Skip to main navigation Skip to main content
  • KSPTM
  • E-Submission

PHD : Parasites, Hosts and Diseases

OPEN ACCESS
ABOUT
BROWSE ARTICLES
FOR CONTRIBUTORS

Articles

Original Article

Hematological and Serum Biochemical Analyses in Experimental Caprine Besnoitiosis

The Korean Journal of Parasitology 2011;49(2):133-138.
Published online: June 14, 2011

1Department of Clinical Studies, School of Veterinary Medicine, Shiraz University, P.O. Box 1731, 71345 Shiraz, Iran·Stem Cell and Transgenic Technology Research Center, Shiraz University of Medical Sciences, Shiraz, Iran.

2Department of Pathobiology, School of Veterinary Medicine, Shiraz University, P.O. Box 1731, 71345 Shiraz, Iran.

Corresponding author (nazifi@shirazu.ac.ir)
• Received: March 17, 2011   • Revised: April 20, 2011   • Accepted: April 22, 2011

© 2011, Korean Society for Parasitology

This is an Open Access article distributed under the terms of the Creative Commons Attribution Non-Commercial License (http://creativecommons.org/licenses/by-nc/3.0) which permits unrestricted non-commercial use, distribution, and reproduction in any medium, provided the original work is properly cited.

  • 8,558 Views
  • 73 Download
  • 2 Crossref
  • 3 Scopus
prev next
  • This study was undertaken to investigate the hematological and biochemical changes in experimentally infected goats with Besnoitia caprae from the time of infection till 360 days post-infection (PI). Six male goats were inoculated subcutaneously with 13×107 bradyzoites of B. caprae, and blood samples were collected from the jugular vein. The total erythrocyte and total leukocyte counts, hematocrit value, and differential leukocyte counts were determined. Serum biochemical analysis, including the total protein, albumin, total globulin, cholesterol, triglyceride, chloride, testosterone, calcium (Ca2+), inorganic phosphorus, sodium (Na+), potassium (K+), iron (Fe2+), glucose, serum amyloid A (SAA), haptoglobin (Hp), fibrinogen, ceruloplasmin, aspartate aminotransferase, alanine aminotransferase, creatine kinase, lactate dehydrogenase, and alkaline phosphatase, was undertaken. Skin biopsy from the limbs were collected at weekly intervals and histologically examined for Besnoitia cysts. Cysts were present in the skin biopsies of the leg of the infected goats from day 28 PI. There were variations in hematological analyses, but no significant difference was seen. From day 30 to 360 PI, results showed that SAA, Hp, fibrinogen, and ceruloplasmin concentrations increased, whereas testosterone concentrations decreased. Infected goats exhibited decrease of albumin and increase of serum total protein and globulin concentrations. By contrast, there were no significant differences in the remained analyses concentrations.
Besnoitiosis is a disease of both domestic and wild animals with a worldwide distribution [1-4]. Parasites of the genus Besnoitia are classified in the subfamily Toxoplasmatinae of the phylum Apicomplexa [5]. Species of the coccidian genus Besnoitia parasitize cattle, goats, equids, reindeer, caribou, opossums, rabbits, rodents, and lizards [3,6]. Clinical besnoitiosis in goats have been reported in wild and domestic goats in Iran [1,7] and Kenya [2,8]. Its extensive skin damage criteria, together with condemnation of infected carcass organs and its adverse effects on growth and weight gain in association with reduction in male fertility, make this disease of great economic concern to the mutton and leather industries and animal breeders [5,7-10]. Besnoitiosis causes severe metabolic disturbances in various organs of the intermediate hosts and may affect enzymatic activities of lactate dehydrogenase (LDH), alkaline phosphatase (ALP), alanine aminotransferase (ALT), creatine kinase (CK), aspartate aminotransferase (AST) as well as immunoglobulin concentrations and serum minerals Na+, K+, Ca++, and phosphorus concentration.
Although the changes in biochemical and hematological analyses in the naturally infected domestic goats by Besnoitia caprae were studied previously [11,12], no report is yet available on comparison of these changes at different time intervals after infection. Therefore, the present experimental study was conducted to provide information on the hematological and biochemical changes in experimentally infected goats with bradyzoites of B. caprae from early infection to 1 year post-infection (PI).
