INTRODUCTION
Sparganosis is a larval cestode disease caused by infection with the plerocercoid of the genus Spirometra. The disease is usually manifested with migrating subcutaneous masses, but may also involve the oral cavity (Iamaroon et al., 2002), brain (Sundaram et al., 2003), pleura (Ishii et al., 2001), bone (Settakorn et al., 2002) and scrotum (Jeong, 2004). Most of the diseases are diagnosed by surgical pathology specimens. However, due to recent advances in serological (Kim et al., 1984; Lee et al., 2002) and radiological techniques (Cho et al., 2002), proper diagnosis could be established prior to surgery. We report a case of subcutaneous and muscular sparganosis that was initially misdiagosed as a varicose vein. Since this infection is rare and physicians have little experience of sparganosis, the diagnosis is still frequently confused with other diseases until the worm is confirmed from the mass lesion.
CASE RECORD
A 44-year-old woman presented with an increasing crackle in her knee of a month's duration. She had previously noticed a small mass in the left popliteal area some 10 years previously. The lesion extended to the medial side of the knee and thigh, but she ignored this as the condition was asymptomatic. She had no history of leg trauma and denied ingesting raw snake or frog, but admitted drinking from a spring occasionally when she climbed mountain areas for exercise.
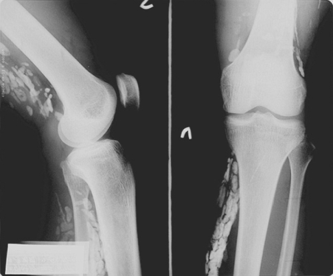
On physical examination, relatively ill defined, variously sized, round or elongated, soft nodules were detected on the medial aspect of her left leg and popliteal fossa. Routine laboratory test results were within reference ranges, and no leukocytosis and no eosinophilia was detected in the peripheral blood. A plain knee radiograph taken at a primary clinic demonstrated multiple discoid calcifications around her knee (Fig. 1). Ultrasonography revealed subcutaneous hypoechoic elongated nodules and irregular intramuscular calcifications in the left lower leg antero-medially with slightly increased peripheral vascularity. Elongated and dilated superficial veins were also identified along the hypoechoic nodule and this showed compressibility at the same time (Fig. 2). Magnetic resonance (MR) imaging revealed a multilocular (tubular and round) subcutaneous lesion (width 45 mm, thickness 15 mm, length 75 mm) in the antero-medial aspect of the proximal left lower leg. The lesion showed low signal intensity on T1 weighted images, high and low signal intensities on T2 weighted images, and irregular thick rim enhancement. Numerous calcific foci were noted along the medial margin of the soleus and medial head of the gastrocnemius muscle. Sporadic intra- and intermuscular calcific foci were also noted at the postero-lateral portion of the distal thigh, which showed faint rim enhancement (Fig. 3). The preoperative diagnosis was made as a partly thrombosed varicose vein associated with myositis at adjacent muscles.
During the surgery, a small longitudinal incision was made over the elongated mass to remove the conglomerated vascular lesion at the same time. The approached mass through the incision site had a yellowish-white color capsule which contained an ivory-colored, opaque and ribbon-shaped sparganum that measured 30 cm in length and 0.5 cm in width, and this was correspondent to the hypoechoic elongated mass on ultrasonography. Many pieces of encapsulated and mummified sparganum were detected at subfascial muscular layers, and these corresponded with the areas of calcified foci on MR images. All of these masses were removed by extending the incision and complete dissection was possible from adjacent soft tissues (Fig. 4). On the third postoperative day, the patient was discharged and followed-up uneventfully.
DISCUSSION
Sparganosis is a rare disease, but sporadically detected throughout the world. The disease is characterized by a slow-growing, sometimes migratory, subcutaneous mass. When mass lesions are detected at subcutaneous layers, the diagnosis can be made by surgical biopsy, but before surgery other diagnostic possibilities such as inflammatory, neoplastic, or vascular disorders must be considered. Recently developed imaging diagnostic modalities may solve these diagnostic problems easily, but in some cases, precise diagnosis can be missed due to a lack of suspicion by the primary physician.
On plain radiographs, calcification has been reported as an important diagnostic clue of cerebral sparganosis (Chang et al., 1992; Dunn and Palmer, 1998). The sonographic findings include a linear echogenicity with a 'dot and dash' pattern in some portion of the tract, which is a highly characteristic finding of sparganosis (Cho et al., 2002). Our patient also disclosed similar findings, but dilated veins along and around mass with compressibility on ultrasonography made us confusing the diagnosis. The live sparganum, with an overlying soft capsule, was misinterpreted as a partly thrombosed varicose vein. MR images of muscular sparganosis are conglomerated cystic lesions and reactive changes in the adjacent soft tissues. The imaging appearance of the cystic lesions with surrounding reactive changes may resemble pyogenic infections, other parasitic infections (cysticercosis and paragonimiasis) or hemangioma, and these must be differentiated. Moreover, if serpiginous tubular tracts are observed during imaging studies, musculoskeletal sparganosis should be included in the differential diagnosis (Cho et al., 2002). Laminated calcospherules in the cytoplasm of proliferating macrophages and giant cells are of diagnostic value if no sparganum worm is present in a lesion (Chi, 1980).
The present sparganosis case mimicked a varicose vein in terms of clinical manifestations and radiological findings. Sparganosis should be included among the list of differential diagnosis with varicose vein.



