Skip to main navigation Skip to main content
  • KSPTM
  • E-Submission

PHD : Parasites, Hosts and Diseases

OPEN ACCESS
ABOUT
BROWSE ARTICLES
FOR CONTRIBUTORS

Page Path

  • HOME
  • BROWSE ARTICLES
  • Previous issues
13
results for

Previous issues

Article category

Keywords

Authors

Previous issues

Prev issue Next issue

Volume 61(2); May 2023

Review

What was the main factor in successful control of ascariasis in Korea?
Seung-Yull Cho, Sung-Tae Hong
Parasites Hosts Dis 2023;61(2):103-126.
Published online May 23, 2023
DOI: https://doi.org/10.3347/PHD.22152
In the l950s, under the legacy of traditional agriculture, Ascaris lumbricoides, spread epidemically in the war-bitten society of Korea. Consensus on the parasite control was drafted in the Parasite Disease Prevention Act, which passed a parliamentary agreement in 1966, and established safe disposal of feces and mass chemotherapy as control strategies. Biannual stool examinations and treating infected schoolchildren were basic scheme of the control activity through which revenue could be secured for organized business. In the 27 years following 1969, a maximum of 16 million stool examinations had been done every year. Cellophane thick smear enabled the task. The infection declined remarkably in the 1970s when industrialization and green revolution proceeded. A population study of A. lumbricoides in the late 1970s helped us better understand its epidemiology. The data also settled down the understandable protest of teachers against the repeated stool examinations. In the 9 years following 1987, the target population was gradually reduced when the egg positive rate was below 0.1%. An article in the Korean Law, stipulating obligatory stool examinations, was made optional. Although the long-term Korean effort of Ascaris control was a success, the effect of mass chemotherapy was not as succinct in terms of lowering reinfection. In the period of control, Korean agricultural technology changed, and the economy grew and supplied sanitary facilities by which the vicious cycle was disconnected. Reduction of morbidity was a benefit of mass chemotherapy, which is the only control method feasible in economically difficult countries. The most important hurdle of parasite control in the 1960s was poverty of general population and limited financial resources in Korea but the society formed a consensus on the priority of intestinal helminthiasis control during the ordeal period. The national consensus in the 1960s was the critical milestone for Ascaris control in Korea. Under the social agreement, application of timely technical and research advancements in parasitology achieved the success of ascariasis elimination. The successful experience of ascariasis elimination in Korea can be a benchmark for countries where neglected tropical diseases are endemically recycled.

Citations

Citations to this article as recorded by  Crossref logo
  • Clonorchis sinensis and Cholangiocarcinoma
    Eun-Min Kim, Sung-Tae Hong
    Journal of Korean Medical Science.2025;[Epub]     CrossRef
  • 8,493 View
  • 209 Download
  • 1 Web of Science
  • Crossref

Original Articles

Molecular epidemiological survey of pathogenic trypanosomes in naturally infected cattle in northern Côte d’ivoire
Jean-Yves Ekra, Edouard K. N’Goran, Leonard E.G. Mboera, Biégo Guillaume Gragnon, Koco Rita Nadège Assovié, Eliakunda Michael Mafie
Parasites Hosts Dis 2023;61(2):127-137.
Published online May 23, 2023
DOI: https://doi.org/10.3347/PHD.22170
Bovine trypanosomiasis is a significant health concern for livestock intensification in Côte d’Ivoire. This study aimed to determine the prevalence and distribution of pathogenic trypanosomes and identify the most infected cattle breed in northern Côte d'Ivoire. We examined 700 cattle and found that polymerase chain reaction (PCR) was more sensitive (12.3%) than microscopic observation (5.6%). Among the trypanosome species detected in naturally infected cattle, Trypanosoma vivax was 7.3%, Trypanosoma simiae tsavo was 6.7%, and Trypanosoma congolense was 0.4%. The overall prevalence of trypanosome infection in all cattle breeds was 12.3%, while the prevalence in individual breeds was 14.8%, 7.3%, 10.6%, and 12.3% for N’Dama, Baoule, Zebu, and Mere breed, respectively. The infected animals had low packed cell volume, influencing the prevalence. Our findings indicate that bovine trypanosomes are prevalent in Côte d’Ivoire, and their prevalence varies by region and breed. These pathogens include T. vivax, T. simiae tsavo, and T. congolense.

