Skip to main navigation Skip to main content
  • KSPTM
  • E-Submission

PHD : Parasites, Hosts and Diseases

OPEN ACCESS
ABOUT
BROWSE ARTICLES
FOR CONTRIBUTORS

Articles

Brief Communication

Metagonimus yokogawai: a 100-kDa Somatic Antigen Commonly Reacting with Other Trematodes

The Korean Journal of Parasitology 2014;52(2):201-204.
Published online: April 18, 2014

1Department of Medical Environmental Biology and Tropical Medicine, School of Medicine, Kangwon National University, Chuncheon 200-701, Korea.

2Department of Parasitology, College of Medicine, Ewha Womans University, Seoul 158-056, Korea.

3Department of Parasitology and Tropical Medicine, Seoul National University College of Medicine, Seoul National University, Seoul 110-799, Korea.

4Department of Anatomy, School of Medicine, Kangwon National University, Chuncheon 200-701, Korea.

Corresponding author (parayang@ewah.ac.kr)
Corresponding author (ethan@kangwon.ac.kr)
• Received: January 19, 2014   • Revised: March 10, 2014   • Accepted: March 12, 2014

© 2014, Korean Society for Parasitology and Tropical Medicine

This is an Open Access article distributed under the terms of the Creative Commons Attribution Non-Commercial License (http://creativecommons.org/licenses/by-nc/3.0/) which permits unrestricted non-commercial use, distribution, and reproduction in any medium, provided the original work is properly cited.

