| Home | E-Submission | Sitemap | Contact us |  
top_img
Korean J Parasito Search

CLOSE

Korean J Parasito > Volume 44(4):2006 > Article
Lee, Lee, Park, Yong, and Hwang: Detection and genotyping of Giardia intestinalis isolates using intergenic spacer (IGS)-based PCR

Abstract

Giardia intestinalis infections arise primarily from contaminated food or water. Zoonotic transmission is possible, and at least 7 major assemblages including 2 assemblages recovered from humans have been identified. The determination of the genotype of G. intestinalis is useful not only for assessing the correlation of clinical symptoms and genotypes, but also for finding the infection route and its causative agent in epidemiological studies. In this study, methods to identify the genotypes more specifically than the known 2 genotypes recovered from humans have been developed using the intergenic spacer (IGS) region of rDNA. The IGS region contains varying sequences and is thus suitable for comparing isolates once they are classified as the same strain. Genomic DNA was extracted from cysts isolated from the feces of 5 Chinese, 2 Laotians and 2 Koreans infected with G. intestinalis and the trophozoites of WB, K1, and GS strains cultured in the laboratory, respectively. The rDNA containing the IGS region was amplified by PCR and cloned. The nucleotide sequence of the 3' end of IGS region was determined and examined by multiple alignment and phylogenetic analysis. Based on the nucleotide sequence of the IGS region, 13 G. intestinalis isolates were classified to assemblages A and B, and assemblage A was subdivided into A1 and A2. Then, the primers specific to each assemblage were designed, and PCR was performed using those primers. It detected as little as 10 pg of DNA, and the PCR amplified products with the specific length to each assemblage (A1, 176 bp; A2, 261 bp; B, 319 bp) were found. The PCR specific to 3 assemblages of G. intestinalis did not react with other bacteria or protozoans, and it did not react with G. intestinalis isolates obtained from dogs and rats. It was thus confirmed that by applying this PCR method amplifying the IGS region, the detection of G. intestinalis and its genotyping can be determined simultaneously.

INTRODUCTION

Giardia intestinalis, a protozoan parasite, is the most frequently detected of the pathogenic intestinal parasites in humans worldwide. G. intestinalis infections can occur from the consumption of contaminated food and water or though direct contact; after infection the parasite proliferates in the small intestine (Craun, 1984; Osterholm et al., 1981). Of all the water-borne diarrhea outbreaks that occurred in the USA from 1971 to 1985, 18% of the cases were reported to be caused by G. intestinalis (Craun, 1990).
Since the feces of animals are another source of infection in addition to contaminated food and water, the infection status of Giardia spp. in animals is also important (Kirkpatrick and Farrell, 1984). Among the 6 species identified in the Giardia genus, only G. intestinalis infects humans. G. intestinalis infects other animals including cats, dogs, rats, hoofed livestock, and wild mammals as well (Adam, 2001; Lalle et al., 2005; Thompson et al., 2000). Isolates of G. intestinalis are classified into 7 assemblages (A-G), based on the characterization of the glutamate dehydrogenase (gdh), elongation factor 1α, small-subunit (SSU) rRNA, and triose phosphate isomerase (tpi) genes etc (Hopkins et al., 1997; Monis et al., 1999; Read et al., 2004; Sulaiman et al., 2003). Of 7 assemblages only assemblages A and B were identified among human isolates. These 2 assemblages have also been identified in other host isolates. To effectively prevent infection, an understanding of the infection route and the source of G. intestinalis that may be zoonotic is important. A study on the cross-infectivity between different host species is also a prerequisite.
Antigen detection immunoassays are developed for routine diagnosis for Giardia infection (Garcia and Shimizu, 1997; Johnston et al., 2003). However, the methods are unable to identify the genotype of G. intestinalis. Among the diagnostic tools for the detection of G. intestinalis, the method that detects genetic material has been emphasized recently over others for its higher specificity and sensitivity. The methods using polymerase chain reaction (PCR) have been applied, which amplifies 16S ribosomal DNA (rDNA) (Baruch et al., 1996; Hopkins et al., 1997; Weiss et al., 1992), ITS regions and 5.8S rDNA (Hunt et al., 2000), triose phosphate isomerase (tpi) (Sulaiman et al., 2003), glutamate dehydrogenase (Read et al., 2004) or β-giardin (Lalle et al., 2005) genes, repectively. G. intestinalis rDNA is present in the genome as approximately 60-130 repeated structures (Boothroyd et al., 1987; Sil et al., 1998). As in other eukaryotes, each unit of repeated structure is, formed by a small subunit (SSU), a 5.8S, and a large subunit (LSU) rDNA divided by 2 internal nontranscribing spacers (ITS). Intergenic spacers (IGS) are arranged between each unit repeatedly (Healey et al., 1990). Since rDNA has multiple gene copies in all organisms, it is a suitable target for PCR amplification (Waters and McCutchan, 1990). DNA sequences evolve rapidly in IGS and ITS, which are a part of the repeated structures in rDNA (Hillis and Davis, 1986; Hillis and Dixon, 1991). The sequences have been used to compare the differences between species in several protozoans (Cupolillo et al., 1995; Dietrich et al., 1990; Didier et al., 1995). The length of ITS of G. intestinalis, however, is very short (approximately 50 bp) and thus it is difficult to generate sufficient information for comparing isolates or strains.
Hence, we attempted the detection of G. intestinalis and determinination of its genotype simultaneously by PCR and nucleotide sequencing of the IGS region in rDNA of G. intestinalis isolates recovered from humans and other animals.