Isolation of bradyzoites
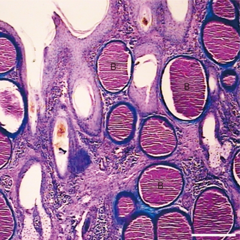
Goats with naturally occurring chronic besnoitiosis were identified by observing Besnoitia cysts in their conjunctiva and subsequent confirmation on histopathological sections of the skin covering the tarsal or carpal area (Fig. 1) [7]. Two naturally infected goats, exhibiting clinical features of caprine besnoitiosis were culled and then painlessly euthanized according to the Iranian Veterinary Organization rules. The skin and subcutaneous tissues from these animals were collected and stored at 4℃, and transported to the laboratory. To remove surface contaminations, tissue pieces were separately washed in a petri dish containing Dulbecco's modified eagle medium (DMEM) supplemented with 2% fetal calf serum (FCS), 1% antibiotic solution (10,000 IU penicillin and 10,000 mg streptomycin/ml solution) and 1% amphotericin B (250 mg/ml). Subsequently, the tissue sections were cut into 1-2 mm3 pieces with scalpel. The liberated bradyzoites was collected by spinning the DMEM at 770 g for 15 min at 4℃. The pellets were resuspended in DMEM and the B. caprae bradyzoites were counted using a Neubauer chamber. The bradyzoites were cryopreserved by resuspending in FCS containing 10% DMSO, and stored in liquid nitrogen.
Infection of goats
Six male goats approximately 12-16 months old, from a non-infected area, carefully examined to be free of Besnoitia cysts in the scleral conjunctiva and in the biopsy from the carpal skin, were used in this study. No Besnoitia cysts were reported from at least 120 km surrounding the area in which the male goats were collected. Each goat was inoculated subcutaneously (SC) with approximately 13×107 bradyzoites of B. caprae. The goats were located in separate boxes, each in a different room, and the animals were observed daily for development of clinical besnoitiosis. Skin biopsies from the distal parts of the limbs were collected at weekly intervals and histologically examined for Besnoitia cysts. Five healthy goats were bought from the herd and were used as controls.
Hematological and biochemical analyses
Blood samples were collected at weekly intervals from the jugular vein of the goats. For hematological analyses, blood samples were collected in vacutainers containing EDTA as an anticoagulant. For the serum biochemical analysis, blood samples were collected into vacutainers without anticoagulant, and serum was separated by centrifugation at 750 g for 15 min and stored in a freezer at -20℃ until use. Hematological analyses, including the total erythrocyte count, total leukocyte count, and hematocrit value, was determined using standard routine techniques. For differential leukocyte counts, blood smears were prepared and stained with Giemsa [13].
The total protein was measured by the Biuret method, albumin by the bromcresol green method, the total globulin by the difference of total protein and albumin, and cholesterol by a modified Abell-Kendall/Levey-Brodie (A-K) method. Triglyceride was measured by the enzymatic procedure of McGowan et al. [14], chloride by the mercury chloride colorimetric method, testosterone by a solid phase ELISA (DRG Instruments GmbH, Division of DRG International Inc, Marburg, Germany), and total calcium by the orthocresolphthalein method, inorganic phosphorus by the ammonium molybdate method. Sodium and potassium were measured by the flame photometric method (Flame Photometer - CL 26D - ELICO, UK), iron by atomic absorption spectrophotometer (Shimadzo AA-670, Kyoto, Japan), glucose by the glucose oxidase method, AST and ALT activities by the colorimetric method of Reitman and Frankel, CK by the Sigma colorimetric (modified Hughes) method, LDH by the Sigma colorimetric (Cabaud-Wroblewski) method, and ALP by the modified method of Bowers and McComb.
All the enzyme activities were measured at 37℃ and the results were presented in units per liter [15]. Biochemical analyses were measured using a standard autoanalyser with veterinary software (Cobas-Mira, ABX-Diagnostics, Tokyo, Japan). Hp was measured with a commercial colorimetric kit, and SAA by a solid phase sandwich ELISA (Tridelta Development Plc, Wicklow, Ireland). The analytical sensitivities of these tests in serum have been determined as 0.3 µg/ml for SAA and 0.0156 g/L for Hp by the manufacturer. Ceruloplasmin was measured using the Sunderman and Nomoto method [16] and fibrinogen by precipitation- refractory method as described by Thrall et al. [17].
