Skip to main navigation Skip to main content
  • KSPTM
  • E-Submission

PHD : Parasites, Hosts and Diseases

OPEN ACCESS
ABOUT
BROWSE ARTICLES
FOR CONTRIBUTORS

Page Path

13
results for

"hepatic"

Article category

Keywords

Publication year

Authors

Funded articles

"hepatic"

Case Reports

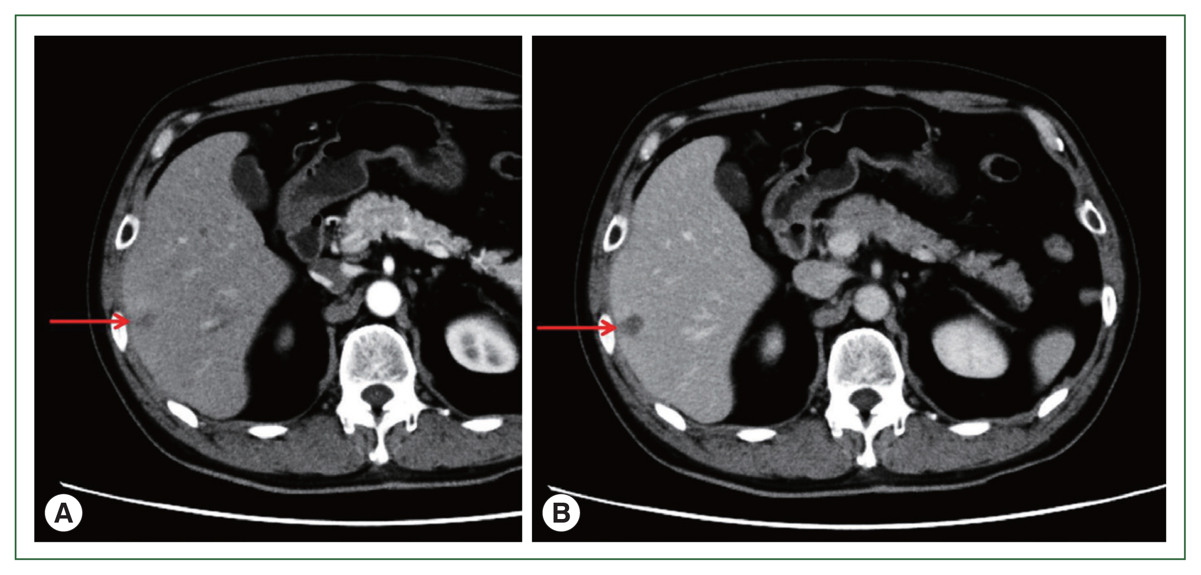
A case of hepatic anisakidosis caused by Anisakis pegreffii mimicking liver cancer
Minoru Yamada, Fumi Murakoshi, Hisashi Ikoma, Osamu Inamori, Akio Yanagisawa, Eiichi Konishi
Parasites Hosts Dis 2023;61(3):292-297.
Published online August 21, 2023
DOI: https://doi.org/10.3347/PHD.23055
Extra-gastrointestinal anisakidosis is rare. We herein report an Anisakis pegreffii infection in a patient with hepatic anisakidosis diagnosed based on its molecular identification. A 71-year-old male patient had a hepatic tumor presenting as a low-density area of 20 mm in diameter in segment 6 of the liver on abdominal ultrasonography, computed tomography, and magnetic resonance imaging. The surgically resected pathological specimen revealed a necrotizing eosinophilic granuloma containing nematode larvae, possibly an Anisakis larva. Molecular and phylogenetic analysis demonstrated Anisakis larvae belonging to A. pegreffii. The present results will help identify and characterize unknown Anisakis species in histological sections.

Citations

Citations to this article as recorded by  Crossref logo
  • Histopathological evidence of direct hepatic invasion by Anisakis from the liver surface: A case report
    Hiroki Takahashi, Reina Miyazawa, Mai Iwaya, Megumi Nobuoka, Tsuyoshi Terashima, Tsuyoshi Notake, Akira Shimizu, Yuji Soejima, Takeshi Uehara
    Parasitology International.2026; 113: 103244.     CrossRef
  • Anisakidae and Anisakidosis: A Public Health Perspective
    Diana Nonković, Vanja Tešić, Vida Šimat, Svjetlana Karabuva, Alan Medić, Jerko Hrabar
    Pathogens.2025; 14(3): 217.     CrossRef
  • Screening of Anisakis-Related Allergies and Associated Factors in a Mediterranean Community Characterized by High Seafood Consumption
    Santo Fruscione, Maria Barrale, Maurizio Zarcone, Davide Alba, Barbara Ravazzolo, Miriam Belluzzo, Rosa Onida, Gaetano Cammilleri, Antonella Costa, Vincenzo Ferrantelli, Alessandra Savatteri, Daniele Domenico De Bella, Salvatore Pipitone, Alida D’Atria, A
    Foods.2024; 13(17): 2821.     CrossRef
  • 5,181 View
  • 109 Download
  • 3 Web of Science
  • Crossref
A Case of Alveolar Echinococcosis Occurring in the Hilar Bile Duct
Jinyu Yang, Zhanxue Zhao, Shuai Li, Hekai Chen
Korean J Parasitol 2019;57(5):517-520.
Published online October 31, 2019
DOI: https://doi.org/10.3347/kjp.2019.57.5.517
Echinococcosis is a disease caused by the Echinococcus species that parasitizes in humans. Alveolar echinococcosis (AE) which is caused by Echinococcus multilocularis is harmful to humans. AE mainly occurs in the liver and can be transferred to retroperitoneal lymph nodes, lung, brain, bone, spleen and other organs through lymphatic and blood vessels. Cholangiocarcinoma can occur in the intrahepatic and extrahepatic bile ducts and is more common in the hilar. We reported a case of hilar bile duct alveolar echinococcosis which was originally misdiagnosed an cholangiocarcinoma.

Citations

Citations to this article as recorded by  Crossref logo
  • An innovative mathematical approach to the evaluation of susceptibility in liver disorder based on fuzzy parameterized complex fuzzy hypersoft set
    Atiqe Ur Rahman, Muhammad Saeed, Mazin Abed Mohammed, Karrar Hameed Abdulkareem, Jan Nedoma, Radek Martinek
    Biomedical Signal Processing and Control.2023; 86: 105204.     CrossRef
  • In vivo and in vitro efficacy of crocin against Echinococcus multilocularis
    Chuanchuan Liu, Haining Fan, Lu Guan, Ri-li Ge, Lan Ma
    Parasites & Vectors.2021;[Epub]     CrossRef
  • 7,605 View
  • 93 Download
  • 3 Web of Science
  • Crossref

Original Article

Platynosomum fastosum (Trematoda: Dicrocoeliidae) from Cats in Vietnam: Morphological Redescription and Molecular Phylogenetics
Hung Manh Nguyen, Hien Van Hoang, Loan Thi Ho
Korean J Parasitol 2017;55(1):39-45.
Published online February 28, 2017
DOI: https://doi.org/10.3347/kjp.2017.55.1.39
The present study was performed to reveal the morphological characteristics and molecular phylogenetic position of Platynosomum fastosum Kossack, 1910. A total 167 specimens of P. fastosum were collected in 8 (4.9%) out of 163 sets of gall-bladders and bile ducts of cats. The number of worms was 1-105 per infected cat. This species was characterized by having a long and slender body, slightly larger ventral sucker than the oral sucker, indistinct prepharynx, small pharynx, short esophagus, bifurcation midway between 2 suckers, and ceca extending to the posterior end of the body. The length of the partial sequences of ITS1 and 5.8S rDNA of P. fastosum were 990 bp, GC-rich. AT/GC ratio was 0.9, there were 9 polymorphic sites, and intraspecific variations ranged from 0.1% to 0.9%. Phylogenetic analyses by neighbor-joining phylogram inferred from ITS1 rDNA sequences revealed that the genetic distance between P. fastosum specimens ranged from 0.3 to 1.5% while the smallest interspecific distance among dicrocoeliid species was 20.9 %. The redescription and genetic characters of P. fastosum are taxonomically important to recognize future different species of the genus Platynosomum showing high intraspecific and morphological variability.