MATERIALS AND METHODS

Giardia isolates

The cysts were obtained from the feces of 9 people infected with G. intestinalis - 5 Chinese, 2 Laotians, and 2 Koreans. The K1 isolate originally obtained from a Korean cyst passer (Park et al., 1999) and the WB and GS strains from the American Type Culture Collection (Rockville, Maryland, USA) were cultured in the laboratory; thus, trophozoites were used. Giardia cysts were isolated from dogs admitted to animal hospitals in Seoul, and field mice (Apodemus agrarius) caught in Paju, Gyonggi-do (Province), Korea. Their cysts were isolated by the sucrose density gradient centrifugation method (Table 1) (Bingham and Meyer, 1979).

Genomic DNA extraction and PCR amplification of IGS

Genomic DNA of G. intestinalis isolates was extracted. Cultured trophozoites, and the cysts obtained from the feces of hosts underwent 5 cycles of freezethawing using liquid nitrogen, and were treated with lysis buffer (1% SDS, 20 mM Tris-HCl, 20 mM EDTA, 50 mM NaCl, pH 7.5) containing proteinase K. Genomic DNA was extracted using phenol/chloroform/isoamyl alcohol and chloroform, and treated with RNase. To amplify the rDNA containing the IGS by PCR, 2 primers (GLF and GSR) specific to the 3' end of LSU rDNA and the 5' end of SSU rDNA were used (Table 2). The PCR reaction solution was prepared with 10% glycerol, 0.01% gelatin, 0.25 mM dNTPs, 0.4 pmol of primers, and 10× PCR buffer (75 mM Tris-Cl (pH 9.0), 2.5 mM MgCl2, 15 mM (NH4)2SO4, 0.1 mg/ml BSA). G. intestinalis genomic DNA and 0.5 units of Taq DNA polymerase (SolGent Co, Daejeon, Korea) were added. For the PCR procedures, pre-denaturation was performed at 94℃ for 5 min. Then, denaturation was performed at 94℃ for 30 sec, annealing was performed at 56℃ for 30 sec, extension was performed at 72℃ for 5 min, and the procedure was repeated 30 times. Elongation was performed at 72℃ for 1.5 min finally.

Cloning and determination of the nucleotide sequence of the IGS

Amplified PCR products were electrophoresed on a 1% agarose gel and separated from the agarose gel using an UltraClean 15 DNA Purification kit (MO BIO Laboratories, Solana Beach, California, USA), and cloned into a pGEM® T-Easy vector (Promega, Madison, Wisconsin, USA). First, the nucleotide sequence near the portion of SP6 and T7 primer was determined. Additionally, by designing internal primers, the remaining portion of the nucleotide sequences was also determined. DNA sequences were analyzed by the dideoxy nucleotide chain termination method using a SEQ × 4 automatic DNA sequencer (Amersham Pharmacia Biotech, Etobicoke, Ontario, Canada).