Statistical analysis
The data were presented as mean±standard deviation (SD), and the level of significance was set at P<0.05. The data were analyzed statistically by repeated measure method using statistical analysis system (SAS) software.
Cysts were present in the skin biopsies of distal parts of the leg of infected goats from day 28 PI. The mean±SD of hematological and serum biochemical values from different samples of each goat at weakly intervals are presented in Tables 1 and 2, respectively. However, there were variations in hematological analyses; the differences were not statistically significant with those of the normal values. From day 30 to day 360 PI, statistically results showed that the acute phase proteins concentrations, including SAA, Hp, fibrinogen, and ceruloplasmin, increased, whereas testosterone concentrations decreased. Serum total protein concentrations increased. Infected goats exhibited decrease of albumin and increase of globulin concentrations. These parameters were statistically significant (P<0.05) in infected animals. By contrast, there were no significant differences in AST, ALT, ALP, CK, LDH, Na+, K+, Ca2+, Fe2+, Cl, P, cholesterol, triglyceride, and glucose concentrations in the sera of infected goats.
Despite the presence of variations in hematological values, there was no significant difference between hematological analyses in experimentally infected and control goats. Nazifi et al. [11] studied the changes of hematological analyses of the naturally infected domestic goats with B. caprae. They observed macrocytic-normochromic anemia, leukocytosis, neutrophilia, lymphopenia, basophilia, eosinophilia, and monocytosis in naturally infected goats. Naturally infected animals probably had mixed infections with other protozoa that might have affected the hematological analyses.
Lack of alterations in enzymes ALP, ALT, LDH and CK activities is due to their short half life (<10 hr). They quickly decrease and reach a steady state within 1 to 2 days in case of acute infections. Their variations could not be detected during chronic diseases. Therefore, as CK and LDH are mainly of muscular origin [18], only cysts located in muscles would induce release of these 2 enzymes into the blood flow, whereas Besnoitia cysts were rarely found in subcutaneous skeletal muscles, and presence of Besnoitia cysts in deeper striated muscles has not been reported.
Analyses on total protein concentrations and protein fractions are important in various disease states [19]. In the present study, infected goats exhibited decrease of albumin and showed marked increases of serum globulin and total protein concentrations from 30 days after inoculation to day 360 PI. Globulin as a chronic phase protein increases in chronic diseases [17,18,20]. Albumin is considered as a negative acute-phase protein (APP), and its concentration tends to decrease mostly during chronic inflammation. Consequently, increase of serum total protein concentrations results from significant elevations of the globulin concentration and from a relative decrease of albumin [17,18,21].
The serum Hp, SAA, fibrinogen, and ceruloplasmin concentrations of the infected animals were significantly higher than those of the normal animals, and the level increased according to increase of PI days. The APPs are a group of blood proteins, and their concentrations in the blood of animals change subjected to external or internal challenges, such as infection, inflammation, surgical trauma, or stress [22-24]. They are mainly synthesized in the liver, mediated by proinflammatory cytokines, and their concentration can increase (positive APPs) or decrease (negative APPs) as a consequence of inflammatory stimuli. It has been suggested that APPs may be useful in the assessment of animal welfare [23,25,26]. On the other hand, it is suggested that various infections and inflammatory processes may be associated with different APP pattern details, which may lead to APP analyses being used for diagnostic purposes [24]. APPs and their changes due to various inflammatory and non-inflammatory conditions have been studied intensively in many animal species [19,23-26]. The specific type of APPs and the time course for alterations in these proteins vary in different species on the basis of the initiating disorder or underlying inflammatory processes [27]. SAA and Hp have been proposed to be markers of stress in cattle and other species [28-32].
