6՜̌{i-AF*9)\t9IV6۸5ZUF6R$ŨQIq砳YUZ]eyv >hI櫥N )&l JulwE1GDOuFN2| }馥uC1rޫV+^gdb&W[4<^e4YW,d|htͮsUM)۸8:{3d{AѢ)~ \#J=NdƮꮓ90 |1K$v*?мS ]i$J,C,SG?/_՜pMSƯM|mG1V1$~K>CSvkuj=&) -,yLjuFHK{c駗.SOua;BrSqj-ۍZ#'Jys7[g2z/.u4+XV2VQ.ޕ)$"(%)#Z7suZ%j }BǬݕe)Jvz8zJf:hIN|svO1O#IEcۍjݽ:SdὮvu^@:o^5cs>i/VqmVm]ؔܢn6'vޑ̗J4Wn@OlKbX ;n:hgJ9ŻyǑz8f܌q&Y fN0N;[69 rbׅC2/#kE l&2~èMR.*%g=Ft.%؝e8<.e=Uv{~㻏"EˑnvDѭ͜Lu3u0:U֝$[M5<:oi+V4V9 6nXvx&_ q Qqw3W:uϔ2yb/(ɳ|5zQiJ#r|Hw#.W?4aDŲ\ugWG;Cw鐢K|xg)##=O.dF˟jMUvWĻsr.z]kPc9"]R)mkfOd*uYf١RsB Aîh=k]ʳUrrZsq`d#r$/Ը3o^&lRWȍyuW̦Y4QDUMJ65ƒ[+ygk XK_±k#y:8(TJOSQhJt2.DR}"5[) r)6V6u5k:eXZmv𭤔!푊Q[qQ}ҹLE- 8qIZG|UM4j}Mܕ[Vwm{} Naqµ"ԈM zOpKѰ?IAD3Ir0'/q1itoB5{%wkOBn-ۜduqIzYK60{+DʕܞqIt";r1mG/\/ym[6JƫR \L=S=OT@Ix[TMm{>ݾտ֒ݸӉLYIx>+"JVNzx||5rI?C{oz8۹e\R-^\A2F R+N9 vlT]"ۭ d)t֞i #E2jB@׵=#/N+!ĕhx}I!cM`ąZ*ŻɄҒ߮Y.Z}='/oۙ3IpW̮hT7cTSuz9>B}΄&h!>lӵn~j˅IvU.'v'CSZw8QK3G> ,J59ٷ+HSg䧎hJdzvwv-cvxS5[̊n~ؿ%ַX?O0\6ne 6kn9.ϯ} *h 8_QhLݣ7q +=XBҲ5?[[)+F`=4 }B,sNg==u*Nj9k_GJ)+R~GSPBȒZ:(K]heL=vKPӢwq(NrG^ثϣ?#tC?.ͼ[ۅo؞y#%ǛjVyLSw%T*s92JTM%"YkQО.q)gCͲn8cgi6j1MѾ[{9h^vƘǚםidfi.^RHmg&rׇz:}݃}xT$ضk'5s-狶,\vpbPD،=Okf.c#cdz2FK5T!&)|ntD<+OŹU i-G[EE*FDfeaf2QƤM\UG_{ǹm%\yrGy:.\4wjPGUJޕUV7Do\7Vy_13w;[?c]H\$IJ,*L]3b%L{y.JRKG2sq,B6T}(#nW|km+q5] r㪍bJ@y{byz,b踊3ϻJ,'^xd،)JVw#.Vټc''ÝպWtbRؒJz۠8!o9IۄS95E9ؔ-e9JR{dmnッ<[~n${~Њ$W?&ՐY_? #a.ߑv?oꋘ?&ơ|y^N4o=3t=~7!/M3>n8W홎2M`Qx+ z qy8%]7_~540ۦ彷]Wq CѡwkďyF5Dum_}~P(5.(X,K9vᯐ?leB9;Jhm#3{CxGE-S{;@Fz˙]=O'!ɿ]' r`:7'2bЖ>Iy,/eTy/V<.H?UYY{\^#ѣr9^7?xoRȆ7EoS_&??zϾM?(~Q-K&>"~aߨ t7Emsϛ+?;fCr)fY+>z$tIkjn_>vnrֳki-˹l= t;'EyC¥|/BLwBJdgjۛ$s S1|ɍV%JI6KvəhzIlBYɒ|0"Sy0F>eo5W)O+X˻u';v)2vVq۳kۮws?UʑBǴYO漪e2MIjPAک\b1)DDؚKm6ZWΨgȕ۶yjڳ 2ضN[C[|r@9Jfo<_eI7q.|cÊV߷:i.:$ȋ)1%%)ADZCEBxJ0MJۥy(bNsKM9k43IwNt.\%N簤I'.j|ƃ2$grBEٌ\}9:v*!n7M(ɽ]7c@XxƱԨ37īf62cTTfFK]9wntQHͮvٱI/f|j=7}\_V5U^+:uljSȃY(XI.ȱmo1甅jڎIZ2>#\*:gY|4k\8ZwSqtyA!+];бޞKծË¥e)#5ap.QK^8VdU{*ѽL\=qmjnB5>{ Ӟ`v±5 ^k&O~Oshɷ,;6nOW>u6{RqS`)S%jp\ipdEBLfTWy$GIYw~䲭J.1vSY5z.V>^+Ǎvc.I[R{QsNR3ӎfhd>y?UJ*}~[e\i5U^͛E]G_FS(Iɿ]i8:4zj~շsW,ˆsy:%O}iur]iF5~3M:Ӟ#N06)4ߧgdawIotiz:1r5YDZLHBSi;NQc44la=Y kQIT*ըl:tq2(է9VO4뒳܂~2rq'nrVZŦ[t7\oլfb/mlpc.I8콚q^1iE~䰳mi[dۧw֤ICfdFeCsg:i| 6擣׋* 96lust^{%99UNRvaMܽo ammi$em4D6DD\nA%$$#}۷/ݕr99JMն[oT޲E"KTaP+HGkŴj5TM5xƱOS-k`ۛkٝWz;{kS}F;~q|~^_|euwnE'pSupUP)V]vE+t =ZRaVdG6= *.ϼnj9:UɷbېmF_tޫgHjVS'śǕًdkkѻ_]Kv?nT>)^e=Ar1'3ԔILyD?:-^in):{7.؂\.:V }#뺾.3r̸*xbFM aȵz 6SQ:ײj[ 8nn iFMw rR"5M5I旘35f^j='j:nNW.ʭocZvZKV^ɚJ.cM1ZI7E'6rg탸5oZ=[m Z`\hbMUR١Ȗĉ):Jin!_7Dй+f̷eKҷvͨBPR(V`y6tw*MRΝcB.ڭTnc;P$8nFvm4(D(R#R-L -2:FP lxZKQc6I("Km%$E, 78uXIFA$RQI$JbInG]c[ֹ:ZM+n^')JmJMJRu{e)7jQDw~%yQl}BZujSSf۩QZ+Dzhd5o%BIc'GZ?}΍:>Ɵivז-%݌J5MqGWTVʦh݇ܟ~Օ_6 n'{3~mϬj'J11OȻn߃r Qr\3y٘+WӍ'WxEs^O3 o~[|7>]]H9݇ZomT@]?5B:Z߂'`V_+/MSKX߆ޠk3?o7y:4R/7þ] iG߬aBRU&?r&/} cQߥGj2?C5Yśe7hU=?+ x龳f-܈czW^7p%-(\D4h{UK&ӡn^m]Fݢ:`δvj俜F+) y[{{ 7 tu>gvrěOj'5 iRg[ͶFjGe n~qT$ci ۚ0oԹc*jL[sVWqj\ݻ&6"WoK:cnWmrv)o>66(F>=W^bf#c zzʞtپy%mՉPël e}J.\Zk4ttt>oEM=q)hJjI=ͥ(%]脼_88ф;͛gWG;Cw~˘$4=uWdĜTثNDkiQL9U*O"4XP`02,Ge-k5$h>ܼ]3vr6!9RQPIVSnM(ۓ{>;/Qͱv{3&-[rc)ܚI$n{Sv3[j00)-D3z}MRzVQпj,T[uVs0\}Sid;r(ݝJ>æʺL&c[jPK0~d(FKÝW\m]GTcF|Iׁ)I3~#oX%vҦEݑؼ5Żv2qAZTE^..M{ʐfȏ2##.R}*KʛZz^ӞN*lPťLf\G6[WVQquV]XAi)5J!,$iJ6o$tPZc;Kjx_n3`qIelV~vLy{fn匋Ѿn%;zV.n'-ұdd2߽1bZksPe3TI9)$ԩIN9Vơ\=2885N\ p)/a柛w9g_lױo8ݷ iixJV& ғRi{N^_oAŮE6Y7I$Nk$|Q)-*4Z)^¸%4Qm [I%.c-OV+C֧R#%ѨCe3i;w$G+_dy| Fzj$DI(=OA gj%v/]8qԯNIS*֩',Q%\44ZZ%D|Ǧʴ6&vֵI$%8(ԬƾS&#Z. }6z?b/|Jl{ץv&mpx4Z$”ڝ4-H%dGKfM:sKSRWeJAn]>s6应-W9'H]'uȫYvgK^\czp|My\鏩w/ËQ.)]\QiS`8uL뚛̸=J"ܻi\å'-)54Ue]:K\퓡vK xwBqrH\*֕TnzC.mT=t-H]SČ~Nu╏NÅ3f|͡G~B+Xm[Q7U{9"~jgK Zoʰ7"qJ,ekSeNGgϳ] ^.6:s}_,%eRg<5⿨z{ZPun#jRІ.6g T.!]xa c#jN$Zpl̋H WZu8WmMRýsĮ?Mco~sx TU҆Q :KDG4n42.<3/'^?6/ܠڒ^yrrÿr2\D}}B]^E~^T cɛ7϶Y[<֞[7d}2%QPqOLEQR\CIsj1?\}%tJ0e~ *sk"*)&ۓEi#{1J8Hrt|'ܝRr8)=ƔN'RVz:cf]F7bZyZUȘ4x8,#JG̒?.W9XnO]KO]%]ƻ O5Γ/3qÓj؍/r̺rƵ 5\&m6h.xoeX[=<3%< lZ"2h\Z[&jW3ejm?k&[]ųj+{N{66leu_+lj]q* 7g*knأYv= q ەdxЬZ|%GUrQ3jLŒqET]1% qkXYūYc[7Ś]QY\jko\</Lc7+'hMSUc6qXyؙ~6#ѯv.0$BQi5YyIhɍiy=KD!n3Vm[V%W-B%swa97ajۗ m+9~]fKq|Ddaˑ0A]_v޺mM5* F-BYHJ5}q>ʉ.6hyDmpD׬'-_v5;5[8K[viJ.3dR:oYHHh9I7:۽fi+wm^ [)odPѱ52CZUJicSw\&_s0uBȍh32džzQflcd^m|7GѹE!fO5]]H9݇ZomT@]?5B:Z߂'`V_+/MSKX߆ޠk3?o7y:4R/7þ] iG߬aBRU&?r&/} cQߥGj2?C5Yśe7hU=?+ x龳f-܈czW^7p%5|Y:SJE\U-(a_cƣUǽXXKiȞNlmۊڭڄR!**ܤMeȽ$|X5(Ź\rJ~ܮ]>'HB0cp XFr_c?f?7<ukSgov¥iG>>䙗i.+t+bOjIܶ . i^:nm}s}(3>NZ$2Qg([".>i.ƾ)B̋M8+"- >eE6DݥJnJˣt׻ 5.˅nJGwZD~!i۶a,Db3ZQ3O#KO5/֍ozuK'GbRi᝘NV_ҝcvם ZoX}F6z 7e5_e:ۓj=AB+iܔERadMBq*ԯ DwI/Gy*mĥiRKg6skY/#SN4e$-yXM YL?^ĸNNӪ{$r1JJRSLO]Aqm>V/s[~i/j+m>z}eI"Qvp]{ZԼ:{vPAG2=T͡@ڐ#u"E*>C;o$~C#_d/HBq^YRٽzIKbOm\~żjFFGdiQ(*/i*#.FF]©m=BmpQQQSP&Ҫ!T&^>:y)$ˑÐFčI Bӡ-t!bM WҦŶ'UZ=}zvn~oT/\ǒ'nr8 AJIӆz<^uߖ4eFC1i+v!3qNyߕni?4JZlmYFXFۼO0B\m[ tʄU3s"Sr(NJ;SKW72L4̏BVdf^Ҹj\]ȱ۪(ӷm?J-KEmWڽ^4<8qu%9pŹW~877ܾeVгS(յe^C]yX͹! םm4FGȋ\y'Z FX7e)|Gjt߹#gb\ŧq_([R8[qU$Z (ʻezV2V!iQ,i$JE˂٩ a(GK'O{vnBvryRd-RK4=qxZJMl_CuuIz @Rt㮽޳!|68\-l[џ84-2Pu" RJ_^OL>G1~XnBŬw6J0*Uvlږ1N G1q9IUm*'oWu][&UyYZbBZRZNfEJf"+2nF~Eû7n1xv.RUM$6 lAxSQJ&n5ܞwlEói"#>4׿Q.nEq7Oko[1wg8ZQwZYiqtm&~">Bo?w͡ni2峋NCEy Ҕ+%ZJ ʩq*fpˤl,~^Mχk1+:ݕ z&Y`KLӪУDr3[*Z :(SL&ݻ۬Vqsyԭs x|iI߽zZrg.:mp%6ԜvgmpIUt;QbS.Է) ǨKSV,*lڌ|5Jt3#NP.=+OZ~/G سIgbꥹJnl_DUM\iM!