Analysis of the nucleotide sequence of the IGS and designing of primers

Nucleotide sequences of the IGS region of G. intestinalis isolates were analyzed by multiple alignment analysis using the Clustal X program, and phylogenetic analysis was performed using the PAUP* (version 4.0) program. The nucleotide sequence of G. intestinalis rDNA (GenBank accession no. X52949) retrieved from the GenBank was compared with the nucleotide of the rDNA of human (GenBank accession no. U13369) and bacteria (GenBank accession no. J01859) using the Clustal X program. The primers specific to LSU and SSU rDNA of G. intestinalis were designed and termed GLF and GSR (Table 2). In addition, the nucleotide sequence of the IGS of G. intestinalis isolates was analyzed by multiple alignment and phylogenetic analysis using the Clustal X and PAUP*. Then, the PCR primers were designed to react specifically to 3 assemblages (A1, A2, and B) of G. intestinalis, termed GA1F, GA2F, GBF, and GABR (Table 2).

Specificity of IGS-PCR

IGS-PCR using assemblage A1-, A2-, and B-specific primers were applied to the genomic DNA of 12 G. intestinalis isolates. The genomic DNA of WB, K1, and GS isolates were used as positive controls. The genomic DNA of other protozoans, Entamoeba histolytica and Trichomonas vaginalis, as well as the bacteria Vibrio vulnificus and Escherichia coli were used. In addition, the specificity of IGS-PCR was examined by PCR using Giardia isolates from dogs and field mice. The genomic DNA was extracted from the cysts or cultured trophozoites using SDS lysis methods. The concentration of PCR amplification solution was prepared as described above for amplification of the rDNA region containing the IGS. The procedure was performed similarly, except that the annealing procedure was adjusted to 53℃ for 30 sec, taking into consideration the Tm value of the primers. The reaction products were electrophoresed on a 2% agarose gel.

Sensitivity of IGS-PCR

The minimum amount of genomic DNA of G. intestinalis that could be detected by IGS-PCR was examined using the genomic DNA. The concentration of extracted DNA was determined by reading the absorbance at 260 nm. Genomic DNA was serially diluted to the final concentrations in the PCR solution from 100 ng to 0.1 pg by 10-fold dilutions and PCR was performed. The concentration of the PCR solution was prepared identically as described above. Reaction products were electrophoresed.

RESULTS

PCR amplification and cloning of IGS

By applying the primers GLF and GSR, which are specific to the 3' end of LSU rDNA and the 5' end of SSU rDNA, the rDNA sequences containing the IGS were amplified by PCR from 12 G. intestinalis isolates. From WB, K1, K2, K-L, CA9, CA13, CA14, and CA18 isolates, approximately 1.9 Kbp PCR products were amplified, and from GS, CA17, RD25, and RD37 isolates, 2.1 Kbp amplification products were detected. The amplification products of each IGS were cloned into the pGEM T-easy vector and treated with the restriction enzyme EcoR I, and then the cloning of the amplification products were confirmed.

Nucleotide sequencing and analysis of IGS

The nucleotide sequences of 560 bp from the 3' end of IGS of each of the 12 G. intestinalis isolates were determined (Fig. 1). Phylogenetic analysis was performed including the nucleotide sequence of GK strain, in which the IGS sequence was determined previously. The results showed that the genotype of 13 G. intestinalis isolates could be classified into the 3 different assemblages, A1, A2, and B (Figs. 1, 2). In the IGS of assemblages A and B, besides the area with an evident deletion, 24% difference was detected among a 350 bp region near the 3' end. Assemblages A1 and A2 showed 0.06% difference among 560 bp. In the IGS of G. intestinalis belonging to assemblages A (A1 and A2) and B, from the 3' end in the 5' direction, it was determined that the variation frequency of nucleotide sequence was high, and the nucleotide sequence specific to each assemblage was present. Thus, PCR primers that could be used to distinguish between genotypes were designed (Table 2). The Korean isolates K1, K2, and K-L belonged to assemblage A2, and the Laotian isolates RD25 and RD37 belonged to assemblage B. The Chinese isolate CA17 belonged to assemblage B, and the other 4 Chinese isolates belonged to A2 (Figs. 2, 3).

Specificity of IGS-PCR

IGS-PCR using specific pairs of primers - GA1F and GABR, GA2F and GABR, or GBF and GABR - for assemblages A1, A2, and B, respectively, was applied to 12 G. intestinalis isolates. The pattern of PCR amplification with G. intestinalis isolates was very similar to the assemblages determined by using the Clustal X and PAUP* programs as described above. The length of amplification products were 176 bp for assemblage A1, 261 bp for assemblage A2, and 319 bp for assemblage B (Fig. 3).
IGS-PCR was applied to the genomic DNA of G. intestinalis WB, K1, and GS isolates, Giardia isolates from dogs, E. histolytica, T. vaginalis, V. vulnificus, and E. coli. The results showed that besides G. intestinalis, IGS-PCR did not show any amplification products with other protozoans including Giardia isolates from other animals or bacteria indicating high specificity (Fig. 4).