Hp is a major APP in numerous species of livestock and domesticated animals. Elevated Hp concentrations occur not only with inflammation, but also with some conditions not generally associated with inflammation or tissue damage [23]. Statistically significant increase in Hp has been observed between clinically healthy and diseased cows in similar researches with same inflammatory diseases [33-35].
SAA proteins comprise a superfamily of apolipoproteins and are considered one of the major acute phase reactants in vertebrates. SAA proteins are highly conserved across evolutionarily distinct vertebrate species with respect to both their sequence and inductive capacity. It is, therefore, generally assumed that they have a crucial, yet ill-defined, protective role during inflammation [36]. Elevated SAA levels are found following inflammation and also under conditions unrelated to inflammation, such as physical stress or at parturition [23]. Glass et al. [37] reported that following experimental infection with Theileria annulata in cattle, SAA appeared first, followed by a rise in alpha-1-acid glycoprotein in all animals, whereas Hp only appeared in a low level in some of the animals.
Plasma fibrinogen in all species is synthesized in the liver, and hyperfibrinogenemia, which is characteristic of a broad range of bacterial infections and other inflammatory conditions, has been reported in a wide range of vertebrates [38].
Localization of the Besnoitia cysts in the parenchyma of the testis and epididymis and its adverse effect on spermatogenesis and goat production in male animals is previously reported [10,39,40]. The presence of Besnoitia cysts in the parenchyma between the seminiferous tubules of the testis and ducts of the epididymis of these infected animals caused severe tubular degeneration. The seminiferous tubules of the testis showed no spermatogenic activity. It can be considered as the cause of decreased testosterone concentrations observed in the present study which the severity of it increased from day 30 to day 360 PI.
The authors would like to thank members of the Research Committee for providing financial support. We also would like to thank Dr. M. Ansari-Lari for her assistance in statistical evaluations. We also thank Mr. M. Rahsepar for his technical assistance in hematological evaluations.
  • 1. Cheema AH, Toofanian F. Besnoitiosis in wild and domestic goats in Iran. Cornell Vet 1979;69:159-168.
  • 2. Bwangamoi O, Carles AB, Wandera JG. An epidemic of besnoitiosis in goats in Kenya. Vet Rec 1989;125:461.
  • 3. Dubey JP, Sreekumar C, Lindsay DS, Hill D, Rosenthal BM, Venturini L, Venturini MC, Greiner EC. Besnoitia oryctofelisi n. sp. (Protozoa: Apicomplexa) from domestic rabbits. Parasitology 2003;126:521-539.
  • 4. Eleni C, Crotti S, Manuali E, Costarelli S, Filippini G, Moscati L, Magnino S. Detection of Neospora caninum in an aborted goat fetus. Vet Parasitol 2004;123:271-274.
  • 5. Ellis JT, Holmdahl OJM, Ryce C, Njenga JM, Harper PAW, Morrison DA. Molecular phylogeny of Besnoitia and the genetic relationships among Besnoitia of cattle, wildebeest and goats. Protist 2000;151:329-336.
  • 6. Leighton FA, Gajadhar AA. In Samuel B, Pybus M, Kocan AM, editors. Besnoitia spp. and besnoitiosis. Parasitic Diseases of Wild Animals. 2001. Iowa, USA. Iowa State University Press; p. 468-478.
  • 7. Oryan A, Sadeghi MJ. An epizootic of besnoitiosis in goats in Fars province of Iran. Vet Res Commun 1997;21:559-570.
  • 8. Bwangamoi O, Njenga JM. A review of besnoitiosis with special reference to goats. Zimbabwe Vet J 1993;24:23-27.
  • 9. Oryan A, Azizi S. Ultrastructure and pathology of Besnoitia caprae in the naturally infected goats of Kerman, East of Iran. Parasitol Res 2008;102:1171-1176.
  • 10. Oryan A, Kafi M, Morgan-Azghadi N. Besnoitiosis of the reproductive tract of male goats. Comp Clin Path 2008;17:185-191.