Citations

Citations to this article as recorded by  Crossref logo
  • High prevalence of Trypanosoma spp. and apparent trypanocidal drugs inefficacy in cattle in Al Radom National Park, Sudan
    Khalid M. Mohammedsalih, Maowia M. Mukhtar, Abdoelnaim I. Y. Ibrahim, Ibrahim M. I. Mohammedain, Fathel-Rahman Juma, Abdelrahim A. Ali, Elwaleed M. Elamin, Ahmed Bashar, Georg von Samson-Himmelstjerna, Jürgen Krücken
    Scientific Reports.2026;[Epub]     CrossRef
  • Antimicrobial Use Practices and Resistance Risk in Cattle Farming in Korhogo, Ivory Coast
    Modeste Koffi, Elise N'guessan, Séraphin Wognin
    International Journal of Microbiology and Biotechnology.2026; 11(1): 20.     CrossRef
  • Prediction of the molecular action of Trypanosoma vivax on bovine reproductive parameters and risk factors associated with trypanosomiasis in northern Minas Gerais, Brazil
    Amanda Cristielly Nunes De Lima, Joely Ferreira Figueiredo Bittar, Otaviano de Souza Pires Neto, Eliane Macedo Sobrinho Santos, Priscilla Elias Ferreira da Silva, Hércules Otacílio Santos, Cintya Neves de Souza, Franciane Gabrielle dos Santos, Anna Christ
    Veterinary World.2025; : 837.     CrossRef
  • Genetic Diversity of Trypanosomes Infesting Cattle from Savannah District in North of Côte d’Ivoire Using Conserved Genomic Signatures: rRNA, ITS1 and gGAPDH
    Jean-Yves Ekra, Eliakunda Michael Mafie, Edouard K. N’Goran, Dramane Kaba, Biégo Guillaume Gragnon, Jagan Srinivasan
    Pathogens.2024; 13(3): 262.     CrossRef
  • Trypanocide Use and Molecular Characterization of Trypanosomes Resistant to Diminazene Aceturate in Cattle in Northern Côte D’Ivoire
    Jean-Yves Ekra, Eliakunda Michael Mafie, Henri Sonan, Michael Kanh, Biégo Guillaume Gragnon, Edouard K. N’Goran, Jagan Srinivasan
    Tropical Medicine and Infectious Disease.2024; 9(9): 192.     CrossRef
  • 7,387 View
  • 214 Download
  • 4 Web of Science
  • Crossref
Expression of cytokines and co-stimulatory molecules in the Toxoplasma gondii-infected dendritic cells of C57BL/6 and BALB/c mice
Jae-Hyung Lee, Jae-Min Yuk, Guang-Ho Cha, Young-Ha Lee
Parasites Hosts Dis 2023;61(2):138-146.
Published online May 23, 2023
DOI: https://doi.org/10.3347/PHD.22150
Toxoplasma gondii is an intracellular protozoan parasite which can infect most warm-blooded animals and humans. Among the different mouse models, C57BL/6 mice are more susceptible to T. gondii infection compared to BALB/c mice, and this increased susceptibility has been attributed to various factors, including T-cell responses. Dendritic cells (DCs) are the most prominent type of antigen-presenting cells and regulate the host immune response, including the response of T-cells. However, differences in the DC responses of these mouse strains to T. gondii infection have yet to be characterized. In this study, we cultured bone marrow-derived DCs (BMDCs) from BALB/c and C57BL/6 mice. These cells were infected with T. gondii. The activation of the BMDCs was assessed based on the expression of cell surface markers and cytokines. In the BMDCs of both mouse strains, we detected significant increases in the expression of cell surface T-cell co-stimulatory molecules (major histocompatibility complex (MHC) II, CD40, CD80, and CD86) and cytokines (tumor necrosis factor (TNF)-α, interferon (IFN)-γ, interleukin (IL)-12p40, IL-1β, and IL-10) from 3 h post-T. gondii infection. The expression of MHC II, CD40, CD80, CD86, IFN-γ, IL-12p40, and IL-1β was significantly higher in the T. gondii-infected BMDCs obtained from the C57BL/6 mice than in those from the BALB/c mice. These findings indicate that differences in the activation status of the BMDCs in the BALB/c and C57BL/6 mice may account for their differential susceptibility to T. gondii.