Sensitivity of IGS-PCR

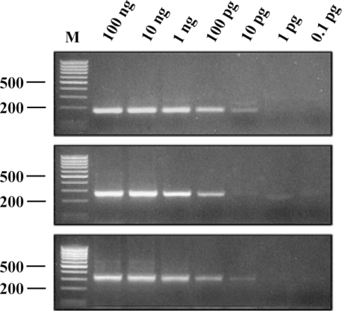
The minimum amount of G. intestinalis DNA that could be detected by IGS-PCR was determined. Genomic DNA of WB, K1, and GS isolates were used as templates. In PCR performed with the genomic DNA of the K1 isolate, PCR product was detectable with 100 pg of template DNA, and in PCR using the genomic DNA of WB or GS isolates, 10 pg of template DNA was enough to produce PCR products (Fig. 5). Thus, the IGS-PCR was reasonably sensitive to detect G. intestinalis and effective in determining the genotyping simultaneously.

DISCUSSION

G. intestinalis isolates obtained from Koreans, Chinese, and Laotians were compared based on the nucleotide sequence of the IGS in this study, and the results showed that the 3 Korean isolates belonged to assemblage A, Laotian isolates belonged to assemblage B, and Chinese isolates were split between assemblages A and B. According to previous studies on the comparison of G. intestinalis isolates obtained from humans and dogs using the nucleotide sequence of SSU rDNA, G. intestinalis isolates in assemblage B from humans form phylogenetically closer relationship with G. intestinalis from animals (Yong et al., 2000), whereas subgroup A2 isolates were only found in humans (Monis et al., 1996, 1998). Based on our data in this study, all Korean isolates belong to sub group A2. It was difficult to conclude, however, that zoonotic infection may occur more readily in any group of people because we examined only a small number of isolates and both assemblages A and B isolates have been recovered from broad range of hosts (Monis et al., 1998). The distribution of each genotype differs according to the geographic locations or studies. The predominance of assemblage A was reported in a study in Korea (Yong et al., 2000) and in Mexico (Ponce-Macotela et al., 2002). Several studies performed in India, Peru, and the United Kingdom showed that assemblage B was responsible for more human infections than assemblage A (Sulaiman et al., 2004). To get a more definite conclusion, further studies using a sufficient number of G. intestinalis isolates must be performed.
Determining G. intestinalis genotypes using the primers designed to be specific to each assemblage, the sensitivity of IGS-PCR was assessed in this study. The results showed that as little as 10 pg of G. intestinalis genomic DNA was detectable. Previous studies reported the genomic DNA of a G. intestinalis trophozoite to have a mass of 0.144 pg (Erlandsen and Rasch, 1994). Therefore, IGS-PCR could detect as few as 100 trophozoites of G. intestinalis. However, G. intestinalis isolated from hosts are usually cysts. Since the cyst is resistant to various environmental stresses, it is difficult to disrupt cysts so that their genetic material can be released in vitro. When applied to the natural samples, the sensitivity of IGS-PCR is expected to be lower than the experimental detection performed using the genomic DNA extracted from trophozoites. Hence, effective isolation and lysis method of cysts from stool samples and purification of genetic materials are needed to obtain the result with a higher sensitivity.
With regard to the study on the genotype of G. intestinalis, it was initiated by zymodeme analysis using several metabolic enzymes (Andrews et al., 1989). Subsequently, various molecular biological methods were used, such as PCR with restriction fragment length polymorphism (RFLP) analysis and the comparison of the nucleotide sequences of specific genes. Various loci including triose phosphate isomerase (tpi) (Amar et al., 2002; Monis et al., 1999; Sulaiman et al., 2004), glutamate dehydrogenase (gdh) (Homan et al., 1998; Monis et al., 1996; Read et al., 2004), β-giardin (Caccio et al., 2002; Lalle et al., 2005) and GLORF-C4 (Yong et al., 2002) were used in the genotyping of G. intestinalis at the molecular level.
Based on our results, IGS showed relatively more variations between each assemblage than tpi genes (Amar et al., 2002). To amplify IGS region with PCR, the primers (GLF and GSR) specific to LSU and SSU rDNA were designed, and the results showed that in assemblage A, approximately 1.9 Kbp amplification products were detected; in assemblage B, approximately 2.1 Kbp amplification products were detected showing approximately 200 bp difference between assemblages A and B. Hence, without the determination of the DNA sequence of IGS, assemblages A and B were able to be distinguished by PCR only. The difference in nucleotide sequences between assemblages A and B was 24% in 350 bp from the 3' end in the 5' direction of IGS excluding the region with deletions in a total 560 bp of IGS. Between subgroups A1 and A2, the difference of their nucleotide sequences in a total 560 bp was 0.06%, which was relatively low. However, there are nucleotide sequences which could be used for distinguishing subgroups A1 from A2 by designing specific primers for PCR. Using the sequences we could develop PCR amplication method for genotyping at one time.
An unexpected finding of the difference between the gdh and 16S rDNA genotyping results for some of the same isolates was reported (Read et al., 2004). However, no difference was found between IGS data and SSU-rDNA genotyping in the previous report (Yong et al., 2000) although subgenotypes A1 and A2 were noticed in the present study.
Five different subgenotypes (WA1 to WA5) in assemblage A, and 10 subgenotypes (WB1 to WB10) in assemblage B to reflect intragenotypic variations were reported, and 11 single nucleotide polymorphisms (SNPs) in assemblage A and 26 SNPs in assemblage B were also seen in Giardia isolated from raw urban wastewater in Milwaukee, Wisconsin, U.S.A. (Sulaiman et al., 2004). They speculated that subgenotype WA1 of assemblage A is more infectious to humans since 111 out of 131 samples belonged to assemblage A in their study. Another study identified 8 subgenotypes within assemblage A and 6 subgenotypes in assemblage B using β-giardin gene (Lalle et al., 2005). In their results, 5 subgenotypes were found to be associated with infections of humans, of dogs and of calves supporting zoonotic infections.
The IGS-PCR method, using the primers designed specific to each assemblage, can detect G. intestinalis in the samples and determine the genotypes rapidly and accurately, being a very efficient method. The IGSPCR method established in this study would be useful for further investigations, such as epidemiological studies on G. intestinalis and correlation of the genotypes and clinical symptoms.

