Warning: fopen(/home/virtual/parasitol/journal/upload/ip_log/ip_log_2025-12.txt): failed to open stream: Permission denied in /home/virtual/lib/view_data.php on line 83

Warning: fwrite() expects parameter 1 to be resource, boolean given in /home/virtual/lib/view_data.php on line 84
Plasmodium vivax dhfr Mutations among Isolates from Malarious Areas of Iran
Skip to main navigation Skip to main content
  • KSPTM
  • E-Submission

PHD : Parasites, Hosts and Diseases

OPEN ACCESS
ABOUT
BROWSE ARTICLES
FOR CONTRIBUTORS

Articles

Original Article

Plasmodium vivax dhfr Mutations among Isolates from Malarious Areas of Iran

The Korean Journal of Parasitology 2011;49(2):125-131.
Published online: June 14, 2011

1Tabriz University of Medical Sciences, Tabriz, Iran.

2Tabriz Research Center of Infectious and Tropical Diseases, Tabriz, Iran.

3Department of Parasitology and Mycology, Tabriz University of Medical Sciences, Tabriz, Iran.

4Department of Biotechnology, Tabriz University of Medical Sciences, Tabriz, Iran.

Corresponding author (shahbazy42@yahoo.com)
• Received: October 17, 2010   • Revised: January 3, 2011   • Accepted: April 5, 2011

© 2011, Korean Society for Parasitology

This is an Open Access article distributed under the terms of the Creative Commons Attribution Non-Commercial License (http://creativecommons.org/licenses/by-nc/3.0) which permits unrestricted non-commercial use, distribution, and reproduction in any medium, provided the original work is properly cited.