  • 9,430 Views
  • 84 Download
  • 3 Web of Science
  • 2 Crossref
  • 9 Scopus
prev next
  • This study was undertaken to characterize the properties of a 100 kDa somatic antigen from Metagonimus yokogawai. Monoclonal antibodies (mAbs) were produced against this 100 kDa antigen, and their immunoreactivity was assessed by western blot analysis with patients' sera. The mAbs against the 100 kDa antigen commonly reacted with various kinds of trematode antigens, including intestinal (Gymnophalloides seoi), lung (Paragonimus westermani), and liver flukes (Clonorchis sinensis and Fasciola hepatica). However, this mAb showed no cross-reactions with other helminth parasites, including nematodes and cestodes. To determine the topographic distribution of the 100 kDa antigen in worm sections, indirect immunoperoxidase staining was performed. A strong positive reaction was observed in the tegumental and subtegumental layers of adult M. yokogawai and C. sinensis. The results showed that the 100 kDa somatic protein of M. yokogawai is a common antigen which recognizes a target epitope present over the tegumental layer of different trematode species.
The intestinal fluke, Metagonimus yokogawai, is one of the important heterophyid flukes causing fishborne helminthic zoonoses in Eastern Asia, including the Republic of Korea, China, Taiwan, Japan, and Russia [1,2,3]. The infection is caused by eating raw sweetfish, Plecoglossus altivelis, and prevalent along riverside areas, in accordance with the distribution of snail and fish intermediate hosts [3,4]. This fluke infection can cause severe gastrointestinal troubles and chronic diarrhea, particularly in heavily infected cases [3,5].
For diagnosis of metagonimiasis, fecal examination to detect eggs is useful, and at times immunodiagnosis such as ELISA can be applied [3,6]. However, in immunodiagnosis, cross-reactivity is one of the most adverse obstacles [7]. Two types of antigens have been used; one is the metabolic antigen released from the excretory-secretory (ES) proteins of adult flukes, and the other is the somatic antigen which includes their tegumental proteins [8,9,10]. ES proteins, such as cysteine proteinases, have been reported to be universal enzymes found in almost all parasite species and may be non-specific for each parasite species [11,12,13,14]. Similarly, a proteolytic enzyme, probably a hemoglobinase, from the ES product of Fasciola hepatica showed high cross reactivity with Schistosoma mansoni [15]. Tegumental proteins were also demonstrated to be either universal or species-specific in M. yokogawai, Opisthorchis viverrini, F. hepatica, and Fasciola gigantica infections [10,16,17,18].
In this study, we discovered a 100 kDa somatic protein of M. yokogawai and characterized its antigenic properties. Monoclonal antibodies (mAbs) were produced against this protein and reacted with various kinds of trematode, nematode, and cestode antigens. Immunohistochemistry was performed to determine the topography of this antigen in worm sections.
M. yokogawai-infected human serum samples were collected from 21 patients from an endemic area in Samchok-shi (city), Korea [19], who were egg positive for M. yokogawai. Healthy individual sera were collected from a non-endemic area in Korea. Metacercariae of M. yokogawai were collected through artificial digestion of naturally infected sweetfish (Plecoglossus altivelis), which were caught in the same endemic area. Two hundred metacercariae each were fed orally to 10 Sprague-Dawley rats. The rats were killed at week 2 post-infection and adult flukes were recovered.
The crude antigens of M. yokogawai were prepared by homogenization of adult flukes in the presence of E-64 (20 µM) (Sigma-Aldrich Co., St. Louis, Missouri, USA), a cysteine proteinase specific inhibitor, followed by centrifugation at 15,000 g for 1 hr. Protein concentrations were determined by the method of Lowry et al. [20]. The supernatant was stored at -70℃ until used as the source of crude antigen. Fresh live worms, about 200 in number, were incubated overnight aseptically at 37℃ in sterile physiological saline containing penicillin/streptomycin (100 units/ml and 100 µg/ml) (Invitrogen, Carlsbad, California, USA). The supernatant was used as the excretory-secretory (ES) antigen after centrifugation at 15,000 g for 1 hr Worms and eggs were harvested, homogenized, and centrifuged.
To check the cross reactivity of the mAb, crude antigens were prepared from various helminths, which included trematodes such as Gymnophalloides seoi (adults from experimentally infected mice and metacercariae from oysters), Clonorchis sinensis (adults from experimentally infected rabbits), Paragonimus westermani (adults from experimentally infected dogs), and F. hepatica (adults from naturally infected cattle), nematodes including Anisakis sp. (third-stage larvae from naturally infected fish Anago anago) and Trichinella spiralis (third-stage larvae from experimentally infected rats), and cestodes such as Taenia solium metacestode (cystic fluid from naturally infected swine), Echinococcus granulosus (cystic fluid from a naturally infected human), and Taenia asiatica (gravid proglottid from a naturally infected human).
For production of mAbs, female BALB/c mice (6-week-old) were immunized intraperitoneally with 100 µg crude antigen of M. yokogawai adult worms in 0.2 ml normal saline (0.85% NaCl in H2O) emulsified in complete Freund's adjuvant. The second injection was given 3 weeks later. The final boost was given 2 weeks later by intravenous injection with 60 µg of this antigen in 0.1 ml. To produce hybridoma, spleen cells from BALB/c mice immunized with the antigen were fused with mouse myeloma cells, P3X63-Ag8.653. MAb-secreting wells were screened by ELISA and immunoblot analysis, and positive wells were expanded in RPMI 1640 and Dulbecco's Modified Eagle's media (DMEM) (Invitrogen).