֔wVZuԺ,yV.Q>f v:݇WiaŸN5Ҕ[M7SsrvǣrMW= \8ZW-jsnڕ.ZnF2qt ً[ٻޘY۷Zm"Jxr&NAfA-݌to9s359݆mZ+N1-qS$D=17 x׵+%_ ve4ir6Z$FDڗnFtOr'7'{9C˨ꤡaYoace{Refnft RR"4%ʌm:Sj3)OdInTO>X'vxV#jܮw9Fog;5.~Y5\~18YQܹvj4+~t7S ﬕs %^۵ڴDZV69R^Y+rj$ԇoJKR5wB9C>Y:l+EǎS{ʲ{T6Wi* ^^9k/y/Cs\g*qڵgn4T8mERr|Ti+iPe;;.i\EBEJ 丬i9ɧM-ԼsGDrZ>r#R>~X9y4b棇9JwV۔%m(b[Tjvl}۩~nDԺ{Zo-YuK1vx.nWuO+jN [ٮ0%"΢CdTJK-RަH"$I(*ve &҉FzB,_Vpqp9m8werv')E;o&QE׵^d9˦j\_,ڵugZȻ̧8k+jK{wmr@3ӭ2 wFkzFVqs1؛.v'I%$[iT]D5Dl2 nk7qUxԫLS+sا3/ΖeZYK<["%-g/kRs:f3;*E ت wJ%)5&+&rw*霣i|sMҴ|;R+fm䡩.!**dӶ-6s6,]zAXMWjmnz%SJߴm2UXw7MQ%<!tKys#P,W>s;3IYwx<+i_\\\U6 u7P|xbn_k&ӓVOe䦒 VUr,-㘘"-LZeOSҠթrEvq8Kf%5%&K"#%vD/.ZYYŏ+p$nZkvއuW9㓱Z G wYIFyf)?ƎUm5ԉ/'k84{KO:rQI}XRuԪ|*lu)3qZ[mSm5R3".Xcَ5c®ࢫI*۳~wRϿQWޝ(EJrri&ۥ^ʶ齲Im|[yb;mnm֩uiܘq>E+Ikx߄3r33-5𹻖09ϖ9[Tz~mr5NsWl$oPusޛ^{Z;);sڹf\3oٹZmԉ/'k84{NO:rQIBø8Bݱ3n֤DiK4u& ofSȒܩx<˘|N0Fչ]qsp"}! QWw@t4ӭ+cO5%]'*{eM߲DRO1y*q8w++e!c߶ܪlZWّM欼 CQ̼빶lX{vib/V/ ai;x6~]+z]MWB>re-:lgk}պ!#9?%܋V-c[z!W?c7YNm/jRr[HOzԻefճ0q15Zp#rkQQ0tU-AmڵP/cȕ?0cZYj;:0ZM=D6g ?'UN+ձ[K ܖB2'xq9{|۫N0ku 7xaj;n\ 2[VznMlWiKbSk))f..)Km)&bGZ=>OR܍W:j'rM'wYz&/鶧{Sʵb"vջq[I-ՌZH._x*BagC'T(Q:$ͳQcMCKy?3g'ߝqnT);qs #ؤZ}OOI:cfnc8W~qy.;^pVl]Hԓ>^H^@7-AA܃nmL(uWܻS߿ Td95Bdh4t6*dDh!EhI[iŨ\L.&Nc ܮf^;$R)\rip9I|ٺ?#R.ZDZ;/]nݻqs\QE9M&Bd ]N mN*D>tgbK>+ˏ.!23]BȔR1ɝ^j'k2ƮqBQq[$di]icV/e`޵B.FIIJqbi>Ӥ|p; 6${)RU>_e}^dzdfzi %ekRVUS?6'hׂ)5.\+qUgzE2C˷ecŏ^֔ibk shesFWJ#~> Wk~ݨ}ڶ>ơǚ)׽ZƉo~B-ڼrvoE:Ʃ3ۣK7+Y`WirS):{>ڛ}:wԨ(J_";6R%[u&ƫdZ_\'np| RJwNeTW,=rrbnkڄ[M3ܴz)3- R.?:okۼ0TU'w{6&w7j1z3ON'fGoO?)S_bQ_¿R(^ԴԴG.EtMڇ&RUiW uQjU> Kiu1d<ѥIQ'RQ1:O/lŗᏩiʂv&Jc{D5 Tt)1.n[n۶X}RjqnOʽ(~[Ns{ސ⛌uO,kgo֢dRNQȄ .'6W!׌P朼tdZjFGE"]K@'i۪N;sI[{SOzk>`rRR+!σj8&TjlvA̷Q?HyjyLHNտJMjܶT۽lG?SnKN%<‘ nq[N0Sq[Ta(&t(|HGO~gvkݻTR4&Z$#ViOY1r$6YF?e4U/Mvxų:zbU^gQQ+NW_'4jfz^c'#`rvrڡ(IJ/J ݦ6 ]-CW |_{v*_q3^DZ}Ic6Uڌ8p7{crZq5ki`)mU6|-Z5^iEz3P=:Cu7DF'k%}<C-޹ֲ̱#\,(f88%X-N(ck0VLR~} G"-8ӏ/ϰKq?(#nrVTmZ;zióM4 m |UT'C^_1X.gXM{%ʤd 4\ovN":"y-,T)fLQgۢr=/CƹǨJVr[a+!rT|%Y\ٱzsS>jͱ.oOc6f$q% ǒGo;n[];ߎjrk{~\VۓNIGn:iqxo |~t5)Rxעri{Vi&NUOl_ѮMfsޕkЄay.0P{7N((BaIP$ K"U6Gl ݙqJRu+qN$ m#*p<|{:>-Ev=86N*MM긭U*uѾ?/^o7;'u,h4݌xښRM:5.(/ \իU.{F^rmF-Jɷ.>Q"[4xT^OZ~mK}T0ݛ^SAo9u?lX(' qj%=X}"^e4wˠ|rܫ 6I\Ķ;Ӻw!'ڍWg{ i U_9Avhۣƾ+:vs/MK[ɭīe{`Zgb}r[i'GE2J7Nez579wRq+Un ]J.cJ4M:h箽Wxxm^ pc\wcN%'My $$| :$Fqɏ¾^қP9J6Wxvu}ݵP>Z'FFdg"-; [¢cmWkÎT8nG%ݣ7*\խCLRYZͤiD&J#'ehbSyXK|y*ӞpS̍R`[pTr/Eg)K+92{_ n3zwz'oŸۤ+sOj J:`T>Cf*lwd\fYOP"R E֢̔L4ɥ :;.b(B02rJ蠟9>V'9M%)IqnhP<%,r'P/vNSwr#w"ݨaqc(|{kd=^0jTMR2ULNz|.<|^PfY22##!,K~E BEJۜ&jRNsHަޛg\r,v؜.jK3)[EJ2ii{KEiHP^&]Gn8x=K}Wx/KI9-ϵwQ%spܾ[^R}S3$qvq8M[ ozKxcqmJ/ӿ{_}7&ݨ\f6ZSyQz& 7ۉ[8~UNn|nkiTB+4RI8'Nc%tn{!]Ȋo.nEmʱn𵵥J A+wy#+ikǒڂ;՛s85'KmE:Ђu""Iģ5p=БbTY-ͽڔ詻ngL2Q}$de# fs^o{DUUsfwӶ;s1T,ǤtޒQ\෼J=.tKU,7čJ5 N$y3kdSMQU~mO[03 $zAڟsF5^뜞"Կ QHmrR"ӳηer+ҔZ]hE-6Jmt'ޒ=O[sQj)6K}?e4v_KfZheޓ=BV[bY}lݒTTЬ{ȫvO_qpRApVŗ 6ju=*BR)g "O1yhb=tqJ gtm\b3RY+JQ^Ō֍\յ\>+uSi{=x ^w;uӘ#ĸzLn*$anok߷CBӷ}5Yqvdž<( "_OWit5:EZj2 B ρ1̊fi[n!HQF82q1牙nqnEpT(2RMoM4ϳOu ':֧_Xjsg jP^(ڙ{2%E͖j^}ZU[Q$'U) <܂%!s"m R'G5M0<+zM6qYm$ڕ$3ǧH]?o2N<8F1̻r_my[Rf59NjpzBnl7*{.QP 3N&^BLJPjAHCK2Q}$#~YMq8 k(MFMU)8MEqTy+Tʞ-ar5yܕOXw!e;q-Jqܶ䓊Y:LC UE{/t>r"lI9)3KJjϤA 6SEE$d߇3KG*En|P\ԭTn6I-ƍKTj<1H_zwGr19wF N8ݝ+a9ɫM6mhePi%mmD! """"""*1bRKrD"vnrM۫mmĽm]ӡiG~e"˩ lhRTMk^MX["Jݱk7_ޕ*DqĒ&flՒ}`W}~SմZ{ĕ~wm*/{{ѹ_-0ط#P]xlڱ~Tn5wi*lڪ (JxioϏbqKYR|!|KN53 OS222$jzww%i}>N)E+rۥ7c$Ofl/LNث\6H9: FY󡈾I)fB֔JI_ ֣^: 9mY{66㒢7Uj]:.-os[R&gMF3˸#໹kmjq^8W"PΦURjʄWa˧T!͋ lW48JB2ko+ /Nw QwQzQ ے%$ޓ7^YL|r7!v%Trܥ &|M8~ybrn[RV gSn{{*#2#ԽᢏӴHak" ӌcwҜw&RJ07ױ>Ļ =^ BɆ)v32.M1=#6%̠tҤnzqMwԣ~s*%-j|_m*.Yx9Sz=)qE4 3pk+,`=kNRڥ=B=nŔNAx)Q$ԩȧ4z3t#Z2lҮYn$S%y- JzGpu|LBV7ZW#;Wwipܷ%(6jFG5#{$D"uۭ~]֫SrD܃fҎӾ+Tu>-ZTQ& N|$沸ii>eRWݳu'[O̻j8JۻEѩ[]vni= ڒ,[_%kC7I3Nv$4ɎЈeٸoUu:[}Do5|zNq=Tre%ɧ6&~DȍF]ƞG5q m]/w/ \ʲr8=oʔe9U(W"|S]uZd#?Se[W"ֿh][-7Nu:T=)R}.;ml*5Dlf $fF(̏T hiIUU4Szɕ t(%_|2 ~6eM;TƗK[f&]LK^CE2[ȏBOd;Mi|cx,^6;sیGpQ\NuJIFTJ~đArh* B"$H쉩eXPRj?sl"ԥ)su]xpԴY%VESH"ЋJǰ K&5^Ukzׄ8kEgS2h&Se\ Yl]WҶp-ZUvi7QS:4byqOo+[̺腋[6-_Fo.6[7$p&^ _GZԸߍkc.qqoI[9m߸YxOZЦ1uoiSH)P9Uʄjcq= S>֙NeR><;+ڌk%_qT].srNO?s[=vH[]RZHRMtᩗVؾ:/~u)ԍdg%=edVrISb{6vSu=(ܥ)mTv/J}̇8 S3ad:^hBSf؉OɔLhI_1d8,L><_A0y3rXq"'(۱;mFNII.v5_(^q~X>y{3צ I*Vܛv/jW' T'NR'j%ꔩ:mJ3SB}΋!-H-RJBТQoedi9tjENenPpke.%4]#{:>mkEɱdYWl\\\'nRM4&U>?Ќˉk÷!𴪛]]5}UqG~ݏI"O~s6(Ļ)qO~h}uԕd}Q~G,oE!&G&/]_H-O=o{k\̭bkv.Ô܈+;arZx)m?M\3lU$mk-CFXjTv6u' g:Vn_*qk:VC A%'4JV%EY)#BғO4<e׿jQQ]yUr4=wm[K1r׵%Iũ-O}|kC;/VcݩWZ)EHdžTru]8hgĵ-;=>U_ InvTm_jBM+QiF"9*{DI/iuo(=TzϖmPQl_v4z>T*ȴ>YF;ε\t]EH4ꌇ[VrLzef 2T^V>g2~kg5~Nק;{~Z~W}&ŒBӿS2$J?~(Yœ"˲ߩ\O]: J׉ښT{mmIѩn3˧)4LdFZ/zUG>U> n 5& ϴ-KJi2o]uKljvK3$bԔҚV旧iY5.ίfi96v7!v))FJM4{jG~Jt/lUE%pTAFe4qQk\ve۽/u/Im+W')v{\-E|Pms7߮DZRr۞/mu*1ՙaB܆ -xg3#6ۥtRogʌU)׎]ZҞNnŞr}F1Nnޞ;cZ{N}ۿMiuxʉ*3qi'9KHQ$WJxXyرŔe~[v5~/jN9Q4o6rJv FrdxM*iRjMzUinHdн7ᾞS=S'7 } ̽zt7K|_g J=Lq+/Bw_\ۧx\HJUPzQ<hqF[V0x==CsU7q|^ {)Iq38$_A(VgcKu06Ƅ"%i~_ˉk QCܣB8Ku/񋇵u([w}$F|8TՠI.E !;RJ^}MɒD_q2];Ɖ{5}*n7nEInO{Mwv}&q+v [V}Ĝ@%>#dXQ$f;iep.GquixVt x6bj͵mlKقQ[T]zs/&yەnM'W}!Fp_d^Tu N{ɻ'l{խ2.sTu{W^H&;1s)Pӛ6>$mě;Łnj= fLT)>׸+qReɴ[UR\L*P/!$Ӊ3Q 'K=m~6XqW3^W+ųO_[F$rR*u"T%@O +%# ]˽!aܽz{ͷvQh쩎]hGތ5ɇ*DzJDRNLi 4:{~2FmXY-zzĽ^f=]uū{/+&c:Ma{ĝDp2m܍kHș/(--m_vݮK(V{R}.k&yƴ7i^4@3f sK3^Ř˸B=]?gt5KbZB<e;kQLpxuWC}n 5ҴepB##~q= `x]KWF {GfŲ}?G.I9pjWkU]>={7q{kO/^I3==f1ɏ%nnʫ/Zu_yXN<57ۍ'vy/"8넭M2eԷ&Y,в33%IkjMr7xf nmQkX4踼>a-GcIeތw&U=-:qnW)z¥j :WqSZvԒ#j"KrIU)%qrmRoDGQ~SYRsu*V)  ,/x)MFD6O#]z 96[Ui(JRfw'y$GeUީkdMF-ݻ98F2d[o{Rn0n-xsV6Dh|Eb2E:KCOӪv4SJCr"J!!m,hRLD| ZYFm/X~ΧfrN&4Ƒ=Z9Mh.Mܵw/BdrܥniŪ8ɧ|y%œ[M=_tj?F!z5\evM:\ ~F-sg钬OWq“iiȍ<Gi%%n2rqͻllƑ)okw7}\Uk-:&fj솘XerV9yZuʼşdFC=rmo%~ZN78X(N)_7.