  • 7,774 Views
  • 58 Download
  • 3 Crossref
  • 7 Scopus
prev next
  • The use of sulfadoxine and pyrimethamine (SP) for treatment of vivax malaria is uncommon in most malarious areas, but Plasmodium vivax isolates are exposed to SP because of mixed infections with other Plasmodium species. As P. vivax is the most prevalent species of human malaria parasites in Iran, monitoring of resistance of the parasite against the drug is necessary. In the present study, 50 blood samples of symptomatic patients were collected from 4 separated geographical regions of south-east Iran. Point mutations at residues 57, 58, 61, and 117 were detected by the PCR-RFLP method. Polymorphism at positions 58R, 117N, and 117T of P. vivax dihydrofolate reductase (Pvdhfr) gene has been found in 12%, 34%, and 2% of isolates, respectively. Mutation at residues F57 and T61 was not detected. Five distinct haplotypes of the Pvdhfr gene were demonstrated. The 2 most prevalent haplotypes were F57S58T61S117 (62%) and F57S58T61N117 (24%). Haplotypes with 3 and 4 point mutations were not found. The present study suggested that P. vivax in Iran is under the pressure of SP and the sensitivity level of the parasite to SP is diminishing and this fact must be considered in development of malaria control programs.
Plasmodium vivax is the most widely distributed species of Plasmodium causing malaria in humans and responsible for about 80 million clinical cases annually [1]. It remains the most widespread malaria parasite in areas outside of Africa [1,2]. In spite of very little mortality in comparison with Plasmodium falciparum, P. vivax accounts for considerable morbidity and economic loss in endemic countries [3]. Nowadays, due to the development of resistance against antimalarial drugs as a major concern to fight against malaria in most parts of the world and worldwide spread of chloroquine resistance, the drug combination of sulfadoxine-pyrimethamine (SP) becomes the first line therapy for complicated P. falciparum malaria in many endemic areas [4].
Sulphadoxine and pyrimethamine (SP) resistant P. falciparum has been reported from many malarious areas of the world, while it has been observed sporadically for P. vivax [2,5]. SP, commonly used for P. falciparum malaria treatment, interfere with the enzymes involved in the folate biosynthesis pathway of the parasite [6,7] and reduces the affinity of the enzyme for the drug [8-12]. The molecular mechanisms involved in the development of SP resistance in the P. falciparum and P. vivax are most likely similar to one another [13,14]. In P. falciparum, pyrimethamine and sulphadoxine resistance are provided by single nucleotide polymorphisms (SNPs) in codons 51, 59, and 108 of the P. vivax dihydrofolate reductase (Pvdhfr) gene and in codons 437 and 540 of the P. falciparum dihydropteroate synthetase (Pfdhps) gene, respectively, and these combinations of SNPs result in a high risk of SP treatment failure in vivo [2,15].
The use of SP for treatment of vivax malaria is unommon in most of malarious areas, but P. vivax isolates are exposed to SP because of mixed infections [12,13,16]. There is a relationship between the use of SP against malaria and frequency of mutant alleles of P. vivax, as wild type P. vivax has been found more commonly in areas with limited use of SP [12,17-20]. Pyrimethamine resistance in P. vivax possibly involves several SNPs [21,2], but it is associated with 2 key dhfr mutations, S58R and S117N, which are equivalent to the C59R and S108N mutations of the Pfdhfr [19]. In addition, other mutations (I13L, P33L, F57L/I, T61M, S117T, I172V, and I173L) in Pvdhfr have also been reported [4,7,13,14,18,19,21-26].
Correlation between the quadruple mutant haplotype (57L+58R+61M+117T) and in vivo SP treatment failure has been shown previously [11], so that it increases P. vivax resistance to pyrimethamine by more than 500 times [14,19]. In vitro and in vivo data on Pvdhfr mutations have now clearly established the association between pyrimethamine resistance and these mutations [7,14,18,20,21,27,28].