The antigenic proteins were separated by SDS-PAGE under reducing conditions. The separated proteins were transferred onto 0.45 µm PVDF membranes (Millipore, Billerica, Massachusetts, USA) in a transfer buffer (50 mM Tris, 190 mM glycine, 3.5 mM SDS, 20% methanol) at a constant 400 mA for 40 min. After blocking with 5% skim milk in PBS containing 0.2% Tween 20 (PBS/T), metagonimiasis patient's sera were reacted with horseradish peroxidase (HRP)-conjugated goat anti-human IgG (Cappel, Cochranville, Pennsylvania, USA) diluted in 1:1,000 and HRP-conjugated goat anti-mouse IgM (Cappel) diluted in 1:2,000. The final reactions were developed with 4-chloro-1-napthol (4C1N) and H2O2.
Immunolocalization of the 100 kDa antigen was carried out in paraffin-embedded worm sections. Adult flukes (M. yokogawai and C. sinensis) recovered from experimental animals were processed for immunohistochemistry using M. yokogawai 100 kDa-specific mAb (only RPMI medium for controls) as the primary antibody, and HRP-conjugated goat anti-mouse IgG (Cappel) as the secondary antibody. Color was developed by diaminobenzidine.
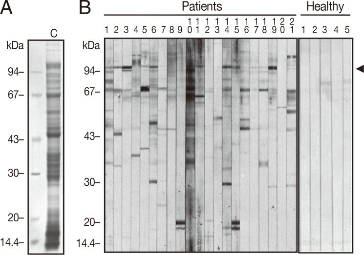
The crude antigen of M. yokogawai adults consisted of major 100, 67, 46, 28-35, and 17 kDa bands (Fig. 1A). In western blot analysis, several antigenic proteins reacted with the patients' sera at 100, 67, 46, 30, and 20 kDa, whereas no special reactive bands were visible in healthy controls (Fig. 1B). Among these, 100 kDa and 67 kDa proteins showed most frequently strong reactions with the patients' sera (Fig. 1B).
Five hybridoma clones (7B11-1E, 5C10-2B, 8D3-5F, 2A7-2C, and 4G3-6D) were identified to produce specific antibodies against the 100 kDa antigen. Among these, the mAb 5C10-2B (Fig. 2A) had the highest titer and used in subsequent experiments. In immunoblots with crude adult and egg antigens of M. yokogawai, the mAb 5C10-2B reacted strongly with the adult antigen but not with the egg antigen (Fig. 2B). In immunoblots with crude antigens from adults and metacercariae of G. seoi, adult C. sinensis, adult P. westermani, and adult F. hepatica using the M. yokogawai-specific mAb, antigenic proteins of about 100 kDa were detected in all of the flukes examined (Fig. 2B). By contrast, in immunoblots with crude antigens of nematodes (Anisakis sp. and T. spiralis third-stage larvae) and cestodes (T. solium metacestode cystic fliud, E. granulosus cystic fluid, and T. asiatica gravid proglottid) using the M. yokogawai-specific mAb, this antigen, that appeared to be common to trematodes, was not detected (Fig. 2C).
In indirect immunohistochemical staining of sections of adult M. yokogawai using the mAb as the primary antibody, a high intensity of brown color was observed in the tegument, particularly around subtegumental cells (data not shown). Similar patterns and intensity of immunohistochemical staining were observed non-specifically in the tegument of C. sinensis also (data not shown).
In our study, we produced 5 mAbs against the 100 kDa tegumental protein of M. yokogawai adult. Among them, the clone 5C10-2B was the most potent one. Western blot analyses strongly suggested that the 100 kDa protein of M. yokogawai is a common antigen among different trematode species, including G. seoi, C. sinensis, P. westermani, and F. hepatica. This protein was localized in the tegument and subtegument of adult M. yokogawai but not present in their eggs.
In a previous ultrastructural study, the antigenic localization in M. yokogawai adult parasite was determined using the serum of cats experimentally infected with the metacercariae [16]. It was suggested that the major antigenic protein was specifically concentrated at the tegumental syncytium as well as in the cytoplasm of tegumental cells and epithelial lamella of the cecum. In our study, a 100 kDa antigen was detected in the tegument of the adult M. yokogawai. This antigen may be a protein released from the tegument, together with other kinds of proteins and metabolic enzymes, such as proteases, which are released from the cecum of the worm. This discharge of antigens from the tegument may arise as a consequence of the continual renewal of the surface membrane and linked glycocalyx, as was reported to occur generally in trematode parasites that dwell in the bile duct, such as the sheep liver fluke, F. hepatica [21].
In a previous western blot analysis of juvenile M. yokogawai and serum samples of infected patients, major antigens were detected at around 200, 100, 70, 66, 48, 40, 38, 28-31, 22, 16, 10, and 8 kDa areas [22]. Among them, 66 and 22 kDa antigens showed the most strong reactions. However, viewing from their immunoblot figures, thick and strong reaction bands also occurred between 90 and 120 kDa, among which the 100 kDa protein identified in our study may have been included. Some heterologous sera of clonorchiasis, paragonimiasis, and fascioliasis patients showed positive reactions at around 100 kDa of M. yokogawai metacercarial antigen [22], as observed in our study.
In conclusion, we discovered a 100 kDa tegumental antigen from M. yokogawai adults and produced 5 mAbs against this antigen. One of these mAbs, the clone 5C10-2B, was found to have a low specificity for M. yokogawai and cross-reacted with other trematode antigens but not with nematodes and cestodes.

