Introduction
Raw or undercooked marine fish consumption may cause infection with several helminths. Anisakidosis is a foodborne disease caused by the accidental ingestion of larval nematode (commonly Anisakis spp. or Pseudoterranova spp.) in raw marine fishes [1–3]. Anisakidosis incidence continues to increase globally due to the growing popularity of consuming raw or undercooked fish [4,5]. Annually, over 2,000 cases of anisakidosis are assumed to occur in most regions of Japan [3]. Approximately 95% of larvae parasitize the gastric, small intestinal, and colon mucosae, when Anisakis larvae orally infect the digestive tract lumen. However, they occasionally perforate the intestinal wall and resulting in ectopic anisakidosis cases. By the mid-1990s, 769 cases of anisakidosis caused by Pseudoterrranova decipiens (this species is widely known in Japan) were reported in the northern part of Japan [3]. The ectopic form of anisakidosis is much less common than the gastric and intestinal forms, but ectopic anisakidosis caused by Pseudoterranova spp. has been reported in humans [6,7]. A biopsy sample obtained under endoscopy from patients with acute or subacute abdominal symptoms is used to generally diagnose Pseudoterranova infection. However, a previous study reported that the 4th-stage larva of P. azarasi was expectrated by strong coughing after an asymptomatic course [6]. To date, 3 sibling species of Anisakis simplex larvae have been reported: A. simplex sensu stricto (s.s.), A. pegreffii, and A. simplex C [8]. The most common species in Japan is A. simplex (s.s.) followed by A. pegreffii, and A. simplex (s.s.) caused 99% of all human anisakidosis [3,9]. The total number of anisakidosis cases reported each year is 70 in the United States of America and 500 in Europe [1]. Herein, we report a 71-year-old male who presented with liver cancer and was diagnosed with extra-gastrointestinal anisakidosis caused by Anisakis pegreffii.
Case Records
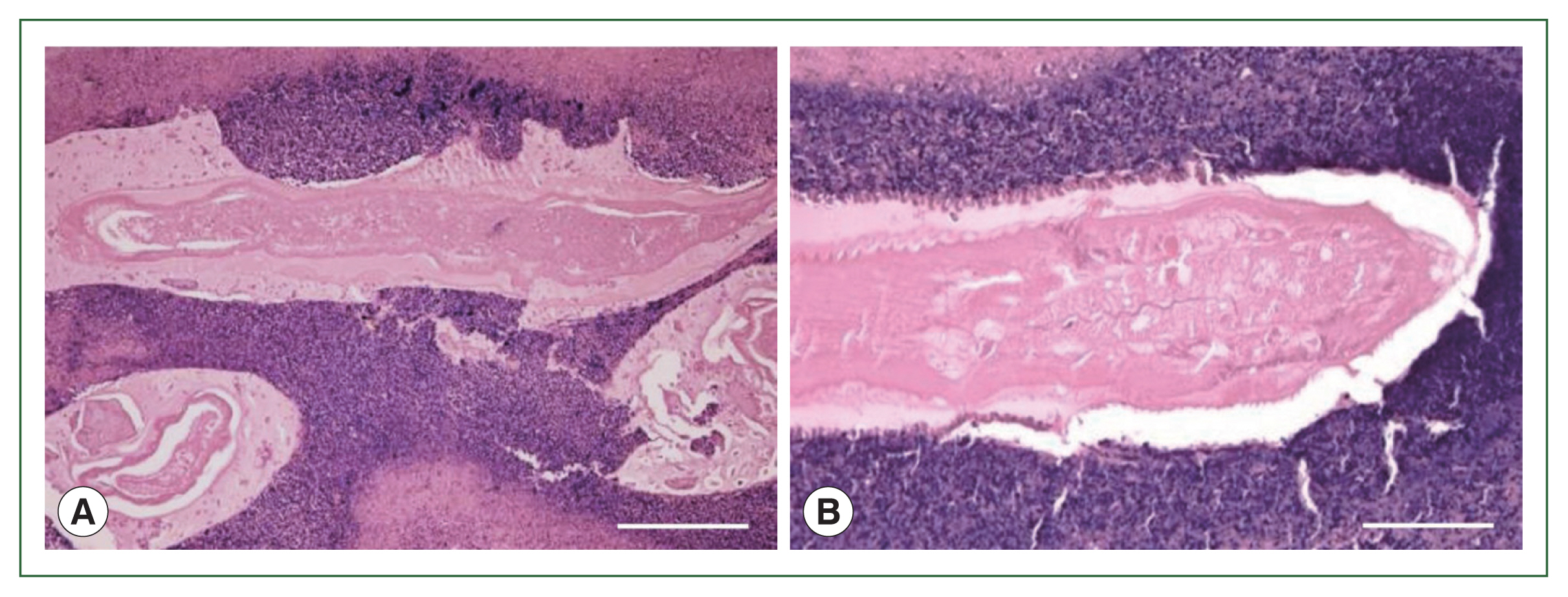
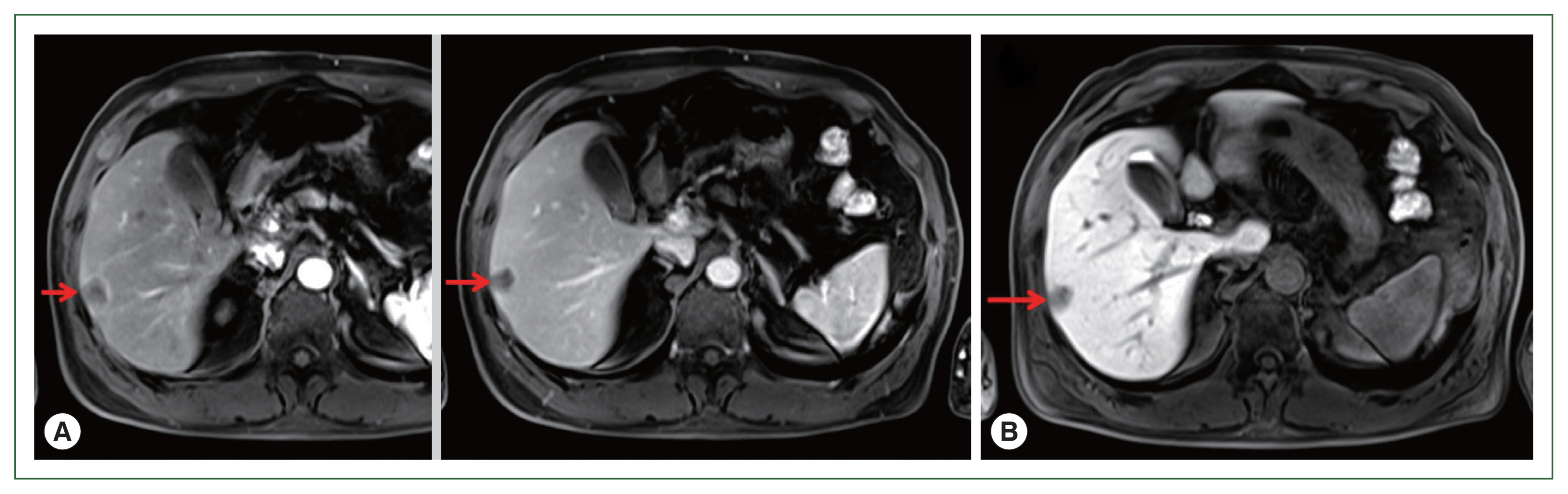
A 71-year-old male patient was admitted to Kyoto Prefectural University of Medicine Hospital with a liver tumor impression. He had a previous history of hypertension, gout, and prostatomegaly. He underwent appendectomy at 30 years of age. He had a family history of lung cancer, which affected his mother. Abdominal ultrasonography performed in health check-up revealed a low-density area of 20 mm in diameter in segment 6 of the liver. He was referred to our hospital for a more detailed lesion examination after 1 month. Difficulties were associated in reaching a definitive diagnosis although