Εn1MpJ}62jjJdI";R5&iLԸc:jmqiQj$ujp\{;v5B񥍪Xn Ą4qOERjzN(Ga٠䌡)p*v(J7#ZۻZ8O W uONb+^Qipv9GvֽƼϯrYƖKGJQDNPhRJjᡧC"21"9ѓS1;R_O7/WGz)8fE%F2ukmvSov/iZ&/]~KmI[:^~ͤ\kMi稜\ywJt3W7 8Ʒ~ݥeFgѼw"8VVSج\뻆}ݭ/J6Q)d|)zU3>k\L=;ow֯gN3pKѫ|wmkZ$z^2R:E)f>ς нd|#׆?\ǔpV{;\$ƵE%-ͪm0S6[n< kE[}mvE4DDZ^$OZ0*$~XUv҅B@^?]so#%ojw;Y#SxxueBگy v^i-)s)zV jC{7Gt.w3v,ygg8s]aE_,*E tY5k٨h=o"m泏:\6w噓aiL׎n^c\75AGkЯ0Lf46َ`egZ˓p/k;̛]kq!ݸzpԭG"}R9Ve>ˏHUjJ-&7nrnwG*Xv\˱/vN}O)ʼn&CV͍f̵]r\PMB-6Du-#RͰtRN^)mT _}nSȕC*_xBuTkJW[`ɩ`ejvsngP ڻ.-WUtܑqԹQj)t;vN&RNũT+8%IXӃ5fK՛-d9 ]CƑm|nZ-6=Hz,*aEm W3VzRšdY~Xf׀Xx"]s;)5u*ُHB BRGS6bݶؿ 9j[1*jױga7oX CUI%0v#~\-O-Ꙛuɷ쏪&5mY٦M`LJ2qK~HZbr =N'YobI. (^ ׾{_ ?OJ`S`3BN[}5w6:ǵ/iSlt=4F*d&T4y/#. ɵim5Uֲf 眕6Y7 fơ=3dϕq뚩$qTM-%r!$@A? ޾V0c~{[{;򥧅a~ڵ»&ڄv1ek=wb MLkNAԬw-x>~/r=e73VeVN)K%Sښe"+3uXuچrn ֺVzscJ峻m}vb㶓n\YbIUBT%*,0nov=;z꣓S/nSXSpl##k9mXGrZv^Gde!ŷRԠzQyjC]`gToPov{j~KRBMY}i[߶9KL2ԉO0K#m>wB[ٍ+n[[b٦DX ݲpo] [\m5qdT()mo4Oy9Ie b][wղmM~vmi۱~t \}$яimRk(L c Cvk7r9_r1 ;zv|F@KyZ[&jEji/"6$69ml#e]9s\{ScL}Ȣؿ0q/nZ*t,CLoD߉Njǚy=Pgmu6^]l-["çUʖMlʍp-"qmU>۷uFOJ%Ǔkx 'g=睋k[3u,{³WɘݪF]ՍeFX"Oy\,cچ=w/gn Ļ]#2? vqy-gXnR.^}ݺFs{ŝG]}e|#0mjx"ƬWكm?rgU^xVB":Dt>@LRbun~ݭ,w+v⪕;\U(RYa61>#Jm˞Μ9g9XKaG='u8gf}'qy#ɉw J]We.ʲ-<+&q%s?2dњztҼn`cΤmmqMdz O[-ߩӲ&;[tmܝVnr">{x<8U+p:Ig]zjGkt,uzf}dؠoJaکqEq -(:d<պ=eKy[˗^%ZXkX[C2߱\ITTLGzANM￵i]K>UsOGDDD.ZF6* ҃V Zhz{'xp^`wo8r0h ZmJ5"jb[l=yUu7-;7IT%:jFjߖm0tzU'K)څNۧYJ)4IQ}^KWm7kSP>q;ނ#)'n7&׊r?óM{IwR\j2Qn[v pe#/tAF\ϵ225q֒om6z})6҅*oqDsMf CNIN=T S2t,_ѧ}kveMF0J\Rnnݙܹy[rUc-j{yGtkQ%s]5qB.Nw.JN1LvR Ui5J ZESQԙr):MJ+g}χ!2;q([jAud][ljVK3$ײSJI=/|&tl'*n۽f.frܥ jQO8>&Z];.|7T/C}$ڋUmP2Reҭ8hFF\L 3~e v\۫]ݝNmrnB%*]Z«hKc=BTLG :V74$=Ǘy+EX'4tn(I:Ѝ;Df8c,k1%dJ6.j6ź{N~l6&*fœI7 WAlGOu-ҢH,,(ǔe뿋쩨kM܍ZſgRvQ' 9)?n|er˭|I|-fGK.rΛp8XV1%K6mvG+tc+qE&ǸC_Nm:l=_/m5^[dߌڇ.c<%:)tQ$Ow~-aY;UJ>=F)2[nk؆?훐M=l6[4(O.]2#-H^n#->&mp5~Fӛ+|| S,xag%qkEUzUgæBhߕP(7]kFnq?֖CpruZ6*rEڊtS|*tI*E}7R<,nUU֫^I7Q*mSly%rdȓd8hE<9oHhMfNSRj[i7D[Rj݊+kდq{"$$H?p\̅S?㭻;t~R߁)^/>Qj`yt[w ԛ;²~+ߔ_ YW~|o]?x^ᯛ `ʼn;g)T@vWn]>&4lp+$D̢1l|ȨF%-}.9[}w~ ԠLM9hСablfe&QoW!s?wjLK?s7yO>(=C~_nyǜu?v3vyo oI@qV-jeES^[9WoSܝh"l2C1a͔CiJ@3:Pճw=/7ovuk+\V;lDgն<[A+rX~d;m!_s8ݖ׷;;.0llUC+?i#_crʙ1~C.\–q ul8Hܶ2m`ܻM3Tov|Bs rɵ"oLS- DКw=Tv@f'6|YlD͓Y%׵-#Ѯo%:&!3o%\J<02;K87>^vgƓ# ;ݝmz^Y6=PS39U%~ &f# }o!muH;ʲŇ˷yvP+&.7e[3'vR4Yj̗IZ`e˽3o[WU{ m[sUbۋZǾۆl6~9'V*.\S2<Sd*zY[aŶ`]C$n.v^Ʌ dng>ەZ,Mmϑ :n6nϦezWqUJ4! ۇ4R! =>>Fn|Q[{pRO17ƕ~._I''00k=b՛o}Osðc2'o\3}ݭQ^2 . R1yKȣtAݿ-uܾw!`?1Whn|gzUo[ECWwjUIן)^h#1ɭ!/Z np;o;ΗŻkXs."6E`Z1 עӐ9Kl8qd q} 2Stt;#j>;խabONŗ=fwP1j)l6J̶|gV2`y/0E˛6+ԫ1? 6}KW c\KoKͨ2ۅFw–s*TԞLיuDx .kCzWXhy۶gLu|%TnupǺl-S* PRaLnT+c+*xl.v!.U=|; !_L̎뱚U=4hm:ٯ"y)$:>%(n}X'p[ȴ ^˒4kƓmzDx \ 'NqamP7nyN݅=j7%McSڵj%STy qXymvCg{w/w=wSW5r̹u erծˊsOm=DhEҚRb#n)QOxtվQwe]I}wCa'"[ۂ-z}2UuKP$㜉ԧ:mc<Ý>RoL?wu|%ҷ&K y_!y9 ??:tq3(UU-lkS'ɸ@jdzQˬR] EVPW1DJq2n:,c|ǻ̑;y{X,ۂ.u.b˕u.tKBjQ"[S園S`ٮdNبeJ&9Ơ ~0a(Vm٘L+Jr*vڑE( x0+tp˕ n';wm-ޜMOxX>{#2%jgb2M[`K*\5@8l'e=0u+w ֘鳾{y܀:R*Ya]"Ӧ%ktynlۣ65,3gU}{GYrb;ge'TKwǘ.,rpܚV]Tr,!dp /ԺU,xՉ>s׽~W5oTh yx?xrrx?)?ilbT׬,z$Ԏ.UH٠\U1pU:]JwSrGZq8àd驐,N67QYBӢD㏙W!Q25ϸo9ms-7-%3CihO.J鯽-;MZM8ku-7k9S$8]q2E(}bۏI[DKOK}3KUB^u %Y,u.-&f#]'܆o$x`Yu,dzwM;#oKxn;\[d7}Rb+*Y䛂ZuBӱl{j0O̓}LhK;[aֶaGL{Cb#S.T[>߃F]NK"u^LUʐ_ykW?!GRj29͖qa'0[npcDvV)qz9R)PۨM^aJx W] r>];eN3vxdmĘ(5W2K1䪖weF{mE/QP6\u54x5[hۮ-Nk”i[lUgL]J}5 S:EhiUrgHl!ŒJ$pe=q^b͵Q' ?6|R\,JA ڵ"TDꈭ:ymg`B5t%M] <N_zv2_Ortٵ/i/ReӮ*7[qүqEG* m"[I:6e^p"I$jԴęh!m)]GZkcjS!{e^z}+Cѥ9;R|/ֱeiUԏCNu2Zhcٗg$ݭwvr P8*7/Lk~I'Km1+MW%Bk|oOm>-#qj*|Dbѱkn|n{v#jĮqNpMIUm(7Liz;{ҜݞڝVƚVϬ+sO!OstGvxӉ']uӎ4g_ 1^-8ۦ k!)Ύ5O;YSB#2Zzχ;<.ֵOtge~.(RC#wFZeGZٸ6FFJ4e2ˇpJT$[wgV)q6muDGJ56q\I!̗ y/I~RtJ9kJ]Iy*'FN0s.[l!fw'y(7$œ WƫgyΙdMEU JQJv̋vmrۖ.jWR_M֨djYgSj0^\y'EoECjm$ IƩK>Z28J2TiJ2N#}.s cArl嫶nB.FIJ.)۔\ZiM>/hLĸ=C1s[?YMqp|94- 鮝𦔽/k^#NT(Y LS$6˩}{;5 )B۷W$qpN)qqoot}ZDVә;7TiK|6f3h$dԄ}fqݡ>Nb򗉉+ͶO]>ߡ_VtYf79ڰիF sq~prս|QM)g%l0ocJȨHz V;Bb/kLAcfPJ,ԭ{ƍgpjNR6VSI*$!yV足jᇑ.](EܣqM\qJ2eZT).<9UB/(B0j)mtKEj#׿fDI-=rZړj|'Nڤ]k*i$5qt"ݙPM6E4ke^Z8ۏhz$Q(R Ay2zfRñnpnkbkI:=j &ΝșW?׵d{+ύM'??XqeeĽ.[o=UxFS=ӷdZwenՄ]_X=ĭVa* pKs0ބۍfJ3 gz̚i|wnxtjc¼5${(1fXQ65ȼb̶Zkn>%FQMJXӡ{TZEVNᖣimT/37cNJUPnP҂ZOE~"-Rc4^b- FEͧtf5[)S!OZIښݲ͑;tvܡ+N)AR=hCNn;wL16-:特7M$=Tҕ-.R[HٷnXk sn[ҞD-0WS9p9:-Ϸ-jѬNu{ҹfv)[Ľvwfg(ٷfe+0mYj8Q1\ݧg]Eǎvڿc!4#j5̋C2"}BRriFp7=ô\TZ:\BLfj#I22װ<;صZl j 6:l"6]۸ K'6RTѯ^ئOԓV\?$x7s#r:Oh{ց=MmuHԷd{pN /܅:UE#Yy+(SgQ(Щ)RHzw>^Ѿݻ>mK&^ '$Jۻ&w%F|xfz%˳ L~3N?Cy9 v w/{ƿ kz3x> sXv}vP"@WyC z`'톽Dw%-tt yVY\wmuPYQA0iG-2JP,6/gˢ]u.-n!Zw.N7Q]Df}Q0({a\@=i_X7gFǘ8^⻲}G MZ1)WEfO12G+=-B@z\`||w6ċj߬m}UwRox֢I &c~XGP6Qndpvܻul'V7^FJt^{b^B(L~sѣ6@߿^xqU!ڙ5|Vpvef-uӥ^3  FSDɯKD%0r}FF穛r7 +o"V8tv̖NQU!5uFd"bCr^bJ=֤fM#ʳԷP0O-9xRBm\=`r-:;~3Tl(nXtXi%2Vٛ#vwqƴ`L@"H‹qW.j,JM5B[)WܺUeZFqc'V˷1W7V̾-MHФwn8N;HPSdݷC7&2j.W\τGŎ'Vb]c.x+Rx1%C2T{myg[qU|+m:M:շ8҉yWd)ՋWS%%:iqlʹmGwݹ WnNŤѩ5(9hTٵDdGUi-)vSs2 2{OnT$Xck n:¶(lASLeȔBjμPpTb2~N2~%^k[ܗ[Jzs0ӓHBKq[}JَA-$dFQgjxxFv4r/x*Rm% `4J(&iv7SkԲmSH1YWmx 8n.k']:Z˭_W >ڃXЩ. jTq%Aā[E}amc]D:rmHRiu:uӚӢ\p(5-q%e)(۬ҖȽIf<߽pr&ݫVfY91q2ĭEQgYbTGQ&,yL+N$[q*RVۉQ=FuTܻ>f>f㋳8N6$܌n)9&»iˤsX,݅܍ȩv+sRTpO}d?Wn/Inpȸ%O]StQO|v5\}7Zwb.AIVK^:wb{[uݯcytO߶S<{8KSRׁH̏N7ۚ[xkwYy_'ZӵF+>쌛ZUĦreE9F[24De{}@:ExWs-\ǻ7K-\JNvEk%:s˙#κ].oͳ;լ7wB6nwu:$L; DkI#Wz.:Xp(˅v$Sq,wn\qIN-e<5Oe+vuYTpcojUI_ާP8 O 7&VL8z$_B-H-[uh]T{|8=qVRN-:Ij:7PUtXϷmy鉿:RIM~33ӸS2#׳GdŲ5+/Bx{(WzȨ5Y㞎#|˖+ ط.