We have no conflict of interest related to this study.

  • 1. Chai JY, Huh S, Yu JR, Kook J, Jung KC, Park EC, Sohn WM, Hong ST, Lee SH. An epidemiological study of metagonimiasis along the upper reaches of the Namhan River. Korean J Parasitol 1993;31:99-108.
  • 2. Chai JY, Murrell KD, Lymbery AJ. Fish-borne parasitic zoonoses: status and issues. Int J Parasitol 2005;35:1233-1254.
  • 3. Chai JY, Shin EH, Lee SH, Rim HJ. Foodborne intestinal flukes in Southeast Asia. Korean J Parasitol 2009;47(suppl):S69-S102.
  • 4. Chai JY, Cho SY, Seo BS. Study on Metagonimus yokogawai (Katsurada, 1912) in Korea. IV. An epidemiological investigation along Tamjin River basin, South Cholla Do, Korea. Korean J Parasitol 1977;15:115-120.
  • 5. Chai JY, Lee SH. Food-borne intestinal trematode infections in the Republic of Korea. Parasitol Int 2002;51:129-154.
  • 6. Chai JY, Yu JR, Lee SH, Jung HC, Song IS, Cho SY. An egg-negative patient of acute metagonimiasis diagnosed serologically by ELISA. Seoul J Med 1989;30:139-142.
  • 7. Johansen MV, Sithithaworn P, Bergquist R, Utzinger J. Towards improved diagnosis of zoonotic trematode infections in Southeast Asia. Adv Parasitol 2010;73:171-260.
  • 8. Anuracpreeda P, Wanichanon C, Chawengkirtikul R, Chaithirayanon K, Sobhon P. Fasciola gigantica: immunodiagnosis of fasciolosis by detection of circulating 28.5 kDa tegumental antigen. Exp Parasitol 2009;123:334-340.
  • 9. Liu F, Cui SJ, Hu W, Feng Z, Wang ZQ, Han ZG. Excretory/secretory proteome of the adult developmental stage of human blood fluke, Schistosoma japonicum. Mol Cell Proteomics 2009;8:1236-1251.
  • 10. Gaudier JF, Cabán-Hernández K, Osuna A, Espino AM. Biochemical characterization and differential expression of a 16.5-kilodalton tegument-associated antigen from the liver fluke Fasciola hepatica. Clin Vaccine Immunol 2012;19:325-333.
  • 11. Song CY, Dresden MH. Partial purification and characterization of cysteine proteinases from various developmental stages of Paragonimus westermani. Comp Biochem Physiol B 1990;95:473-476.
  • 12. Song CY, Dresden MH, Rege AA. Clonorchis sinensis purification and characterization of a cysteine proteinase from adult worms. Comp Biochem Physiol B 1990;97:825-829.
  • 13. Li Y, Huang Y, Hu X, Liu X, Ma C, Zhao J, Wu Z, Xu J, Yu X. 41.5-kDa cathepsin L protease from Clonorchis sinensis: expression, characterization, and serological reactivity of one excretory-secretory antigen. Parasitol Res 2012;111:673-680.
  • 14. Kueakhai P, Changklungmoa N, Chaithirayanon K, Songkoomkrong S, Riengrojpitak S, Sobhon P. Production and characterization of a monoclonal antibody against recombinant saposin-like protein 2 of Fasciola gigantica. Acta Trop 2013;125:157-162.
  • 15. Coles GC, Rubano D. Antigenicity of a proteolytic enzyme of Fasciola hepatica. J Helminthol 1988;62:257-260.
  • 16. Ahn H, Rim HJ, Kim SJ. Antigenic localities in the tissues of Metagonimus yokogawai observed by immunogold labeling method. Korean J Parasitol 1991;29:245-257.
  • 17. Anuracpreeda P, Wanichanon C, Chaithirayanon K, Preyavichyapugdee N, Sobhon P. Distribution of 28.5 kDa antigen in the tegument of adult Fasciola gigantica. Acta Trop 2006;100:31-40.
  • 18. Mulvenna J, Sripa B, Brindley PJ, Gorman J, Jones MK, Colgrave ML, Jones A, Nawaratna S, Laha T, Suttiprapa S, Smout MJ, Loukas A. The secreted and surface proteomes of the adult stage of the carcinogenic human liver fluke Opisthorchis viverrini. Proteomics 2010;10:1063-1078.
  • 19. Chai JY, Han ET, Park YK, Guk SM, Kim JL, Lee SH. High endemicity of Metagonimus yokogawai infection among residents of Samchok-shi, Kangwon-do, Korea. Korean J Parasitol 2000;38:33-36.
  • 20. Lowry OH, Rosenbrough NJ, Lewis FA, Randall RJ. Protein measurements with folin phenol reagent. J Biol Chem 1951;193:265-275.
  • 21. Hanna RE. Fasciola hepatica: glycocalyx replacement in the juvenile as a possible mechanism for protection against host immunity. Exp Parasitol 1980;50:103-114.
  • 22. Lee SC, Chung YB, Kong Y, Kang SY, Cho SY. Antigenic protein fractions of Metagonimus yokogawai reacting with patient sera. Korean J Parasitol 1993;31:43-48.
Fig. 1
SDS-PAGE of Metagonimus yokogawai crude antigen (A) and immunoblot analysis with sera of M. yokogawai-infected patients and healthy individuals (B). The crude antigen (marked 'C' in [A]) consisted of a large number of soluble antigens of different size. Several antigenic bands, including 100 kDa and 67 kDa (B), were reactive against the parasite-infected patients' sera.
kjp-52-201-g001.jpg
Fig. 2
(A) Immunoblot patterns of the 100 kDa-specific monoclonal antibodies (mAbs). The mAbs were reacted with the 100 kDa antigen of M. yokogawai adults. (B, C) Reactivity of the mAbs to crude antigens of several species of trematodes (B), nematodes, and cestodes (C). MAbs were reactive against similar-sized antigens (around 100 kDa) of various trematodes but not nematode and cestode antigens. My, M. yokogawai; Gs, Gymnophalloides seoi; Cs, Clonorchis sinensis; Pw, Paragonimus westermani; Fh, Fasciola hepatica; An, anisakid larvae; Ts, Trichinella spiralis; Cc, cysticercus cystic fluid; H, hydatid cystic fluid; Ta, Taenia asiatica gravid proglottid; a, adult; eg, egg; mt, metacercariae.
kjp-52-201-g002.jpg