Citations

Citations to this article as recorded by  Crossref logo
  • Anti-tumor effects of Toxoplasma gondii and antigen-pulsed dendritic cells in mice bearing breast cancer
    Bong Kyun Kim, Hei Gwon Choi, Jae-Hyung Lee, In Wook Choi, Jae-Min Yuk, Guang-Ho Cha, Young-Ha Lee
    Parasites, Hosts and Diseases.2025; 63(1): 37.     CrossRef
  • Influenza virus-like particles presenting Toxoplasma gondii dense granule protein 7 protect mice from lethal ME49 challenge
    Jie Mao, Hae-Ji Kang, Su-In Heo, Fu-Shi Quan
    Nanomedicine.2025; 20(18): 2309.     CrossRef
  • Toxoplasma gondii IST suppresses inflammatory and apoptotic responses by inhibiting STAT1-mediated signaling in IFN-γ/TNF-α-stimulated hepatocytes
    Seung-Hwan Seo, Ji-Eun Lee, Do-Won Ham, Eun-Hee Shin
    Parasites, Hosts and Diseases.2024; 62(1): 30.     CrossRef
  • Contrasting Disease Progression, Microglia Reactivity, Tolerance, and Resistance to Toxoplasma gondii Infection in Two Mouse Strains
    Daniel G. Diniz, Jhonnathan H. P. de Oliveira, Luma C. F. Guerreiro, Gabriel C. de Menezes, Alexa C. L. de Assis, Tainá Q. Duarte, Izabelly B. D. dos Santos, Flávia D. Maciel, Gabrielly L. da S. Soares, Sanderson C. Araújo, Felipe T. de C. Franco, Ediclei
    Biomedicines.2024; 12(7): 1420.     CrossRef
  • Recombinant SAG2A Protein from Toxoplasma gondii Modulates Immune Profile and Induces Metabolic Changes Associated with Reduced Tachyzoite Infection in Peritoneal Exudate Cells from Susceptible C57BL/6 Mice
    Thaíse Anne Rocha dos Santos, Mário Cézar de Oliveira, Edson Mario de Andrade Silva, Uener Ribeiro dos Santos, Monaliza Macêdo Ferreira, Ana Luísa Corrêa Soares, Neide Maria Silva, Tiago Antônio de Oliveira Mendes, Jamilly Azevedo Leal-Sena, Jair Pereira
    Microorganisms.2024; 12(11): 2366.     CrossRef
  • 4,640 View
  • 202 Download
  • 5 Web of Science
  • Crossref
Determinant of parasite clearance and density on uncomplicated falciparum malaria infections in malaria-endemic area of Lampung Province, Indonesia
Jhons Fatriyadi Suwandi, Agnes Kurniawan, Lisawati Susanto
Parasites Hosts Dis 2023;61(2):147-153.
Published online May 23, 2023
DOI: https://doi.org/10.3347/PHD.22073
Lampung is a malaria-endemic region in Indonesia with an annual parasite incidence of 0.06 per 1,000 population. The socio-demographic factors, clinical conditions, and artemisinin combination therapy (ACT) types might affect parasite clearance and parasite density. This study aims to investigate factors that influence parasite clearance and parasite density in malaria patients. A retrospective analytic observational and a cross-sectional approach was used to conduct this study. A total of 66 malaria patients were examined to investigate parasite density and clearance, socio-demographic profiles, clinical conditions, and ACT types. To analyze data, univariate, bivariate, and multivariate tests were used. Age (P=0.045; r=0.238) and ACT type (P=0.021; r=0.273) were the only variables that had a significant correlation with parasite clearance. Age (P=0.003; r=0.345) had a significant correlation with parasite density. The most influential factors related to parasite clearance were the ACT type (dihydroartemisinin piperaquine) (P=0.017; odds ratio (OR) 0.109; 95.0% confidence interval (CI), 0.018–0.675) and age (P=0.030; OR 0.132; 95.0% CI, 0.021–0.823). Age (P=0.046; OR 0.320; 0.105–0.978, 95.0% CI) was the most significant variable associated with parasite density.

Citations

Citations to this article as recorded by  Crossref logo
  • Enzymatic mechanisms of insecticide resistance in Anopheles sp mosquitoes: Implications for malaria vector control in Indonesia
    Rizal Subahar, Lisawati Susanto, Surya Dwira, Hendri Astuty, Nurhadi Eko Firmansyah, Gulshan Fahmi El Bayani, Tilahun Adugna, Syarifah Dewi, Fadillah
    Acta Tropica.2025; 268: 107691.     CrossRef
  • 4,104 View
  • 161 Download
  • 1 Web of Science
  • Crossref
Prevalence and molecular analysis of glucose-6-phosphate dehydrogenase deficiency in Chin State, Myanmar
Ja Moon Aung, Zin Moon, Dorene VanBik, Sylvatrie-Danne Dinzouna-Boutamba, Sanghyun Lee, Zau Ring, Dong-Il Chung, Yeonchul Hong, Youn-Kyoung Goo
Parasites Hosts Dis 2023;61(2):154-162.
Published online May 23, 2023
DOI: https://doi.org/10.3347/PHD.23004
Glucose-6-phosphate dehydrogenase (G6PD) deficiency is caused by X-linked recessive disorderliness. It induces severe anemia when a patient with G6PD deficiency is exposed to oxidative stress that occurs with administration of an antimalarial drug, primaquine. The distribution of G6PD deficiency remains unknown while primaquine has been used for malaria treatment in Myanmar. This study aimed to investigate the prevalence of G6PD deficiency and its variants in Chin State, Myanmar. Among 322 participants, 18 (11 males and 7 females) demonstrated a G6PD deficiency. Orissa variant was dominant in the molecular analysis. This would be related to neighboring Indian and Bangladeshi population, in which Orissa variant was also reported as the main mutation type. The screening test for G6PD deficiency before primaquine treatment appears to be important in Myanmar.