|e<o/rߔX>7s}VE.OVti׽ .5nNJO"95{#q}Ay9do]R"M6z\tnNS-D!@3N_jicWsy*5uٮRcWv/.,j}=S)j5C^> Ie =gu9ӛqjtz]۪TMoߧI!Ǧ¶m:,"[L!{qAv-o 3{"KʼnrIkfٶj2ƙ؄S`7` k6jzޞ?e5G&6uʷ2%ԒRKE*G\Npom F/V |C0.q_eenƣ<5Oh'67ɪn[SĽ{ڔjǘzs;~׌(ۂ`ܢ1ƣ` _l9Va6%UQWh~P~\F^ZHR@:ۧCJ{ôGeBh;~ۧnU J\O+n2 RҠ)ng}Kh{5+S×ܛ.1ZjG)iRȤIN 4%{oΜ/eO[Nffd ĹK?nnԼMqX'܌nZvq<ķbFnͪaQ`5 s,M_լ?-@_{w{ӺձJ}GF[%v\5[ŒGkOw/ΜM9rjË%2+rd~+󲕛C9U۳r[aJǭm|˒LAʨSCq[XMۺoubfp:t+ΤĻo ][ zt-*67kvS7D·MMCQXm;)܎n_h%]4ܙnRk!]ڵsDUF"`R, &#R_*[z*ZqFXɻ]7|۵w+'pFDەs=r./ᐚm3Hשy yD"jHCr':sA65نѮ^o1V/ f;nFr3VM)e*- s D'H݅fӧ\*޷[k<7u<-]֍Q8R h|p=WlW3s%Q %3l}@U-K6f-NϿu|ڴmWN׮[׸F*mW\%r! C78:޳vBG7ŵ.JթԚ2x)ST!řn~9 W:Wpܢ件{xf8ٳwKE ҰWxVB\qBZ 2wMb[lGSnyԚ~z9ZmያvoN2Afnݽjf>)j3 !;gOYʹK" Wftڎ+׭b*2ϻK>ۢӱeyԪXISUm[z+ugX%0lϏnvg!;t{BqPj>PyvR7Cj]O%+ݲ :qiMj6W}3vC/R=4Som]ŗ=ю, TF6U_-\6MyskwMr&Q\wjKܩyMϣUj0*}RZܷSdY3>Zjqj6TgzpA/M`/Cmл,޻feE[/+uk^Vs1W$G(JsW2ٰu*߻q*Y޵.Wi:ur5T),=0uRmho.twܖiYwrWHntvEj8qhf`Ͻpf(R&>Ki%I7$QӖm-2 ~yߗQ-앑/ x[k8nw.c㩵k}]FkbJl:{.(˩n0Hqvαp7 귎.Gupx[N`Yq'+ruU7[ү+>!xrȫoSo]OC# d^Q]\>!ƛGw^Mx"-+%vdX-:M2UR%d>%l ioSu6lsj7D P>XxHz Ukà(n^Q V>5cVtWj SEiJdznyej[lE' 3kuٌNn4JW)gB {4 j6&]' m-(ZMEz8cz>WZ6#7+[,MR-Z!4ܓtCyE|umj1ƽvƷV\;%>Q :#Le(iVz5 4ũۤUWxX ^(ҔsլB2w-V ^R+; ˂M\z+Uwr+RWY⺧~ Q*JcYSNSλUd8in=v K낫k\IRרSUaCFmϿ5̗P|u ZTԕ}>oYѲ1sfP+sQkX8Gb~6r,s>^\,mGL+7[n-E\.Fqḕcl*Jmjb5 ,m]c}NXfeVlǸJ5eˡ$4%g~N p4Y*WwW٧<8v#;qԩTut,m"#Y D\5V`\\Lȋ];LȇiS6ϝZ l>LruR\v=ǘϔDg=ԈdFZ+M{=|,[;0>RiSi4,S5}yxw&(E7&fݙ4UՕ! ~'Id)]ǽu2K-fޭ \08Vڅ쓬=Vy^^ IhyKR-B#Ըr=]mܻӾ'*Umkoy rTqT_i,/8Q^<ݤ|4ԻO(܄"'5N~#m.(Ҿ2i6Uev&I*<}҄$eNtÛzyWJubW^iBW.܅Wڮg]irO6Ve90sgv.+sV޿aޔ[p?3q*FutUo*eL\KM'EG*ZcAFfG5J 5jj=MJ3OK:k˝'NMB7m3uFҕ\-Ywg%PRqMIyZGY9|μvn߻5cWݷa^+X֥vnݘ\v7m>Fgzv"-;Ew֝}1|RjN𿊀7g#֟*GQQ|#/bo]p$>_Un9гUbn9׃ErQBU-^vDmVh'<R[fdHT]*~}3j;nvjc7s-rӳ Y8[n[1pJx kX[Jk9Mn!_Nю6x:iZ˦U |߉^Ԛ݃hYxk &U^bwKk.[jE+P(˞=9j@snCv7%c_7=xǁ<l {t'酚+1F‹l׭:ݻILruǶkL-L(K0L1&>wXB(pm;1fpnlp֓%Skidkt(U +xulo'/ڕeN r=^pZZ:Pnj8Hf"48ijY[ N[yZٻ+=  ø:3 ?^ܷ^Sr#YK[UF?CuhC b]GM')mڏsNrܗI]ljq6VB. W,UK"YX5{c >Iqā> T:n!,5l2VzCl|+I[*SrjnS6٨y+x,@>П.g+!rn9>N|W>OZT_ut Y""v7|sfި;Pclm EùN,{'fNT%U&LfH8~1v>Il}统u6P˗c(WV~H^bMU.o*oOF0N:_:6Smr_.b+|ݶYY غF,mwjv>f*>QM뭱Sd:`N{l/⎱;n-z~"Gze퇎J5S KG9!Gn;N1 ݎ h6m|S?ɂ5'WOÞ 7|7^ao @mxGmi^jϽ>01Mf0լD3-2T. VXR"ɥV Kl J O7|u?bvа;6.eߓ|[1bmRr,eRz`z 6܎-ͨku͹Fː dPhYgZUj}nvX;z=gVեTv_J }\1n7w2J?ޘγc\E 1Aޑzq;\r]]\Y&[nsNei\uURje*Qk2CSl*xJz-xٶlm+|UjUؓ`Ladqiĩ!Gd\W~fz;Tn*PdRM&T4`չSWq5k훶(N"Ӎ% V]֦wb.nUO!u*J&Oӕ2e|Z=eV쫚΅g#+/RW:طnbi*Wyo)p{:ETKؚR(RY+r웓r(IF) VmȵNB:h Q1ғ|u8E]{,'$-TR[j49l*3"I鯴zhd>Q+\BkNF=.$ZR4Nwհ(IpNi.(Gi33#33e$FXK*NdWrud[r{xnk$v2ıh+J1TQ[#JQl[tRO]LHKٮ NӍnF񨔤֞Em'MILB"ԋ%dBŋ+p̿_17jzT~4pc Vo\ƹb9Rq-'1j;8ܗ)hE%DZKS<璸Bu*%*Yw5ڻ9ۣ^z4U; Ñk\U(o~G?VUĎ:?P?_F_Kߤ~ᓾI |pr.Ok\SklRhҪz{­P .}SktZ7UQ4ڌIM8̈eaӊJZ%FFZu,KZvln廐SNFIVtuNi?CM5]+Ph,{jN JSR$IS^tSUVrORYu.9WyP6 [Kiu m!X|]Y79ӄ)\ģ)pbڳr%*&ꑶ_-H*dzk)1 V3')UAϹٶWRxe'պn۫h7AR9 EAJeGLms!%D| A 5]/Q3eb̄vnVn%za\m kZnv([emqrIҕij|""><hjJשvvǕ|Pޟs}V~2&Z?+2N&Z4w@)4iSڪ_>/JN9Hiۏuf8'It[ȲR.hZ$ȋ_Y ~U<UUO*6b)Ovzڜj\R̋.$FsQuҊj^נ䈈y<zZIuP[}Qm=C?zN(Exqu/kn S-FzKZzOסӽjJ\)F3b!r5ٝ|;6 o=-3*λ]αb\abqRi-w޵⦪~b8Kpo)Z=>)ғ"5/GTZLE-輵f7ݘ۹~+&+w/7GFI:l33fg.N~۲\2|*cnermnnM+Fq"ѪIz%j =YW8@~gc/~?N'?)«qȸs➟n=k" X“m֮VreMh2[uݖ] *FܖN)MȐ`f0 g,C9̑o;ddudJ=In13:ݒvvdMUEJLp^,6t-@͐9'{7m{-3,>hnF;ѰM)->>+Ěz!R* :`e--m7nB\u{b U>[8֪]6^ߤLʦ\DFNo$$dͶlgno8OrsQ\l̯hRo8tuNo+ CTxu!2[>ctFpeޓƻֶR"3QrQuOѳgwQr;S~)6HhZw/GgVTmUf_yt7%$];zLWF̰xy2Ʉu!MCmš_0[W6jf#a-KLi+3Q7c^qg%s<1aYIQeZf+}>;S6L0]Yu_h9߻<ƅpmiM$AVvŚ,*#t2.8Y)-Zhshü97/#Oro"u^/uFgWɺ,p:6a,^x%$Yve^3PƗMnTP&yS}OJ '덫MH^:rXԴJۋ/rI;S*,+yz1hv)Qw^ڍJ2oL׊q(\fDj:^T%vOadɂnS}ZO)N*λdaȜkG_PIEO}нa(^iQX᯦-7^)%g'SJx(.S9zVɴZ{E ))ۅi/s7 VIV-|sj0*UBTHIqRf>FP$KqN0 R̻8j\GcC}IUz\i 6F)Q{Gҧ3qSzKj-Az VЛS-zy:8*mNk|D鿓ND2u+0Yŝ7kqm·?8Ib]u>˗^_>(]vӋzv+ݩ){vZrJ2RQ몋C$z [,pp,8mڊbR]Il .f~d/ݓs㓓mͶ{mgjQwn=Oic9ܚm4Q/6ݨ[TƧ?nԶoytf{@AzT{e{[O'ZRZt~AGD?s3􌿂ՉIw'|~U\ w~di:Kޱ)U/sU%njѩ&GSP^ǝd)..!^U` 1wX[aԇSxoFV6_扐)T 2Mfd=ۖͭiZ7KK Bi9%7@<3<ճԻU,},a}FRqɛr i@ONJvK KLN M, ʖv0n-]DwlI-X6ܶ$Jʴh5O+mOI+Ra瞠\ MG7BفjYo1#͖0V`Ѱ2M?c8>-Crt*JkIGS:e#hPKx[鱼>{5m;wcն&>j-M֥^َ) 6yȜl_w{-ō̱r> U=]iw3)r*]:K]6BdCTZ|>gf}LW}[$'Y5 &c -j.z6R 67MԷFMnÌwI7w5E}o޽+K ֵy4܌ȥW"COyR[q5Ӱ͙f[v"_#q{MV6܍3"u9BK(41ӯqˇc${ߝCi6I(OmθzҜ5k^:>Jzw.>qV8{vU[ڶEm|DžBz].KHjI]x;Mɗ{m,qZXr忇2u^RO2Z}ZێS[2Jen!*NDcrBUً4<ǼMҲs1Zw57c3&ĖڻzmP*FuJG1-dN:|OU}ҵgi2t~F^^Z.VxjvŧnNNh<:]^~NN+ge^g.SԔGFe߯'[vn'(ScJ]kܗ7eJOlRrfziݮq̋S"\*U<*W]k$FջV}? 7g#֟*GQQ|#/bo]p$>_Un9;l S VvQU%OLU{οmU6bZ1MTx%!֙Q7, J=!3 ;Q,ڌ;6ͱ݅q^&ߔ·n #WbwӖX.HtG)N&d̵zpI,n cu ޖUj+VXUp[w]N o.J6Z8Ts&utxln;~HPHS/xw`G\ʡ¿rj Z^vt"[L:SD\h0sUwR,}[x^X,R2Vn< ]2YDr[SRKs8tXb̷G?Ps Tv 3be,zVz D[/I.KOEQrm'$7|[J>r S`5յwT#\w1FTz\Ԛ &"ׅhSHrD\'r]~/>p;:Piuu:"9ő=tTaS7V2rӷk7mb[^WmPp*[y.Þ6f]cizJCgRR@UVl큝.WJP1N{/\whZ ػϧӱE7|E֫Sί.x-Y&pi%v''-x6r'Ws*6=DwwUu]=C?MK [yrtܒG$!WGqJ*%SAz ED[^)/tė/g=#Omd.|^n/sl׉g DZqemqowݮRzUܜ=ڽ-o/Iۖ;qVʘgPp|mm;6zGl9.8pwWgsJ2qPbe}}UpNjٯ}7TMQKrؽtEx%v w߾8%|j;~|}pK]ơ/ w߾8%|j;~|}pK]ơ/ w&~e_H 8PL7:%ʭ5Kw&U2vwR_+rm'}C7#rWoO&HoG?M$UR7{FU]u ;# !Wk`|W>׹潇9Vn)6)*ҹ{%qV4q>W1vi#T"Qk&GwxcJBJ- Ϸ^ˁxkU}ԣ/3.;]J=<*)cS)ROK9H=,r zX @)cS)Da^ԽQ gxJI=w֣gf*TRj