Malaria is endemic in south-east of Iran, including Sistan and Baluchestan (bordering with Afghanistan and Pakistan), Hormozgan, Kerman, and Boushehr provinces, and P. vivax is the dominant causative agent [29] that is responsible for about 90% of the cases [30,31]. Although chloroquine (CQ) remains the first choice of drug for treatment of P. vivax mono-infections, but because of mixed infections and misdiagnosis in blood smears in field laboratories, it may often be treated with SP. Based on the necessity of detection of new mutations in P. vivax wild isolates for monitoring and evaluation of malaria control program, the present study was designed and carried out.
Blood samples were collected from a total of 50 symptomatic patients who suffered from P. vivax infection in 4 separated geographical regions, Sistan and Baluchestan, Hormozgan, Kerman, and Bushehr provinces between 2007 and 2008. Sample collection was approved by the ethical committee of Tabriz University of Medical Sciences and performed after obtaining informed consent from each study subject. Approximately 1,000 µl of venous blood was collected in EDTA, stored at -20℃ and then transported to the main laboratory in Tabriz. Blood films, that were prepared in field laboratories, were rechecked by experienced microscopists.
DNA extraction and PCR amplification
DNA was extracted by Q1Amp® DNA blood mini kit 50 (Qiagen, City Name, Germany) according to the instructions. All samples were rechecked by nested PCR using Plasmodium genus, P. vivax, and P. falciparum species-specific primers [32]. For detection of point mutations at residues 57, 58, 61, and 117, previously described PCR-RFLP protocols were used with some modifications [18,19].
PCR amplification of Pvdhfr for positions 57 and117
In the first stage, 611 bp of Pvdhfr gene (711 bp) was amplified by primers VDT-OF: 5-ATGGAGGACCTTTCAGATGTATTTGACATT-3 and VDT NR: 5-TCACACGGGTAGGCGCCGTTGATCCTCGTG-3 [18]. The cycling conditions for the first stage reaction were as follows: 94 cycles of 66℃ for 7 min, 35 cycles of 66℃ for 50 sec, 72℃ for 65 sec, and a final extension at 72℃ for 7 min.
RFLP for positions 57 and117
To detect mutations at position F57, 10 µl of the PCR products (611 bp) were digested with 10 U Xmn I enzyme (Fermentase) for 15 hr at 37℃ in a total volume of 20 µl (611 bp=445 bp+166 bp). For mutations at residue S117N/T, 10 µl of the PCR products (611 bp) were digested with 10 U Pvu II enzyme (Fermentase) (S117=350 bp+261 bp) for 5 hr at 37℃ and Bsr I (Fermentase) (117N=290 bp+253 bp+68 bp) for 15 hr at 65℃ in a total volume of 20 µl.
PCR amplification of Pvdhfr for position 58
In this stage, 238 bp of Pvdhfr gene was amplified by primers VDT-OF and VDF-NR58: GGTACCTCTCCCTCTTCCACTTTAGCTTCT [18,19]. The cycling conditions for this stage were as follows: 94 cycles of 66℃ for 7 min, 35 cycles of 66℃ for 50 sec, 72℃ for 65 sec, and a final extension at 72℃ for 7 min.
RFLP for position 58
To detect mutations at position S58R, 10 µl of the PCR products (238 bp) were digested with 10 U Alu I enzyme (Fermentase) for 15 hr at 37℃ in a total volume of 20 µl (58R=213 bp+25 bp and S58 =173 bp+40 bp+25 bp).
PCR amplification of Pvdhfr for position 58
For position 61, 232 bp of Pvdhfr gene was amplified by primers VDF13NF (5-GACCTTTCAGATGTATTTGACATTTACGGC-3 and VDF-NR58 (19). The cycling conditions for this stage were as follows: 94 cycles of 66℃ for 7min, 35 cycles of 66℃ for 50 sec, 72℃ for 65 sec, and final extension at 72℃ for 7 min.
RFLP for position 61
To detect mutations at position T61M, 10 µl of the PCR products (232 bp) were digested with 10 U Tsp 451 enzyme (Fermentase) for 16 hr at 37℃ in a total volume of 20 µl (T61=171 bp+61 bp). The DNA fragments obtained through PCR amplification or RFLP processes were electrophoresed on a 1.5% (Fermentase) agarose gel.
Mutation frequencies of Pvdhfr gene
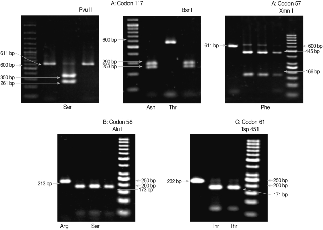
All the 50 isolates from south-east of Iran were analyzed for SNP/haplotype and presence of mutation in codons 57, 58, 61, and 117 of the Pvdhfr gene using the PCR-RFLP method [18,19] (Fig. 1).