Citations

Citations to this article as recorded by  Crossref logo
  • Giant cell hepatitis with Platynosomum illiciens infection in a Japanese domestic cat
    Natsumi Kobayashi, Aya Masuda, Jun Matsumoto, Natsumi Asai, Nobuhiko Hida, Tomoaki Murakami
    Journal of Veterinary Diagnostic Investigation.2025; 37(6): 942.     CrossRef
  • Occurrence and Risk Factors Associated with Platynosomum illiciens Infection in Cats with Elevated Liver Enzymes
    Pinkarn Chantawong, Jiraporn Potiwong, Natchanon Choochote, Kakanang Piyarungsri, Chakorn Kunkaew, Sahatchai Tangtrongsup, Saruda Tiwananthagorn
    Animals.2024; 14(7): 1065.     CrossRef
  • Morphological and molecular data on helminths of Didelphis virginiana and Philander vossi (Mammalia: Didelphidae) from the Yucatán Peninsula, southeast Mexico
    JESÚS ALONSO PANTI-MAY, ANYELA JACKELIN CHAN-CASANOVA, ELSY CANCHE-POOL, RAÚL TELLO-MARTÍN, HUGO RUIZ-PIÑA, HENRY CONCHA-GUILLERMO, OSCAR RETANA-GUIASCÓN, PEDRO PABLO MARTÍNEZ VEGA, JUAN CHABLÉ-SANTOS, ERENDIRA ESTRELLA-MARTÍNEZ, WILSON ISAIAS MOGUEL-CHIN
    Zootaxa.2024; 5463(1): 1.     CrossRef
  • Survey on the prevalence of intestinal parasites in domestic cats (Felis catus Linnaeus, 1758) in central Nepal
    Roshan Babu Adhikari, Madhuri Adhikari Dhakal, Purna Bahadur Ale, Ganga Ram Regmi, Tirth Raj Ghimire
    Veterinary Medicine and Science.2023; 9(2): 559.     CrossRef
  • A systematic review and meta-analysis on the global status of Platynosomum sp. (Trematoda – Dicrocoelidae) infecting domestic cats (Felis catus)
    Welitânia Inácia Silva, Thais Ferreira Feitosa, Vinícius Longo Ribeiro Vilela
    Veterinary Parasitology.2023; 322: 110031.     CrossRef
  • Antigenic components, identification, and characterization of whole worm extract of Platynosomum illiciens
    Shin Moe Aoke, Amaya Watthanadirek, Napassorn Poolsawat, Nitipon Srionrod, Pornpiroon Nooroong, Sutthida Minsakorn, Sitthichok Lacharoje, Woraporn Sukhumavasi, Panat Anuracpreeda
    Veterinary Parasitology.2022; 310: 109774.     CrossRef
  • Hepatic trematode Platynosomum sp. (Dicrocoeliidae) from a domestic cat in Colombo, Sri Lanka: Case report and molecular identification
    Dissanayaka Mudiyanselage Asha Erandhi Ranaraja, Thilini Anupama Nanayakkarawasam Mahakapuge, Dulari Samanthika Thilakarathne, Juliyabaduge Yushika Chamodi Dharmasuriya, Rajapakse Peramune Veddikkarage Jayanthe Rajapakse
    Veterinary Parasitology: Regional Studies and Reports.2022; 34: 100762.     CrossRef
  • A first attempt at determining the antibody-specific pattern of Platynosomum fastosum crude antigen and identification of immunoreactive proteins for immunodiagnosis of feline platynosomiasis
    Babi Kyi Soe, Poom Adisakwattana, Onrapak Reamtong, Panat Anuracpreeda, Woraporn Sukhumavasi
    Veterinary World.2022; : 2029.     CrossRef
  • Platynosomum illiciens (Trematoda: Dicrocoeliidae) in a hybrid marmoset (Callithrix sp.) in the Municipality of Seropédica, RJ, Brazil – Case report
    Rayane Christine Pereira de Assis, Diefrey Ribeiro Campos, Debora Azevedo Borges, Barbara Rauta de Avelar, Julia Aline Santos de Mello Pereira, Carlos Alexandre Rey Matias, Carlos Wilson Gomes Lopes, Douglas McIntosh, Fabio Barbour Scott
    Revista Brasileira de Parasitologia Veterinária.2021;[Epub]     CrossRef
  • Clinical pathological findings of a cat with chronic cholangitis
    A. A. Ikhwan-Saufi, R. Ahmad-Rasul, H. X. Liew, M. Y. Lim, T. Adeline, R. Nuhanim, M. Daarulmuqaamah, A. Amlizawaty, M. Maizatul-Akmal, J. Johaimi, A. Rasedee, M. I. Mahiza, A. A. Azlina, H. Hazilawati
    Comparative Clinical Pathology.2020; 29(1): 17.     CrossRef
  • DNA sequences confirm low specificity to definitive host and wide distribution of the cat pathogen Platynosomum illiciens (= P. fastosum) (Trematoda: Dicrocoeliidae)
    Hudson A. Pinto, Eduardo A. Pulido-Murillo, Roberta R. Braga, Vitor L. T. Mati, Alan L. Melo, Vasyl V. Tkach
    Parasitology Research.2018; 117(6): 1975.     CrossRef
  • 10,697 View
  • 255 Download
  • 13 Web of Science
  • Crossref

Case Report

Ectopic Human Fasciola hepatica Infection by an Adult Worm in the Mesocolon
Ah Jin Kim, Chang Hwan Choi, Sun Keun Choi, Yong Woon Shin, Yun-Kyu Park, Lucia Kim, Suk Jin Choi, Jee Young Han, Joon Mee Kim, Young Chae Chu, In Suh Park
Korean J Parasitol 2015;53(6):725-730.
Published online December 31, 2015
DOI: https://doi.org/10.3347/kjp.2015.53.6.725
We report here an ectopic case of Fasciola hepatica infection confirmed by recovery of an adult worm in the mesocolon. A 56-year-old female was admitted to our hospital with discomfort and pain in the left lower quadrant of the abdomen. Abdominal CT showed 3 abscesses in the left upper quadrant, mesentery, and pelvic cavity. On surgical exploration, abscess pockets were found in the mesocolon of the sigmoid colon and transverse colon. A leaf-like worm found in the abscess pocket of the mesocolon of the left colon was diagnosed as an adult fluke of F. hepatica. Histologically, numerous eggs of F. hepatica were noted with acute and chronic granulomatous inflammations in the subserosa and pericolic adipose tissues. Conclusively, a rare case of ectopic fascioliasis has been confirmed in this study by the adult worm recovery of F. hepatica in the mesocolon.