Corresponding author (howoo@catholic.ac.kr)
• Received: April 17, 2014   • Revised: June 10, 2014   • Accepted: June 15, 2014

© 2014, Korean Society for Parasitology and Tropical Medicine

This is an Open Access article distributed under the terms of the Creative Commons Attribution Non-Commercial License (http://creativecommons.org/licenses/by-nc/3.0/) which permits unrestricted non-commercial use, distribution, and reproduction in any medium, provided the original work is properly cited.

  • 10,295 Views
  • 77 Download
  • 4 Web of Science
  • 4 Crossref
  • 4 Scopus
prev next
  • Recombinant antigenic proteins of Toxoplasma gondii are alternative source of antigens which are easily obtainable for serodiagnosis of toxoplasmosis. In this study, highly antigenic secretory organellar proteins, dense granular GRA2 and GRA3, rhoptrial ROP2, and micronemal MIC2, were analyzed by bioinformatics approach to express as water-soluble forms of antigenic domains. The transmembrane region and disorder tendency of 4 secretory proteins were predicted to clone the genes into pGEX-4T-1 vector. Recombinant plasmids were transformed into BL21 (DE3) pLysS E. coli, and GST fusion proteins were expressed with IPTG. As a result, GST fusion proteins with GRA225-105, GRA339-138, ROP2324-561, and MIC21-284 domains had respectively higher value of IgG avidity. The rGST-GRA225-105 and rGST-GRA339-138 were soluble, while rGST-ROP2324-561 and rGST-MIC21-284 were not. GRA231-71, intrinsically unstructured domain (IUD) of GRA2, was used as a linker to enhance the solubility. The rGST-GRA231-71-ROP2324-561, a chimeric protein, appeared to be soluble. Moreover, rGST-GRA231-71-MIC21-284 was also soluble and had higher IgG avidity comparing to rGST-MIC21-284. These 4 highly expressed and water-soluble recombinant antigenic proteins may be promising candidates to improve the serodiagnosis of toxoplasmosis in addition to the major surface antigen of SAG1.
Toxoplasma gondii is an obligate intracellular protozoan parasite and an important zoonotic pathogen [1]. It infects a broad range of warm blooded animals, including human beings, causing severe congenital defects, abortion, and neonatal complications [2]. Acquired infection is also possible, of which almost of all are benign and asymptomatic but the infection proceeds to a chronic cyst formation stage in the central nervous system or in muscle. Sometimes retinochoroiditis and meningoencephalitis occur in newly infected and reactivated cases with the brain cyst [3,4].
For serodiagnosis of toxoplasmosis, lots of commercial serological kits are developed most of which are based on Toxoplasma lysate antigens (TLA) [5]. Recently, many studies showed that recombinant proteins of T. gondii may be an alternative source of antigens due to producing safer diagnostic antigens with lower cost of production and purification [6]. Three major advantages of the recombinant antigens for the diagnosis of T. gondii infection are summarized [5,7] such that the composition of recombinant antigens is precisely known, the use of more than 1 defined antigen, and the method can be easily standardized. On the while, 2 disadvantages of using recombinant antigens are described as the problem of expression efficiency of the different antigens in Escherichia coli [8] and mis-folding of the recombinant antigens. It may not be very identical to native antigens that are produced by T. gondii, since there are different ways in that the molecule is folded in E. coli and T. gondii [9]. The importance of the folding process may affect the ability of antibody production against native antigen to recognize and bind to a defined recombinant antigen with the same affinity. Recombinant proteins fused with an intrinsically unstructured domain (IUD) of GRA2 enhanced diagnostic sensitivity, wherein the IUD is flexible and helps the proteins folded correctly to expose the antigenic domains [10].
Antigens of T. gondii are composed of surface antigens as well as several others from specific secretory organelles: micronemes, rhoptries, and dense granules [11]. SAG1, the major surface antigen, is well studied and analyzed [12]. GRA2 and GRA3, dense granular antigens, are well explored and summarized in several studies [13,14,15]. ROP2, a rhoptry antigen, contains an ordered catalytic domain of kinase [16]. MIC2, a micronemal protein, has no signal sequence peptides in N-terminal but has a transmembrane region in C-terminal [17]. Many studies developed recombinant antigens with surface antigens and dense granule proteins, but micronemal and rhoptry proteins were merely chosen [5]. In the present study, we analyzed GRA2, GRA3, ROP2, and MIC2 using bioinformatics approaches [18,19] to dissect the antigenic domain of each protein. The diagnostic value of the fragmented recombinant antigens was analyzed in an IgG avidity test. Four low molecular weight recombinant proteins including 2 chimeric proteins which have relatively higher value of IgG avidity are identified as highly yielded and water soluble.
Parasites and sera
Tachyzoites of RH strain of T. gondii were injected into BALB/c mice intraperitoneally, and peritoneal exudates were collected right after the death of mice with Dulbecco's Phosphate Buffered Saline (DPBS) at day 4. Fresh RH tachyzoites were washed in DPBS and collected after centrifugation as Toxoplasma lysate antigen (TLA). Sera of patients of toxoplasmosis were tested positively by ELISA as in a previous study [20].
Reagents and antibodies
Horseradish peroxidase (HRP)-conjugated anti-rabbit antibody and HRP-conjugated anti-human IgG antibody were purchased from Sigma Aldrich (St. Louis, Missouri, USA). Rabbit monoclonal GST antibody was purchased from Santa Cruz Biotechnology (Santa Cruz, California, USA). The pGEX-4T-1 vector and BL21 (DE3) pLysS E. coli were from GE Healthcare (Little Chalfont, UK). RNA extraction kit and plasmid prep kit were from Gene All (Seoul, Korea). The cDNA synthesis kit was from Clontech Laboratories (Mountain View, California, USA). DH5α E. coli, PCR synthesis kit, T4 ligation kit and restriction enzyme digestion kit were from Enzynomics (Seoul, Korea). Primers were synthesized in Bioneer Corporation (Daejeon, Korea). Isopropyl β-D-1-thiogalactopyranoside (IPTG) and ampicillin were from Duchefa Biochemie (Haarlem, The Netherlands).
Bioinformatics analysis
Four secretory organellar T. gondii proteins were chosen according to highly antigenic excretory/secretory proteins reported in a previous study [21]. Intrinsically unstructured regions of those proteins were predicted by IUPred server (http://iupred.enzim.hu/). Transmembrane regions of those proteins were predicted by DAS server (http://www.sbc.su.se/~miklos/DAS/maindas.html). Based on the transmembrane regions and intrinsically unstructured regions of each protein, several sets of primers [18,19] were designed to subclone fragments of genes into pGEX-4T-1 vector, respectively.
Construction of recombinant plasmids
Total RNA extraction and cDNA synthesis were done according to the manuals of manufacturers. Target fragments were amplified by PCR with designed primers (Table 1). PCR products and pGEX-4T-1 vector were purified and digested by restriction enzymes. Digested fragments were ligated into the pGEX-4T-1 vector. After transformation, recombinant plasmids were amplified in DH5α.
Expression and solubility of GST fusion proteins
The pGEX-4T-1 vector and recombinant plasmids were extracted from DH5α E. coli and transformed into BL21 (DE3) pLysS E. coli. GST and GST fusion proteins were induced at 0.5 mM IPTG. Pellets of E. coli after induction were sonicated in DPBS. The mixture of the sonication was regarded as the total lysates of E. coli expressing GST recombinant proteins. After centrifugation at 16,000 g, 4℃ for 10 min, the supernatant was saved as a soluble fraction and the precipitant as an insoluble fraction. Following western blot, the expression and solubility of GST fusion proteins were examined with rabbit monoclonal GST antibody.
Western blot analysis
Samples were dissolved by SDS-PAGE and transferred to a nitrocellulose (NC) membrane (Whatman GmbH, Dassel, Germany) by mini-protean Tetra system (BioRad, Hercules, California, USA). The membrane was incubated with 5% skim milk (Difco Laboratories, Detroit, Michigan, USA) in PBS with 0.5% Tween 20 (PBST) for 1hr. After washing with PBST, membranes were incubated with the 1st antibody in PBST with 5% skim milk at room temperature (RT) for 2 hr. It was then incubated with the 2nd antibody in PBST with 5% skim milk at RT for 2 hr. Signals were detected with ECL Western blotting kit (Millipore Co., Billerica, Massachusetts, USA).
Analysis of the antigenicity of recombinant proteins
Total lysates of E. coli and TLA were transferred to NC membrane and incubated with patient serum as the 1st antibody in western blot. Then, membranes were incubated with HRP-conjugated anti-human IgG antibody. Signals were detected with ECL western blotting kit.
Construction and expression of GST-GRA2 fusion protein
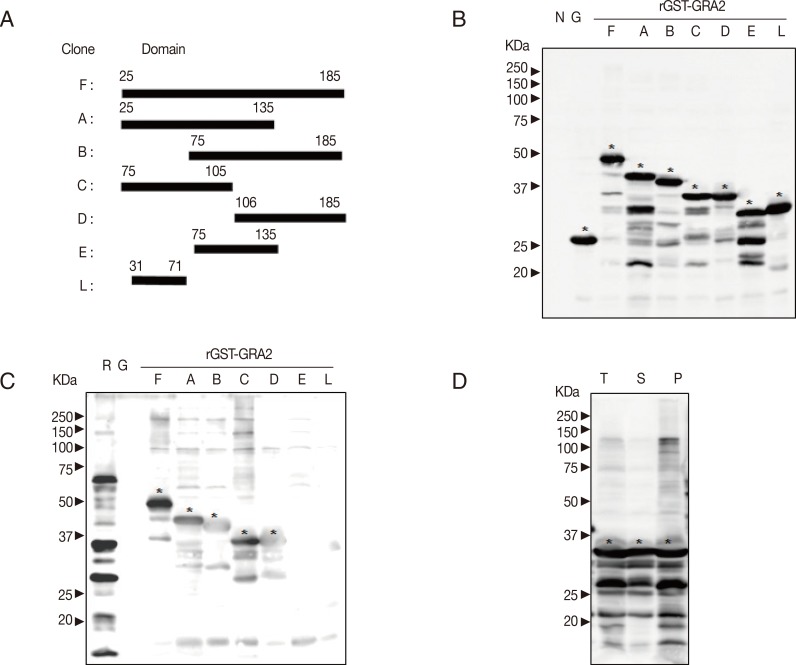
The transmembrane regions and the intrinsically unstructured domains of GRA2 (GenBank no. HM014012.1) were predicted by DAS server and IUPred server [18,19]. The transmembrane region of GRA2 is in its N-terminal as a signal sequence. The GRA2 shows higher disorder tendency except the 36 amino acids of N-terminal containing signal sequence. Based on the analysis of the structure, 7 fragments of cDNA of GRA2 were subcloned into pGEX-4T-1 vector in BamHI, EcoRI, or XhoI sites. Cloning domains and corresponding sequences of cDNA are shown in Fig. 1A.
The pGEX-4T-1 and recombinant plasmids were transformed into BL21 (DE3) pLysS E. coli. All recombinant proteins were induced at 30℃ with 0.5 mM IPTG. As shown in Fig. 1B, rGST-GRA2 fusion proteins were well expressed. In Fig. 1C, rGST-GRA225-185, rGST-GRA225-135, and rGST-GRA225-105 show stronger antigenicity, while rGST-GRA275-185 and rGST-GRA2106-185 show weaker antigenicity. The solubility of rGST-GRA225-105 was tested as shown in Fig. 1D; it was expressed at 30℃ with 0.5 mM IPTG as a soluble form.