computed tomography (CT)-ethoxybenzyl-diethylenetriamine pentaacetic acid-enhanced magnetic resonance imaging (EOB-MRI) images were investigated (Figs. 1, 2). Therefore, a liver biopsy was performed and tissue sections were examined. Preoperative diagnosis includes a liver tumor (S6), and a differential diagnosis from hepatocellular carcinoma, metastatic liver cell carcinoma, cholangiocarcinoma in the liver, and an inflammatory pseudotumor was required. Borderline-limited necrotizing granuloma comprising coagulation necrosis containing eosinophilic ghost cells and liquefactive necrosis with a desquamated cytoplasm was revealed in a pathological examination of a tissue section from a surgical sample obtained under laparoscopy. Necrotizing granuloma of the S6 lesion in the center of the tissue section was partially resected, revealing avascular necrosis in the cavity, and contained a necrotic larval nematode with a thick pellicle and amorphous content, indicating an anisakis infection (Figs. 3, 4). Necrotizing eosinophilic granulomatous connective tissues surrounding the larval nematode were visualized with hematoxylin and eosin staining, but were not clarified by Victorian-blue or elastica staining (Figs. 5, 6). DNA samples were extracted from parasite-positive and -negative regions in paraffin-embedded sections using the DEXPAT reagent (TaKaRa, Shiga, Japan) and the QIAmp DNA Mini Kit (Qiagen GmbH, Hilden, Germany) to molecularly identify the larvae in the nematode-positive lesion. A nuclear DNA region of internal transcribed spacer (ITS)1, 5.8S rRNA and ITS2, and a mitochondrial DNA region of COX2 are used to identify Anisakis larvae. The COX2 region was amplified by polymerase chain reaction (PCR) and sequenced in the present case. The primers used for COX2 were 5′-TCAGGATTTTGGTTTGATGTTT-3′ and 5′-ATTCTCCATAAAACCTATACAC-3′ [10]. A PCR reaction was performed under the following conditions: samples were denatured at 95°C for 3 min and then subjected to 40 cycles of 94°C for 30 sec, 48°C for 40 sec, and 72°C for 50 sec, with final extension at 72°C for 7 min on a thermocycler (GeneAmp PCR System 9700, Applied Bio-systems, Foster City, CA, USA). The PCR product (682 bp) was purified with a QIAquick PCR Purification Kit (Qiagen GmbH) and sequenced. Clustal X2 [11] aligned sequences and BioEdit 7.0.5.3 manually edited computed sequences [12]. All gaps were eliminated and COX2 sequences were used for the phylogenetic analysis. A maximum likelihood (ML) analysis was performed with MEGA 6.0.6 [13]. The substitution model and optional parameter sets used were assessed with MEGA 6.0.6, and the most suitable sets were selected following the Akaike information criterion. The same datasets were used to construct 1,000 ML trees to calculate the bootstrap values. the final dataset contained 468 positions. Molecular and phylogenetic analysis of COX2 (468 bp, partial sequence) sequences revealed Anisakis larvae belonging to A. pegreffii (Fig. 6).