  • 11. Nazifi S, Oryan A, Mohebbi H. Evaluation of hematological parameters in caprine besnoitiosis. J Appl Anim Res 2002;21:123-128.
  • 12. Oryan A, Nazifi S, Mohebbi H. Pathology and serum biochemical changes in natural caprine besnoitiosis. Rev Med Vet (Toulouse) 2008;159:27-32.
  • 13. Jain NC. Schalm's Veterinary Hematology. 1986. 4th ed. Philadelphia, USA. Lea & Febiger; p. 20-80.
  • 14. McGowan MW, Artiss JD, Strandbergh DR, Zak B. A peroxidase-coupled method for the colorimetric determination of serum triglycerides. Clin Chem 1983;29:538-542.
  • 15. Burtis CA, Ashwood ER. Textbook of Clinical Chemistry. 1994. 2nd ed. Philadelphia, USA. Saunders; p. 735-888.
  • 16. Sunderman FW Jr, Nomoto S. Measurement of human serum ceruloplasmin by its p-phenylenediamine oxidase activity. Clin Chem 1970;16:903-910.
  • 17. Thrall M, Baker AD, Lassen E, Campbell DT, Denicola D, Fettman M, Alan R, Weiser G. Veterinary Hematology and Clinical Chemistry. 2004. Philadelphia, USA. Lippincott Williams and Wilkins; p. 355-377.
  • 18. Latimer KS, Mahaffey EA, Prasse KW. Veterinary Laboratory Medicine. Clinical Pathology. 2003. 4th ed. Iowa, USA. Iowa State Press; p. 162-215.
  • 19. Kaneko JJ. In Kaneko JJ, Harvey JW, Bruss ML, editors. Serum proteins and dysproteinaemias. Clinical Biochemistry of Domestic Animals. 1997. 5th ed. San Diego, USA. Academic Press; p. 117-138.
  • 20. Jain NC. Essentials of Veterinary Hematology. 1993. 1st ed. Philadelphia, USA. Lea & Febiger; p. 295-306.
  • 21. Stockham SL, Scott MA. Fundamentals of Veterinary Clinical Pathology. 2008. 2nd ed. Iowa, USA. p. 251-277. p. 433-461.
  • 22. Eckersall PD. The time is right for acute phase protein assays. Vet J 2004;168:3-5.
  • 23. Murata H, Shimada N, Yoshioka M. Current research on acute phase proteins in veterinary diagnosis: an overview. Vet J 2004;168:28-40.
  • 24. Gruys E, Toussaint MJM, Niewold TA, Koopmans SJ. Acute phase reaction and acute phase proteins. J Zhejiang Univ Sci 2005;6:1045-1056.
  • 25. Eckersall PD. Recent advances and future prospects for the use of acute phase proteins as markers of disease in animals. Rev Med Vet (Toulouse) 2000;151:577-584.
  • 26. Murata H. Stress and acute phase protein response: an inconspicuous but essential linkage. Vet J 2007;173:473-474.
  • 27. Feldman BF, Zinkl JG, Jain NC. Schalm's Veterinary Hematology. 2000. Philadelphia, USA. Lippincott Williams & Wilkins; p. 891-896.
  • 28. Alsemgeest SPM, Lambooy IE, Wierenga HK, Dieleman SJ, Meerkerk B, van Ederen AM, Niewold TA. Influence of physical stress on the plasma concentrations of serum amyloid A (SAA) and haptoglobin (Hp) in calves. Vet Q 1995;17:9-12.
  • 29. Hicks TA, McGlone JJ, Whisnant CS, Kattesh HG, Norman RL. Behavioral, endocrine, immune, and performance measures for pigs exposed to acute stress. J Anim Sci 1998;76:474-483.
  • 30. Arthington JD, Eicher SD, Kunkle WE, Martin FG. Effect of transportation and commingling on the acute-phase protein response, growth, and feed intake of newly weaned beef calves. J Anim Sci 2003;81:1120-1125.
  • 31. Hickey MC, Drennan M, Earley B. The effect of abrupt weaning of suckler calves on the plasma concentrations of cortisol, catecholamines, leukocytes, acute phase proteins and in vitro interferon gamma production. J Anim Sci 2003;81:2847-2855.
  • 32. Pineiro M, Pineiro C, Carpintero R, Morales J, Campbell FM, Eckersall PD, Toussaint MJ, Lampreave F. Characterisation of the pig acute phase protein response to road transport. Vet J 2007;173:669-674.
  • 33. Alsemgeest SPM, Kalsbeek HC, Wensing T, Koeman JP, van Ederen AM, Gruys E. Concentrations of serum amyloid A (SAA) and haptoglobin (Hp) as parameters of inflammatory diseases in cattle. Vet Q 1994;16:21-23.
  • 34. Katoh N, Nakagawa H. Detection of haptoglobin in the high-density lipoprotein and the very high-density lipoprotein fractions from sera of calves with experimental pneumonia and cows with naturally occurring fatty liver. J Vet Med Sci 1999;61:119-124.
  • 35. Ganheim C, Hulten C, Carlsson U, Kindahl H, Niskanen R, Waller KP. The acute phase response in calves experimentally infected with bovine viral diarrhea virus and/or Mannheimia haemolytica. J Vet Med B Infect Dis Vet Public Health 2003;50:183-190.