In total, 12% of PCR products were digested to 2 bands (including 207 bp band) by Alu I enzyme indicating S58R mutation. In products with mutation at codon 117, which are not digested with Pvu II enzyme, digestion with Bsr I enzyme occurred in 34% of cases which indicates S117N mutation, and in 2% of these products digestion did not occur demonstrating S117T mutation. All the products were digested at codons 61 and 57 with Tsp 451 and Xmn I enzymes, respectively, demonstrating that mutations did not occur at these 2 codons (Tables 1, 2).
In spite of small differences from a previous study [12], the produced bands by related enzymes, totally, are compatible with locations of digestion of the enzymes at the gene (X98123) [18,19]. The small differences may be due to SNPs of isolates of the gene.
Distribution of Pvdhfr haplotypes
Five distinct haplotypes of the Pvdhfr gene were demonstrated in this study. The 2 most prevalent haplotypes were F57S58T61S117 (62%) and F57S58T61N117 (24%). Each of these 2 other haplotypes with 1 point mutation at positions F57R58T61S117 and F57S58T61T117 were observed in 2% of the isolates. Haplotypes with 2 mutations at positions F57R58T61N117 were found in the 10% of the isolates (Table 2). This double mutant haplotype was the most frequent mutated haplotype observed among Iranian samples. In our study, haplotypes with 3 and 4 point mutations were not found.
In recent years, the economy of 4 malaria endemic provinces in Iran (Sistan and Bkuchestan, Hormozgan, Kerman, and Bushehr) has sustained a considerable loss during malaria epidemics, and malaria control activities impose a grave disbursement to the socio-economic developmental programs [29]. Therefore, more investigations on any aspects of the parasite, especially recognition of drug resistance, seem to be necessary. Since 2005, based on the national drug policy, the antimalarial treatment in Iran has changed, and the SP became the first choice of drug for treatment of falciparum malaria. With more availability of SP and propagation of coinfection with P. vivax and P. falciparum in malaria-endemic areas, there is risk of changing patterns of resistance of P. falciparum and P. vivax to SP [33]. Therefore, due to the lack of effective methods for in vitro and in vivo evaluations of P. vivax drug resistance, the need for other methods, such as measuring single-nucleotide polymorphisms to evaluate drug resistance in P. vivax, is increasing [22].
In our study, we used a sensitive PCR-RFLP method to analyze the frequency of mutations in defined residues of the Pvdhfr gene related to pyrimethamine resistance in 50 P. vivax isolates from malarious areas of Iran. In these areas, introduction of SP as the first line anti-malarial therapy for falciparum malaria makes P. vivax under a drug pressure [18,19,24]. Although, in the south of Iran, P. vivax is still sensitive to chloroquine, researches performed since 2001 have shown that the sensitivity of the parasite against the drug is decreasing and parasite clearance time has increased [12]. Therefore, effective alternative drugs against resistant parasites should be needed.
In our study, 5 distinct haplotypes of Pvdhfr were detected among the isolates. The double mutant F57R58T61N117 was the third frequent haplotype in examined isolates. Demonstrated by molecular studies and clinical observations on vivax malaria, the specific mutations in the dhfr gene confer antifolate resistance [14,18,24]. In addition, mutations in the dhfr gene occur in various combinations. Each haplotype creates a certain level of resistance. Correlation between an increase in the number of mutations and reduction in susceptibility to pyrimethamine has been demonstrated through studies which involved yeast lines expressing each mutant allele. Pyrimethamine resistance is increased as the number of mutations increases (wild-type<single mutant<double mutant<triple mutant<quadruple mutant) [14,24]. In other words, multiple mutations in dhfr can accelerate the treatment failure [34]. It is documented that 4 mutations at codons 57, 58, 61, and 117, can be involved in the pyrimethamine resistance [14,18,24,27]. It has been shown that mutations in Pvdhfr, including 58R and 117N, are implicated in vivo pyrimethamine resistance and seem to arise first under a drug pressure [12]. We observed the mutation of 58R in 12% of isolates alone, that is less than a previous report (21/7% in the south of Iran) [12], and in 10% in combination with 117N, that is almost equal to that reported previously [12]. We observed single and double mutant haplotypes of Pvdhfr in endemic south-east regions. Therefore, malaria endemicity in the south of Iran and relatively long time use of SP as the first-line treatment for P. falciparum infection [12] could provide conditions for emergence of resistance.