Citations

Citations to this article as recorded by  Crossref logo
  • Glucose-6-phosphate dehydrogenase variants in Kachin, Myanmar
    Zin Moon, Ja Moon Aung, Dorene VanBik, Hae Soo Yun, Sanghyun Lee, Sylvatrie-Danne Dinzouna-Boutamba, Zau Ring, Yeonchul Hong, Dong-Il Chung, Youn-Kyoung Goo
    Parasites, Hosts and Diseases.2025; 63(4): 360.     CrossRef
  • Genetic diversity of Plasmodium falciparum erythrocyte membrane protein 1 in field isolates: Correspondence
    Amnuay Kleebayoon, Viroj Wiwanitkit
    Parasites, Hosts and Diseases.2023; 61(3): 338.     CrossRef
  • 5,606 View
  • 188 Download
  • 3 Web of Science
  • Crossref
Trematode metacercariae and adults in cyprinoid fish from Khun Thale Swamp in Surat Thani province, Thailand
Kanda Kamchoo, Jong-Yil Chai
Parasites Hosts Dis 2023;61(2):163-171.
Published online May 23, 2023
DOI: https://doi.org/10.3347/PHD.23030
The present study aimed to determine the infection status of trematode metacercariae and adults in cyprinoid fish from the Khun Thale Swamp in Surat Thani, Southern Thailand, with epidemiologic and faunistic viewpoints. In 2020, 577 fish in 15 species were collected in the summer (February–April) and rainy (September–November) seasons. Fish were individually examined for trematode metacercariae in the whole body and adults in the gastrointestinal tract using a stereomicroscope. Three species of digenetic trematode metacercariae, i.e., Haplorchis taichui, Haplorchoides mehrai, and Centrocestus formosanus, were detected in the muscle, fin, and/or scale of fish. Two species of adult flukes, including Rohdella siamensis and Helostomatis cyprinorum, were collected in the intestines. The prevalence of overall trematode infections was 32.4% (187/577 fish), which was higher in the rainy season (41.4%; 118/285) than in the summer season (23.6%; 69/292). The metacercariae of H. taichui and H. mehrai were detected in 7 fish species each, and those of C. formosanus were found only in Rasbora toneri. The aspidogastrean trematode R. siamensis (adult) was detected in Babonymus gonionotus. A digenean species, H. cyprinorum (adult), was found in Labiobarbus siamensis and Osteochilus vittatus. The present study has first confirmed that the metacercariae of heterophyid flukes, including H. taichui, H. mehrai, and C. formosanus, and adults of R. siamensis (Aspidogastrea) and H. cyprinorum (Digenea) are infected in some species of the cyprinoid fish from the Khun Thale Swamp in Surat Thani, Thailand.

Citations

Citations to this article as recorded by  Crossref logo
  • Morphological and molecular characteristics of trematode cercariae isolated from the freshwater snails collected from three paragonimiasis endemic areas in Manipur, India
    Umananda Yumnam, Karma G. Dolma, Paron Dekumyoy, Urusa Thaenkham, Kangjam Rekha Devi, Mutum Ranjana Devi, T. Shantikumar Singh
    Journal of Parasitic Diseases.2026;[Epub]     CrossRef
  • Prevalence and identification of metacercarial infections in freshwater fish in Hunan Province
    Jiahao Wang, Asmaa M.I. Abuzeid, Caiwei Zhou, Mingye He, Wei Liu
    Food and Waterborne Parasitology.2026; 43: e00338.     CrossRef
  • Influences of parasitic stress on the health condition of African Catfish (Clarias gariepinus): Biochemical and histopathological alterations
    Hadeer Abd El-hak Rashed, Nahla S. El-Shenawy, Nadia A. El-Fahla
    Molecular and Biochemical Parasitology.2025; 262: 111677.     CrossRef
  • 5,545 View
  • 202 Download
  • 3 Web of Science
  • Crossref
Effects of histamine and antihistamine on the hard tick Haemaphysalis longicornis during blood sucking
Mohammad Saiful Islam, Abul Fatah Shah Muhammad Talha, Myung-Jo You
Parasites Hosts Dis 2023;61(2):172-182.
Published online May 23, 2023
DOI: https://doi.org/10.3347/PHD.22068
At the time of host attachment, ticks are very sensitive to histamine, but during rapid blood sucking they paradoxically require histamine. Using a rabbit model, we studied the effects of histamine and antihistamine during attachment and fast-feeding in different life stages of Haemaphysalis longicorns. We examined how they responded to histamine and antihistamine by analyzing the detachment rate, histology of feeding lesions, and post-feeding behavior. A significant difference (P<0.01) was found in the detachment rate between experimental and control treatments throughout the observation period. Ticks exhibited a higher detachment rate (30.1%) at 12 h after histamine application during attachment time and on antihistamine-treated skin (25.4%) at 96 h during fast-feeding. After feeding on histamine-treated rabbits, the fully engorged body weights of larvae and nymphs were 0.7±0.36 mg and 3.5±0.65 mg, respectively. An average increase in body weight of 0.6±0.05 mg and 3.2±0.30 mg was observed for larvae and nymphs compared to the respective control weights. Nymphs and adults engorged after antihistamine treatment had an average body weight of 1.3±0.54 mg and 54±0.81 mg, respectively. An average decrease in body weight was observed in antihistamine-treated H. longicornis compared with control nymphs (3.3±0.42 mg) and adults (174±1.78 mg). Skin biopsies were collected after treatment, and differential histopathological characteristics were found between the treatment and control groups. Tick-infested skin collected from rabbits in the antihistamine-treated group lacked erythrocytes in the feeding pool, indicating that antihistamine impaired tick fast-feeding stage.