REFERENCES

1. Adam RD. Biology of Giardia lamblia. Clin Microbiol Rev. 2001. 14:447-475. PMID: 11432808.
crossref
2. Amar CF, Dear PH, Pedraza-Diaz S, Looker N, Linnane E, McLauchlin J. Sensitive PCR-restriction fragment length polymorphism assay for detection and genotyping of Giardia duodenalis in human feces. J Clin Microbiol. 2002. 40:446-452. PMID: 11825955.
crossref pmid pmc
3. Andrews RH, Adams M, Boreham PF, Mayrhofer G, Meloni BP. Giardia intestinalis: electrophoretic evidence for a species complex. Int J Parasitol. 1989. 19:183-190. PMID: 2722391.
crossref pmid
4. Baruch AC, Issac-Renton J, Adam RD. The molecular epidemiology of Giardia lamblia: a sequence-based approach. J Infect Dis. 1996. 174:233-236. PMID: 8656003.
crossref pmid
5. Bingham AK, Meyer EA. Giardia excystation can be induced in vitro in acidic solutions. Nature. 1979. 277:301-302. PMID: 33337.
crossref
6. Boothroyd JC, Wang A, Campbell DA, Wang CC. An unusually compact ribosomal DNA repeat in the protozoan Giardia lamblia. Nucleic Acids Res. 1987. 15:4065-4084. PMID: 3588284.
crossref pmid pmc
7. Caccio SM, De Giacomo M, Pozio E. Sequence analysis of the beta-giardin gene and development of a polymerase chain reaction-restriction fragment length polymorphism assay to genotype Giardia duodenalis cysts from human faecal samples. Int J Parasitol. 2002. 32:1023-1030. PMID: 12076631.
crossref pmid
8. Craun GF. In Erlandsen SL, Meyer EA eds, Waterborne outbreaks of giardiasis: current status. Giardia and giardiasis. 1984. New York, USA: Plenum Press; 243-261.
crossref
9. Craun GF. In Meyer EA ed, Waterborne Giardiasis. Giardiasis. 1990. Amsterdam, Netherlands: Elsevier Science Publishers; 267-293.