Citations

Citations to this article as recorded by  Crossref logo
  • Liver resection for right lobe abscesses caused by liver fluke
    A. A. Karpov, M. M. Tavobilov, N. A. Ivanova, I. O. Tinkova, A. V. Lantsynova, M. N. Aladin, E. B. Kudryash, A. V. Varlamova
    Annaly khirurgicheskoy gepatologii = Annals of HPB Surgery.2026; 31(1): 102.     CrossRef
  • Molecular identification of Fasciola and Dicrocoelium species isolates in ruminants livestock from Kashan and Arak in center of Iran
    Mohsen Arbabi, Hossein Hooshyar, Mahdi Delavari
    Journal of Parasitic Diseases.2025; 49(2): 453.     CrossRef
  • Hepatic and Extrahepatic Fascioliasis Mimicking Colon Cancer with Hepatic Metastasis
    Youe Ree Kim, Young Hwan Lee, Kwon-Ha Yoon
    Korean Journal of Abdominal Radiology.2022; 6(1): 51.     CrossRef
  • Phylogenetic Characteristics of Fasciola hepatica Isolated from a Korean Patient
    Mi Jin Jeong, Jae Kyun Park, Hak Sun Yu
    The Korean Journal of Parasitology.2022; 60(5): 367.     CrossRef
  • Prevalence of Schistosoma japonicum infection in water buffaloes in selected areas in Davao del Norte and Davao de Oro, the Philippines
    Rohani C. Navarro, Aleyla E. de Cadiz, Jordan M. Fronda, Lynnell Alexie D. Ong, Vicente Y. Belizario Jr.
    International Journal of One Health.2021; 7(1): 12.     CrossRef
  • Ascariasis Presenting as Hematoma in the Sigmoid Mesocolon: A Case Report
    Ji-Eun Kim, Kyung Eun Bae, Hyun-Jung Kim, Byung-Noe Bae, Ji Hae Lee, Mi-Jin Kang, Ji-Young Kim, Jae Hyung Kim
    Journal of the Korean Society of Radiology.2020; 81(4): 1013.     CrossRef
  • Parasitological monitoring of European bison (Bison bonasus) from three forests of north-eastern Poland between 2014 and 2016
    Michał K. Krzysiak, Aleksander W. Demiaszkiewicz, Magdalena Larska, Jarosław Tomana, Krzysztof Anusz
    Journal of Veterinary Research.2020; 64(1): 103.     CrossRef
  • NumerousFasciolaplasminogen-binding proteins may underlie blood-brain barrier leakage and explain neurological disorder complexity and heterogeneity in the acute and chronic phases of human fascioliasis
    J. González-Miguel, M. A. Valero, M. Reguera-Gomez, C. Mas-Bargues, M. D. Bargues, F. Simón, S. Mas-Coma
    Parasitology.2019; 146(3): 284.     CrossRef
  • Highlights of human ectopic fascioliasis: a systematic review
    Ali Taghipour, Leila Zaki, Ali Rostami, Masoud Foroutan, Fatemeh Ghaffarifar, Atefeh Fathi, Amir Abdoli
    Infectious Diseases.2019; 51(11-12): 785.     CrossRef
  • A Case of Ectopic Peritoneal Paragonimiasis Mimicking Diverticulitis or Abdominal Abscess
    Min Jae Kim, Sung-Han Kim, Sang-Oh Lee, Sang-Ho Choi, Yang Soo Kim, Jun Hee Woo, Yong Sik Yoon, Kyung Won Kim, Jaeeun Cho, Jong-Yil Chai, Yong Pil Chong
    The Korean Journal of Parasitology.2017; 55(3): 313.     CrossRef
  • 13,168 View
  • 159 Download
  • 8 Web of Science
  • Crossref

Original Article

Fasciola hepatica in Snails Collected from Water-Dropwort Fields using PCR
Hwang-Yong Kim, In-Wook Choi, Yeon-Rok Kim, Juan-Hua Quan, Hassan Ahmed Hassan Ahmed Ismail, Guang-Ho Cha, Sung-Jong Hong, Young-Ha Lee
Korean J Parasitol 2014;52(6):645-652.
Published online December 23, 2014
DOI: https://doi.org/10.3347/kjp.2014.52.6.645

Fasciola hepatica is a trematode that causes zoonosis mainly in cattle and sheep and occasionally in humans. Fascioliasis has been reported in Korea; however, determining F. hepatica infection in snails has not been done recently. Thus, using PCR, we evaluated the prevalence of F. hepatica infection in snails at 4 large water-dropwort fields. Among 349 examined snails, F. hepatica-specific internal transcribed space 1 (ITS-1) and/or ITS-2 markers were detected in 12 snails and confirmed using sequence analysis. Morphologically, 213 of 349 collected snails were dextral shelled, which is the same aperture as the lymnaeid snail, the vectorial host for F. hepatica. Among the 12 F. hepatica-infected snails, 6 were known first intermediate hosts in Korea (Lymnaea viridis and L. ollula) and the remaining 6 (Lymnaea sp.) were potentially a new first intermediate host in Korea. It has been shown that the overall prevalence of the snails contaminated with F. hepatica in water-dropwort fields was 3.4%; however, the prevalence varied among the fields. This is the first study to estimate the prevalence of F. hepatica infection using the vectorial capacity of the snails in Korea.

Citations

Citations to this article as recorded by  Crossref logo
  • Distribution and Fasciola infection rates of Lymnaea snails and cattle in high-salinity areas of Mekong Delta, Vietnam
    Dang Thi LOAN, Lam Thanh NGUYEN, Tran Ngoc BICH, Nguyen Thuy Y VI, Yasunobu MATSUMOTO
    Journal of Veterinary Medical Science.2025; 87(3): 291.     CrossRef
  • Susceptibility of lymnaeid snails to Fasciola hepatica and Fasciola gigantica (Digenea: Fasciolidae): a systematic review and meta-analysis
    Philile Ignecious Ngcamphalala, Ignore Nyagura, Mokgadi Pulane Malatji, Samson Mukaratirwa
    PeerJ.2025; 13: e18976.     CrossRef
  • Green vegetable juice as a potential source of human fascioliasis in Korea
    Sungim Choi, Sunghee Park, Sooji Hong, Hyejoo Shin, Bong-Kwang Jung, Min Jae Kim
    One Health.2022; 15: 100441.     CrossRef
  • Snail-borne parasitic diseases: an update on global epidemiological distribution, transmission interruption and control methods
    Xiao-Ting Lu, Qiu-Yun Gu, Yanin Limpanont, Lan-Gui Song, Zhong-Dao Wu, Kamolnetr Okanurak, Zhi-Yue Lv
    Infectious Diseases of Poverty.2018;[Epub]     CrossRef
  • Morphological Characterization of Emerging Cercariae among Lymnaeid Snails from Barangay Cawongan, Padre Garcia, Batangas, Philippines
    Gregorio L. Martin I, Esperanza C. Cabrera
    Journal of Parasitology Research.2018; 2018: 1.     CrossRef
  • A Case of Fascioliasis in A Wild Nutria, Myocastor coypus, in Republic of Korea
    Hyo-Seok Kim, Joo-Yeon Kong, Jong-Hyun Kim, Seong-Chan Yeon, Il-Hwa Hong
    The Korean Journal of Parasitology.2018; 56(4): 375.     CrossRef
  • Monitoring of Fasciola Species Contamination in Water Dropwort by COX1 Mitochondrial and ITS-2 rDNA Sequencing Analysis
    In-Wook Choi, Hwang-Yong Kim, Juan-Hua Quan, Jae-Gee Ryu, Rubing Sun, Young-Ha Lee
    The Korean Journal of Parasitology.2015; 53(5): 641.     CrossRef
  • Ectopic Human <i>Fasciola hepatica</i> Infection by an Adult Worm in the Mesocolon
    Ah Jin Kim, Chang Hwan Choi, Sun Keun Choi, Yong Woon Shin, Yun-Kyu Park, Lucia Kim, Suk Jin Choi, Jee Young Han, Joon Mee Kim, Young Chae Chu, In Suh Park
    The Korean Journal of Parasitology.2015; 53(6): 725.     CrossRef
  • 12,597 View
  • 141 Download
  • 9 Web of Science
  • Crossref