  • 36. Uhlar CM, Whitehead AS. Serum amyloid A, the major vertebrate acute-phase reactant. Eur J Biochem 1999;265:501-523.
  • 37. Glass EJ, Graigmile SC, Springbett A, Preston PM, Kirvar E, Wilkie GM, Eckersall PD, Hall FR, Brown CG. The protozoan parasite Theileria annulata induces a distinct acute phase protein response in cattle that is associated with pathology. Int J Parasitol 2003;33:1409-1418.
  • 38. Gentry PA. Comparative aspects of blood coagulation. Vet J 2004;168:238-251.
  • 39. Kafi M, Oryan A, Morgan-Azghadi N. Pathology of testis and epididymis in native goats in southern Iran. Comp Clin Path 2007;16:201-205.
  • 40. Njenga MJ, Munyua SJ, Mutiga ER, Gathuma JM, Kang'ethe EK, Bwangamoi O, Mugera GM, Mitaru BN. Semen characteristics of goats with subacute, acute and chromic besnoitiosis. J S Afr Vet Assoc 1999;70:18-20.
Fig. 1
Besnoitia caprae tissue cysts (B) in the skin of distal parts of the leg in an infected goat. Alcian blue/PAS. ×180.
kjp-49-133-g001.jpg
Table 1.
Hematological values (mean±SD) in goats
Table 1.
Parameter Days post-infection
Control 30 60 120 180 270 360
RBC (× 1012/l) 11.17 ± 1.35 10.70 ± 1.32 6.12 ± 0.37 8.93 ± 1.96 9.09 ± 1.68 7.52 ± 1.13 8.27 ± 1.49
PCV (l/l) 0.28 ± 0.02 0.28 ± 0.01 0.19 ± 0.01 0.22 ± 0.02 0.23 ± 0.01 0.24 ± 0.01 0.24 ± 0.02
WBC (× 109/l) 9.72 ± 2.94 7.71 ± 1.72 12.74 ± 1.88 8.69 ± 0.85 9.04 ± 3.76 9.37 ± 4.98 11.80 ± 4.98
Segmented (× 109/l) 3.24 ± 1.29 4.77 ± 1.64 7.47 ± 0.84 4.79 ± 0.61 4.89 ± 0.43 5.57 ± 2.62 7.50 ± 1.25
Lymphocyte (× 109/l) 5.31 ± 1.16 2.61 ± 0.99 4.69 ± 0.73 3.32 ± 0.25 3.88 ± 0.92 3.38 ± 1.53 4.04 ± 0.80
Monocyte (× 109/l) 0.63 ± 0.48 0.19 ± 0.08 0.24 ± 0.01 0.11 ± 0.03 0.11 ± 0.04 0.11 ± 0.05 0.12 ± 0.06
Eosinophil (× 109/l) 0.43 ± 0.28 0.00 ± 0.00 0.29 ± 0.08 0.39 ± 0.15 0.05 ± 0.10 0.22 ± 0.13 0.15 ± 0.17
Band (× 109/l) 0.11 ± 0.06 0.14 ± 0.13 0.05 ± 0.02 0.08 ± 0.02 0.11 ± 0.14 0.09 ± 0.05 0.11 ± 0.10
Table 2.
Serum biochemical values (mean±SD) in goats
Table 2.
Parameter Days post-infection
Control 30 60 120 180 270 360
Serum amyloid Aa (mg/ml) 5.64 ± 1.67 5.93 ± 1.48 7.51 ± 2.93 8.54 ± 3.81 9.51 ± 4.48 11.26 ± 7.51 12.03 ± 8.22
Haptoglobina (g/l) 0.10 ± 0.05 0.09 ± 0.01 0.09 ± 0.02 0.10 ± 0.02 0.11 ± 0.04 0.14 ± 0.09 0.13 ± 0.08
Fibrinogena (g/l) 1.99 ± 0.07 2.01 ± 0.05 2.21 ± 0.24 2.22 ± 0.26 2.35 ± 0.29 2.47 ± 0.68 2.62 ± 0.82
Ceruloplasmina (g/l) 0.06 ± 0.01 0.05 ± 0.01 0.06 ± 0.01 0.06 ± 0.01 0.07 ± 0.01 0.08 ± 0.02 0.08 ± 0.02
Total proteina (g/l) 63.4 ± 3.3 60.5 ± 2.5 63.9 ± 1.7 64.0 ± 1.3 64.2 ± 3.4 66.7 ± 7.4 66.7 ± 7.2
Albumina (g/l) 38.6 ± 2.4 36.5 ± 1.2 35.3 ± 1.2 34.2 ± 2.2 34.0 ± 3.1 34.4 ± 4.7 33.5 ± 4.8
Globulina (g/l) 24.8 ± 3.1 24.0 ± 3.3 28.6 ± 3.0 28.6 ± 5.2 28.7 ± 5.4 32.3 ± 12.1 33.1 ± 12.1
Albumin/Globulin (A/G) 1.55 ± 0.18 1.54 ± 0.27 1.22 ± 0.15 1.16 ± 0.25 1.12 ± 0.27 0.97 ± 0.42 0.89 ± 0.40
Testosteronea (ng/ml) 3.11 ± 0.31 3.04 ± 0.34 2.92 ± 0.23 2.35 ± 0.73 2.27 ± 0.98 2.12 ± 0.85 2.16 ± 0.81
AST (U/l) 143.64 ± 21.25 131.7 ± 50.7 141.4 ± 29.3 141.0 ± 23.7 140.8 ± 20.1 142.1 ± 19.4 136.9 ± 13.4
ALT (U/l) 78.27 ± 4.19 76.7 ± 8.5 77.0 ± 3.11 73.8 ± 3.35 73.7 ± 3.90 71.02 ± 1.60 73.5 ± 3.10
ALP (U/l) 188.67 ± 39.17 190.7 ± 78.2 181.3 ± 29.8 176.0 ± 21.8 175.0 ± 22.8 146.0 ± 26.2 183.5 ± 34.7
CK (U/l) 129.43 ± 25.26 94.7 ± 76.6 127.1 ± 39.7 122.8 ± 28.4 123.1 ± 27.7 110.4 ± 15.6 166.9 ± 30.2
LDH (U/l) 381.59 ± 59.34 377.7 ± 96.8 367.0 ± 87.9 376.1 ± 51.1 384.0 ± 41.2 375.8 ± 32.9 370.9 ± 23.2
Glucose (mmol/l) 3.41 ± 0.13 3.24 ± 0.96 3.40 ± 0.23 3.45 ± 0.11 3.50 ± 0.04 3.11 ± 0.06 3.42 ± 0.22
Triglyceride (mmol/l) 0.33 ± 0.03 0.26 ± 0.04 0.32 ± 0.01 0.32 ± 0.01 0.32 ± 0.02 0.32 ± 0.03 0.33 ± 0.02
Cholesterol (mmol/l) 2.06 ± 0.22 2.02 ± 0.55 1.95 ± 0.01 1.95 ± 0.02 2.05 ± 0.14 1.98 ± 0.26 2.09 ± 0.13
Na+ (mmol/l) 147.0 ± 3.8 146.2 ± 3.4 142.7 ± 3.8 144.0 ± 2.6 145.2 ± 2.2 145.4 ± 1.2 145.2 ± 1.4
K+ (mmol/l) 4.89 ± 0.21 5.02 ± 0.66 4.99 ± 0.09 4.96 ± 0.14 4.96 ± 0.21 4.95 ± 0.20 5.08 ± 0.10
Ca2+ (mmol/l) 2.91 ± 0.09 2.75 ± 0.33 2.90 ± 0.03 2.81 ± 0.04 2.83 ± 0.05 2.81 ± 0.06 2.78 ± 0.10
P (mmol/l) 1.94 ± 0.08 1.82 ± 0.25 1.85 ± 0.05 1.88 ± 0.07 1.92 ± 0.03 1.92 ± 0.05 1.95 ± 0.03
Cl (mmol/l) 104.0 ± 4.60 100 ± 6.4 101.1 ± 4.8 101.3 ± 2.9 102 ± 3.4 103.6 ± 3.4 113.5 ± 22.8
Fe (µmol/l) 32.87 ± 3.11 29.66 ± 3.09 32.93 ± 3.18 32.62 ± 2.24 32.97 ± 2.14 32.38 ± 0.85 32.13 ± 2.09