10. Cupolillo E, Grimaldi Junior G, Momen H, Beverley SM. Intergenic region typing (IRT): A rapid molecular approach to the characterization and evolution of Leishmania. Mol Biochem Parasitol. 1995. 73:145-155. PMID: 8577322.
crossref
11. Didier ES, Vossbrinck CR, Baker MD, Rogers LB, Bertucci DC, Shadduck JA. Identification and characterization of three Encephalitozoon cuniculi strains. Parasitology. 1995. 111:411-421. PMID: 11023405.
crossref
12. Dietrich P, Dussan Mdel P, Floeter-Winter LM, Affonso MH, Camargo EP, Soares MB. Restriction fragment length polymorphism in the ribosomal gene spacers of Trypanosoma cruzi and Trypanosoma conorhini. Mol Biochem Parasitol. 1990. 42:13-19. PMID: 1978249.
crossref pmid
13. Erlandsen SL, Rasch EM. The DNA content of trophozoites and cysts of Giardia lamblia by microdensitometric quantitation of Feulgen staining and examination by laser scanning confocal microscopy. J Histochem Cytochem. 1994. 42:1413-1416. PMID: 7930524.
crossref pmid
14. Garcia LS, Shimizu RY. Evaluation of nine immunoassay kits (enzyme immunoassay and direct fluorescence) for detection of Giardia lamblia and Cryptosporidium parvum in human fecal specimens. J Clin Microbiol. 1997. 35:1526-1529. PMID: 9163474.
pmid pmc
15. Healey A, Mitchell R, Upcroft JA, Boreham PF, Upcroft P. Complete nucleotide sequence of the ribosomal RNA tandem repeat unit from Giardia intestinalis. Nucleic Acids Res. 1990. 18:4006. PMID: 2374731.
crossref pmid pmc
16. Hillis DM, Davis SK. Evolution of ribosomal DNA: Fifty million years of recorded history in the frog genus Rana. Evolution. 1986. 40:1275-1288.
crossref
17. Hillis DM, Dixon MT. Ribosomal DNA: Molecular evolution and phylogenetic inference. Q Rev Biol. 1991. 66:411-453. PMID: 1784710.
crossref pmid
18. Homan WL, Gilsing M, Bentala H, Limper L, van Knapen F. Characterization of Giardia duodenalis by polymerase-chain-reaction fingerprinting. Parasitol Res. 1998. 84:707-714. PMID: 9766898.
crossref pmid
19. Hopkins RM, Meloni BP, Groth DM, Wetherall JD, Reynoldson JA, Thompson RC. Ribosomal RNA sequencing reveals differences between the genotypes of Giardia isolates recovered from humans and dogs living in the same locality. J Parasitol. 1997. 83:44-51. PMID: 9057695.
crossref pmid
20. Hunt CL, Ionas G, Brown TJ. Prevalence and strain differentiation of Giardia intestinalis in calves in the Manawatu and Waikato regions of North Island, New Zealand. Vet Parasitol. 2000. 91:7-13. PMID: 10889355.
crossref pmid
21. Johnston SP, Ballard MM, Beach MJ, Causer L, Wilkins PP. Evaluation of three commercial assays for detection of Giardia and Cryptosporidium organisms in fecal specimens. J Clin Microbiol. 2003. 41:623-626. PMID: 12574257.
crossref pmid pmc
22. Kirkpatrick CE, Farrell JP. Feline giardiasis: observation on natural and induced infections. Am J Vet Res. 1984. 45:2182-2188. PMID: 6497121.
pmid
23. Lalle M, Pozio E, Capelli G, Bruschi F, Crotti D, Caccio SM. Genetic heterogeneity at the β-giardin locus among human and animal isolates of Giardia duodenalis and identification of potentially zoonotic subgenotypes. Int J Parasitol. 2005. 35:207-213. PMID: 15710441.
crossref pmid