Citations

Citations to this article as recorded by  Crossref logo
  • Comparative analysis of essential oil efficacy against the Asian longhorned tick Haemaphysalis longicornis (Acari: Ixodidae)
    Mohammad Saiful Islam, Md. Samiul Haque, Myung-Jo You
    Parasites, Hosts and Diseases.2024; 62(2): 217.     CrossRef
  • Salp14 epitope-based mRNA vaccination induces early recognition of a tick bite
    Yingjun Cui, Balasubramanian Cibichakravarthy, Xiaotian Tang, Mohamad G. Alameh, Garima Dwivedi, Drew Weissman, Erol Fikrig
    Vaccine.2024; 42(24): 126304.     CrossRef
  • 4,431 View
  • 146 Download
  • 2 Web of Science
  • Crossref

Case Reports

Diagnosing Balamuthia mandrillaris amebic meningoencephalitis in a 64-year-old woman from the Southwest of China
Suhua Yao, Xiaoting Chen, Lian Qian, Shizheng Sun, Chunjing Zhao, Zongkai Bai, Zhaofang Chen, Youcong Wu
Parasites Hosts Dis 2023;61(2):183-193.
Published online May 23, 2023
DOI: https://doi.org/10.3347/PHD.23039
Balamuthia mandrillaris amebic encephalitis (BAE) can cause a fatal condition if diagnosis is delayed or effective treatment is lacking. Patients with BAE have been previously reported in 12 provinces of China, with skin lesions being the primary symptom and encephalitis developing after several years. However, a significantly lower number of cases has been reported in Southwest China. Here we report an aggressive BAE case of a 64-year-old woman farmer with a history of skin lesions on her left hand. She was admitted to our hospital due to symptoms of dizziness, headache, cough, vomiting, and gait instability. She was initially diagnosed with syphilitic meningoencephalitis and received a variety of empirical treatment that failed to improve her symptoms. Finally, she was diagnosed with BAE combined with amebic pneumonia using next-generation sequencing (NGS), qRT-PCR, sequence analysis, and imaging studies. She died approximately 3 weeks after the onset. This case highlights that the rapid development of encephalitis can be a prominent clinical manifestation of Balamuthia mandrillaris infection.

Citations

Citations to this article as recorded by  Crossref logo
  • The role of plasma metagenomic sequencing in identification of Balamuthia mandrillaris encephalitis
    Sarah Y. Edminster, Ryan W. Rebbe, Christopher Khatchadourian, Kyle M. Hurth, Anna J. Mathew, Julie Huss-Bawab, Mark S. Shiroishi, Devin Clark, Andrew P. Norgan, Susan M. Butler-Wu, Annie Hiniker
    Acta Neuropathologica Communications.2025;[Epub]     CrossRef
  • Balamuthia amoebic encephalitis directly causing intracranial infection: A case report
    Yuhan Liang, Yanhong Liu, Zelong Chen, Jiayi Sun, Xuemeng Zhang, Yulin Wang
    Radiology Case Reports.2025; 20(6): 2820.     CrossRef
  • Pulmonary infection due to Balamuthia mandrillaris in the southwestern United States: not all miliary disease is tuberculosis and coccidioidomycosis
    N. B. Price, H. Pariury, J. Papic, M. R. Anthony, W. Lainhart, K. W. Shehab, Carey-Ann D. Burnham
    ASM Case Reports.2025;[Epub]     CrossRef
  • Applications of the powerful next-generation sequencing tool for detecting parasitic infections: towards a smart laboratory platform
    Bahareh Basirpour, Rabeeh Tabaripour, Farzane Jafarian, Mahdi Fakhar, Hajar Ziaei Hezarjaribi, Shirzad Gholami
    Microbial Pathogenesis.2025; 206: 107746.     CrossRef
  • Next-Generation Sequencing for Diagnosis of Fatal Balamuthia Amoebic Encephalitis: A Case Report
    Yuanyuan Feng, Huiyu Feng, Xuegao Yu, Jing Zhao, Hongyan Zhou, Jiaoxing Li, Peisong Chen, Li Feng
    Diagnostics.2025; 15(20): 2590.     CrossRef
  • Dexamethasone/fructose/glycerol/sodium-chloride/mannitol

