Trichomonas vaginalis is one of the most widespread sexually transmitted diseases in the world with an incidence of 10 to 50% in patients of sexually transmitted disease clinics (Spence, 1986).
Among T. vaginalis isolates, phenotypic (Alderete et al., 1986), isoenzymatic (Soliman et al., 1982) and pathogenic differences (Mason and Forman, 1982; Min et al., 1997) have been reported. Until now, a few reports were published on genetic variation among T. vaginalis isolates. Pace et al. (1992) reported that 3 strains of T. vaginalis showed different patterns by DNA hybridization with the probe TV-E650-7.
The Southern blot analysis has been introduced for distinguishing species of Giardia isolate, differentiating the human infective and non-human infective isolates of Trypanosoma brucei and identification of Leishmania strains and T. vaginalis (Nash et al., 1985; Rubino et al., 1991; Guizani et al., 1994; Hide et al., 1994), In this study, the genetic variance of T. vaginalis were examined by Southern hybridization.
Seven isolates of T. vaginalis and one isolate of Tritrichomonas foetus were used in the study. Trichomonas vaginalis KT8, KT6, KT-Kim and KT-Lee isolates were obtained from Korean women with acute vaginitis (Ryu et al, 1995). Metronidazole resistant T. vaginalis CDC85, IR78 and T. foetus KV strain were kindly provided by professor David Lloyd from the School of Pure and Applied Biology, Wales University, Cardiff. The NYH286 strain was purchased from ATCC (USA). Trophozoites were axenically cultured in TYM medium (Diamond, 1957).
For genetic analysis, it is necessary to get homogenous clone. The cloning of T. vaginalis was done according to the method applied to Entamoeba histolytica with a modification as 10% CO2 incubator instead of anaerobic jar (Mueller and Petri, 1995). The agar (5%) and trophozoites (1 × 103) were mixed by inverting the tube 10 times and contents were then Immediately poured into a Petri dish (100 by 15 mm). The colonies were visible to the naked eye after 4-5 days. Among seven isolates, KT8, KT-Lee and IR78 isolates had 2 colonies and CDC85 showed one colony (Fig. 1). We named the colony of each isolates as KT8C1 and KT8C2, KT-LeeCl and KT-LeeC2, IR78C1 and IR78C2 and CDC85C, and cultivated each colony separately.
Trichomonad genomic DNA was isolated by a modified method of Rubino et al. (1991) and Ho et al (1994). Briefly, cells were lysed with a NET buffer (containing 0.2% SDS) and DNA was extracted with phenohchloroform, precipitated with sodium acetate, rinsed with ethanol, and dissolved in a TE buffer. RNase and proteinase K were treated subsequently, and then DNA was extracted with phenol: chloroform. The following procedures were the same as described above.
Field inversion gel electrophoresis (FIGE) was done using FIGE mapper (Bio-Rad). Five µg of EcoRl digested genomic DNA was loaded to each lane. Running condition was set at program 1 for 8 hr, and program 2 for 8 hr, and forward and reverse voltage was 180 V and 120 V, respectively. Restriction fragments separated on 0.8% agarose gels were denatured and transferred onto nylon membrane (Hybond-N+, Amersham) by Southern blotting (Southern, 1975). For the probe preparation, PCR was done with T. vaginalis specific repetitive primers designed from TV-E650-1, cloned by Pace et al (1992). The forward and reverse primers were 5' GAGTTAGGGTCTAATGTTTGATGTG 3' and 5' AGAATGTGATAGCGAAATGGG 3' respectively. The amplification cycle comprised an initial 5 min jdenaturation at 95℃, then 1 min at 94℃, 1 min at 50℃, 1 min at 72℃ for 35 cycle. About 337 bp sized product was identified and purified from agarose gels by using a Gene-clean kit (Qiagen, Germany). The purified 337 bp fragment was labeled with [α-32P]dCTP by PCR as described previously (Konat et al, 1994). Hybridization was carried out overnight in a 5 × Denhardt's solution containing 6 × SSPE, 50% formamide. salmon sperm DNA (100 µg/ml), and 0.5% SDS at 42℃. Membranes were washed twice with 2 × SSPE and 0.5 × SSPE. The autoradiographs were exposed to X-Omat film (Kodak, NY) with an intensifying screen for 3 weeks at -70℃.
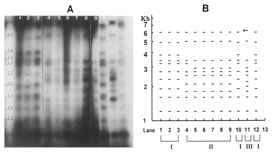
By Southern hybridization, all six isolates of T. vaginalis except NYH286 strain had 11 bands in contrast to T. foetus showing no hybridization band (Fig. 2A). Bands shown by trophozoites of T. vaginalis before cloning were the same as those of colony-forming trophozoites after cloning. Namely, bands of the KT8 isolate were identical to KT8C1 and KT8C2; the same as in IR78 and KT-Lee (Fig. 2A).
Three groups of isolates were distinguished after hybridization (Fig. 2B). The KT8, KT6 and KT-Kim isolates of the first group had 11 identical bands: 1 kb, 1.2 kb, 1.6 kb, 1.9 kb, 2.3 kb, 2.7 kb, 3.2 kb, 3.4 kb, 3.8 kb, 4.9 kb and 6.0 kb. The second group comprised IR78. KT-Lee and CDC85. The metronidazole-resistant IR78 strain had the same bands as the KT-Lee isolate: 1 kb, 1.2 kb, 1.6 kb, 1.8 kb, 2.1 kb, 2.5 kb, 2.7 kb, 2.9 kb, 3.4 kb, 5.0 kb and 6.0 kb. CDC85 is known as metronidazole-resistant strain, IR78. The bands of CDC85 were similar to those of IR78 and KT-Lee. except that 3.2 kb replaced 2.9 kb. The NYH286 strain, the third one, had 12 bands, and its hybridization pattern had shared common bands with IR78 with a few exceptions as follows: i) 6.2 kb in place of 6.0 kb. ii) 2.0 kb and 2.2 kb instead of 2.1 kb (Fig. 2A). Both strains of IR78 and CDC85 were metronidazole-resistant although metronida-zole-sensitive KT-Lee had bands identical to IR78. Thus, the present hybridization pattern showed no relation with metronidazole resistance.
In the present study we have used EcoRI as a restriction enzyme for digestion of genomic DNA. Another restriction enzyme treatment probably will show band patterns different from bands showed in this experiments. As the seven isolates of T. vaginalis were not enough to observe the genetic variance, we are planning a further research with more isolates of T. vaginalis and restriction enzymes for examining genetic differences of T. vaginalis.