Case Reports

The First Case of Capillaria hepatica Infection in a Nutria (Myocastor coypus) in Korea
Jae-Hak Park, Meliton N. Novilla, Juha Song, Kyung-Sul Kim, Seo-Na Chang, Ju-Hee Han, Byung Hee Lee, Do-Hun Lee, Hyun-Mac Kim, Young-Ha Kim, Hee-Jeong Youn, Jihyon Kil
Korean J Parasitol 2014;52(5):527-529.
Published online October 22, 2014
DOI: https://doi.org/10.3347/kjp.2014.52.5.527

This study reports the first case of Capillaria hepatica infection in a nutria in Korea. Ten nutrias, captured near the Nakdong River, were submitted to our laboratory for necropsy. White-yellowish nodules were found in the liver of 1 of the nutrias at necropsy. Histologically, the lesions were granulomatous, and infiltrations of lipid-laden macrophages, eosinophils, and several multinucleated giant cells were observed. The lesions consisted of numerous eggs and necrotic hepatocytes. The eggs were lemon-shaped and had polar plugs at the ends of both long sides. The eggs were morphologically identified as those of C. hepatica. Worldwide, C. hepatica infection in nutrias is very rare. Nutrias are a kind of livestock, as well as wildlife; therefore, an epidemiological study for parasitic infections needs to be conducted.

Citations

Citations to this article as recorded by  Crossref logo
  • Histopathological evaluation of Capillaria hepatica (Bancroft, 1893) in Cricetomys gambianus (Waterhouse, 1840)
    Samson Eneojo Abalaka, Sunday Augustine Ejeh
    Journal of Parasitic Diseases.2025; 49(1): 186.     CrossRef
  • Intestinal parasites of Myocastor coypus (Rodentia, Myocastoridae) on animal farms in Eastern Ukraine
    N. V. Sumakova, A. P. Paliy, O. V. Pavlichenko, R. V. Petrov, B. S. Morozov, V. M. Plys, A. B. Mushynskyi
    Regulatory Mechanisms in Biosystems.2025; 16(3): e25117.     CrossRef
  • Population Genomic Insights Into Recent Nutria (Myocastor coypus) Invasion Dynamics
    Kristen D. Ahrens, Joshua M. Hallas, Antionette J. Piaggio, Kelly L. Carrothers, Valerie K. Cook, Michael R. Buchalski
    Evolutionary Applications.2025;[Epub]     CrossRef
  • Radio Tracking Reveals the Home Range and Activity Patterns of Nutria (Myocastor coypus) in the Macdo Wetland in South Korea
    Maniram Banjade, Pradeep Adhikari, Sun-Hee Hong, Do-Hun Lee
    Animals.2023; 13(10): 1716.     CrossRef
  • Climate change induced habitat expansion of nutria (Myocastor coypus) in South Korea
    Pradeep Adhikari, Baek-Jun Kim, Sun-Hee Hong, Do-Hun Lee
    Scientific Reports.2022;[Epub]     CrossRef
  • Updated checklist of helminths found in terrestrial mammals of Argentine Patagonia
    M.H. Fugassa
    Journal of Helminthology.2020;[Epub]     CrossRef
  • Zoonotic parasites carried by invasive alien species in China
    Guang-Li Zhu, Yi-Yang Tang, Yanin Limpanont, Zhong-Dao Wu, Jian Li, Zhi-Yue Lv
    Infectious Diseases of Poverty.2019;[Epub]     CrossRef
  • Complete mitochondrial genome of the invasive semi-aquatic mammal, nutria Myocastor coypus (Rodentia; Myocastoridae)
    Do-Hun Lee, Moo-Seung Lee, Young-Chae Kim, Il Ryong Kim, Hye Kwon Kim, Dae Gwin Jeong, Jung Ro Lee, Ji Hyung Kim
    Conservation Genetics Resources.2018; 10(4): 613.     CrossRef
  • RETROSPECTIVE ANALYSIS OF THE EPIDEMIOLOGIC LITERATURE, 1990–2015, ON WILDLIFE-ASSOCIATED DISEASES FROM THE REPUBLIC OF KOREA
    Jusun Hwang, Kyunglee Lee, Young-Jun Kim, Jonathan M. Sleeman, Hang Lee
    Journal of Wildlife Diseases.2017; 53(1): 5.     CrossRef
  • Histopathological Study of Hepatic Small Nodular Lesions on Slaughtered Cattle in Hokkaido
    Mutsuko SAKUI, Hiroshi OONO, Ayae OONISHI, Yuzaburo OKU
    Journal of the Japan Veterinary Medical Association.2016; 69(3): 147.     CrossRef
  • Histopathological findings in wild Nutrias (Myocastor coypus) with Capillaria hepatica infection
    Il-Hwa HONG, Sun-Young KANG, Jong-Hyun KIM, Seong-Hoon SEOK, Seong-Kyu LEE, Seong-Jin HONG, Seung-Yong LEE, Se-Jin PARK, Joo-Yeon KONG, Seong-Chan YEON
    Journal of Veterinary Medical Science.2016; 78(12): 1887.     CrossRef
  • 12,477 View
  • 98 Download
  • 11 Web of Science
  • Crossref
A Case of Fasciola hepatica Infection Mimicking Cholangiocarcinoma and ITS-1 Sequencing of the Worm
Bong Kyun Kang, Bong-Kwang Jung, Yoon Suk Lee, In Kyeom Hwang, Hyemi Lim, Jaeeun Cho, Jin-Hyeok Hwang, Jong-Yil Chai
Korean J Parasitol 2014;52(2):193-196.
Published online April 18, 2014
DOI: https://doi.org/10.3347/kjp.2014.52.2.193

Fascioliasis is a zoonotic infection caused by Fasciola hepatica or Fasciola gigantica. We report an 87-year-old Korean male patient with postprandial abdominal pain and discomfort due to F. hepatica infection who was diagnosed and managed by endoscopic retrograde cholangiopancreatography (ERCP) with extraction of 2 worms. At his first visit to the hospital, a gallbladder stone was suspected. CT and magnetic retrograde cholangiopancreatography (MRCP) showed an intraductal mass in the common bile duct (CBD) without proximal duct dilatation. Based on radiological findings, the presumed diagnosis was intraductal cholangiocarcinoma. However, in ERCP which was performed for biliary decompression and tissue diagnosis, movable materials were detected in the CBD. Using a basket, 2 living leaf-like parasites were removed. The worms were morphologically compatible with F. hepatica. To rule out the possibility of the worms to be another morphologically close species, in particular F. gigantica, 1 specimen was processed for genetic analysis of its ITS-1 region. The results showed that the present worms were genetically identical (100%) with F. hepatica but different from F. gigantica.