Discussion
Anisakidosis is one of the most common fishborne helminthic diseases in Japan, which is contracted by ingesting the nematode Anisakis spp larvae, carried by marine fish [1]. The dominant species in fish caught offshore Japan included A. simplex (s.s.) and A. pegreffii [9]. A previous study revealed that significantly higher rates of A. simplex (s.s.) penetrated agar than A. pegreffii, indicating that its larvae can survive in acidic gastric juice to some extent and penetrate the stomach, small intestine, or colon of infected humans [14]. Furthermore, in vitro and in vivo studies revealed that A. pegreffii can pathogenically cause anisakidosis in humans when ingested, similar to A. simplex (s.s.) [15]. Recent cases in Italy indicated that A. pegreffii is a major cause for concern in countries in which it is dominant [16], similar to A. simplex (s.s.) in Japan [14]. The present case report is crucial because it describes a rare hepatic anisakidosis case caused by A. pegreffii, which is mostly encountered in gastric, intestinal, and extra-gastrointestinal (ectopic) cases mainly caused by A. simplex (s.s.) in Japan [14]. Difficulties were associated with differentiating between liver cancer and parasitic granuloma solely based on imaging modalities. An accurate diagnosis is possible using PCR based on COX2 genes subjected to a mtDNA sequence analysis although ectopic anisakidosis is challenging to diagnose using pathological specimens. A molecular/genetic methodological approach allows for the easy and rapid Anisakis spp. identification in formalin-fixed and paraffin-embedded tissues obtained from gastric or intestinal human anisakidosis cases [16,17]. Laparoscopic partial hepatectomy for a pathological examination and the genetic anisakidosis identification by PCR were useful for achieving a final diagnosis even when degenerative granuloma surrounding larval bodies necrotizing in the resected specimen collapses with time. Only 8 hepatic anisakidosis cases have been reported from Japanese people who frequently consume undercooked fish [18,19]. In conclusion, the present results emphasize the rarity of ectopic anisakidosis, which may help identify and characterize unknown Anisakis species in biopsied histological sections misdiagnosed as liver cancer.