    Reactions Weekly.2023; 1970(1): 114.     CrossRef
  • 6,521 View
  • 192 Download
  • 3 Web of Science
  • Crossref
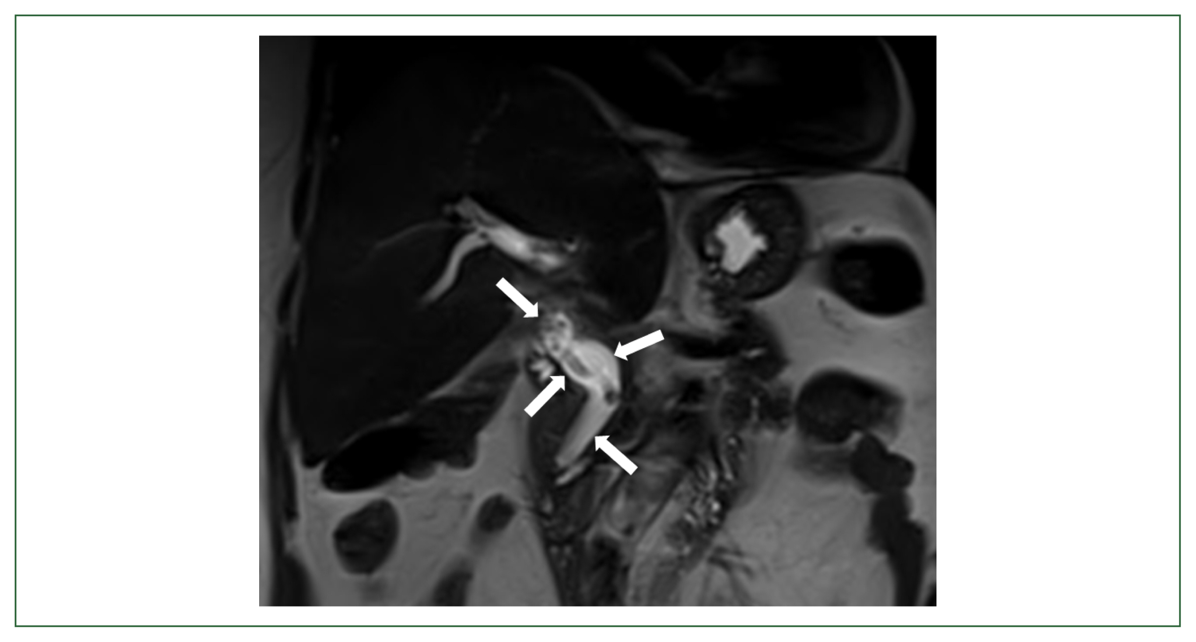
Biliary ascariasis misidentified as a biliary stent in a patient undergoing liver resection
Hochang Chae, Suk Won Suh, Yoo Shin Choi, Hee Ju Sohn, Seung Eun Lee, Jae Hyuk Do, Hyun Jeong Park
Parasites Hosts Dis 2023;61(2):194-197.
Published online May 23, 2023
DOI: https://doi.org/10.3347/PHD.23012
Ascaris lumbricoides causes one of the most common soil-transmitted helminthiases globally. The worms mostly infect the human small intestine and elicit negligible or nonspecific symptoms, but there are reports of extraintestinal ectopic ascariasis. We describe a rare case of biliary ascariasis mistaken for biliary stent in a 72-year-old female patient with a history of liver resection. She visited our outpatient clinic complaining of right upper quadrant pain and fever for the past week. She had previously undergone left lateral sectionectomy for recurrent biliary and intrahepatic duct stones 2 years ago. Besides mildly elevated gamma-glutamyl transferase levels, her liver function tests were normal. Magnetic resonance cholangiopancreatography revealed a linear filling defect closely resembling an internal stent from the common bile duct to the right intrahepatic bile duct. A live female A. lumbricoides adult worm was removed by endoscopic retrograde cholangiopancreatography (ERCP). Despite a significant decrease of the ascariasis prevalence in Korea, cases of biliary ascariasis are still occasionally reported. In this study, a additional case of biliary ascariasis, which was radiologically misdiagnosed as the biliary stent, was described in a hepatic resection patient by the worm recovery with ERCP in Korea.

Citations

Citations to this article as recorded by  Crossref logo
  • Current status and epidemiology of endemic parasitic infections in Korea as of 2026: a narrative review
    Sun Huh
    Journal of the Korean Medical Association.2026; 69(3): 240.     CrossRef
  • A case of acute pancreatitis caused by biliary ascariasis
    Ru-Yu Zheng, Zi-Yue Hu, Yan-Min Kan, Xiang Jing
    Asian Journal of Surgery.2025; 48(11): 7178.     CrossRef
  • 3,495 View
  • 159 Download
  • 1 Web of Science
  • Crossref
Brief Communications
A parasitological study on the possible toilet ruins of the Japanese colonial period in Korea
Jieun Kim, Min Seo, Hisashi Fujita, Jong Yil Chai, Jin Woo Park, Jun Won Jang, In Soo Jang, Dong Hoon Shin
Parasites Hosts Dis 2023;61(2):198-201.
Published online May 23, 2023
DOI: https://doi.org/10.3347/PHD.23013
In the past decade, experts have conducted parasitological research on archaeological specimens in Korea to collect historical parasite infection data. In these studies, parasitologists successfully described the infection pattern of each parasite species in history. However, in the first half of the 20th century, archaeoparasitological reports have been scant. In 2021, we conducted a parasitological examination of a toilet-like structure that emerged in the early 20th century. This structure was built by stacking 2 wooden barrels; and in the study samples, we found ancient Trichuris trichiura, Ascaris lumbricoides (unfertilized), and Taenia spp. eggs and therefore proposed a higher possibility that the barrels could have been used as a toilet at the time. To understand how the antihelminthic campaign since the 1960s helped reduce parasite infection rates in Korea, more research should focus on early-20th-century toilet ruins.