AST, aspartate aminotransferase; CK, creatine kinase; ALP, alkaline phosphatase; ALT, alanine aminotransferase; LDH, lactate dehydrogenase.

aStatistically significant difference (P<0.05).

Download Citation

Download a citation file in RIS format that can be imported by all major citation management software, including EndNote, ProCite, RefWorks, and Reference Manager.

Format:

Include:

Hematological and Serum Biochemical Analyses in Experimental Caprine Besnoitiosis
Korean J Parasitol. 2011;49(2):133-138.   Published online June 14, 2011
Download Citation

Download a citation file in RIS format that can be imported by all major citation management software, including EndNote, ProCite, RefWorks, and Reference Manager.

Format:
Include:
Hematological and Serum Biochemical Analyses in Experimental Caprine Besnoitiosis
Korean J Parasitol. 2011;49(2):133-138.   Published online June 14, 2011
Close

Figure

  • 0
Hematological and Serum Biochemical Analyses in Experimental Caprine Besnoitiosis
Image
Fig. 1 Besnoitia caprae tissue cysts (B) in the skin of distal parts of the leg in an infected goat. Alcian blue/PAS. ×180.
Hematological and Serum Biochemical Analyses in Experimental Caprine Besnoitiosis
Parameter Days post-infection
Control 30 60 120 180 270 360 RBC (× 1012/l) 11.17 ± 1.35 10.70 ± 1.32 6.12 ± 0.37 8.93 ± 1.96 9.09 ± 1.68 7.52 ± 1.13 8.27 ± 1.49 PCV (l/l) 0.28 ± 0.02 0.28 ± 0.01 0.19 ± 0.01 0.22 ± 0.02 0.23 ± 0.01 0.24 ± 0.01 0.24 ± 0.02 WBC (× 109/l) 9.72 ± 2.94 7.71 ± 1.72 12.74 ± 1.88 8.69 ± 0.85 9.04 ± 3.76 9.37 ± 4.98 11.80 ± 4.98 Segmented (× 109/l) 3.24 ± 1.29 4.77 ± 1.64 7.47 ± 0.84 4.79 ± 0.61 4.89 ± 0.43 5.57 ± 2.62 7.50 ± 1.25 Lymphocyte (× 109/l) 5.31 ± 1.16 2.61 ± 0.99 4.69 ± 0.73 3.32 ± 0.25 3.88 ± 0.92 3.38 ± 1.53 4.04 ± 0.80 Monocyte (× 109/l) 0.63 ± 0.48 0.19 ± 0.08 0.24 ± 0.01 0.11 ± 0.03 0.11 ± 0.04 0.11 ± 0.05 0.12 ± 0.06 Eosinophil (× 109/l) 0.43 ± 0.28 0.00 ± 0.00 0.29 ± 0.08 0.39 ± 0.15 0.05 ± 0.10 0.22 ± 0.13 0.15 ± 0.17 Band (× 109/l) 0.11 ± 0.06 0.14 ± 0.13 0.05 ± 0.02 0.08 ± 0.02 0.11 ± 0.14 0.09 ± 0.05 0.11 ± 0.10 Parameter Days post-infection