Citations

Citations to this article as recorded by  Crossref logo
  • A Curious Culprit Behind Biliary Pus: What’s the Diagnosis?
    Partha Pal, Uday Kumar Marri, D. Nageshwar Reddy
    Gastroenterology.2026; 170(1): 21.     CrossRef
  • Parasitic Diseases of Upper Gastrointestinal Tract
    Heung Up Kim
    The Korean Journal of Helicobacter and Upper Gastrointestinal Research.2024; 24(2): 127.     CrossRef
  • Global distribution of zoonotic digenetic trematodes: a scoping review
    Yue Hu, Rong-Jian Zhan, Shi-Lin Lu, Yi-Yang Zhang, Min-Yu Zhou, Hui Huang, Ding-Ding Wang, Tao Zhang, Zi-Xin Huang, Yun-Fei Zhou, Zhi-Yue Lv
    Infectious Diseases of Poverty.2024;[Epub]     CrossRef
  • General overview of the current status of human foodborne trematodiasis
    Jong-Yil Chai, Bong-Kwang Jung
    Parasitology.2022; 149(10): 1262.     CrossRef
  • Phylogenetic Characteristics of Fasciola hepatica Isolated from a Korean Patient
    Mi Jin Jeong, Jae Kyun Park, Hak Sun Yu
    The Korean Journal of Parasitology.2022; 60(5): 367.     CrossRef
  • Fasciola Hepatica Induced Hepatic Abscess Treated with Triclabendazole
    Hyun Joon Park, Gil-Soon Choi, Minjung Jung, Sang Uk Lee
    The Korean Journal of Gastroenterology.2021; 77(1): 39.     CrossRef
  • Oxysterols of helminth parasites and pathogenesis of foodborne hepatic trematodiasis caused by Opisthorchis and Fasciola species
    Nuno Vale, Maria João Gouveia, Fátima Gärtner, Paul J Brindley
    Parasitology Research.2020; 119(5): 1443.     CrossRef
  • Prolonged antibiotic use leading to Clostridium difficile colitis in an ill returned traveller with acute fascioliasis
    Dylan Kain, Avinash N Mukkala, Andrea K Boggild
    Journal of Travel Medicine.2018;[Epub]     CrossRef
  • A Case of Fascioliasis in A Wild Nutria, Myocastor coypus, in Republic of Korea
    Hyo-Seok Kim, Joo-Yeon Kong, Jong-Hyun Kim, Seong-Chan Yeon, Il-Hwa Hong
    The Korean Journal of Parasitology.2018; 56(4): 375.     CrossRef
  • F-18-FDG PET/BT’de kolanjiosellüler kanseri taklit eden Fasciola hepatica vakası
    Hüseyin KAÇMAZ, Elif Tuğba TUNCEL, Berat EBİK, Feyzullah UÇMAK, Muhsin KAYA, Kendal YALÇIN
    Endoskopi Gastrointestinal.2018; 26(2): 69.     CrossRef
  • Unexpected hosts: imaging parasitic diseases
    Pablo Rodríguez Carnero, Paula Hernández Mateo, Susana Martín-Garre, Ángela García Pérez, Lourdes del Campo
    Insights into Imaging.2017; 8(1): 101.     CrossRef
  • Acute biliary obstruction with cholestasis caused by Fasciola hepatica in a patient travelled to Turcmenistan (a case report and literature review)
    Alexander M. Bronshteyn, N. A Malyshev, L. V Fedianina, I. V Davydova
    Epidemiology and Infectious Diseases.2016; 21(2): 92.     CrossRef
  • Monitoring of Fasciola Species Contamination in Water Dropwort by COX1 Mitochondrial and ITS-2 rDNA Sequencing Analysis
    In-Wook Choi, Hwang-Yong Kim, Juan-Hua Quan, Jae-Gee Ryu, Rubing Sun, Young-Ha Lee
    The Korean Journal of Parasitology.2015; 53(5): 641.     CrossRef
  • Endoscopic Extraction of Biliary Fascioliasis Diagnosed Using Intraductal Ultrasonography in a Patient with Acute Cholangitis
    Ji Su Ha, Hyun Jong Choi, Jong Ho Moon, Yun Nah Lee, Jae Woong Tae, Moon Han Choi, Tae Hoon Lee, Sang-Woo Cha
    Clinical Endoscopy.2015; 48(6): 579.     CrossRef
  • Prevalence of Fasciola spp. from cattle in slaughterhouse by macroscopic examination
    Bae-Keun Park, Eui-Ju Hong, Si-Yun Ryu, Bae-Dong Jung, Ji-Min Kim, Hyeon-Cheol Kim
    Korean Journal of Veterinary Service.2015; 38(4): 227.     CrossRef
  • Fasciola hepatica in Snails Collected from Water-Dropwort Fields using PCR
    Hwang-Yong Kim, In-Wook Choi, Yeon-Rok Kim, Juan-Hua Quan, Hassan Ahmed Hassan Ahmed Ismail, Guang-Ho Cha, Sung-Jong Hong, Young-Ha Lee
    The Korean Journal of Parasitology.2014; 52(6): 645.     CrossRef
  • 12,872 View
  • 143 Download
  • 20 Web of Science
  • Crossref

Original Article

Experimental Murine Fascioliasis Derives Early Immune Suppression with Increased Levels of TGF-β and IL-4
Joon-Yong Chung, Young-An Bae, Doo-Hee Yun, Hyun-Jong Yang, Yoon Kong
Korean J Parasitol 2012;50(4):301-308.
Published online November 26, 2012
DOI: https://doi.org/10.3347/kjp.2012.50.4.301

In fascioliasis, T-helper 2 (Th2) responses predominate, while little is known regarding early immune phenomenon. We herein analyzed early immunophenotype changes of BALB/c, C57BL/6, and C3H/He mice experimentally infected with 5 Fasciola hepatica metacercariae. A remarkable expansion of CD19+ B cells was observed as early as week 1 post-infection while CD4+/CD8+ T cells were down-regulated. Accumulation of Mac1+ cells with time after infection correlated well with splenomegaly of all mice strains tested. The expression of tumor necrosis factor (TNF)-α mRNA in splenocytes significantly decreased while that of IL-4 up-regulated. IL-1β expression was down-modulated in BALB/c and C57BL/6 mice, but not in C3H/He. Serum levels of transforming growth factor (TGF)-β were considerably elevated in all mice during 3 weeks of infection period. These collective results suggest that experimental murine fascioliasis might derive immune suppression with elevated levels of TGF-β and IL-4 during the early stages of infection.

Citations

Citations to this article as recorded by  Crossref logo
  • Evaluation of Th1/Th2, regulatory cytokines and transcriptional factor FoxP3 in sheep immunized with a partially protective and non-protective vaccine and challenged with Fasciola hepatica
    María Teresa Ruiz-Campillo, Isabel Lourdes Pacheco, Nieves Abril, María José Bautista, Álvaro Martínez-Moreno, Francisco Javier Martínez-Moreno, Leandro Buffoni, José Pérez, Verónica Molina-Hernández, Rafael Zafra
    Veterinary Research.2024;[Epub]     CrossRef
  • Fascioliasis: Image Findings, Diagnosis, and Treatment
    Jae Seung Lee
    Clinical Ultrasound.2024; 9(1): 18.     CrossRef
  • Fasciolosis: pathogenesis, host-parasite interactions, and implication in vaccine development
    Luis Miguel Flores-Velázquez, María Teresa Ruiz-Campillo, Guillem Herrera-Torres, Álvaro Martínez-Moreno, Francisco Javier Martínez-Moreno, Rafael Zafra, Leandro Buffoni, Pablo José Rufino-Moya, Verónica Molina-Hernández, José Pérez
    Frontiers in Veterinary Science.2023;[Epub]     CrossRef
  • The immunosuppression effects of deforolimus (ridaforolimus, AP23573) on allograft organ transplantation
    Lumin Wang, Yanping Li, Dawei Yang, Jiazhao Fu, Bin Zhao, Yaguang Li, Yanrong Ye, Zhongquan Qi
    Clinical and Translational Discovery.2023;[Epub]     CrossRef
  • Immunization of Goats with Recombinant Protein 14-3-3 Isoform 2(rHcftt-2) Induced Moderate Protection against Haemonchus contortus Challenge
    Yongqian Bu, Caiwen Jia, Xiaowei Tian, Kalibixiati Aimulajiang, Muhammad Ali Memon, Ruofeng Yan, Xiaokai Song, Lixin Xu, Xiangrui Li
    Pathogens.2020; 9(1): 46.     CrossRef
  • Characterization of dendritic cells and follicular dendritic cells in the hepatic lymph nodes and liver of sheep experimentally infected with Fasciola hepatica
    María Teresa Ruiz-Campillo, Verónica Molina-Hernández, María José Bautista, Isabel L. Pacheco, Rafael Zafra, Leandro Buffoni, Francisco Javier Martínez-Moreno, Alvaro Martínez-Moreno, José Pérez
    Veterinary Research.2020;[Epub]     CrossRef
  • Helminth infection-induced carcinogenesis: spectrometric insights from the liver flukes, Opisthorchis and Fasciola
    Maria João Gouveia, Maria Y. Pakharukova, Gabriel Rinaldi, Viatcheslav A. Mordvinov, Paul J. Brindley, Fátima Gärtner, Nuno Vale, Martin Michaelis
    Experimental Results.2020;[Epub]     CrossRef
  • Fasciola and fasciolosis in ruminants in Europe: Identifying research needs
    N. J. Beesley, C. Caminade, J. Charlier, R. J. Flynn, J. E. Hodgkinson, A. Martinez-Moreno, M. Martinez-Valladares, J. Perez, L. Rinaldi, D. J. L. Williams
    Transboundary and Emerging Diseases.2018; 65: 199.     CrossRef
  • Fasciola hepatica induces Foxp3 T cell, proinflammatory and regulatory cytokine overexpression in liver from infected sheep during early stages of infection
    Isabel L. Pacheco, Nieves Abril, Rafael Zafra, Verónica Molina-Hernández, Noelia Morales-Prieto, María J. Bautista, María T. Ruiz-Campillo, Raúl Pérez-Caballero, Alvaro Martínez-Moreno, José Pérez
    Veterinary Research.2018;[Epub]     CrossRef
  • Association of Fasciola hepatica Infection with Liver Fibrosis, Cirrhosis, and Cancer: A Systematic Review
    Claudia Machicado, Jorge D. Machicado, Vicente Maco, Angelica Terashima, Luis A. Marcos, Hector H Garcia
    PLOS Neglected Tropical Diseases.2016; 10(9): e0004962.     CrossRef
  • 9,449 View
  • 68 Download
  • Crossref