Construction and expression of GST-GRA3 fusion protein
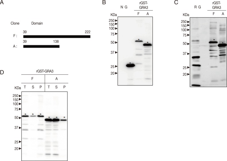
The main transmembrane region of GRA3 (GenBank no. EF552406.1) is in its N-terminal, and the middle of C-terminal of GRA3 shows relatively higher profile score. The whole fragment of GRA3 is predicted with lower disorder tendency comparing to GRA2. Based on the analysis of the structure, 2 fragments of cDNA of GRA3 were subcloned into pGEX-4T-1 vector in EcoRI and XhoI sites. Cloning domains and corresponding sequences of cDNA are shown in Fig. 2A.
All recombinant proteins in BL21 (DE3) pLysS E. coli were induced at 30℃, 0.5 mM IPTG. As shown in Fig. 2B and D, rGST-GRA339-138 fusion protein was well expressed, but rGST-GRA339-222 was not. As shown in Fig. 2C, rGST-GRA339-138 and rGST-GRA339-222 present equivalent antigenicity. The rGST-GRA339-222 is slightly soluble, and rGST-GRA339-138 is significantly soluble at 30℃, 0.5 mM IPTG in Fig. 2D.
Construction and expression of GST-ROP2 fusion protein
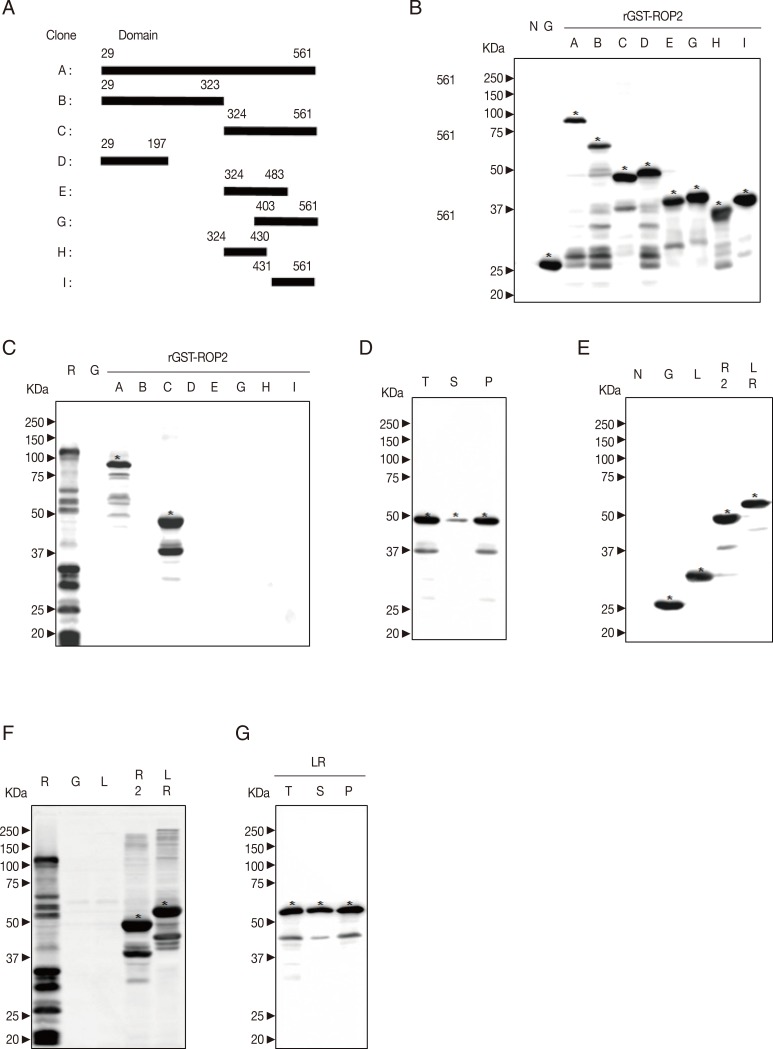
The main transmembrane region of ROP2 (GenBank no. Z36906.1) is in its N-terminal. The N-terminal sequence of ROP2 except peptide signal sequence is predicted to have higher disorder tendency, while the kinase domain of ROP2 shows lower disorder tendency. Based on these analyses, 8 fragments of cDNA of ROP2 were subcloned into pGEX-4T-1 vector in EcoRI or XhoI sites. Cloning domains and corresponding sequences of cDNA are shown in Fig. 3A.
The pGEX-4T-1 and recombinant plasmids were transformed into BL21 (DE3) pLysS E. coli. As shown in Fig. 3B, rGST-ROP2 fusion proteins were well expressed at 30℃, 0.5 mM IPTG. In Fig. 3C, rGST-ROP229-561 and rGST-ROP2324-561 showed higher antigenicity. However, rGST-ROP2324-561 is slightly soluble at 20℃ and 30℃, 0.5 mM IPTG in Fig. 3D.
The domain of GRA231-71 is predicted with a low profile score and high disorder tendency to be chosen as a linker. The pGEX-4T-1/GRA231-71 and PCR product of ROP2324-561 were digested by EcoRI restriction digestion enzyme. Two linear DNA were ligated and transformed into BL21 (DE3) pLysS E. coli. In Fig. 3E and F, rGST-GRA231-71-ROP2324-561 protein was well expressed and possessed same antigenicity as rGST-ROP2324-561. However, rGST-GRA231-71-ROP2324-561 protein was soluble at 20℃, 0.5 mM IPTG (Fig. 3G).
Construction and expression of GST-MIC2 fusion protein
The main transmembrane region of MIC2 (GenBank no. XM_002367433.1) is predicted in its C-terminal, and the downstream half of the C-terminal sequence of MIC2 possesses higher disorder tendency. Based on the structure and results of bioinformatics analysis, 10 fragments of cDNA of MIC2 were subcloned into pGEX-4T-1 vector in EcoRI or XhoI sites. Cloning domains and corresponding sequences of cDNA are shown in Fig. 4A.
All recombinant proteins in BL21 (DE3) pLysS E. coli were induced at 30℃, 0.5 mM IPTG. As shown in Fig. 4B, rGST-MIC2 fusion proteins were well expressed. In Fig. 4C, rGST-MIC21-723 showed the strongest antigenicity and further dissected as rGST-MIC21-284 maintained strong antigenicity. Others possessed slight or no antigenicity. However, rGST-MIC21-284 is slightly soluble at 30℃, 0.5 mM IPTG in Fig. 4D.
The pGEX-4T-1/GRA231-71 and PCR product of MIC21-284 were digested by EcoRI and XhoI restriction digestion enzymes. Two linear DNA were ligated and transformed into BL21 (DE3) pLysS E. coli. In Fig. 4E, rGST-GRA231-71-MIC21-284 protein was well expressed as much as rGST-MIC21-284. However, comparing to rGST-MIC21-284, rGST-GRA231-71-MIC21-284 protein was significantly increased the solubility at 30℃, 0.5 mM IPTG and possessed higher antigenicity in Fig. 4F and 4G.
Currently, lots of recombinant antigens of T. gondii have been developed and tested in ELISA and western blot for recognition of anti-T. gondii antibodies [5] because highly yielded recombinant antigen in prokaryotic expression system is not expensive and short-time consuming [6]. However, the disadvantage of recombinant antigens is that the folding of recombinant antigens may be very different from those of native antigens [7] to expose the antigenic epitope correctly. The solubility of recombinant antigens affects the application of them to prepare the serological test apparatus. To solve those problems, bioinformatics approaches were applied to predict the structure of proteins [10,22,23,24].
It is reported that a fly-casting model for intrinsically unstructured protein recognition [25], which illustrates a relatively unstructured disordered protein molecule, is revealed to have a greater capture radius for a specific binding site with increasing flexibility [26,27]. The recombinant antigen fused with the IUD domain of GRA2 is significantly soluble and shows an enhanced antigenicity. In the present study, using bioinformatics tools, the protein structure of GRA2, GRA3, ROP2, and MIC2 genes were analyzed, which was revealed as major secretory/excretory antigens of T. gondii as reported in our previous study [21].
GRA2 is a promising candidate for serodiagnosis of toxoplasmaosis [28]. Except the signal sequence, the whole domain of GRA2 is predicted as disordered region by bioinformatics tool. Seven fragments of GRA2 were cloned (Fig. 1A), all of which were well expressed (Fig. 1B). Recombinant proteins with 3 N-terminal domains of GRA2 showed respectively higher value of IgG avidity, comparing to other fusion proteins (Fig. 1C). Among them, rGST-GRA225-105 is the shortest recombinant protein and has characteristics of water-soluble (Fig. 1D) in this study. Therefore, GRA225-105 may be the main antigenic domain of GRA2 against patient serum.
GRA3 has 2 putative transmembrane regions and parasitophorous vacuolar membrane-associated GRA3 interacts with calcium modulating ligand of host cell endoplasmic reticulum [29]. Two fragments of GRA3 were cloned (Fig. 2A). Both of these 2 recombinant antigens showed the same antigenic ability against patient serum (Fig. 2C). However, the recombinant protein fused with the domain of GRA339-222 was not well expressed and slightly soluble (Fig. 2B, D) and furthermore the host BL21 (DE3) pLysS E. coli containing the recombinant plasmid underwent degradation during the induction with IPTG. On the while, rGST-GRA339-138 was well expressed and significantly soluble as shown in Fig. 2B and D. However, actual molecular weight of rGST-GRA339-138 estimated by SDS-PAGE analysis was not expected as calculated, which presumed due to the composition of amino acid residues [30]. Thus, rGST-GRA339-138 may be a promising candidate to develop a serological diagnosis kit.
ROP2 is a kind of kinase, and the catalytic domain of it is located in C-terminal half [16]. Three potential epitopes of ROP2 (197-216, 393-410, and 501-524) are recognized by human T cells [31] and rROP2196-561 has positive reactions to both Toxo-IgG and -IgM antibodies [32]. Eight fragments of ROP2 were cloned (Fig. 3A), and all fusion antigens were well expressed at indicated condition (Fig. 3B). The rGST-ROP229-561 and rGST-ROP2324-561 showed equivalent higher value of IgG avidity (Fig. 3C) as paralleled with a previous study [31], but rGST-ROP229-323 did not show antigenicity in the present study. Moreover, rGST-ROP2324-561 was slightly soluble at the indicated conditions (Fig. 3D) due to the well-folded structure of the catalytic domain of ROP2. The insolubility of rGST-ROP2324-561 is a big obstacle to develop a serodiagnostic kit; therefore, the unfolded flexible linker was recommended in this study [10]. The IUD region of GRA231-71 was subcloned into the recombinant antigen (Fig. 3E), which resulted in the increase of solubility of the kimeric protein rGST-GRA231-71-ROP2324-561 at the indicated condition comparing to rGST-ROP2324-561 (Fig. 3G). The antigenicity of rGST-GRA231-71-ROP2324-561 was maintained as same as that of rGST-ROP2324-561 (Fig. 3F). The rGST-GRA231-71-ROP2324-561 may be a promising candidate to develop a serological diagnosis kit.
MIC2 has a transmembrane region in its C-terminal region and has no signal peptides [7]. Ten fragments of MIC2 were cloned (Fig. 4A), and all fusion antigens were well expressed at the indicated condition (Fig. 4B). The rGST-MIC21-723 and rGST-MIC21-284 showed higher values of IgG avidity comparing to other recombinant antigens (Fig. 4C). One MIDAS and 1 TSP1 domains are involved in the amino acid 1-284 of MIC2 [7]. However, rGST-MIC229-323 was slightly soluble at the indicated conditions (Fig. 4D), which may be due to the well-folded structure of MIC21-284 domain. The rGST-MIC21-284 was not suitable to develop a serological diagnosis kit. The IUD region of GRA231-71 was subcloned into pGEX-4T-1/MIC21-284. As a result, rGST-GRA231-71-MIC21-284 was highly yielded and soluble (Fig. 4E, G) at the indicated condition comparing to rGST-MIC21-284. Interestingly, comparing to rGST-MIC21-284, rGST-GRA231-71-MIC21-284 showed a higher value of IgG avidity (Fig. 4F). It is strongly recommended that rGST-GRA231-71-MIC21-284 is a promising candidate to develop a serological diagnosis kit.
In summary, 4 promising recombinant antigens including 2 chimeric proteins were cloned. They have relatively lower molecular weight to enrich the number of antigens in a restricted condition of smaller diagnostic product with maintaining higher sensitivity. It is once again proven that IUD domain enhances the plasticity and solubility of proteins in the present study [10,26]. Therefore, based on the analysis of bioinformatics approaches, 4 recombinant antigens were cloned and promising candidates to develop serological diagnosis kits, for example ELISA or rapid diagnostic test (RDT).
National Research Foundation of KoreaNRF-2012R1A1A 2002612

We have no conflict of interest related to this study.