Citations

Citations to this article as recorded by  Crossref logo
  • Problems in Japanese archaeoparasitology: Analysis of paleo-parasitic eggs from Hachinohe Castle
    Hisashi Fujita, Masako Funaba, Shiori O. Fujisawa
    Parasites, Hosts and Diseases.2025; 63(3): 278.     CrossRef
  • 4,115 View
  • 157 Download
  • 2 Web of Science
  • Crossref
Lophomonas blattarum-like organism in bronchoalveolar lavage from a pneumonia patient: current diagnostic scheme and polymerase chain reaction can lead to false-positive results
Moses Lee, Sang Mee Hwang, Jong Sun Park, Jae Hyeon Park, Jeong Su Park
Parasites Hosts Dis 2023;61(2):202-209.
Published online May 23, 2023
DOI: https://doi.org/10.3347/PHD.22107
Lophomonas blattarum is an anaerobic protozoan living in the intestine of cockroaches and house dust mites, with ultramicroscopic characteristics such as the presence of a parabasal body, axial filament, and absence of mitochondria. More than 200 cases of Lophomonas infection of the respiratory tract have been reported worldwide. However, the current diagnosis of such infection depends only on light microscopic morphological findings from respiratory secretions. In this study, we attempted to provide more robust evidence of protozoal infection in an immunocompromised patient with atypical pneumonia, positive for Lophomonas-like protozoal cell forms. A direct search of bronchoalveolar lavage fluid via polymerase chain reaction (PCR), transmission electron microscopy (TEM), and metagenomic next-generation sequencing did not prove the presence of protozoal infection. PCR results were not validated with sufficient rigor, while de novo assembly and taxonomic classification results did not confirm the presence of an unidentified pathogen. The TEM results implied that such protozoal forms in light microscopy are actually non-detached ciliated epithelial cells. After ruling out infectious causes, the patient’s final diagnosis was drug-induced pneumonitis. These findings underscore the lack of validation in the previously utilized diagnostic methods, and more evidence in the presence of L. blattarum is required to further prove its pathogenicity.

Citations

Citations to this article as recorded by  Crossref logo
  • Insights into pulmonary lophomoniasis infection in a Bruton's disease patient; A case report study and literature review
    Mohammad Hadi Tajik Jalayeri, Narges Lashkarbolouk, Mahdi Mazandarani, Mohaddeseh Dankoub
    IDCases.2026; 43: e02462.     CrossRef
  • Clinical and Radiological Characteristics of Patients with Lophomonas blattarum Detected in Bronchial Lavage: A Single-Center Experience
    Demet Polat Yulug, Hakan Dedeoglu, Fatma Sevval Unal, Nurbanu Yasar, Damla Hazal Sucu, Nuran Delialioglu, Sibel Nayci, Eylem Sercan Ozgur
    European Journal of Clinical Microbiology & Infectious Diseases.2026;[Epub]     CrossRef
  • Pulmonary infection by Lophomonas spp. and Aspergillus spp. in a B-cell acute lymphocytic leukemia patient from Chile
    Isabel Iturrieta-González, Enzo Moenen-Locoz, Alejandro Hidalgo, Fernando Vega, Johanna Cabrera, Carla Concha, Carolina Chahin, Javier Briones, Flery Fonseca-Salamanca
    Parasitology International.2025; 104: 102971.     CrossRef
  • A Reação em Cadeia da Polimerase (PCR) como estratégia de diagnóstico e monitoramento nas protozooses: uma revisão integrativa
    Luiza Valente Breda Libardi, Juliana Gouveia da Silva, Danieli Perini Alvares, Clara Fagundes Marely, Bruno Serafini Venturini, Guilherme Frinhani Bernardineli, Filipe Salume Lima Nogueira, Adelson Luiz Ferreira, Rodrigo Moraes, Priscila Pinto e Silva do
    Clinics Biopsychosocial.2025; 3(1): 58.     CrossRef
  • First Report of the Pulmonary Parasite Lophomonas blattarum in Ahvaz Province, Khuzestan: Case Report and Literature Review
    Mojtaba Aghaei, Hanieh Raji, Seyed Sobhan Bahreiny, Mohammad Amin Vahid, Najmaldin Saki
    Advanced Biomedical Research.2025;[Epub]     CrossRef
  • The diagnostic ambiguity for Polymerase Chain Reaction in the detection of Lophomonas blattarum
    Canan Doğu Tok, Funda Dogruman Al
    Middle Black Sea Journal of Health Science.2025; 11(4): 356.     CrossRef
  • Infección por Lophomonas blattarum en un paciente sin factores de riesgo identificados: Reporte de caso
    Luisa Paulina P. Lozano, Juan Valente Mérida-Palacio, Pablo Manuel Mérida-Rodríguez
    Revista Alergia México.2025; 72(4): 386.     CrossRef
  • First Molecular Evidence of Emerging Lophomonas Pathogen Among Patients Suspected of Having Pulmonary Tuberculosis in Mazandaran Province, Northern Iran
    Hossein Veisi, Abdollah Malakian, Mahdi Fakhar, Ali Sharifpour, Maryam Nakhaei, Mostafa Soleymani, Seyed Reza Mosave, Nader Ahangar, Seyed Hosien Seyedpour
    Acta Parasitologica.2024; 69(1): 1041.     CrossRef
  • Imaging patterns of Lophomonas blattarum infection in the respiratory tract: a registry-based analysis
    Amirmasoud Taheri, Mahdi Fakhar, Ali Sharifpour, Elhamsadat Banimostafavi, Sepideh SafaNavaei, Siavash Abedi, Hossein Mehravaran, Masoud Aliyali, Ahmad Shafahi, Asieh Delpzir
    BMC Infectious Diseases.2024;[Epub]     CrossRef
  • Case series of complicated bronchopulmonary lophomoniasis. Differential diagnosis of tuberculosis?
    Cristian Morán-Mariños, Juan Salas López, Felix Llanos-Tejada, Renato Casanova-Mendoza, Renzo Villanueva-Villegas, Antonella Chavez-Huamani, Kenneth G. Vargas-Ponce, Margaret Condori-Zevallos
    European Clinical Respiratory Journal.2024;[Epub]     CrossRef
  • Infliximab