24. Monis PT, Andrews RH, Mayrhofer G, Ey PL. Molecular systematics of the parasitic protozoan Giardia intestinalis. Mol Biol Evol. 1999. 16:1135-1144. PMID: 10486969.
crossref pmid
25. Monis PT, Andrews RH, Mayrhofer G, Mackrill J, Kulda J, Isaac-Renton JL, Ey PL. Novel lineages of Giardia intestinalis identified by genetic analysis of organisms isolated from dogs in Australia. Parasitology. 1998. 116:7-19. PMID: 9481769.
crossref
26. Monis PT, Mayrhofer G, Andrews RH, Homan WL, Limper L, Ey PL. Molecular genetic analysis of Giardia intestinalis isolates at the glutamate dehydrogenase locus. Parasitology. 1996. 112:1-12. PMID: 8587793.
crossref
27. Osterholm MT, Forfang JC, Ristinen TL, Dean AG, Washburn JW, Godes JR, Rude RA, McCullough JG. An outbreak of foodborne giardiasis. N Engl J Med. 1981. 304:24-28. PMID: 7191944.
crossref
28. Park SJ, Yong TS, Yang HW, Lee DH, Lee K. Axenic cultivation and characterization of Giardia lamblia isolated from humans in Korea. Korean J Parasitol. 1999. 37:121-125. PMID: 10388271.
crossref pmid pmc
29. Ponce-Macotela M, Martinez-Gordillo MN, Bermudez-Cruz RM, Salazar-Schettino PM, Ortega-Pierres G, Ey PL. Unusual prevalence of the Giardia intestinalis A-II subtype amongst isolates from humans and domestic animals in Mexico. Int J Parasitol. 2002. 32:1201-1202. PMID: 12117503.
crossref pmid
30. Read CM, Monis PT, Thompson RC. Discrimination of all genotypes of Giardia duodenalis at the glutamate dehydrogenase locus using PCR-RFLP. Infect Genet Evol. 2004. 4:125-130. PMID: 15157630.
crossref pmid
31. Sil AK, Das P, Bhattacharya S, Ghosh S, Chattopadhyay DJ. Cloning of ribosomal RNA genes from an Indian isolate of Giardia lamblia and the use of intergenic nontranscribing spacer regions in the differentiation of Giardia from other enteric pathogens. J Biosci. 1998. 23:557-564.
crossref
32. Sulaiman IM, Fayer R, Bern C, Gilman RH, Trout JM, Schantz PM, Das P, Lal AA, Xiao L. Triosephosphate isomerase gene characterization and potential zoonotic transmission of Giardia duodenalis. Emerg Infect Dis. 2003. 9:1444-1452. PMID: 14718089.
crossref pmid pmc
33. Sulaiman IM, Jiang J, Singh A, Xiao L. Distribution of Giardia duodenalis genotypes and subgenotypes in raw urban wastewater in Wisconsin. Appl Environ Microbiol. 2004. 70:3776-3780. PMID: 15184191.
crossref pmid pmc
34. Thompson RC, Hopkins RM, Homan WL. Nomenclature and genetic groupings of Giardia infecting mammals. Parasitol Today. 2000. 16:210-213. PMID: 10782081.
crossref pmid
35. Waters AP, McCuthan TF. Ribosomal RNA: nature's own polymerase-amplified target for diagnosis. Parasitol Today. 1990. 6:56-59. PMID: 15463297.
crossref pmid
36. Weiss JB, van Keulen H, Nash TE. Classification of subgroups of Giardia lamblia based upon ribosomal RNA gene sequence using the polymerase chain reaction. Mol Biochem Parasitol. 1992. 54:73-86. PMID: 1518534.
crossref pmid
37. Yong T, Han K, Yang H, Park S. PCR-RFLP analysis of Giardia intestinalis using a Giardia-specific gene, GLORFC4. Parasite. 2002. 9:65-70. PMID: 11938698.
crossref pmid
38. Yong TS, Park SJ, Hwang UW, Yang HW, Lee KW, Min DY, Rim HJ, Wang Y, Zheng F. Genotyping of Giardia lamblia isolates from humans in China and Korea using ribosomal DNA sequences. J Parasitol. 2000. 86:887-891. PMID: 10958483.
crossref pmid