This research was partially supported by the Basic Science Research Program through the National Research Foundation of Korea (NRF) funded by the Ministry of Education, Science and Technology, Korea (NRF-2012R1A1A 2002612).
  • 1. Tenter AM, Heckeroth AR, Weiss LM. Toxoplasma gondii: from animals to humans. Int J Parasitol 2000;30:1217-1258.
  • 2. Wong SY, Remington JS. Toxoplasmosis in pregnancy. Clin Infect Dis 1994;18:853-861.
  • 3. Choi WY, Nam HW, Kwak NH, Huh W, Kim YR, Kang MW, Cho SY. Foodborne outbreaks of human toxoplasmosis. J Infect Dis 1997;175:1280-1282.
  • 4. Park YH, Han JH, Nam HW. Clinical features of ocular toxoplasmosis in Korean patients. Korean J Parasitol 2011;49:167-171.
  • 5. Holec-Gasior L. Toxoplasma gondii recombinant antigens as tools for serodiagnosis of human toxoplasmosis: current status of studies. Clin Vaccine Immunol 2013;20:1343-1351.
  • 6. Holec-Gasior L, Kur J. Toxoplasma gondii: recombinant GRA5 antigen for detection of immunoglobulin G antibodies using enzyme-linked immunosorbent assay. Exp Parasitol 2010;124:272-278.
  • 7. Pietkiewicz H, Hiszczyńska-Sawicka E, Kur J, Petersen E, Nielsen HV, Paul M, Stankiewicz M, Myjak P. Usefulness of Toxoplasma gondii recombinant antigens (GRA1, GRA7 and SAG1) in an immunoglobulin G avidity test for the serodiagnosis of toxoplasmosis. Parasitol Res 2007;100:333-337.
  • 8. Hiszczyńska-Sawicka E, Brillowska-Dabrowska A, Dabrowski S, Pietkiewicz H, Myjak P, Kur J. High yield expression and single-step purification of Toxoplasma gondii SAG1, GRA1, and GRA7 antigens in Escherichia coli. Protein Expr Purif 2003;27:150-157.
  • 9. Huang X, Xuan X, Suzuki H, Sugimoto C, Nagasawa H, Fujisaki K, Mikami T, Igarashi I. Characterization of Toxoplasma gondii SAG2 expressed in insect cells by recombinant baculovirus and evaluation of its diagnostic potential in an enzyme-linked immunosorbent assay. Clin Diagn Lab Immunol 2002;9:1343-1347.
  • 10. Song KJ, Yang Z, Chong CK, Kim JS, Lee KC, Kim TS, Nam HW. A rapid diagnostic test for toxoplasmosis using recombinant antigenic N-terminal Half of SAG1 linked with intrinsically unstructured domain of gra2 protein. Korean J Parasitol 2013;51:503-510.
  • 11. Ching XT, Lau YL, Fong MY, Nissapatorn V. Evaluation of Toxoplasma gondii recombinant dense granular protein (GRA2) for serodiagnosis by western blot. Parasitol Res 2013;112:1229-1236.
  • 12. Nam HW, Im KS, Baek EJ, Choi WY, Cho SY. Analysis of antigenic domain of GST fused major surface protein (p30) fragments of Toxoplasma gondii. Korean J Parasitol 1996;34:135-141.
  • 13. Nam HW. GRA proteins of Toxoplasma gondii: maintenance of host-parasite interactions across the parasitophorous vacuolar membrane. Korean J Parasitol 2009;47(suppl):S29-S37.
  • 14. Bermudes D, Dubremetz JF, Achbarou A, Joiner KA. Cloning of a cDNA encoding the dense granule protein GRA3 from Toxoplasma gondii. Mol Biochem Parasitol 1994;68:247-257.
  • 15. Mercier C, Lecordier L, Darcy F, Deslee D, Murray A, Tourvieille B, Maes P, Capron A, Cesbron-Delauw MF. Molecular characterization of a dense granule antigen (Gra 2) associated with the network of the parasitophorous vacuole in Toxoplasma gondii. Mol Biochem Parasitol 1993;58:71-82.
  • 16. Beckers CJ, Dubremetz JF, Mercereau-Puijalon O, Joiner KA. The Toxoplasma gondii rhoptry protein ROP 2 is inserted into the parasitophorous vacuole membrane, surrounding the intracellular parasite, and is exposed to the host cell cytoplasm. J Cell Biol 1994;127:947-961.
  • 17. Carruthers VB, Tomley FM. Microneme proteins in apicomplexans. Subcell Biochem 2008;47:33-45.
  • 18. Dosztányi Z, Csizmók V, Tompa P, Simon I. The pairwise energy content estimated from amino acid composition discriminates between folded and intrinsically unstructured proteins. J Mol Biol 2005;347:827-839.
  • 19. Cserzö M, Wallin E, Simon I, von Heijne G, Elofsson GA. Prediction of transmembrane alpha-helices in prokaryotic membrane proteins: the dense alignment surface method. Protein Eng 1997;10:673-676.
  • 20. Kim MH, Choi YK, Park YK, Nam HW. A toxoplasmic uveitis case of a 60-year-old male in Korea. Korean J Parasitol 2000;38:29-31.
  • 21. Son ES, Nam HW. Detection and characterization of excretory/secretory proteins from Toxoplasma gondii by monoclonal antibodies. Korean J Parasitol 2001;39:49-56.
  • 22. Bai Y, He S, Zhao G, Chen L, Shi N, Zhou H, Cong H, Zhao Q, Zhu XQ. Toxoplasma gondii: bioinformatics analysis, cloning and expression of a novel protein TgIMP1. Exp Parasitol 2012;132:458-464.
  • 23. Macêdo AG Jr, Cunha JP Jr, Cardoso TH, Silva MV, Santiago FM, Silva JS, Pirovani CP, Silva DA, Mineo JR, Mineo TW. SAG2A protein from Toxoplasma gondii interacts with both innate and adaptive immune compartments of infected hosts. Parasit Vectors 2013;6:163.
  • 24. Zhao G, Zhou A, Lu G, Meng M, Sun M, Bai Y, Han Y, Wang L, Zhou H, Cong H, Zhao Q, Zhu XQ, He S. Identification and characterization of Toxoplasma gondii aspartic protease 1 as a novel vaccine candidate against toxoplasmosis. Parasit Vectors 2013;6:175.
  • 25. Shoemaker BA, Portman JJ, Wolynes PG. Speeding molecular recognition by using the folding funnel: the fly-casting mechanism. Proc Natl Acad Sci USA 2000;97:8868-8873.
  • 26. Tompa P. The interplay between structure and function in intrinsically unstructured proteins. FEBS Lett 2005;579:3346-3354.
  • 27. Uversky VN, Dunker AK. The case for intrinsically disordered proteins playing contributory roles in molecular recognition without a stable 3D structure. F1000 Biol Rep 2013;5:1.
  • 28. Zhou H, Gu Q, Zhao Q, Zhang J, Cong H, Li Y, He S. Toxoplasma gondii: expression and characterization of a recombinant protein containing SAG1 and GRA2 in Pichia pastoris. Parasitol Res 2007;100:829-835.
  • 29. Kim JY, Ahn HJ, Ryu KJ, Nam HW. Interaction between parasitophorous vacuolar membrane-associated GRA3 and calcium modulating ligand of host cell endoplasmic reticulum in the parasitism of Toxoplasma gondii. Korean J Parasitol 2008;46:209-216.
  • 30. Mercier C, Adjogble KD, Däubener W, Delauw MF. Dense granules: are they key organelles to help understand the parasitophorous vacuole of all apicomplexa parasites? Int J Parasitol 2005;35:829-849.
  • 31. Saavedra R, Becerril MA, Dubeaux C, Lippens R, De Vos MJ, Hérion P, Bollen A. Epitopes recognized by human T lymphocytes in the ROP2 protein antigen of Toxoplasma gondii. Infect Immun 1996;64:3858-3862.
  • 32. Martin V, Arcavi M, Santillan G, Amendoeira MRR, De Souza NE, Griemberg G, Guarnera E, Garberi JC, Angel SO. Detection of human Toxoplasma-specific immunoglobulins A, M, and G with a recombinant Toxoplasma gondii Rop2 protein. Clin Diagn Lab Immunol 1998;5:627-631.
Fig. 1
Production of GST-GRA2 fusion protein. "N" indicates lysate of BL21 (DE3) pLysS E. coli without induction; "G", lysate of E. coli transformed with vector after induction; "R", Toxoplasma lysate antigen (TLA) of RH strain; "T", total lysates of E. coli; "S", soluble fraction; and "P", insoluble fraction. The meaning of abbreviations is the same in the following context without extra illustration. (A) Design of fragmentation of cDNA of GRA2; 7 fragments of GRA2 were cloned. The name of clones and amino acid regions are indicated. "F", full sequence of GRA2 without signal sequence; "A", 2/3 N-terminal (Nt); "B", 2/3 C-terminal (Ct); "C", half Nt; "D", half Ct; "E", middle 1/3 sequence; and "L", linker, is the high disorder sequence of Nt. (B) Expression of recombinant GRA2 antigens induced at 30℃, 0.5 mM IPTG. Target bands against GST by western blot were marked with asterisks. (C) Antigenicity of recombinant GRA2 antigens. Patient serum was applied to detect the antigenicity of recombinant proteins against human IgG by western blot. The detectable signal was marked with asterisks. (D) Solubility of recombinant GRA2 antigens. The solubility of rGST-GRA225-105 was tested by western blot against GST.
kjp-52-367-g001.jpg
Fig. 2
Production of GST-GRA3 fusion protein. (A) Design of fragmentation of cDNA of GRA3. Two fragments of GRA3 were cloned. "F", full sequence of GRA3 without signal sequence and "A", half Nt GRA3 without predicted Nt and Ct transmembrane domains. (B) Expression of recombinant GRA3 antigens. rGST-GRA339-138 was well expressed, but rGST-GRA339-222 was not. Target bands against GST by western blot were marked with asterisks. (C) Antigenicity of recombinant GRA3 antigens. The results of western blot against patient serum are shown here as the 2 clones show the same antigenicity. Target bands were indicated with asterisks. (D) Solubility of recombinant GRA3 antigens. The NC membrane was incubated with rabbit anti-GST antibody.
kjp-52-367-g002.jpg
Fig. 3
Production of GST-ROP2 fusion protein. (A) Design of fragmentation of cDNA of ROP2. Eight fragments of ROP2 were cloned as "A", full sequence of ROP2 without signal sequence; "B", 1/2 Nt sequence of ROP2; "C", 1/2 Ct containing kinase domain; "D", 1/4 Nt; "E", middle 1/4 Ct; "G", 1/4Ct; "H", 1/2 Nt of kinase domain; and "I", 1/2 Ct of kinase domain. (B) Expression of recombinant ROP2 antigens. All recombinant proteins were well induced and tested by western blot with anti-GST antibody. (C) Antigenicity of recombinant ROP2 antigens. The antigenicity was tested by western blot against patient serum. (D) Solubility of recombinant ROP2 antigens. Solubility of rGST-ROP2324-561 induced was confirmed by western blot with anti-GST antibody. (E) Expression of recombinant linker ROP2 antigens. "L", lysate of BL21 (DE3) pLysS E. coli transformed with pGEX-4T-1/GRA231-71; "R2", that with pGEX-4T-1/ROP2324-561; and "LR", that with pGEX-4T-1/GRA231-71-ROP2324-561. The expression was confirmed by western blot with anti-GST antibody. (F) Antigenicity of recombinant linker ROP2 antigens. It was tested by western blot against patient serum. (G) Solubility of recombinant linker ROP2 antigens. Soluble and insoluble fractions of rGST-GRA231-71-ROP2324-561 protein were tested by western blot.
kjp-52-367-g003.jpg
Fig. 4
Production of GST-MIC2 fusion protein. (A) Design of fragmentation of cDNA of MIC2. Ten fragments of MIC2 were cloned as "F", full sequence of MIC2; "A", full sequence without Ct transmembrane region; "B", 2/3 Nt; "C", 2/3 Ct; "D", 1/3 Nt; "E", middle 1/3; "G", 1/3 Ct; "H", half Nt of D; "I", half Ct of D; and "J", middle 1/3 of D. (B) Expression of recombinant MIC2 antigens. All recombinant proteins were well induced and tested by western blot against anti-GST antibody. (C) Antigenicity of recombinant MIC2 antigens. The antigenicity of GST-MIC2 was tested by western blot against patient serum. (D) Solubility of recombinant MIC2 antigens. Total lysate, soluble, and insoluble fractions of rGST-MIC21-284 were detected against GST antibody. (E) Expression of recombinant linker MIC2 antigens. BL21 (DE3) pLysS E. coli containing GST and GST linker MIC21-284 recombinant plasmids were induced; "L", lysate transformed with pGEX-4T-1/GRA231-71; "M2", that with pGEX-4T-1/MIC21-284; and "LM", that with pGEX-4T-1/GRA231-71-MIC21-284. The expression was confirmed against anti-GST antibody. (F) Antigenicity of recombinant linker MIC2 antigens. It was tested against patient serum. (G) Solubility of recombinant linker MIC2 antigens. The soluble and insoluble fractions of rGST-GRA231-71-MIC21-284 protein were tested by western blot.
kjp-52-367-g004.jpg
Table 1.
Primers designed for the amplification of T. gondii genes fragments
Table 1.
Gene fragments Sequence of primers
GRA2 F, A, C Sense 5´-CCG GAATTC GAGTTTTCCGGAGTTGTTAACC-3´
F, B, D Antisense 5´-CCG CTCGAG CTGCGAAAAGTCTGG-3´
A, E Antisense 5´-CCG CTCGAG CACCATGCCCCTTCC-3´
B, E Sense 5´-CGG GAATTC GCATCCAGAGTGGCAGAAC-3´
C Antisense 5´-CCG CTCGAG CTTTGCTTTTTTGAAGGC-3´
D Sense 5´-CG GAATTC GTGGTGGCAGAAAAAGGC-3´
L Sense 5´-CG GGATCC CAGGGACCAGTCGAC-3´
L Antisense 5´-CG GGATCC AACCGGTTCTTCTGGCT-3´
GRA3 F, A Sense 5´-G GAATTC GGCCTTGCGGCGGAT-3´
F Antisense 5´-CCG CTCGAG AGCACGCTTCAA ACC A-3´
A Antisense 5´-CCG CTCGAG GGTTTGTTTCTTGGAGG-3´
ROP2 A, B, D Sense 5´-CG GAATTC CAAGGCGCTGGCGTT-3´
A, C, G, I Antisense 5´-CG GAATTC TGCCGGTTCTCCATCAGT-3´
B Antisense 5´-CGG GAATTC AAATCTGAGATACGCCTTGGC-3´
C, E, H Sense 5´-CCGG GAATTC ATATTCCCCATCGATTTGGTG-3´
D Antisense 5´-CG GAATTC AGGATCCGTACCGCG-3´
E Antisense 5´-CCG CTCGAG AATCCAGTAGAT-3´
G Sense 5´-CGG GAATTC TATGGCCTTGTGCATGC-3´
H Antisense 5´-CCG CTCGAG ATGTTCAAAGCCGGT-3´
I Sense 5´-CG GAATTC CTGGTGCGAGACGG-3´
MIC2 F, A, B, D, H Sense 5´-CCG GAATTC ATGTGTGTGCTCGTTCCT-3´
F Antisense 5´-CCG CTCGAG CTCCATCCACATATCACTATC-3´
A, C, G Antisense 5´-CCG CTCGAG ACTGCCTGACTCTTTCT-3´
B, E, I Antisense 5´-CCG CTCGAG TGCATTAATTGGACACG-3´
C Sense 5´-CCG GAATTCACACTCCCCCAGGAT-3´
D, J Antisense 5´-CCG CTCGAG TTCACGAATTTCTTCAAGTCC-3´
E, J Sense 5´-CCG GAATTC GATGGCGAATCGGATTCT-3´
G Sense 5´-CGG GAATTC ACTTGCGGTCAGTTTGAAGA-3´
H Antisense 5´-CCG CTCGAG TTTAAGCATCGGTTTAATCGC-3´
I Sense 5´-CCG GAATTC GAGGTTTGTAAGACACTCCC-3´