In our study, the most common haplotype of Pvdhfr was the wild type (62%). We could not find any triple and quadruple mutants. We observed 12% and 36% mutations in codons 58 and 117, respectively, and mutation of 117T was the first time in the rate of 2% in Iran. The frequency of mutant haplotypes of FSTN in our study (24%) was higher than a previous one (18/2%) [16]. However, we found a decrease in the frequency of haplotypes FRTN (10% vs. 11.9%) and FRTS (2% vs. 9.1%) in comparison with a previous study [12].
We encountered a decline in the frequency of double mutations 58R/117N in comparison with a previous study [12]. However, the frequency of mutations in codon 117N/T increased, and it has an important role in the development of resistance against antifolates. The mutation in codon 117T plays a more important role than 117N in development of resistance to antifolates, and the mutation in codon 58R also increases the level of pyrimetamine resistance [3].
After determining the SP as first line treatment of falciparum malaria in 2001 in Iran [12], it was expected that the trends of reducing sensitivity of P. vivax to the drug will be intensified, like what had happened in Thailand. Analyses of field isolates from Thailand, where SP has been extensively used in the past, revealed the predominance (100%) of parasites harboring 3 Pvdhfr mutant alleles; S58R and S117N; F57L, S58R, T61M and S117T; and F57I, S58R, T61M, and S117T [22]. Moreover, other antifolates, such as cotrimoxazole that are routinely used against urinary tract infections and chronic bronchitis, can also increase the drug pressure on the parasite in malarious areas [3,8,12].
In conclusion, our study showed that although chloroquine is still the main drug used for treatment of vivax malaria in Iran, but due to some reasons, such as probability of misdiagnosis in field laboratories, mixed infection, and considerable rate of imported malaria cases from Afghanistan and Pakistan, the parasite is under the pressure of SP and the sensitivity level of the parasite to SP is diminishing. This fact must be considered in the development of malaria control program in Iran.
This study was supported by Tabriz Research Center of Infectious and Tropical Diseases, Tabriz, Iran.
  • 1. Mendis K, Sina BJ, Marchesini P, Carter R. The neglected burden of Plasmodium vivax malaria. Am J Trop Med Hyg 2001;64:97-106.
  • 2. Schousboe ML, Rajakaruna RS, Salanti A, Hapuarachchi HC, Galappaththy GN, Bygbjerg IC, Amerasinghe PH, Konradsen F, Alifrangis M. Island-wide diversity in single nucleotide polymorphisms of the Plasmodium vivax dihydrofolate reductase and dihydropteroate synthetase genes in Sri Lanka. Malar J 2007;6:28.
  • 3. Auliff A, Wilson DW, Russell B, Gao Q, Chen N, Anh le N, Ma quire J, Bell D, O'Neil MT, Cheng Q. Amino acid mutations in Plasmodium vivax DHFR and DHPS from several geographical regions and susceptibility to antifolate drugs. Am J Trop Med Hyg 2006;75:617-621.
  • 4. Kaur S, Prajapati SK, Kalyanaraman K, Mohmmed A, Joshi H, Chauhan VS. Plasmodium vivax dihydrofolate reductase point mutations from the Indian subcontinent. Acta Trop 2006;97:174-180.
  • 5. Pukrittayakamee S, Imwong M, Looareesuwan S, White NJ. Therapeutic responses to antimalarial and antibacterial drugs in vivax malaria. Acta Trop 2004;89:351-356.
  • 6. Gregson A, Plowe CV. Mechanism of resistance of malaria parasites to antifolates. Pharmacol Rev 2005;57:117-145.
  • 7. Alam MT, Bora H, Bharti PK, Saifi MA, Das MK, Dev V, Kumar A, Singh N, Dash AP, Das B, Wajihullah , Sharma YD. Similar trends of pyrimethamine resistance-associated mutations in Plasmodium vivax and P. falciparum. Antimicrob Agents Chemother 2007;51:857-863.