Notes

This work was supported by a research grant for development of Health and Medical Technology (01-PJ1-PG3-20200-0084), Ministry of Health and Welfare, Korea.
Fig. 1
Nucleotide sequence alignment of 3' part of the IGS from 13 G. intestinalis isolates. The abbreviations with initial letters CA, K and RD mean Chinese, Korean and Laotian, respectively. GK (GenBank accession no. X52949) nucleotide sequence was retrieved from the EMBL database. WB and GS were purchased from American Type Culture Collection. The dots indicate identical nucleotides and the hyphens indicate base deletions. Underlines show the position of the primer sequences for selective amplification of each assemblage.
kjp-44-343-g001.jpg
Fig. 1
Continued.
kjp-44-343-g002.jpg
Fig. 1
Continued.
kjp-44-343-g003.jpg
Fig. 2
Phylogenetic relationship between the 3 G. intestinalis IGS assemblages determined by neighbor joining method. The results showed that the genotype of 13 G. intestinalis isolates could be classified into the 3 different assemblages, A1, A2, and B.
kjp-44-343-g004.jpg
Fig. 3
Assemblage specificity of IGS-PCR. The 176 bp, 261 bp and 319 bp amplified products were specifically shown in the assemblage A1, A2 and B lane, respectively. Lane M represents 100 bp ladder from MBI Fermentas. The 500 bp and 200 bp bands were shown.
kjp-44-343-g005.jpg
Fig. 4
Specificity of IGS-PCR in recognizing genomic DNAs of other bacteria, protozoa, and non-human Giardia isolates. Lane M, 100 bp ladder from MBI Fermentas. The 500 bp and 200 bp bands were shown. Lane 1-3, G. intestinalis isolates WB, K1, GS; Lane 4, E. coli DH5α; Lane 5, V. vulnificus; Lane 6, E. histolytica; Lane 7, T. vaginalis; Lane 8-9, dog Giardia isolates GD1, GD2; IGS-PCR did not show any amplification products with other bacteria or protozoans including Giardia isolates from other animals.
kjp-44-343-g006.jpg
Fig. 5
Sensitivity of IGS-PCR. PCR product obtained using different amount of genomic DNA of WB (top), K1 (middle) and GS (bottom) isolate. PCR product was detectable with 100 pg of template DNA of K1 isolate, and using the DNA of WB or GS isolates, 10 pg of template DNA was enough to produce PCR products. Lane M represents 100 bp ladder from MBI Fermentas. The 500 bp and 200 bp bands were shown.
kjp-44-343-g007.jpg
Table 1.
Giardia isolates examined in this study
Isolates Geographic origin Host Nature of sample Reference
WB Afghanistan Human Trophozoites (Yong et al., 2002)
GK Australia Human Unknowna) (Healey et al., 1990)
GS USA Human Trophozoites (Yong et al., 2002)
K1 Korea, Seoul Human Trophozoites (Yong et al., 2002)
K2 Korea, Seoul Human Cysts This study
K-L Korea, Seoul Human Cysts (Yong et al., 2002)
CA9 China, Anhui Human Cysts (Yong et al., 2002)
CA13 China, Anhui Human Cysts (Yong et al., 2002)
CA14 China, Anhui Human Cysts (Yong et al., 2002)
CA17 China, Anhui Human Cysts (Yong et al., 2002)
CA18 China, Anhui Human Cysts This study
RD25 Laos, Saravane Human Cysts (Yong et al., 2002)
RD37 Laos, Saravane Human Cysts (Yong et al., 2002)
GD1 Korea, Seoul Dog Cysts This study
GD2 Korea, Seoul Dog Cysts This study
GM Korea, Pajoo Field mouse Cysts This study

a) rDNA nucleotide sequence was retrieved from the EMBL database.

Table 2.
The primers used for the PCR amplification in this study. GLF and GSR primers were used for amplication of the whole IGS region, and other 4 primers were used for selective amplication of each assemblage, respectively
Function Name Nucleotide sequence
Upstream primer for IGS region GLF 5´-GACCGTCGTGAGACAGGTTAG-3´
Downstream primer for IGS region GSR 5´-CCTGCTGCCGTCCTTGGATG-3´
Upstream primer for group A1 GA1F 5´-GGTTTGCCGTGATATGCA-3´
Upstream primer for group A2 GA2F 5´-CCCTCCAGAGCAGMRTGAGA-3´
Upstream primer for group B GBF 5´-GRCAGGTGTGCTCAGGTG-3´
Downstream primer for group A & B GABR 5´-AGCACCTTGTCCTATAYAGT-3´
1
Editorial Office
Department of Molecular Parasitology, Samsung Medical Center, School of Medicine, Sungkyunkwan University,
2066 Seobu-ro, Jangan-gu, Suwon 16419, Gyeonggi-do, Korea.
Tel: +82-31-709-0918   FAX: +82-1-299-6269   E-mail: support@parahostdis.org
About |  Browse Articles |  Current Issue |  For Authors and Reviewers
Copyright © 2025 by The Korean Society for Parasitology and Tropical Medicine.     Developed in M2PI