Brief Communication

Expression of Exogenous Human Hepatic Nuclear Factor-1α by a Lentiviral Vector and Its Interactions with Plasmodium falciparum Subtilisin-Like Protease 2
Shunyao Liao, Yunqiang Liu, Bing Zheng, Pyo Yun Cho, Hyun Ok Song, Yun-Seok Lee, Suk-Yul Jung, Hyun Park
Korean J Parasitol 2011;49(4):431-436.
Published online December 16, 2011
DOI: https://doi.org/10.3347/kjp.2011.49.4.431

The onset, severity, and ultimate outcome of malaria infection are influenced by parasite-expressed virulence factors as well as by individual host responses to these determinants. In both humans and mice, liver injury follows parasite entry, persisting to the erythrocytic stage in the case of infection with the fatal strain of Plasmodium falciparum. Hepatic nuclear factor (HNF)-1α is a master regulator of not only the liver damage and adaptive responses but also diverse metabolic functions. In this study, we analyzed the expression of host HNF-1α in relation to malaria infection and evaluated its interaction with the 5'-untranslated region of subtilisin-like protease 2 (subtilase, Sub2). Recombinant human HNF-1α expressed by a lentiviral vector (LV HNF-1α) was introduced into mice. Interestingly, differences in the activity of the 5'-untranslated region of the Pf-Sub2 promoter were detected in 293T cells, and LV HNF-1α was observed to influence promoter activity, suggesting that host HNF-1α interacts with the Sub2 gene.

  • 9,026 View
  • 67 Download

Case Report

Recurrent Hepatic Alveolar Echinococcosis: Report of The First Case in Korea with Unproven Infection Route
Su-Jin Kim, Jong-Han Kim, Sang-Young Han, Young-Hoon Kim, Jin-Han Cho, Jong-Yil Chai, Jin-Sook Jeong
Korean J Parasitol 2011;49(4):413-418.
Published online December 16, 2011
DOI: https://doi.org/10.3347/kjp.2011.49.4.413

Human alveolar echinococcosis (AE), a hepatic disorder that resembles liver cancer, is a highly aggressive and lethal zoonotic infection caused by the larval stage of the fox tapeworm, Echinococcus multilocularis. E. multilocularis is widely distributed in the northern hemisphere; the disease-endemic area stretches from north America through Europe to central and east Asia, including northern parts of Japan, but it has not been reported in Korea. Herein, we represent a first case of AE in Korea. A 41-year-old woman was found to have a large liver mass on routine medical examination. The excised mass showed multinodular, necrotic, and spongiform appearance with small irregular pseudocystic spaces. Microscopically, the mass was composed of chronic granulomatous inflammation with extensive coagulation necrosis and parasite-like structure, which was revealed as parasitic vesicles and laminated layer delineated by periodic acid-Schiff (PAS) stain. Clinical and histologic features were consistent with AE. After 8 years, a new liver mass and multiple metastatic pulmonary nodules were found and the recurred mass showed similar histologic features to the initial mass. She had never visited endemic areas of AE, and thus the exact infection route is unclear.

Citations

Citations to this article as recorded by  Crossref logo
  • Delayed Diagnosis of Imported Cystic Echinococcosis and Successful Treatment With Percutaneous Drainage and Albendazole in Korea: A Case Report
    Won Jun Choi, Hanna Jin, Hyeon Jae Jo, Chan Mi Lee, Chang Kyung Kang, Pyoeng Gyun Choe, Wan Beom Park, Nam Joong Kim, Min-Ho Choi
    Journal of Korean Medical Science.2025;[Epub]     CrossRef
  • Imported parasitic diseases in the Republic of Korea: status and issues
    Jong-Yil Chai
    Journal of the Korean Medical Association.2025; 68(1): 52.     CrossRef
  • Comparative analysis of host immune responses to Hydatid cyst in human and ovine hepatic cystic Echinococcosis
    Bnar S. Hamad, Bushra H. Shnawa, Rafal A. Alrawi, Mukhtar H. Ahmed
    Veterinary Immunology and Immunopathology.2024; 273: 110775.     CrossRef
  • Investigation of Echinococcus multilocularis in foxes and dogs in Pakistan by detection of copro-DNA
    Aisha Khan, Gérald Umhang, Zaib Ullah, Franck Boué, Vanessa Bastid, Ikram Ullah, Sajid Mahmood, Muhammad Sohail Afzal, Haroon Ahmed
    Parasitology Research.2021; 120(2): 731.     CrossRef
  • Worldwide literature on epidemiology of human alveolar echinococcosis: a systematic review of research published in the twenty-first century
    Sven Baumann, Rong Shi, Wenya Liu, Haihua Bao, Julian Schmidberger, Wolfgang Kratzer, Weixia Li, Thomas F. E. Barth, Sven Baumann, Johannes Bloehdorn, Iris Fischer, Tilmann Graeter, Natalja Graf, Beate Gruener, Doris Henne-Bruns, Andreas Hillenbrand, Tanj
    Infection.2019; 47(5): 703.     CrossRef
  • An Imported Case of Disseminated Echinococcosis in Korea
    Dong Hoon Shin, Hae Chan Jo, Jeong-Han Kim, Kang Il Jun, Wan Beom Park, Nam-Joong Kim, Min-Ho Choi, Chang Kyung Kang, Myoung-don Oh
    The Korean Journal of Parasitology.2019; 57(4): 429.     CrossRef
  • The echinococcoses in Asia: The present situation
    Akira Ito, Christine M. Budke
    Acta Tropica.2017; 176: 11.     CrossRef
  • Alveolar Echinococcosis of the Liver: A Diagnostic Problem in a Nonendemic Area
    Kumble S. Madhusudhan, Deep N. Srivastava, Nihar R. Dash, Arun Venuthruimilli, Raju Sharma, Shivanand Gamanagatti, Arun K. Gupta
    Current Problems in Diagnostic Radiology.2016; 45(1): 80.     CrossRef
  • Alveolar Echinococcosis of Liver: A Diagnostic Problem in a Nonendemic Area
    Kumble Seetharama Madhusudhan, Deep N. Srivastava, Nihar R. Dash, Arun Venuthurimilli, Raju Sharma, Shivanand Gamanagatti, Arun K. Gupta
    Current Problems in Diagnostic Radiology.2015; 44(2): 221.     CrossRef
  • Serological and Molecular Characteristics of the First Korean Case of Echinococcus multilocularis
    Jin-Sook Jeong, Sang-Young Han, Young-Hoon Kim, Yasuhito Sako, Tetsuya Yanagida, Akira Ito, Jong-Yil Chai
    The Korean Journal of Parasitology.2013; 51(5): 595.     CrossRef
  • Serodiagnosis of Echinococcosis by ELISA Using Cystic Fluid from Uzbekistan Sheep
    Yan Jin, Khikmat Anvarov, Abdukhakim Khajibaev, Samin Hong, Sung-Tae Hong
    The Korean Journal of Parasitology.2013; 51(3): 313.     CrossRef
  • In VitroandIn VivoActivities of Dicationic Diguanidino Compounds against Echinococcus multilocularis Metacestodes
    Tatiana Küster, Nadja Kriegel, David W. Boykin, Chad E. Stephens, Andrew Hemphill
    Antimicrobial Agents and Chemotherapy.2013; 57(8): 3829.     CrossRef
  • An Imported Case of Cystic Echinococcosis in the Liver
    Keun Soo Ahn, Sung-Tae Hong, Yu Na Kang, Jung Hyeok Kwon, Mi Jeong Kim, Tae Jun Park, Yong Hoon Kim, Tae Jin Lim, Koo Jeong Kang
    The Korean Journal of Parasitology.2012; 50(4): 357.     CrossRef
  • 10,935 View
  • 110 Download
  • Crossref