  • 8. Foote SJ, Cowman AF. The mode of action and the mechanism of resistance to antimalarial drugs. Acta Trop 1994;56:157-171.
  • 9. Thaithong S, Chan SW, Songsomboon S, Wilairat P, Seesod N, Sueblinwong T, Goman M, Ridley R, Beale G. Pyrimethamine resistant mutations in Plasmodium falciparum. Mol Biochem Parasitol 1992;52:149-158.
  • 10. Volz KW, Matthews DA, Alden RA, Freer ST, Hansch C, Kaufman BT, Kraut J. Crystal structure of avian dihydrofolate reductase containing phenyltriazine and NADPH. J Biol Chem 1982;257:2528-2536.
  • 11. Peterson DS, Milhous WK, Wellems TE. Molecular basis of differential resistance to cycloguanil and pyrimethamine in Plasmodium falciparum malaria. Proc Natl Acad Sci USA 1990;87:3018-3022.
  • 12. Zakeri S, Motmaen SR, Afsharpad M, Djadid ND. Molecular characterization of antifolates resistance-associated genes (dhfr and dhps) in Plasmodium vivax isolates from the Middle East. Malar J 2009;8:20.
  • 13. de Pecoulas PE, Tahar R, Ouatas T, Mazabraud A, Basco LK. Sequence variations in the Plasmodium vivax dihydrofolate reductase-thymidylate synthase gene and their relationship with pyrimethamine resistance. Mol Biochem Parasitol 1998;92:265-273.
  • 14. Hastings MD, Porter KM, Maquire JD, Susanti I, Kania W, Bangs MJ, Sibley CH, Baird JK. Dihydrofolate reductase mutations in Plasmodium vivax from Indonesia and therapeutic response to sulfadoxine plus pyrimethamine. J Infect Dis 2004;189:744-750.
  • 15. Kublin JG, Dzinjalamala FK, Kamwendo DD, Malkin EM, Cortese JF, Martino LM, Mukadam RA, Rogerson SJ, Lescano AG, Molyneux ME, Winstanley PA, Chimpeni P, Taylor TE, Plowe CV. Molecular markers for failure of sulfadoxine-pyrimethamine and chlorproguanil-dapsone treatment of Plasmodium falciparum malaria. J Infect Dis 2002;185:380-388.
  • 16. Zakeri S, Najafabadi ST, Zare A, Djadid ND. Detection of malaria parasites by nested PCR in south-eastern, Iran: evidence of highly mixed infections in Chahbahar district. Malar J 2002;1:2.
  • 17. Snounou G, White NJ. The co-existence of Plasmodium: sidelights from falciparum and vivax malaria in Thailand. Trends Parasitol 2004;20:333-339.
  • 18. Imwong M, Pukrittakayamee S, Looareesuwan S, Pasvol G, Poirreiz J, White NJ, Snounou G. Association of genetic mutations in Plasmodium vivax dhfr with resistance to sulfadoxine-pyrimethamine: geographical and clinical correlates. Antimicrob Agents Chemother 2001;45:3122-3127.
  • 19. Imwong M, Pukrittayakamee S, Renia L, Letourneur F, Charlieu JP, Leartsakulpanich U, Looareesuwan S, White NJ, Snounou G. Novel point mutations in the dihydrofolate reductase gene of Plasmodium vivax: evidence for sequential selection by drug pressure. Antimicrob Agents Chemother 2003;47:1514-1521.
  • 20. Tjitra E, Baker J, Suprianto S, Cheng Q, Anstey NM. Therapeutic efficacies of artesunate-sulfadoxine-pyrimethamine and chloroquine-sulfadoxine-pyrimethamine in vivax malaria pilot studies: relationship to Plasmodium vivax dhfr mutations. Antimicrob Agents Chemother 2002;46:3947-3953.
  • 21. Hastings MD, Maguire JD, Bangs MJ, Zimmerman PA, Reeder JC, Baird JK, Sibley CH. Novel Plasmodium vivax dhfr alleles from the Indonesian Archipelago and Papua New Guinea: association with pyrimethamine resistance determined by a Saccharomyces cerevisiae expression system. Antimicrob Agents Chemother 2005;49:733-740.
  • 22. Brega S, de Monbrison F, Severini C, Udomsangpetch R, Sutanto I, Ruckert P, Peyron F, Picot S. Real-time PCR for dihydrofolate reductase gene single-nucleotide polymorphisms in Plasmodium vivax isolates. Antimicrob Agents Chemother 2004;48:2581-2587.
  • 23. de Pecoulas PE, Tahar R, Yi P, Thai KH, Basco LK. Genetic variation of the dihydrofolate reductase gene in Plasmodium vivax in Snoul, northeastern Cambodia. Acta Trop 2004;92:1-6.
  • 24. Na BK, Lee HW, Moon SU, In TS, Lin K, Maung M, Chung GT, Lee JK, Kim TS, Kong Y. Genetic variations of the dihydrofolate reductase gene of Plasmodium vivax in Mandalay Division, Myanmar. Parasitol Res 2005;96:321-325.
