INTRODUCTION
Sparganosis is a parasite infection caused by the plerocercoid larvae of the genus Spirometra, a pseudophyllidean tapeworm [1]. Humans can be exposed to sparganosis by ingesting infected copepods with procercoids through drinking water; by consuming frogs, snakes, or rodents harboring the plerocercoids; or from poultices made of infected flesh of frogs or snakes [1]. Many sparganosis cases have been reported in the urological organs, such as the groin, scrotum, testis, spermatic cord, epididymis, and urethra [2]. Only 1 case of eosinophilic cystitis caused by vesical sparganosis has been reported among the literature, but it was only confirmed by a serological test, not by the sparganum worm [2]. We report here an interesting case of genitourinary sparganosis with multiple spargana worms infiltrated into the scrotum, spermatic cord, and urinary bladder.
CASE REPORT
A 59-year-old man presenting with a 2-cm sized painless movable hard mass in the left scrotum since 1 year before was admitted. He also complained of slow urine stream and hesitancy. The patient had a history of raw snake and frog ingestion during his childhood. He was a farmer living in a rural area. On physical examinations, a relatively ill-defined, 2-cm sized, round and movable hard nodule was detected in the scrotum. Routine laboratory tests revealed microscopic hematuria, but others were unremarkable. The ultrasound scan revealed a 2.2-cm sized well-defined round heteroechogenic nodule between the left epididymis and the spermatic cord.
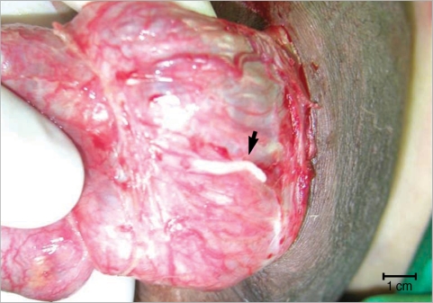
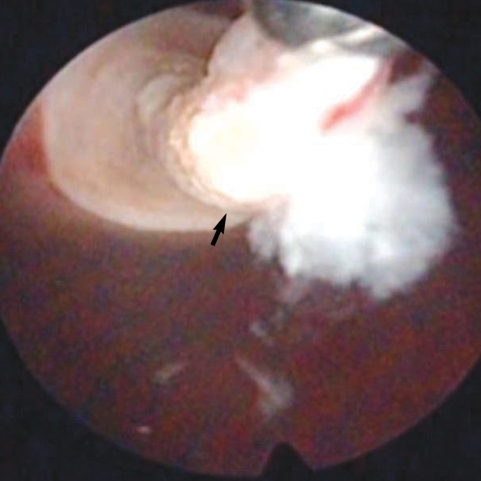
At operation, multiple spargana were found within the mass, around the spermatic cord and scrotal soft tissues (Figs. 1, 2). All identified spargana worms were completely excised. Diagnostic cystoscopy was performed consecutively to evaluate the microscopic hematuria, and a 10-mm sized small nodular mucosal elevation was found in the right side of the dome of the urinary bladder (Fig. 3). Covered mucosa was removed using resectoscope, and a whitish worm-like mass surrounded by granulation tissues was found inside of the nodule (Fig. 4). We tried to remove it by forceps, but it came apart. Histological examinations revealed a foreign body granuloma with a few infiltrates of eosinophils. In a serological test, patient's serum showed a positive reaction to anti-sparganum IgG antibody.
The larval tapeworms were morphologically identified as the spargana of Spirometra erinacei. The worm from urinary bladder was put to a PCR sequencing analysis. The PCR amplification and direct sequencing for the cox1 target fragment (353-bp in length corresponding to the positions 769-1,121 bp of the cox1 gene) were performed using the total genomic DNA extracted from paraffin-embedded samples. The cox1 sequences (353 bp) of the specimen showed 98% similarity to the reference sequences of the Japanese origin Spirometra erinaceieuropaei (GenBank No. AB-278575.1) and 90% similarity with the reference sequence of Spirometra proliferum (GenBank No. AB015753.1).
In a year post-operation, the patient underwent the serological test against the sparganum. Although the level of the IgG antibody had decreased, the result still remained positive. The patient is now on a close follow-up through physical and serological examinations.
DISCUSSION
Humans can be infected by spargana via ingestion of contaminated water, eating raw amphibian (frog) or reptile (snake) meat, or dermal contact of those meats as a poultice. The ingested spargana can invade various organs, such as the eye, subcutaneous tissues, abdominal wall, brain, spinal cord, lung, breast, and others [3-5]. In the case of genitourinary system, the scrotum was the most commonly affected organ by the spargana [6]. Also an involvement of the epididymis, spermatic cord, penis, retroperitoneum, and ureter has been reported [2,7,8]. So far, only 1 case of vesical sparganosis has been reported which caused eosinophilic cystitis [9]. However, the diagnosis was based on elevated serum IgG antibodies for spargana and the histopathological findings with infiltrated eosinophils, but not by the worm. In our study, we directly removed the worm by forceps under cystoscopy from the submucosa of the bladder, and confirmed sparganosis by a PCR reaction. Therefore, this is the first case of urinary bladder sparganosis confirmed by the worm (PCR) among the literature.
Human sparganosis is an extremely rare disease, even in endemic countries, and its manifestations are diverse, such as non-specific discomforts, vague pain, palpable mass, headache, or no symptoms according to the involved organs. In our case, the patient was presented by an asymptomatic scrotal mass, and mild lower urinary tract symptoms. If microscopic hematuria was not found on the urinalysis, we could not have detected the vesical sparganosis because cystoscopic examination was not necessary for this patient. Therefore, in patients who have a suspicious history and multiple spargana in genitourinary organs, and complain of lower urinary symptoms with hematuria, the urologist should keep in mind with a high suspicion for vesical sparganosis.