Original Articles

Changes in Sonographic Findings after Treatment of Patients with Clonorchiasis in a Heavy Endemic Area
Dongil Choi, Yong Hwan Jeon, Geun-Chan Lee, Min-Ho Choi, Sung-Tae Hong
Korean J Parasitol 2009;47(1):19-23.
Published online March 12, 2009
DOI: https://doi.org/10.3347/kjp.2009.47.1.19

We measured changes in sonographic findings of patients with clonorchiasis after a treatment in a highly endemic area. A total of 347 residents showed positive stool results for Clonorchis sinensis eggs in a village in northeastern China, and were treated with praziquantel. Of them, 132 patients underwent abdominal sonography both before and 1 year after treatment, and the changes in sonographic findings of 83 cured subjects were compared. Diffuse dilatation of intrahepatic bile ducts (DDIHD) was found in 82 patients (98.2%) before and 80 (96.4%) after treatment, which was improved in 3, aggravated in 1, and unchanged in 79 patients. Increased periductal echogenicity (IPDE) was observed in 42 patients (50.6%) before and 45 (54.2%) after treatment, which was improved in 5, aggravated in 8, and unchanged in 70 patients. Floating echogenic foci in the gallbladder (FEFGB) was detected in 32 patients (38.6%) before and 17 (20.5%) after treatment, which was improved in 20, aggravated in 5, and unchanged in 58 patients. Improvement of FEFGB only was statistically significantly (P = 0.004). The present results confirm that DDIHD and IPDE persist but FEFGB decreases significantly at 1 year after treatment. In a heavy endemic area, the sonographic finding of FEFGB may suggest active clonorchiasis 1 year after treatment.

Citations

Citations to this article as recorded by  Crossref logo
  • Clonorchiasis and opisthorchiasis: epidemiology, transmission, clinical features, morbidity, diagnosis, treatment, and control
    Men-Bao Qian, Jennifer Keiser, Jürg Utzinger, Xiao-Nong Zhou, Graeme N. Forrest
    Clinical Microbiology Reviews.2024;[Epub]     CrossRef
  • Severe hepatobiliary morbidity is associated with Clonorchis sinensis infection: The evidence from a cross-sectional community study
    Men-Bao Qian, Hong-Mei Li, Zhi-Hua Jiang, Yi-Chao Yang, Ming-Fei Lu, Kang Wei, Si-Liang Wei, Yu Chen, Chang-Hai Zhou, Ying-Dan Chen, Xiao-Nong Zhou, Maria Angeles Gómez-Morales
    PLOS Neglected Tropical Diseases.2021; 15(1): e0009116.     CrossRef
  • Gastrointestinal tumors and infectious agents: A wide field to explore
    Miriam López-Gómez, Belén García de Santiago, Pedro-David Delgado-López, Eduardo Malmierca, Jesús González-Olmedo, César Gómez-Raposo, Carmen Sandoval, Pilar Ruiz-Seco, Nora Escribano, Jorge Francisco Gómez-Cerezo, Enrique Casado
    World Journal of Meta-Analysis.2021; 9(6): 505.     CrossRef
  • Clonorchiasis
    Men-Bao Qian, Jürg Utzinger, Jennifer Keiser, Xiao-Nong Zhou
    The Lancet.2016; 387(10020): 800.     CrossRef
  • Application of Ultrasonography in the Diagnosis of Infectious Diseases in Resource-Limited Settings
    Enrico Brunetti, Tom Heller, Joachim Richter, Daniel Kaminstein, Daniel Youkee, Maria Teresa Giordani, Samuel Goblirsch, Francesca Tamarozzi
    Current Infectious Disease Reports.2016;[Epub]     CrossRef
  • Current status and perspectives of Clonorchis sinensis and clonorchiasis: epidemiology, pathogenesis, omics, prevention and control
    Ze-Li Tang, Yan Huang, Xin-Bing Yu
    Infectious Diseases of Poverty.2016;[Epub]     CrossRef
  • Morbidity assessment of Opisthorchis viverrini infection in rural Laos: I. Parasitological, clinical, ultrasonographical and biochemical findings
    Hermann Feldmeier, Miklos Hazay, Megumi Sato, Pongvongsa Tiengkham, Futoshi Nishimoto, Hongwei Jiang, Vatsana Sopraseuth, Kazuhiko Moji
    Tropical Medicine and Health.2016;[Epub]     CrossRef
  • Gallbladder infection by trematodes
    Claudio Tana, Andrea Mezzetti, Cosima Schiavone
    Internal and Emergency Medicine.2013; 8(8): 761.     CrossRef
  • Long-term clinical outcome of the surgically resected intraductal papillary neoplasm of the bile duct
    Geunyoung Jung, Kwang-Min Park, Seung Soo Lee, Eunsil Yu, Seung-Mo Hong, Jihun Kim
    Journal of Hepatology.2012; 57(4): 787.     CrossRef
  • Clonorchis sinensis and clonorchiasis, an update
    Sung-Tae Hong, Yueyi Fang
    Parasitology International.2012; 61(1): 17.     CrossRef
  • Influencing Factors for Cure of Clonorchiasis by Praziquantel Therapy: Infection Burden andCYP3A5Gene Polymorphism
    Chung Hyeon Kim, Jeong-Keun Lee, Byung-Suk Chung, Shunyu Li, Min-Ho Choi, Sung-Tae Hong
    The Korean Journal of Parasitology.2011; 49(1): 45.     CrossRef
  • Correlation between Discharged Worms and Fecal Egg Counts in Human Clonorchiasis
    Jae-Hwan Kim, Min-Ho Choi, Young Mee Bae, Jin-Kyoung Oh, Min Kyung Lim, Sung-Tae Hong, Akira Ito
    PLoS Neglected Tropical Diseases.2011; 5(10): e1339.     CrossRef
  • 16,222 View
  • 137 Download
  • Crossref
Changes of cytokine mRNA expression and IgG responses in rats infected with Capillaria hepatica
Dong-Kwan Kim, Kyoung-Hwan Joo, Myung-Sook Chung
Korean J Parasitol 2007;45(2):95-102.
Published online June 20, 2007
DOI: https://doi.org/10.3347/kjp.2007.45.2.95