  • 25. Schunk M, Kumma WP, Miranda IB, Osman ME, Roewer S, Alano A, Loscher T, Bienzle U, Mockenhaupt FP. High prevalence of drug-resistance mutations in Plasmodium falciparum and Plasmodium vivax in Southern Ethiopia. Malar J 2006;5:54-59.
  • 26. Valecha N, Joshi H, Eapen A, Ravinderan J, Kumar A, Prajapati SK, Ringwald P. Therapeutic efficacy of chloroquine in Plasmodium vivax from areas with different epidemiological patterns in India and their Pvdhfr gene mutation pattern. Trans R Soc Trop Med Hyg 2006;100:831-837.
  • 27. Leartsakulpanich U, Imwong M, Pukrittayakamee S, White NJ, Snounou G, Sirawaraporn W, Yuthavong Y. Molecular characterization of dihydrofolate reductase in relation to antifolate resistance in Plasmodium vivax. Mol Biochem Parasitol 2002;119:63-73.
  • 28. Tahar R, de Pecoulas PE, Basco LK, Chiadmi M, Mazabraud A. Kinetic properties of dihydrofolate reductase from wild-type and mutant Plasmodium vivax expressed in Escherichia coli. Mol Biochem Parasitol 2001;113:241-249.
  • 29. Diseases Management Center of MOH, I.R. Annual Reports of Malaria. 2006, Iran.
  • 30. Shahbazi A, Raeisi A, Nateghpour M, Mirhendi H, Mohebali M, Asmar M. Polymorphism of merozoite surface protein-3α gene of Plasmodium vivax in isolates of Iran. Iran J Parasitol 2008;3:15-20.
  • 31. Shahbazi A, Raeisi A, Nateghpour M, Mirhendi H, Mohebali M, Asmar M. Diversity of merozoite surface protein-3β gene of Plasmodium vivax isolates from Iran. Iran J Public Health 2007;36:1-5.
  • 32. Snounou G, Pinheiro L, Goncalves A, Fonseca L, Dias F, Brown KN, Rosario VE. The importance of sensitive detection of malaria parasites in the human and insect hosts in epidemiological studies, as shown by the analysis of field samples from Guinea Bissau. Trans R Soc Trop Med Hyg 1993;87:649-653.
  • 33. Hawkins VN, Joshi H, Rungsihirunrat K, Na-Bangchang K, Sibley CH. Antifolates can have a role in the treatment of Plasmodium vivax. Trends Parasitol 2007;23:213-222.
  • 34. Imwong M, Pukrittayakamee S, Cheng Q, Moore C, Looareesuwan S, Snounou G, White NJ, Day NP. Limited Polymorphism in the dihydropteroate synthetase gene (dhps) of Plasmodium vivax isolates from Thailand. Antimicrob Agents Chemother 2005;49:4393-4395.
Fig. 1
RFLP patterns of the dhfr gene for detection of mutation in codons 117, 57, 58, and 61 among the isolates from south-east of Iran. (A) Products obtained with primers VDT OF and VDF NR. In mutant products at codon 117, which were not digested with the PvuII enzyme, digestion with BsrI enzyme means S117N mutation, but S117T mutant products were not digested. Products at codon 57 were digested with XmnI enzyme. (B) Products obtained with primers VDF OF and VDF NR58. S58R mutant products were digested to 2 bands, including a 207 bp band, by AluI enzyme. C) Products obtained with primersVDFNF13 and VDF NR58. The products were digested at codon 61 with Tsp 451 enzyme.
kjp-49-125-g001.jpg
Table 1.
Distribution of mutations in the dhfr gene in Plasmodium vivax isolates from south-east Iran
Table 1.
Residue at codona
Isolates Origin 57 58 61 117
1 Sistan and Baluchestan F R T N
2 Sistan and Baluchestan F S T S
3 Sistan and Baluchestan F S T N
4 Sistan and Baluchestan F S T N
5 Sistan and Baluchestan F S T S
6 Sistan and Baluchestan F S T N
7 Sistan and Baluchestan F S T S
8 Sistan and Baluchestan F S T T
9 Sistan and Baluchestan F S T N
10 Sistan and Baluchestan F R T N
11 Sistan and Baluchestan F S T S
12 Sistan and Baluchestan F S T S
13 Sistan and Baluchestan F S T S
14 Hormozgan F S T S
15 Hormozgan F S T S
16 Hormozgan F S T S
17 Hormozgan F S T S
18 Hormozgan F S T S
19 Hormozgan F S T S
20 Hormozgan F S T N
21 Hormozgan F S T S
22 Hormozgan F S T S
23 Hormozgan F S T S
24 Hormozgan F S T S
25 Hormozgan F S T S
26 Hormozgan F S T S
27 Bushehr F S T S
28 Bushehr F S T S
29 Bushehr F S T S
30 Bushehr F S T N
31 Bushehr F S T N
32 Bushehr F S T S
33 Bushehr F S T S
34 Bushehr F S T S
35 Bushehr F R T N
36 Bushehr F S T S
37 Bushehr F S T N
38 Bushehr F S T N
39 Bushehr F S T S
40 Kerman F R T S
41 Kerman F S T S
42 Kerman F S T S
43 Kerman F S T N
44 Kerman F S T S
45 Kerman F S T N
46 Kerman F S T S
47 Kerman F R T N
48 Kerman F S T N
49 Kerman F R T N
50 Kerman F S T S