    Reactions Weekly.2023; 1969(1): 197.     CrossRef
  • 5,384 View
  • 263 Download
  • 9 Web of Science
  • Crossref
Molecular epidemiology of Toxoplasma gondii in cattle in Korea
Kyoo-Tae Kim, Min-Goo Seo
Parasites Hosts Dis 2023;61(2):210-215.
Published online May 23, 2023
DOI: https://doi.org/10.3347/PHD.23016
Toxoplasmosis is a major public health concern, with raw or undercooked meat being the primary source of human infection. Knowledge regarding the molecular epidemiology of Toxoplasma gondii in cattle destined for human consumption in Korea is lacking. The present study aimed to genetically characterize the infectious strains of T. gondii. Overall, 455 cattle blood samples from 84 farms in the Gyeongnam-do (Province) were randomly collected in 2017. Nested PCR analysis revealed that only 3 (0.7%) samples were infected with T. gondii. The B1 gene sequence of T. gondii was observed to be similar (97.3–99.6%) to that of other T. gondii isolates. This is the first study to perform the molecular detection of T. gondii in cattle in Korea. Although the prevalence of infection was low, our findings suggest that cattle present a potential public health issue. It may be crucial to recognize the importance of T. gondii infection in cattle meat.

Citations

Citations to this article as recorded by  Crossref logo
  • Toxoplasma gondii in animals from Kurdistan region, Iraq: assessment of infection rate and risk factors by using serology and molecular techniques
    Rebin Rafaat Mohammed
    Journal of Parasitic Diseases.2026;[Epub]     CrossRef
  • Molecular detection of Toxoplasma gondii in ticks and their respective host dogs
    Min-Goo Seo, Dongmi Kwak
    Parasites, Hosts and Diseases.2025; 63(1): 66.     CrossRef
  • Prevalence and molecular characterization of intestinal parasites in shelter dogs from South Korea
    You-Jeong Lee, Beoul Kim, Gyeonghyeon Lee, Yong-Myung Kang, Dongmi Kwak, Min-Goo Seo
    Research in Veterinary Science.2025; 188: 105620.     CrossRef
  • Antileishmanial and Antitoxoplasmal Activities of 1,4-Dihydropyridines
    Thaís A. S. Oliveira, Yan R. Robles, Ibrahim S. Al Nasr, Waleed S. Koko, Tariq A. Khan, Ismail Daoud, Seyfeddine Rahali, Noureddine Amdouni, Ridha B. Said, Antônio E. M. Crotti
    ACS Omega.2025; 10(28): 31066.     CrossRef
  • Tick-borne pathogens in Mongolian ticks: The high prevalence of Rickettsia raoultii and its public health implications
    You-Jeong Lee, Beoul Kim, Dongmi Kwak, Ochirkhuu Nyamsuren, Nyamdavaa Guugandaa, Min-Goo Seo
    Acta Tropica.2024; 260: 107412.     CrossRef
  • 4,806 View
  • 168 Download
  • 4 Web of Science
  • Crossref
Implications for selecting persistent hot spots of schistosomiasis from community- and school-based surveys in Blue Nile, North Kordofan, and Sennar States, Sudan
Hassan Ahmed Hassan Ahmed Ismail, Seungman Cha, Yan Jin, Sung-Tae Hong
Parasites Hosts Dis 2023;61(2):216-224.
Published online May 23, 2023
DOI: https://doi.org/10.3347/PHD.23022
In several schistosomiasis-endemic countries, the prevalence has remained high in some areas owing to reinfection despite repeated mass drug administration (MDA) interventions; these areas are referred to as persistent hot spots. Identifying hotspots is critical for interrupting transmission. This study aimed to determine an effective means of identifying persistent hot spots. First, we investigated the differences between Schistosoma haematobium and Schistosoma mansoni prevalence among school-aged children (SAC) estimated by a community-based survey, for which local key informants purposively selected communities, and a randomly sampled school-based survey. A total of 6,225 individuals residing in 60 villages in 8 districts of North Kordofan, Blue Nile, or Sennar States, Sudan participated in a community-based survey in March 2018. Additionally, the data of 3,959 students attending 71 schools in the same 8 districts were extracted from a nationwide school-based survey conducted in January 2017. The community-based survey identified 3 districts wherein the prevalence of S. haematobium or S. mansoni infection among SAC was significantly higher than that determined by the randomly sampled school survey (e.g., S. haematobium in the Sennar district: 10.8% vs. 1.1%, P<0.001). At the state level, the prevalence of schistosomiasis among SAC, as determined by the community-based survey, was consistently significantly higher than that determined by the school-based survey. Purposeful selection of villages or schools based on a history of MDA, latrine coverage, open defecation, and the prevalence of bloody urine improved the ability for identifying persistent hot spots.
  • 4,464 View
  • 149 Download
  • 1 Web of Science