The mRNA expression of several cytokines was evaluated in splenocytes and mesenteric lymph node (MLN) cells of rats infected with Capillaria hepatica by reverse-transcription (RT)-PCR until week 12 after infection. IgG1 and IgG2a, which are associated with Th1 and Th2 response, respectively, were also assessed by ELISA. The results indicated that the majority of cytokines, including the Th1 (IL-2 and IFN-γ) and Th2 cytokines (IL-4, IL-5 and IL-10) were expressed at maximal levels during the early stage of infection (after week 1-2), and the ELISA data also evidenced a similar pattern of changes in IgG1 and IgG2a. Th1 and Th2 cytokines responded in a similar fashion in this rat model. The expression of cytokines in splenocytes was significantly higher than that in MLN cells, thereby indicating that cytokine production is controlled more by spleen than by MLN. In addition, the observation that IFN-γ expression increased unexpectedly at the time of maximal egg production (6 weeks after infection) indicated that IFN-γ is a cytokine reacting against egg production. However, increased IL-5 expression occurring in tandem with worm activity indicated that the activity of C. hepatica might be controlled by IL-5 expression.

Citations

Citations to this article as recorded by  Crossref logo
  • Pathogenic Interleukin-10 Receptor Alpha Variants in Humans — Balancing Natural Selection and Clinical Implications
    Dominik Aschenbrenner, Ziqing Ye, Ying Zhou, Wenhui Hu, Isabel Brooks, Isabelle Williams, Melania Capitani, Lisa Gartner, Daniel Kotlarz, Scott B. Snapper, Christoph Klein, Aleixo M. Muise, Brian D. Marsden, Ying Huang, Holm H. Uhlig
    Journal of Clinical Immunology.2023; 43(2): 495.     CrossRef
  • Roots of Lithospermum erythrorhizon Alleviated Ovalbumin-Induced Allergic Rhinitis and IgE-triggered Degranulation of RBL-2H3 Cells
    Tae Kyeom Kang, Tam Thi Le, Su-Young Choi, Hee-Won Song, Wook-Bin Lee, Sang Hoon Jung
    Applied Sciences.2022; 12(12): 6116.     CrossRef
  • Luna Virus and Helminths in Wild Mastomys natalensis in Two Contrasting Habitats in Zambia: Risk Factors and Evidence of Virus Dissemination in Semen
    Samuel Munalula Munjita, Given Moonga, Andrew Nalishuwa Mukubesa, Joseph Ndebe, Benjamin Mubemba, Manu Vanaerschot, Cristina Tato, John Tembo, Nathan Kapata, Simbarashe Chitanga, Katendi Changula, Mashiro Kajihara, Walter Muleya, Ayato Takada, Elisabeth F
    Pathogens.2022; 11(11): 1345.     CrossRef
  • Discovery of two highly divergent negative-sense RNA viruses associated with the parasitic nematode, Capillaria hepatica, in wild Mus musculus from New York City
    Simon H. Williams, Xiaoyu Che, Alexandra Oleynik, Joel A. Garcia, Dorothy Muller, Tanja S. Zabka, Cadhla Firth, Robert M. Corrigan, Thomas Briese, Komal Jain, W. Ian Lipkin
    Journal of General Virology .2019; 100(10): 1350.     CrossRef
  • Immune responses induced by co-infection withCapillaria hepaticainClonorchis sinensis-infected rats
    E.-K. Moon, S.-H. Lee, T.W. Goo, F.-S. Quan
    Journal of Helminthology.2018; 92(4): 395.     CrossRef
  • Ultrastructure of Capillaria hepatica (Syn. Calodium hepatica) Isolated from the Liver of Mouse Infected with Artificially Embryonated Eggs Collected from House Rats (Rattus norvegicus)
    Byoung-Hoon Min, Haeng-Sook Lee, Soo-Jin Kim, Kyoung-Hwan Joo
    Applied Microscopy.2013; 43(4): 146.     CrossRef
  • Concomitant influence of helminth infection and landscape on the distribution of Puumala hantavirus in its reservoir, Myodes glareolus
    Alexis Ribas Salvador, Emmanuel Guivier, Anne Xuéreb, Yannick Chaval, Patrice Cadet, Marie-Lazarine Poulle, Tarja Sironen, Liina Voutilainen, Heikki Henttonen, Jean-François Cosson, Nathalie Charbonnel
    BMC Microbiology.2011;[Epub]     CrossRef
  • A new murine model of allergic rhinitis by repeated intranasal Cry j 1 challenge
    Masako TSUNEMATSU, Taketo YAMAJI, Daisuke KOZUTSUMI, Rika MURAKAMI, Hiroichi NAGAI, Kohsuke KINO
    Biomedical Research.2008; 29(3): 119.     CrossRef
  • 11,082 View
  • 96 Download
  • Crossref
Brief Communication
Usefulness of 8 kDa protein of Fasciola hepatica in diagnosis of fascioliasis
Kwangsig Kim, Hyun Jong Yang, Young-Bae Chung
Korean J Parasitol 2003;41(2):121-123.
Published online June 20, 2003
DOI: https://doi.org/10.3347/kjp.2003.41.2.121

This study was designed to detect and evaluate an antigenicity of low molecular weight proteins of Fasciola hepatica in fascioliasis. Low molecular weight protein of F. hepatica was purified by ammonium sulfate precipitation and Sephacryl S-100 HR gel filtration. The protein obtained was estimated to be 8 kDa on 7.5-15% gradient sodium dodecyl sulfate gel electrophoresis. Immunoblotting studies showed that the 8 kDa protein reacted with human fascioliasis sera, but not other trematodiasis sera. This result suggests that the 8 kDa protein of F. hepatica is one of diagnostic antigens in human fascioliasis without cross-reaction with other human trematodiasis.

Citations

Citations to this article as recorded by  Crossref logo
  • Paramphistomum cervi: Antigenic profile of adults as recognized by infected cattle sera
    Panat Anuracpreeda, Chaitip Wanichanon, Prasert Sobhon
    Experimental Parasitology.2008; 118(2): 203.     CrossRef
  • Humoral immune responses during experimental infection with Fascioloides magna and Fasciola hepatica in goats and comparison of their excretory/secretory products
    Adam Novobilský, Martin Kašný, Libor Mikeš, Kamil Kovařčík, Břetislav Koudela
    Parasitology Research.2007; 101(2): 357.     CrossRef
  • Preliminary antigenic characterisation of an adult worm vomit preparation of Fasciola hepatica by infected human sera
    María Alejandra De Almeida, María Benardetti Ferreira, Sandra Planchart, Angélica Terashima, Vicente Maco, Luis Marcos, Eduardo Gotuzzo, Elizabeth Sánchez, César Náquira, José Vicente Scorza, Renzo Nino Incani
    Revista do Instituto de Medicina Tropical de São Paulo.2007; 49(1): 31.     CrossRef
  • Fas2-ELISA in the detection of human infection by Fasciola hepatica
    J.R. Espinoza, O. Timoteo, P. Herrera-Velit
    Journal of Helminthology.2005; 79(3): 235.     CrossRef
  • 8,585 View
  • 81 Download
  • Crossref