INTRODUCTION
Human hookworm infection is a leading cause of anemia and malnutrition in impoverished rural areas of Asia, sub-Saharan Africa, and tropical regions of the Americas [1]. Current estimate indicates that approximately 576 million people are infected with hookworms worldwide [2]. The main clinical symptoms of human hookworm infections is iron-deficiency anemia, a direct consequence of the intestinal blood loss resulting from the parasite’s feeding behavior. Although various treatments are available and used for the periodic removal of adult hookworms from patients, these approaches could not effectively control hookworm infections in poor rural areas. Furthermore, treated individuals are still susceptible to reinfection following exposure to third-stage infective hookworm larvae in the soil as early as 4-12 months after the drug treatment. There were case reports about ancylostomiasis in healthy adults [3], but no cases were reported in uremic patients. Here we report a case of peritoneal dialysis patient with ancylostomiasis for the first time to our knowledge.
CASE RECORD
The patient was a 70-year-old male farmer. He was admitted to our hospital on June 2012. His chief complaint was abdominal pain, abdominal distension, and vomiting during the treatment of peritoneal dialysis.
Five months ago, the patient showed the symptoms of chest tightness, shortness of breath, and both lower extremities edema. The results of laboratory examination were listed as follows: the molar concentration of serum creatinine was 783.3 μmol/L, the molar concentration of serum urea nitrogen was 30.8 mmol/L, the concentration of serum hemoglobin was 56 g/L, and the concentration of serum parathyroid hormone was 212.9 pg/ml. He was diagnosed with chronic renal insufficiency, chronic kidney disease (5th stage), and renal anemia, and was treated with continuous peritoneal dialysis.
In order to alleviate the symptoms of anemia, the patient received subcutaneous injections with recombinant human erythropoietin with 3,000 units 3 times a week and oral iron polysaccharide complex capsules (Kremers Urban Pharmaceuticals Inc., Milwaukee, Wisconsin, USA) with 300 mg once a day for 2 months treatment. The symptoms of chest tightness and polypnea went into remission gradually. However, the concentration of serum hemoglobin was 62 g/L, which did not reach the satisfactory concentration, with 19.2% of serum hematocrit and 225 ng/ml of serum ferritin. In order to improve the efficacy of treatment, the patient received sucrose iron 100 mg 3 times a week intravenously for the next 3 weeks. Disappointingly, the concentration of serum hemoglobin was still 68 g/L, with 20.6% of serum hematocrit 2 months later. Eight times of stool occult blood tests all showed negative results during therapy.
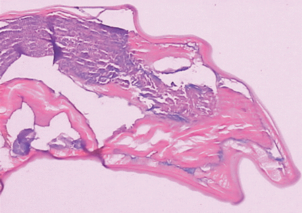
One day before admission, the patient suddenly vomited out about 200 ml dark red bloods without any incentive, accompanied with dizziness and weakness to walk but without symptoms of syncope or disturbance of consciousness. Physical examinations showed blood pressure 146/85 mmHg, pulse 84/min, temperature 37˚C, severe anemic appearance, and nephrotic faces. The abdomen of this patient was flat and soft without tenderness or rebound tenderness, the liver and spleen could not be touched under the rib. Meanwhile, the frequency of gurgling sound was 6 per min, and the lower limbs were not swelled. Moreover, the concentration of serum hemoglobin decreased significantly to 27 g/L. Then, the patient received blood transfusion therapy, accompanied with hematemesis during the period of treatment. Unexpectedly, an upper endoscopy revealed numerous actively feeding hookworms in the duodenum, with several surrounding fresh, bright red hemorrhagic spots (Fig. 1). Then, this patient took oral albendazole tablets (GSK Pharmaceuticals Inc., Tianjin, China) 200 mg 3 times a day continued for 1 month. Of this period, iron element and recombinant human erythropoietin were continuously supplemented. The concentration of serum hemoglobin increased significantly to 82 g/L. The stool occult blood test showed negative results, and no hookworm eggs were found in the stool. The subsequent gastroendoscopy indicated that this patient had the symptoms of superficial gastritis. The concentration of serum hemoglobin reached to 98 g/L 2 months after the therapy. This patient had been informed that the case would be submitted for publication, and he signed the informed consent.
DICUSSION
Ancylostomiasis was epidemic worldwide, especially in the tropics, subtropics, and temperate zones between 45 degrees north and 30 degrees south latitudes. “Hot spots” of ancylostomiasis in China mainly focused on the south of Yellow River and Huaihe River, especially the south of the Yangtze River. High incidence areas of ancylostomiasis were reported from Sichuan, Fujian, Taiwan, Guangdong, Guangxi, Hunan, Zhejiang, Jiangsu, and Shanghai province [4]. People of the areas mentioned above were easy to be infected by hookworms, especially among young adults [5]. Ancylostomiasis can be confirmed by endoscopy [6], and this disease could cause gastrointestinal bleeding and iron-deficiency anemia [7,8]. Clinically, albendazole is an effective anthelmintic [9]. However, in rural areas, prophylactic vaccines are a primary recommended way to resist the hookworm infection [10].
In our case, we once thought the etiology of anemia was originated from a renal disease because the patient was diagnosed as incipient uremia, and peritoneal dialysis was performed for a short period. However, anemia was ameliorated poorly even if the patient was supplemented with iron and recombinant human erythropoietin during the late treatment. Moreover, other reasons, including secondary hyperparathyroidism, hemolysis, aluminum poisoning, and lack of folic acid or vitamin B12, were all ruled out. Considering the extremely severe anemia, it was difficult to be explained with renal anemia alone. Gastrointestinal bleeding was once highly suspected. Nevertheless, it was excluded because of the continued negative results of stool occult tests, and considering that the incidence of uremia patients coupled with ancylostomiasis was extremely low. Further gastroendoscopy showed numerous actively feeding hookworms, which were also confirmed by a histopathology examination in the duodenum (Figs. 1, 2). In general, infection by a few hookworms was not sufficient to induce clinical anemia. However, approximately 10% of patients infected by hookworms experienced anemia [11]. Anemic symptoms of this patient were significantly ameliorated after expelling the parasites, which indicated that the etiology of anemia in this patient was ancylostomiasis.
In conclusion, the reason of anemia in uremic patients should be systematically considered. When anemia could not be cured by regular treatment, rare diseases should be investigated. Therefore, overall consideration of etiology could effectively avoid the occurrence of misdiagnosis and make the treatment more effective.