aResidues which differ from the wild-type are indicated in boldface.

Table 2.
Frequency of Pvdhfr alleles based on variations in codons 117, 57, 58, and 61 among the isolates from south-east Iran
Table 2.
F57L S58R T61M S117N/T (n = 50) (%)
F S T S 31 (62)
F S T N 12 (24)
F R T N 5 (10)
F S T T 1 (2)
F R T S 1 (2)

Download Citation

Download a citation file in RIS format that can be imported by all major citation management software, including EndNote, ProCite, RefWorks, and Reference Manager.

Format:

Include:

Plasmodium vivax dhfr Mutations among Isolates from Malarious Areas of Iran
Korean J Parasitol. 2011;49(2):125-131.   Published online June 14, 2011
Download Citation

Download a citation file in RIS format that can be imported by all major citation management software, including EndNote, ProCite, RefWorks, and Reference Manager.

Format:
Include:
Plasmodium vivax dhfr Mutations among Isolates from Malarious Areas of Iran
Korean J Parasitol. 2011;49(2):125-131.   Published online June 14, 2011
Close

Figure

  • 0
Plasmodium vivax dhfr Mutations among Isolates from Malarious Areas of Iran
Image
Fig. 1 RFLP patterns of the dhfr gene for detection of mutation in codons 117, 57, 58, and 61 among the isolates from south-east of Iran. (A) Products obtained with primers VDT OF and VDF NR. In mutant products at codon 117, which were not digested with the PvuII enzyme, digestion with BsrI enzyme means S117N mutation, but S117T mutant products were not digested. Products at codon 57 were digested with XmnI enzyme. (B) Products obtained with primers VDF OF and VDF NR58. S58R mutant products were digested to 2 bands, including a 207 bp band, by AluI enzyme. C) Products obtained with primersVDFNF13 and VDF NR58. The products were digested at codon 61 with Tsp 451 enzyme.
Plasmodium vivax dhfr Mutations among Isolates from Malarious Areas of Iran
Residue at codona
Isolates Origin 57 58 61 117 1 Sistan and Baluchestan F R T N 2 Sistan and Baluchestan F S T S 3 Sistan and Baluchestan F S T N 4 Sistan and Baluchestan F S T N 5 Sistan and Baluchestan F S T S 6 Sistan and Baluchestan F S T N 7 Sistan and Baluchestan F S T S 8 Sistan and Baluchestan F S T T 9 Sistan and Baluchestan F S T N 10 Sistan and Baluchestan F R T N 11 Sistan and Baluchestan F S T S 12 Sistan and Baluchestan F S T S 13 Sistan and Baluchestan F S T S 14 Hormozgan F S T S 15 Hormozgan F S T S 16 Hormozgan F S T S 17 Hormozgan F S T S 18 Hormozgan F S T S 19 Hormozgan F S T S 20 Hormozgan F S T N 21 Hormozgan F S T S 22 Hormozgan F S T S 23 Hormozgan F S T S 24 Hormozgan F S T S 25 Hormozgan F S T S 26 Hormozgan F S T S 27 Bushehr F S T S 28 Bushehr F S T S 29 Bushehr F S T S 30 Bushehr F S T N 31 Bushehr F S T N 32 Bushehr F S T S 33 Bushehr F S T S 34 Bushehr F S T S 35 Bushehr F R T N 36 Bushehr F S T S 37 Bushehr F S T N 38 Bushehr F S T N 39 Bushehr F S T S 40 Kerman F R T S 41 Kerman F S T S 42 Kerman F S T S 43 Kerman F S T N 44 Kerman F S T S 45 Kerman F S T N 46 Kerman F S T S 47 Kerman F R T N 48 Kerman F S T N 49 Kerman F R T N 50 Kerman F S T S F57L S58R T61M S117N/T (n = 50) (%) F S T S 31 (62) F S T N 12 (24) F R T N 5 (10) F S T T 1 (2) F R T S 1 (2)
Table 1. Distribution of mutations in the dhfr gene in Plasmodium vivax isolates from south-east Iran

Residues which differ from the wild-type are indicated in boldface.

Table 2. Frequency of Pvdhfr alleles based on variations in codons 117, 57, 58, and 61 among the isolates from south-east Iran