Control 30 60 120 180 270 360 Serum amyloid Aa (mg/ml) 5.64 ± 1.67 5.93 ± 1.48 7.51 ± 2.93 8.54 ± 3.81 9.51 ± 4.48 11.26 ± 7.51 12.03 ± 8.22 Haptoglobina (g/l) 0.10 ± 0.05 0.09 ± 0.01 0.09 ± 0.02 0.10 ± 0.02 0.11 ± 0.04 0.14 ± 0.09 0.13 ± 0.08 Fibrinogena (g/l) 1.99 ± 0.07 2.01 ± 0.05 2.21 ± 0.24 2.22 ± 0.26 2.35 ± 0.29 2.47 ± 0.68 2.62 ± 0.82 Ceruloplasmina (g/l) 0.06 ± 0.01 0.05 ± 0.01 0.06 ± 0.01 0.06 ± 0.01 0.07 ± 0.01 0.08 ± 0.02 0.08 ± 0.02 Total proteina (g/l) 63.4 ± 3.3 60.5 ± 2.5 63.9 ± 1.7 64.0 ± 1.3 64.2 ± 3.4 66.7 ± 7.4 66.7 ± 7.2 Albumina (g/l) 38.6 ± 2.4 36.5 ± 1.2 35.3 ± 1.2 34.2 ± 2.2 34.0 ± 3.1 34.4 ± 4.7 33.5 ± 4.8 Globulina (g/l) 24.8 ± 3.1 24.0 ± 3.3 28.6 ± 3.0 28.6 ± 5.2 28.7 ± 5.4 32.3 ± 12.1 33.1 ± 12.1 Albumin/Globulin (A/G) 1.55 ± 0.18 1.54 ± 0.27 1.22 ± 0.15 1.16 ± 0.25 1.12 ± 0.27 0.97 ± 0.42 0.89 ± 0.40 Testosteronea (ng/ml) 3.11 ± 0.31 3.04 ± 0.34 2.92 ± 0.23 2.35 ± 0.73 2.27 ± 0.98 2.12 ± 0.85 2.16 ± 0.81 AST (U/l) 143.64 ± 21.25 131.7 ± 50.7 141.4 ± 29.3 141.0 ± 23.7 140.8 ± 20.1 142.1 ± 19.4 136.9 ± 13.4 ALT (U/l) 78.27 ± 4.19 76.7 ± 8.5 77.0 ± 3.11 73.8 ± 3.35 73.7 ± 3.90 71.02 ± 1.60 73.5 ± 3.10 ALP (U/l) 188.67 ± 39.17 190.7 ± 78.2 181.3 ± 29.8 176.0 ± 21.8 175.0 ± 22.8 146.0 ± 26.2 183.5 ± 34.7 CK (U/l) 129.43 ± 25.26 94.7 ± 76.6 127.1 ± 39.7 122.8 ± 28.4 123.1 ± 27.7 110.4 ± 15.6 166.9 ± 30.2 LDH (U/l) 381.59 ± 59.34 377.7 ± 96.8 367.0 ± 87.9 376.1 ± 51.1 384.0 ± 41.2 375.8 ± 32.9 370.9 ± 23.2 Glucose (mmol/l) 3.41 ± 0.13 3.24 ± 0.96 3.40 ± 0.23 3.45 ± 0.11 3.50 ± 0.04 3.11 ± 0.06 3.42 ± 0.22 Triglyceride (mmol/l) 0.33 ± 0.03 0.26 ± 0.04 0.32 ± 0.01 0.32 ± 0.01 0.32 ± 0.02 0.32 ± 0.03 0.33 ± 0.02 Cholesterol (mmol/l) 2.06 ± 0.22 2.02 ± 0.55 1.95 ± 0.01 1.95 ± 0.02 2.05 ± 0.14 1.98 ± 0.26 2.09 ± 0.13 Na+ (mmol/l) 147.0 ± 3.8 146.2 ± 3.4 142.7 ± 3.8 144.0 ± 2.6 145.2 ± 2.2 145.4 ± 1.2 145.2 ± 1.4 K+ (mmol/l) 4.89 ± 0.21 5.02 ± 0.66 4.99 ± 0.09 4.96 ± 0.14 4.96 ± 0.21 4.95 ± 0.20 5.08 ± 0.10 Ca2+ (mmol/l) 2.91 ± 0.09 2.75 ± 0.33 2.90 ± 0.03 2.81 ± 0.04 2.83 ± 0.05 2.81 ± 0.06 2.78 ± 0.10 P (mmol/l) 1.94 ± 0.08 1.82 ± 0.25 1.85 ± 0.05 1.88 ± 0.07 1.92 ± 0.03 1.92 ± 0.05 1.95 ± 0.03 Cl (mmol/l) 104.0 ± 4.60 100 ± 6.4 101.1 ± 4.8 101.3 ± 2.9 102 ± 3.4 103.6 ± 3.4 113.5 ± 22.8 Fe (µmol/l) 32.87 ± 3.11 29.66 ± 3.09 32.93 ± 3.18 32.62 ± 2.24 32.97 ± 2.14 32.38 ± 0.85 32.13 ± 2.09
Table 1. Hematological values (mean±SD) in goats
Table 2. Serum biochemical values (mean±SD) in goats

AST, aspartate aminotransferase; CK, creatine kinase; ALP, alkaline phosphatase; ALT, alanine aminotransferase; LDH, lactate dehydrogenase.

Statistically significant difference (P<0.05).