Download Citation

Download a citation file in RIS format that can be imported by all major citation management software, including EndNote, ProCite, RefWorks, and Reference Manager.

Format:

Include:

High Expression of Water-Soluble Recombinant Antigenic Domains of Toxoplasma gondii Secretory Organelles
Korean J Parasitol. 2014;52(4):367-376.   Published online August 29, 2014
Download Citation

Download a citation file in RIS format that can be imported by all major citation management software, including EndNote, ProCite, RefWorks, and Reference Manager.

Format:
Include:
High Expression of Water-Soluble Recombinant Antigenic Domains of Toxoplasma gondii Secretory Organelles
Korean J Parasitol. 2014;52(4):367-376.   Published online August 29, 2014
Close

Figure

  • 0
  • 1
  • 2
  • 3
High Expression of Water-Soluble Recombinant Antigenic Domains of Toxoplasma gondii Secretory Organelles
Image Image Image Image
Fig. 1 Production of GST-GRA2 fusion protein. "N" indicates lysate of BL21 (DE3) pLysS E. coli without induction; "G", lysate of E. coli transformed with vector after induction; "R", Toxoplasma lysate antigen (TLA) of RH strain; "T", total lysates of E. coli; "S", soluble fraction; and "P", insoluble fraction. The meaning of abbreviations is the same in the following context without extra illustration. (A) Design of fragmentation of cDNA of GRA2; 7 fragments of GRA2 were cloned. The name of clones and amino acid regions are indicated. "F", full sequence of GRA2 without signal sequence; "A", 2/3 N-terminal (Nt); "B", 2/3 C-terminal (Ct); "C", half Nt; "D", half Ct; "E", middle 1/3 sequence; and "L", linker, is the high disorder sequence of Nt. (B) Expression of recombinant GRA2 antigens induced at 30℃, 0.5 mM IPTG. Target bands against GST by western blot were marked with asterisks. (C) Antigenicity of recombinant GRA2 antigens. Patient serum was applied to detect the antigenicity of recombinant proteins against human IgG by western blot. The detectable signal was marked with asterisks. (D) Solubility of recombinant GRA2 antigens. The solubility of rGST-GRA225-105 was tested by western blot against GST.
Fig. 2 Production of GST-GRA3 fusion protein. (A) Design of fragmentation of cDNA of GRA3. Two fragments of GRA3 were cloned. "F", full sequence of GRA3 without signal sequence and "A", half Nt GRA3 without predicted Nt and Ct transmembrane domains. (B) Expression of recombinant GRA3 antigens. rGST-GRA339-138 was well expressed, but rGST-GRA339-222 was not. Target bands against GST by western blot were marked with asterisks. (C) Antigenicity of recombinant GRA3 antigens. The results of western blot against patient serum are shown here as the 2 clones show the same antigenicity. Target bands were indicated with asterisks. (D) Solubility of recombinant GRA3 antigens. The NC membrane was incubated with rabbit anti-GST antibody.
Fig. 3 Production of GST-ROP2 fusion protein. (A) Design of fragmentation of cDNA of ROP2. Eight fragments of ROP2 were cloned as "A", full sequence of ROP2 without signal sequence; "B", 1/2 Nt sequence of ROP2; "C", 1/2 Ct containing kinase domain; "D", 1/4 Nt; "E", middle 1/4 Ct; "G", 1/4Ct; "H", 1/2 Nt of kinase domain; and "I", 1/2 Ct of kinase domain. (B) Expression of recombinant ROP2 antigens. All recombinant proteins were well induced and tested by western blot with anti-GST antibody. (C) Antigenicity of recombinant ROP2 antigens. The antigenicity was tested by western blot against patient serum. (D) Solubility of recombinant ROP2 antigens. Solubility of rGST-ROP2324-561 induced was confirmed by western blot with anti-GST antibody. (E) Expression of recombinant linker ROP2 antigens. "L", lysate of BL21 (DE3) pLysS E. coli transformed with pGEX-4T-1/GRA231-71; "R2", that with pGEX-4T-1/ROP2324-561; and "LR", that with pGEX-4T-1/GRA231-71-ROP2324-561. The expression was confirmed by western blot with anti-GST antibody. (F) Antigenicity of recombinant linker ROP2 antigens. It was tested by western blot against patient serum. (G) Solubility of recombinant linker ROP2 antigens. Soluble and insoluble fractions of rGST-GRA231-71-ROP2324-561 protein were tested by western blot.
Fig. 4 Production of GST-MIC2 fusion protein. (A) Design of fragmentation of cDNA of MIC2. Ten fragments of MIC2 were cloned as "F", full sequence of MIC2; "A", full sequence without Ct transmembrane region; "B", 2/3 Nt; "C", 2/3 Ct; "D", 1/3 Nt; "E", middle 1/3; "G", 1/3 Ct; "H", half Nt of D; "I", half Ct of D; and "J", middle 1/3 of D. (B) Expression of recombinant MIC2 antigens. All recombinant proteins were well induced and tested by western blot against anti-GST antibody. (C) Antigenicity of recombinant MIC2 antigens. The antigenicity of GST-MIC2 was tested by western blot against patient serum. (D) Solubility of recombinant MIC2 antigens. Total lysate, soluble, and insoluble fractions of rGST-MIC21-284 were detected against GST antibody. (E) Expression of recombinant linker MIC2 antigens. BL21 (DE3) pLysS E. coli containing GST and GST linker MIC21-284 recombinant plasmids were induced; "L", lysate transformed with pGEX-4T-1/GRA231-71; "M2", that with pGEX-4T-1/MIC21-284; and "LM", that with pGEX-4T-1/GRA231-71-MIC21-284. The expression was confirmed against anti-GST antibody. (F) Antigenicity of recombinant linker MIC2 antigens. It was tested against patient serum. (G) Solubility of recombinant linker MIC2 antigens. The soluble and insoluble fractions of rGST-GRA231-71-MIC21-284 protein were tested by western blot.
High Expression of Water-Soluble Recombinant Antigenic Domains of Toxoplasma gondii Secretory Organelles
Gene fragments Sequence of primers GRA2 F, A, C Sense 5´-CCG GAATTC GAGTTTTCCGGAGTTGTTAACC-3´ F, B, D Antisense 5´-CCG CTCGAG CTGCGAAAAGTCTGG-3´ A, E Antisense 5´-CCG CTCGAG CACCATGCCCCTTCC-3´ B, E Sense 5´-CGG GAATTC GCATCCAGAGTGGCAGAAC-3´ C Antisense 5´-CCG CTCGAG CTTTGCTTTTTTGAAGGC-3´ D Sense 5´-CG GAATTC GTGGTGGCAGAAAAAGGC-3´ L Sense 5´-CG GGATCC CAGGGACCAGTCGAC-3´ L Antisense 5´-CG GGATCC AACCGGTTCTTCTGGCT-3´ GRA3 F, A Sense 5´-G GAATTC GGCCTTGCGGCGGAT-3´ F Antisense 5´-CCG CTCGAG AGCACGCTTCAA ACC A-3´ A Antisense 5´-CCG CTCGAG GGTTTGTTTCTTGGAGG-3´ ROP2 A, B, D Sense 5´-CG GAATTC CAAGGCGCTGGCGTT-3´ A, C, G, I Antisense 5´-CG GAATTC TGCCGGTTCTCCATCAGT-3´ B Antisense 5´-CGG GAATTC AAATCTGAGATACGCCTTGGC-3´ C, E, H Sense 5´-CCGG GAATTC ATATTCCCCATCGATTTGGTG-3´ D Antisense 5´-CG GAATTC AGGATCCGTACCGCG-3´ E Antisense 5´-CCG CTCGAG AATCCAGTAGAT-3´ G Sense 5´-CGG GAATTC TATGGCCTTGTGCATGC-3´ H Antisense 5´-CCG CTCGAG ATGTTCAAAGCCGGT-3´ I Sense 5´-CG GAATTC CTGGTGCGAGACGG-3´ MIC2 F, A, B, D, H Sense 5´-CCG GAATTC ATGTGTGTGCTCGTTCCT-3´ F Antisense 5´-CCG CTCGAG CTCCATCCACATATCACTATC-3´ A, C, G Antisense 5´-CCG CTCGAG ACTGCCTGACTCTTTCT-3´ B, E, I Antisense 5´-CCG CTCGAG TGCATTAATTGGACACG-3´ C Sense 5´-CCG GAATTCACACTCCCCCAGGAT-3´ D, J Antisense 5´-CCG CTCGAG TTCACGAATTTCTTCAAGTCC-3´ E, J Sense 5´-CCG GAATTC GATGGCGAATCGGATTCT-3´ G Sense 5´-CGG GAATTC ACTTGCGGTCAGTTTGAAGA-3´ H Antisense 5´-CCG CTCGAG TTTAAGCATCGGTTTAATCGC-3´ I Sense 5´-CCG GAATTC GAGGTTTGTAAGACACTCCC-3´
Table 1. Primers designed for the amplification of T. gondii genes fragments