Download Citation

Download a citation file in RIS format that can be imported by all major citation management software, including EndNote, ProCite, RefWorks, and Reference Manager.

Format:

Include:

Metagonimus yokogawai: a 100-kDa Somatic Antigen Commonly Reacting with Other Trematodes
Korean J Parasitol. 2014;52(2):201-204.   Published online April 18, 2014
Download Citation

Download a citation file in RIS format that can be imported by all major citation management software, including EndNote, ProCite, RefWorks, and Reference Manager.

Format:
Include:
Metagonimus yokogawai: a 100-kDa Somatic Antigen Commonly Reacting with Other Trematodes
Korean J Parasitol. 2014;52(2):201-204.   Published online April 18, 2014
Close

Figure

  • 0
  • 1
Metagonimus yokogawai: a 100-kDa Somatic Antigen Commonly Reacting with Other Trematodes
Image Image
Fig. 1 SDS-PAGE of Metagonimus yokogawai crude antigen (A) and immunoblot analysis with sera of M. yokogawai-infected patients and healthy individuals (B). The crude antigen (marked 'C' in [A]) consisted of a large number of soluble antigens of different size. Several antigenic bands, including 100 kDa and 67 kDa (B), were reactive against the parasite-infected patients' sera.
Fig. 2 (A) Immunoblot patterns of the 100 kDa-specific monoclonal antibodies (mAbs). The mAbs were reacted with the 100 kDa antigen of M. yokogawai adults. (B, C) Reactivity of the mAbs to crude antigens of several species of trematodes (B), nematodes, and cestodes (C). MAbs were reactive against similar-sized antigens (around 100 kDa) of various trematodes but not nematode and cestode antigens. My, M. yokogawai; Gs, Gymnophalloides seoi; Cs, Clonorchis sinensis; Pw, Paragonimus westermani; Fh, Fasciola hepatica; An, anisakid larvae; Ts, Trichinella spiralis; Cc, cysticercus cystic fluid; H, hydatid cystic fluid; Ta, Taenia asiatica gravid proglottid; a, adult; eg, egg; mt, metacercariae.
Metagonimus yokogawai: a 100-kDa Somatic Antigen Commonly Reacting with Other Trematodes